Whatsapp недоступен в РФ. Продолжим общение в телеграмме? Связаться

Получите айфон за брекеты и элайнеры

Поставьте брекеты или капы с 1 декабря по 10 января, чтобы получить шанс выиграть iPhone 17 Pro Max

3D-диагностика и план лечения бесплатно

Старт лечения всего от 150 000 рублей

Лечение всего за 10 000 рублей в месяц

И все это можно оформить в рассрочку

Получите айфон за брекеты и элайнеры

Наши направления

Узнайте стоимость лечения элайнерами за 30 секунд!

Пройдите тест из 4 вопросов и получите скидку 20.000 ₽ на установку невидимых элайнеров!
Узнайте стоимость лечения элайнерами за 30 секунд!

Чего можно добиться с нашей командой?

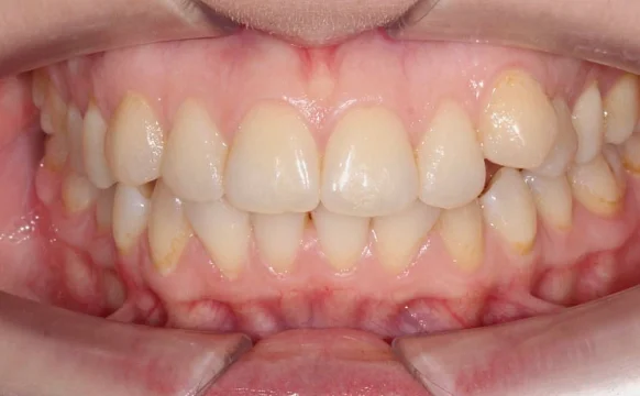
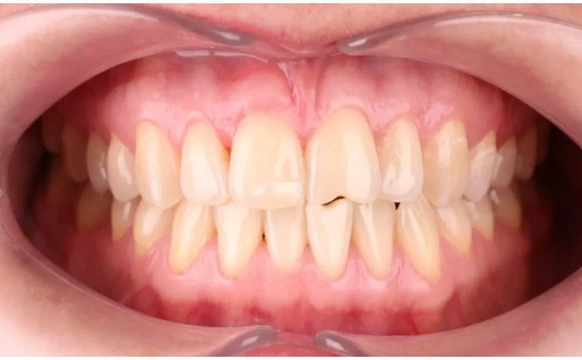
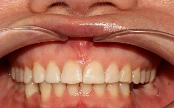
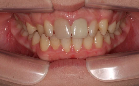
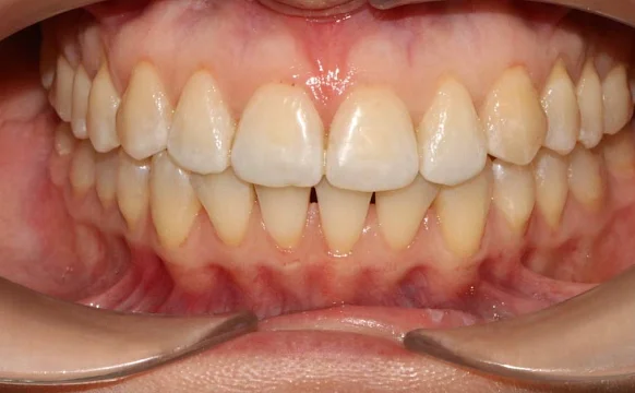
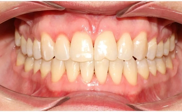
Ортодонтическое лечение на брекетах

