Работы

Работы

Больше 12000 пациентов за 8 лет работы. На этой странице — часть новых улыбок, вылепленных нашими руками.




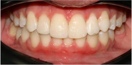
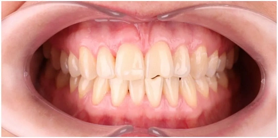
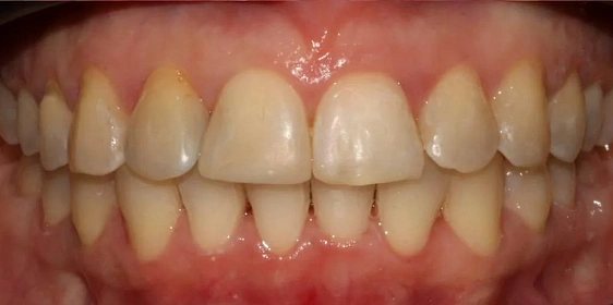
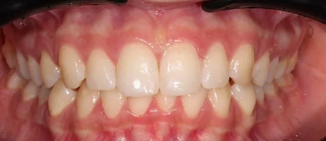
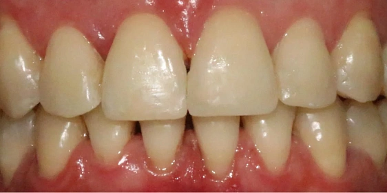
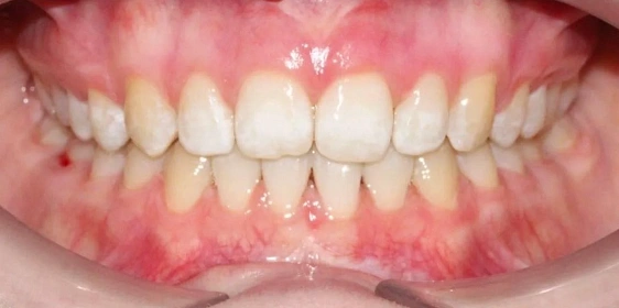
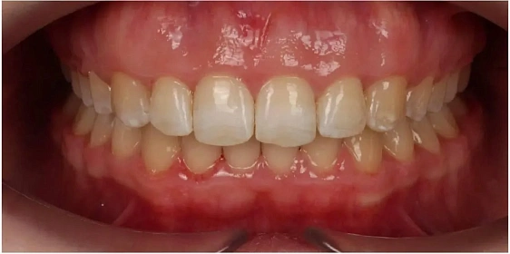
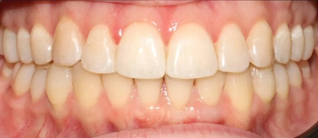
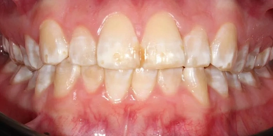
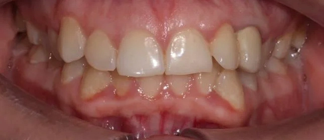
Нарушение соотношения челюстей и неправильное положение зубов — зубные ряды смыкались некорректно, зубы стояли со смещением.
