Бесплатная консультация ортодонта до конца месяца

Бесплатная консультация
ортодонта
до конца месяца

+ 3D сканирование в подарок
  • Точный диагноз
  • 3D-визуализация вашего будущего результата
  • Персональный план лечения
Абсолютно бесплатно! Без обязательств.
Бесплатная консультация ортодонта до конца месяца

Как проходит консультация?

Беседа с врачом,
на которой мы
уточняем:

  • Что вас беспокоит? (Эстетика, функция, дискомфорт)
  • Есть ли у вас особые пожелания к лечению? (Например, "хочу незаметные элайнеры")
  • Какой опыт лечения у вас был раньше?

Профессиональный
осмотр:

  • Состояние зубных рядов и прикус
  • Симметрия лица и пропорции
  • Работа ВНЧС (височно-нижнечелюстного сустава)
  • Состояние мягких тканей

«Фотосессия» для вашей улыбки:

  • Высокоточное
    3D-сканирование
  • Фотопротокол

Что вы получите после консультации?

Диагноз

Варианты лечения

Расчет полной стоимости и варианты рассрочки

Срок лечения

Визуализацию будущей улыбки


Улыбки, которые вдохновляют

Фото #2
Фото #4
Фото #1
Фото #3

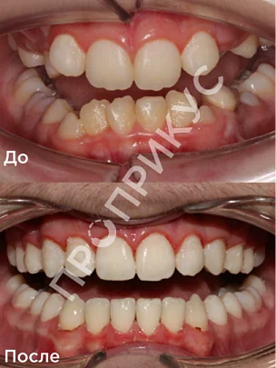
До и После: реальные истории, реальные улыбки

Фото #11
Фото #7
Фото #9
Фото #6

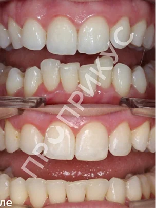
Еще больше До и После

Фото #4
Фото #8
Фото #3
Фото #7
Оставьте заявку на запись на бесплатную консультацию ортодонта
В консультацию входит 3D-диагностика, визуализация вашей новой улыбки, индивидуальный план лечения, расчёт стоимости «под ключ».
Нажимая на кнопку «Бесплатная консультация», вы соглашаетесь с политикой конфиденциальности.
Оставьте заявку на запись на бесплатную консультацию ортодонта