Проблема
Скученность зубов
Врач
Золотарева Алина Анатольевна

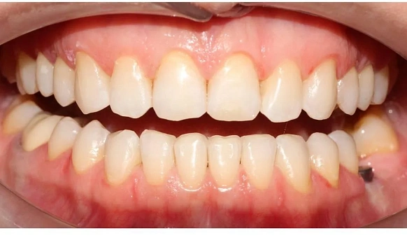
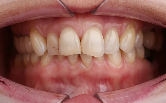
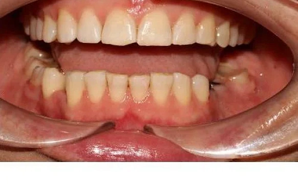
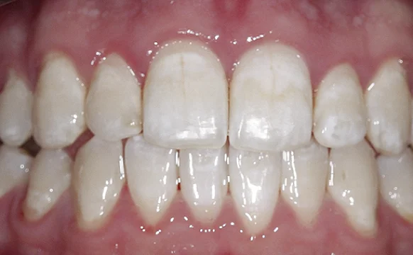
Ортодонтическое лечение на брекет-системе

Проблема
Открытый дистальный прикус
Врач
Парлагашвили Мариам Малхазовна

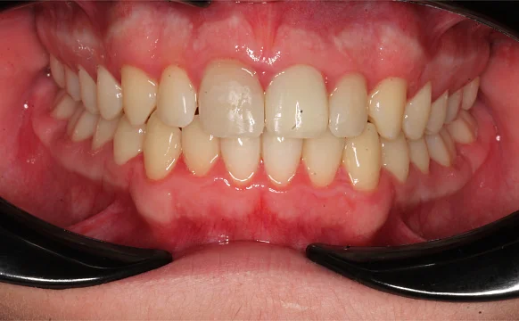
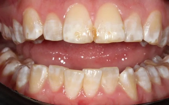
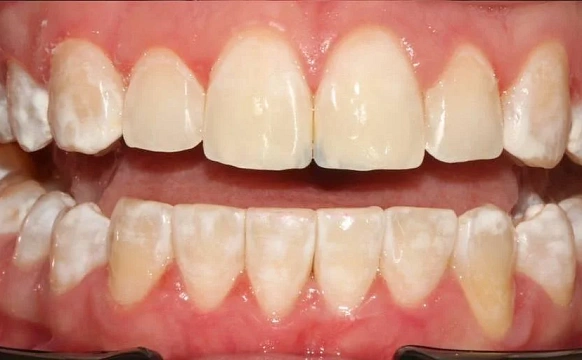
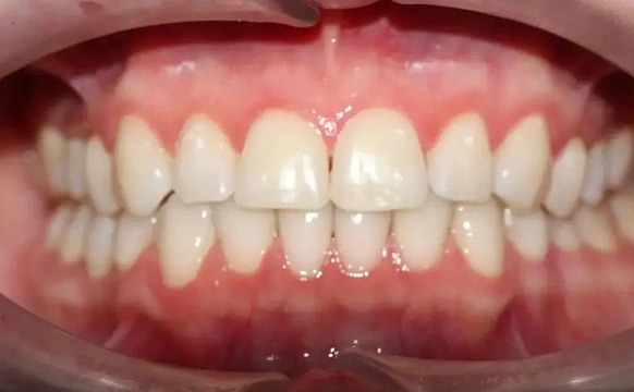
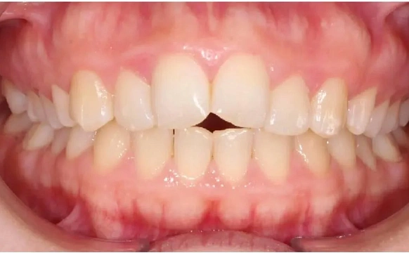
Коррекция смыкания элайнерами

Проблема
Скученность зубов на верхней и нижней челюстях
Врач
Джурабаева Ситорахон Акбаровна