Лечащий врач
Ортодонт Стаж более 8 лет
Подробнее
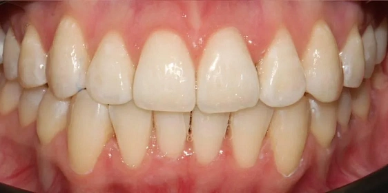
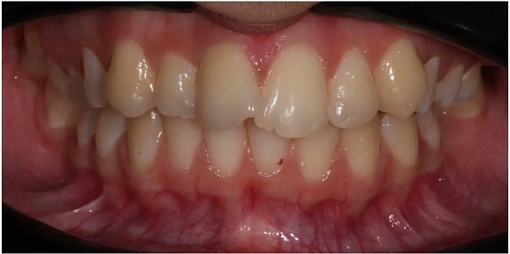
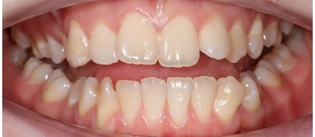
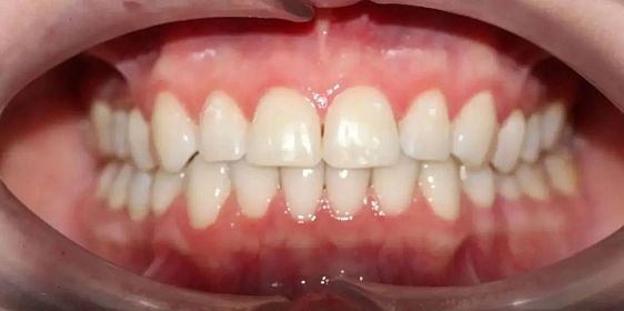
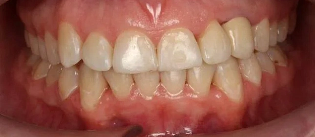
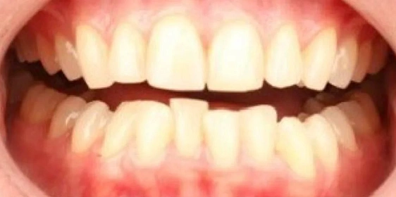
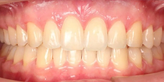
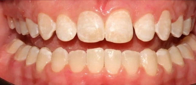
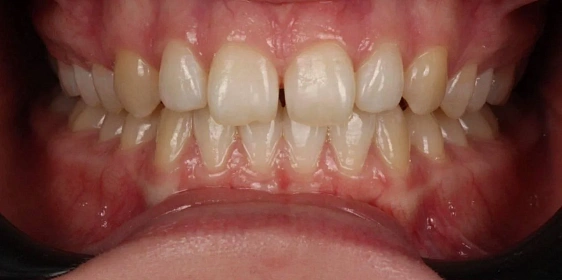
Верхняя челюсть выступала вперёд относительно нижней с обеих сторон (II класс по Энглю). Обе челюсти сужены, зубы стояли скученно. Нарушена кривая смыкания — жевательные зубы были на разной высоте. На двух передних зубах верхней челюсти ранее установлены металлокерамические коронки.
Лечащий врач
Ортодонт Стаж более 10 лет
Подробнее
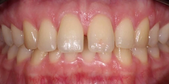
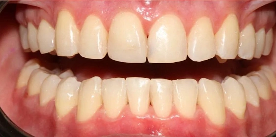
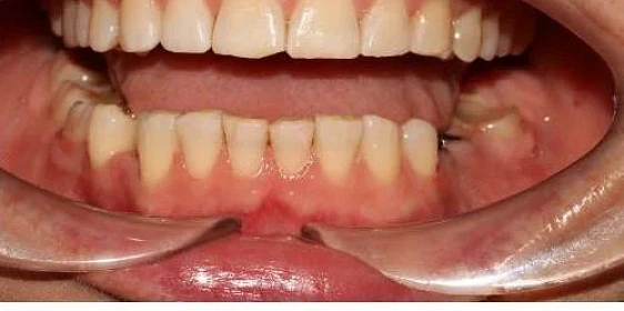
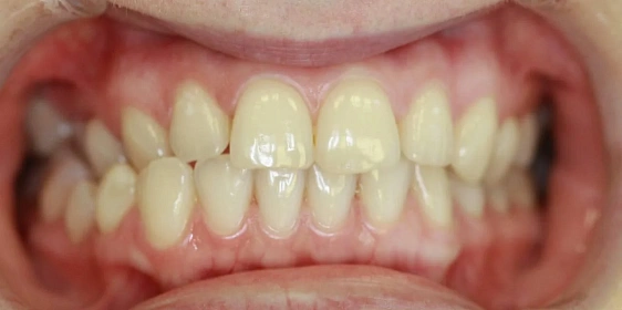
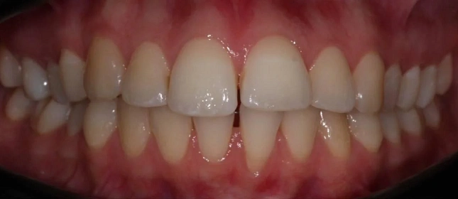
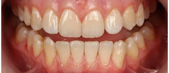
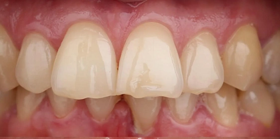
Нарушение соотношения челюстей и неправильное положение зубов — зубные ряды смыкались некорректно, зубы стояли со смещением.