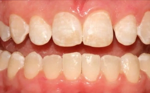
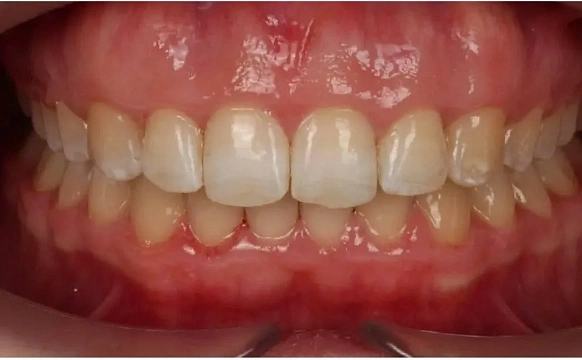
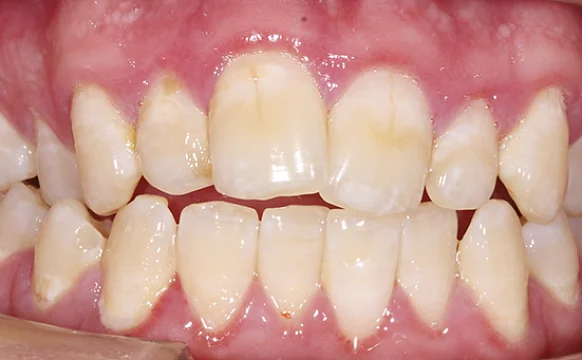
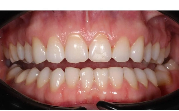
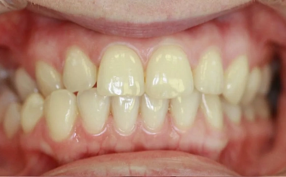
Лечение перекрестного смыкания в боковом сегменте

Проблема
Сужение зубных рядов, перекрестное смыкание в боковом сегменте слева (в области премоляров полное обратное перекрытие)
Врач
Джурабаева Ситорахон Акбаровна

Стоматология ПРОПРИКУС — вся ортодонтия в одном месте!

Элайнеры

Брекеты

Ретенционные капы

Лечение ВНЧС

Диагностика

Пластины аппарата Хааса

О стоматологии ПРОПРИКУС

ПРОПРИКУС — сеть ортодонтических стоматологий в России. У нас вы можете вылечить прикус с помощью прозрачных кап или классических брекетов, а также установить виниры и коронки, пройти профессиональную гигиену для взрослых и детей, вылечить кариес, а также удалить зубы мудрости.
Подробнее

Наши принципы в работе

Делаем ортодонтию доступной

Мы разработали программу лояльности, которая действует не только для пациентов, но и для членов их семей.

Системный подход

Решаем проблему комплексно: кроме ортодонтов, у нас работают терапевты и ортопеды, а план лечения составляется консилиумом врачей.

Цифровая презентация результата

Нам доверяют врачи-ортопеды, реабилитологи, подологи, остеопаты, массажисты.

Личный менеджер

Вся информация по вашему лечению консолидируется у персонального менеджера. Вы всегда будете знать к кому обратиться с любыми вопросами.
Блок картинки
Заявка на бесплатную консультацию
В консультацию входит 3D-сканирование, визуализация вашей новой улыбки, индивидуальный план лечения, расчёт стоимости «под ключ»
Нажимая на кнопку «Бесплатная консультация», вы соглашаетесь с политикой конфиденциальности.
Заявка на бесплатную консультацию

Как проходит исправление прикуса элайнерами?