Лечащий врач
Ортодонт Стаж более 5 лет
Подробнее
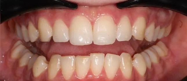
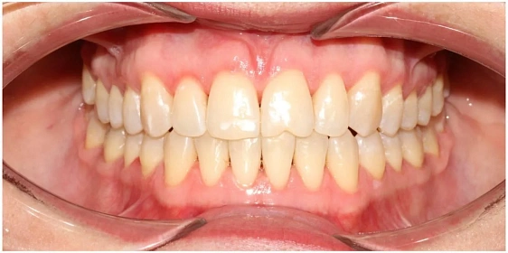
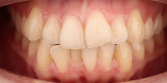
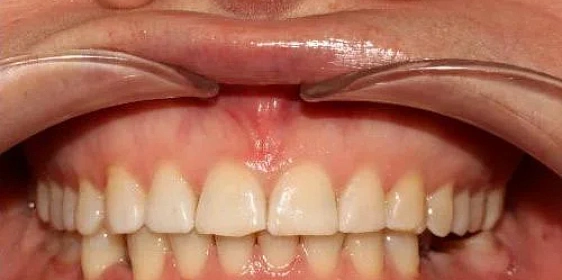
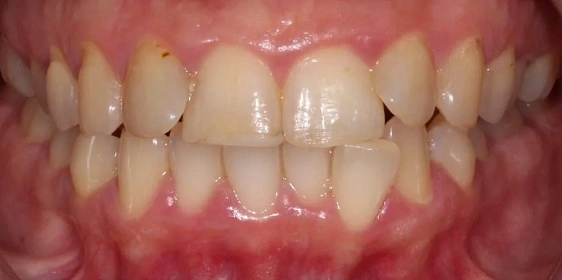
Глубокий прикус — верхние зубы слишком сильно перекрывали нижние. Обе челюсти сужены, зубам не хватало места. Верхняя челюсть выступала вперёд относительно нижней с обеих сторон (II класс по Энглю).
Лечащий врач
Ортодонт Стаж более 5 лет
Подробнее
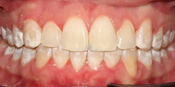
Обе челюсти сужены — зубам не хватало места, они стояли скученно на верхней и нижней челюсти. Нарушена кривая смыкания — жевательные зубы были на разной высоте.
Лечащий врач
Ортодонт Стаж более 5 лет
Подробнее
Скученность зубов на верхней и нижней челюсти — зубам не хватало места, они стояли тесно и налезали друг на друга. При этом соотношение челюстей в норме (I класс) — проблема только в положении зубов, не в прикусе.
Лечащий врач
Ортодонт Стаж более 8 лет
Подробнее
Передние зубы на обеих челюстях были наклонены внутрь (ретрузия). Отсутствовал нижний жевательный зуб (36). Генерализованная стираемость — эмаль истончена на зубах обеих челюстей.
Лечащий врач
Ортодонт Стаж более 8 лет
Подробнее
Нарушение соотношения челюстей и неправильное положение зубов — зубные ряды смыкались некорректно, зубы стояли со смещением.
Лечащий врач
Ортодонт Стаж более 4 лет
Подробнее
Нарушение соотношения челюстей и неправильное положение зубов — зубные ряды смыкались некорректно, зубы стояли со смещением.
Лечащий врач
Ортодонт Стаж более 8 лет
Подробнее
Оставьте заявку на запись на бесплатную консультацию ортодонта
В консультацию входит 3D-диагностика, визуализация вашей новой улыбки, индивидуальный план лечения, расчёт стоимости «под ключ».
Нажимая на кнопку «Бесплатная консультация», вы даёте согласие на обработку персональных данных.
Оставьте заявку на запись на бесплатную консультацию ортодонта