Как проходит исправление прикуса элайнерами?
Первичный осмотр
Сомневаетесь в возможностях элайнеров? Запишитесь к ортодонтам клиники ПРОПРИКУС. В ходе осмотра врач внимательно исследует прикус и проверит подойдет ли пациенту эта методика коррекции, а также озвучит стоимость лечения.
Диагностика ВНЧС
На консультации специалист проверяет не только зубы, но и особенности работы челюстной системы в целом, в том числе суставов и мышц. Эти данные обеспечивают высокое качество ортодонтического лечения.
Консилиум
Результаты обследования обсуждаются на консилиуме, в котором участвуют стоматологи различных специальностей: ортопед, гигиенист, терапевт и хирург. Команда составляет план лечения и презентует вам.
Согласование плана лечения
С помощью трехмерного компьютерного моделирования врач наглядно демонстрирует вид ротовой полости до и после вмешательства. Если результат устраивает пациента, план лечения считается утвержденным. Вы видите 3D модель вашей будущей улыбки, которую можно разглядеть со всех сторон.
Санация полости рта
Перед началом ортодонтического лечения в обязательном порядке проводится профессиональная чистка полости рта (гигиена полости рта), удаление зубного камня и налета. При необходимости осуществляется лечение кариеса и заболеваний десен. Также хирург удаляет восьмерки, если необходимо.
Изготовление кап
Данные обследования и согласованный план лечения, мы отправляем в лабораторию компаний-партнеров. Здесь изготавливается индивидуальный комплект кап.
Лечение капами
Пациент получает на руки комплект кап в зависимости от выбранной системы: Click, 3D Smile. Также даются подробные инструкции по их ношению и замене раз в 2-3 недели.
Окончание лечения
После завершения курса лечения врач оценивает состояние прикуса. Если для идеального результат потребуются дополнительные капы, они заказываются за счет клиники.
Первичный осмотр
Сомневаетесь в возможностях элайнеров? Запишитесь к ортодонтам клиники ПРОПРИКУС. В ходе осмотра врач внимательно исследует прикус и проверит подойдет ли пациенту эта методика коррекции, а также озвучит стоимость лечения.
Диагностика ВНЧС
На консультации специалист проверяет не только зубы, но и особенности работы челюстной системы в целом, в том числе суставов и мышц. Эти данные обеспечивают высокое качество ортодонтического лечения.
Консилиум
Результаты обследования обсуждаются на консилиуме, в котором участвуют стоматологи различных специальностей: ортопед, гигиенист, терапевт и хирург. Команда составляет план лечения и презентует вам.
Согласование плана лечения
С помощью трехмерного компьютерного моделирования врач наглядно демонстрирует вид ротовой полости до и после вмешательства. Если результат устраивает пациента, план лечения считается утвержденным. Вы видите 3D модель вашей будущей улыбки, которую можно разглядеть со всех сторон.
Санация полости рта
Перед началом ортодонтического лечения в обязательном порядке проводится профессиональная чистка полости рта (гигиена полости рта), удаление зубного камня и налета. При необходимости осуществляется лечение кариеса и заболеваний десен. Также хирург удаляет восьмерки, если необходимо.
Изготовление кап
Данные обследования и согласованный план лечения, мы отправляем в лабораторию компаний-партнеров. Здесь изготавливается индивидуальный комплект кап.
Лечение капами
Пациент получает на руки комплект кап в зависимости от выбранной системы: Click, 3D Smile. Также даются подробные инструкции по их ношению и замене раз в 2-3 недели.
Окончание лечения
После завершения курса лечения врач оценивает состояние прикуса. Если для идеального результат потребуются дополнительные капы, они заказываются за счет клиники.

Немного фактов о нашей клинике

6000+ пациентов

Лечатся у нас на элайнерах и восстановливают эстетику винирами

835 пациентов

Пришли из других клиник, потому что там не решили их проблему

более 45% новых пациентов

Приходят к нам по рекомендации тех, кто уже лечится

100% гарантия

На все виды лечения и рассрочка на все услуги

Наши врачи

Дьячкова Инна Владимировна
Ведущий стоматолог - ортодонт
Специализируется на исправлении прикуса элайнерами и брекетами
Шевченко Алина Борисовна
Ортодонт
Специализируется на исправлении прикуса элайнерами и брекетами
Данилова Виктория Юрьевна
Ортодонт
Специализируется на исправлении прикуса элайнерами и брекетами
Парлагашвили Мариам Малхазовна
Ортодонт
Специализируется на исправлении прикуса элайнерами и подготовкой к ЧЛХ
Куканова Алена Витальевна
Ортодонт
Специализируется на исправлении прикуса элайнерами и брекетами
Глазунова Екатерина Ашотовна
Ортодонт
Специализируется на исправлении прикуса элайнерами и брекетами у взрослых
Джурабаева Ситорахон Акбаровна
Ортодонт
Специализируется на исправлении прикуса элайнерами и брекетами
Усачёва Арина Романовна
Стоматолог-ортодонт
Специализируется на исправлении прикуса элайнерами и брекетами
Киргуева Дзерасса Валерьевна
Стоматолог-ортодонт
Специализируется на исправлении прикуса элайнерами и брекетами
Кончакова Михалина
Ортодонт
Специализируется на исправлении прикуса элайнерами и брекетами

Акции

Лечение на брекетах за 10000 рублей

Лечение на брекетах за 10000 рублей

  • 3D-диагностика и план лечения бесплатно
  • Рассрочка на весь срок лечения
  • Официальные брекеты высокого качества
  • Подарили уже 11000 улыбок за 8 лет
Подробнее
Ваша карта москвича – ключ к здоровой улыбке

Ваша карта москвича – ключ к здоровой улыбке

  • Скидка до 30 000 руб. на брекеты и элайнеры.
  • Скидка до 10% на другие стоматологические услуги.

Это не первый взнос, а чистое уменьшение итоговой стоимости вашего лечения.

Лечение кариеса, профессиональная чистка, отбеливание - экономьте на всех услугах!

Просто покажите вашу карту администратору при расчете.

Подробнее
Бесплатная консультация ортодонта до конца месяца

Бесплатная консультация ортодонта до конца месяца

+ 3D сканирование в подарок
  • Точный диагноз
  • 3D-визуализация вашего будущего результата
  • Персональный план лечения
Абсолютно бесплатно! Без обязательств.
Подробнее
Приводи друзей! За рекомендацию другу до 20000 бонусов в подарок.

Приводи друзей! За рекомендацию другу до 20000 бонусов в подарок.

Приводи друзей! За рекомендацию другу до 20000 бонусов в подарок.

Другу начисление до 10000 бонусов в подарок.

Узнай подробности у менеджера.

Подробнее
Фотосессия за виниры*

Фотосессия за виниры*

Ослепительная фотосессия от #ПРОПРИКУС в подарок!
Подробнее

Отзывы

Новикова Мария
Новикова Мария
Хочу выразить огромную благодарность Шевченко Алине! Она настоящий профессионал своего дела, очень внимательная и деликатная. Всегда подробно объясняла каждый этап лечения и отвечала на все мои вопросы. Результат превзошел все мои ожидания – моя улыбка теперь просто идеальная! Благодаря Алине я чувствую себя гораздо увереннее. Всем рекомендую этого замечательного ортодонта!
Варвара
Варвара
Я проходила лечение в клинике ПРОПРИКУС у доктора Арутюновой Екатерины Ашотовны. Я проходила лечение на системе StarSmile. Лечение проходило хорошо, доктор всегда была на связи, подсказывала. В инстаграме я очень часто задавала вопросы, она оперативно отвечала и все понятно подсказывала. Изначально я хотела брекеты и уже оплатила их в другой клинике. Моя подруга посоветовала обратиться к Екатерине в ПроПрикус. Я пришла на консультацию и выяснилось, что элайнеры займут 10 месяцев, а брекеты в моей ситуации выходили примерно 1.5 года, а также элайнеры оказались дешевле.
Алиса Селезнева
Алиса Селезнева
...я ношу капы... прозрачные капы #invisalign для выравнивания зубов и исправления прикуса. Ношу постоянно и днём и ночью (я и сейчас в них, можно приблизить фото и рассмотреть). Так вот, последние дней пять прям не могу поверить своим глазам зуб вернулся в стройный ряд к остальным, зуб даю!!! Ещё чуть-чуть и верхний ряд будет абсолютно ровным...
Георгий
Георгий
Я прошел лечение на капах и мне всё понравилось. Было удобно их носить и параллельно заниматься профессиональным спортом – боксом. Проблем не испытывал, просто снимал их перед едой. Вот так лечение прошло быстро и незаметно. Всё отлично, всё супер!
Илья Кутепов
Илья Кутепов
Клинику выбрал по отзывам. Искал комфортное лечение. Остался очень довольным. С каждой сменой зубы побаливали, но это не такая острая боль. Лечение проходило хорошо...Я даже не заметил это время, которое проскочило.
Евгения
Евгения
Особую благодарность хочу выразить замечательному врачу-терапевту Леле Витальевне, у которой потрясающее терпение, потрясающее чувство юмора и отменный профессионализм. После знакомства с Лелой Витальевной стоматологов я не боюсь. И хотела бы отметить очень трепетное отношение доктора к пациентам. Лела Витальевна была со мной на связи 24 часа и отвечала на все мои дурацкие вопросы.
Спасибо вам большое!
Екатерина
Екатерина
Хочу поблагодарить в первую очередь Нану Кареновну за то, что теперь у меня новая улыбка, а не та, что была раньше, за её чуткость и понимание. Всегда подскажет, всегда расскажет. Спасибо большое ей и всем докторам, а также всей клинике ПРОПРИКУС. Всем рекомендую! Если вы хотите идеальные зубы, то только сюда.
Ирина
Ирина
Я работаю в стоматологии ПРОПРИКУС на Арбате и являюсь счастливым обладателем элайнеров Invisalign.

На данный момент я ношу уже 25-ю пару кап из 37. Безумно довольна, не испытываю никакого дискомфорта, боли. Нет никакого дефекта речи. Мне всё очень нравится.

Рекомендую для эстетической улыбки.
Ирина Яковлева
Ирина Яковлева
Думала с чего начать. Меня с детства смущали свои зубы, и я решила обратится к ортодонту. Не буду говорить плохо о других стоматологиях. В течение трех лет ходила в разные клиники, где мне не смогли сделать улыбку о которой мечтала. Когда появилась возможность и необходимость общаться с важными людьми стала проблема внешнего вида.
Брекеты мне не подходили, от них отказалась сразу, я работаю с людьми и мой внешний вид напрямую влияет на доход, все хотят видеть только безупречных людей, особенно, когда покупают что-то дорогое. Долго искала альтернативы, уже решилась почти на виниры. Потом по рекомендации попала к Нане Гезаловой. Только она согласилась лечить мои зубы и сказала конкретно, что нужно и сколько времени это займет. КАпы - это то что я искала, почти никто не замечает.
Нана, огромное спасибо. Вы невероятно классная. Отличный специалист и прекрасный человек! Ваша методика спасла мою самооценку. Клинику Proprikus однозначно рекомендую всем кому необходимо хорошо выглядеть!

Видео отзывы

Капы и глубокий прикус

Капы и глубокий прикус

Идеальным называется прикус, при котором верхние передние зубы перекрывают нижние на 1/3. Если же скрыто 50% и более, речь идет о глубоком прикусе. Кроме глубины перекрытия, у этой патологии есть и другие признаки. Проверьте себя!
Виды прикуса

Виды прикуса

Прикус бывает правильный и неправильный. И отличия не столько в эстетике, сколько в функциональности зубочелюстной системы. Если она нарушена, значит, речь идет о патологических видах прикуса, при которых ортодонтическое лечение – необходимость.
Стерильность в клинике ПРОПРИКУС

Стерильность в клинике ПРОПРИКУС

Безопасность пациента – наш приоритет. Поэтому соблюдению стерильности в нашей клинике уделяется максимум внимания.
Страхи или реальность?

Страхи или реальность?

Кто же в детстве не боялся бормашины! Шумно, больно, непонятно… И несмотря на то, что современная стоматологическая аппаратура выглядит не такой пугающей, страх лечить зубы до сих пор существует. Причем одолевает он не только детей, но и многих взрослых. Как с ним справляться? Да и надо ли?
Абсцесс зуба

Абсцесс зуба

Абсцесс зуба – это гнойное воспаление в тканях вокруг верхушки корня, вызванное бактериями. Инфекция, начавшись в пульпе (например, из-за кариеса), проникает в корневые каналы и далее в кость и связку, формируя полость с гноем. Течение может быть острым или хроническим.
Можно ли делать МРТ в ретейнерах

Можно ли делать МРТ в ретейнерах

Представьте, что МРТ – это очень точная камера, которая делает детальные снимки изнутри вашего тела, помогая врачам увидеть самые мелкие детали. А ретейнеры – это небольшие металлические крепления для зубов, которые после лечения удерживают их на месте.
Можно ли делать МРТ в брекетах

Можно ли делать МРТ в брекетах

МРТ – это высокоинформативный и безопасный метод диагностики, позволяющий врачам подробно исследовать внутренние структуры организма без хирургического вмешательства. Но что делать, если у вас или вашего ребенка на зубах стоят ортодонтические конструкции?
Депульпирование зуба перед протезированием

Депульпирование зуба перед протезированием

Внутри каждого зуба есть небольшое пространство, которое стоматологи называют пульпарной полостью. В ней находится пульпа — мягкая ткань, состоящая из нервов, кровеносных сосудов и соединительных клеток.
Бутылочный кариес: что важно знать родителям

Бутылочный кариес: что важно знать родителям

Бутылочный кариес — это одна из самых распространенных стоматологических проблем у малышей, о которой родители часто даже не подозревают.

Наши контакты

Клиника «Арбат»
Москва, ул. Большая Молчановка, 18
Метро Арбатская
Ежедневно с 9:00 до 21:00.
Клиника «Сокольники»
Москва, ул. Русаковская, 31 вход на 3-м этаже ТЦ "Сокольники"
Метро Сокольники
Ежедневно с 9:00 до 21:00.

Как добраться

Как проехать и где припарковаться
Как дойти и где пообедать перед приёмом

Лучше всего соблюдать рекомендации навигатора и учитывать, что в центре Москвы большая проблема с парковками. Мы советуем парковаться на противоположной стороне от нас (Арбатская, 15) на большой платной парковке.

Если вы решили не приезжать на автомобиле, чтобы не тратить время на поиски места парковки, то самое близкое и удобное метро Арбатская. Вы выходите из метро, поворачиваете налево и идете прямо до перехода. ТАм вы сворачиваете направо и выходите на Новый Арбат. Следует идти прямо вдоль улицы пока не увидите японское кафе "Якитория", в котором, кстати можно пообедать. Сразу за ним вы сворачиваете налево на Большую Молчановку, проходите вдоль серого здания и видите лестницу к нам. Добро пожаловать

Как проехать и где припарковаться
Как дойти и где пообедать перед приёмом

Мы рекомендуем использовать навигатор. Припарковаться можно внизу, на подземной парковке. Парковка в торговом центре - 50 рублей/час первые два часа, потом 100/час. Можно припарковаться на территории у ресторана Макодональдс, напротив отеля "Новотель", но придется перейти через дорогу.

Выход из метро Сокольники номер 2. После выхода из метро, поворачиваете направо, доходите до ТЦ "Сокольники". Войдя в ТЦ, поворачиваете налево в сторону лифтов, которые располагаются напротив магазина "Перекресток" и поднимаетесь на 3 этаж. Далее выходите из лифтовой зоны и следуйте по указателям.

Если вы приехали на прием, а ТЦ закрыт: от центрального входа ( не заходя в здание) поверните налево и пройдите вдоль здания до вывески "Парковка". Прямо под ней есть серая дверь с домофоном. Она всегда открыта. Нужно зайти в нее и подняться по лестнице до последнего (третьего) этажа. Далее увидите перед собой клинику - вы на месте! Более подробно можно ознакомитсятут

Оставьте заявку на запись на бесплатную консультацию ортодонта
В консультацию входит 3D-диагностика, визуализация вашей новой улыбки, индивидуальный план лечения, расчёт стоимости «под ключ».
Нажимая на кнопку «Бесплатная консультация», вы соглашаетесь с политикой конфиденциальности.
Оставьте заявку на запись на бесплатную консультацию ортодонта