Элайнеры по подписке

Элайнеры по подписке.
За 19 000 рублей в месяц.

Элайнеры по подписке

Как мы придём к вашей идеальной улыбке

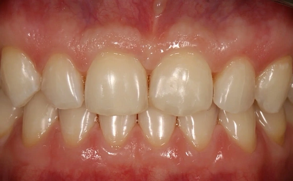
Элайнеры - это высший класс в мире ортодонтии. Их не видно, за ними легко ухаживать, они ничего не царапают и в целом почти не доставляют дискомфорта. При этом они вполне доступны по цене благодаря рассрочке.

Бесплатная консультация

Бесплатная
консультация

Ваш врач проведет 3D-диагностику, визуализирует вашу улыбку и составит план лечения.

Лечение всех болячек

Лечение всех
болячек

Вторым шагом будет санация полости рта - перед установкой элайнеров, следует залечить все зубы.

Установка первой капы

Установка
первой капы

И, наконец, вам установят первую капу, проведут инструктаж и выдадут комплект кап на следующие 3 месяца.

Визиты к врачу

Визиты
к врачу

Далее примерно каждые 3 месяца вам нужно будет посещать врача, чтобы проконтролировать ход лечения и получить новый комплект кап.

Всего срок лечения составляет от 1,5 до 2,5 лет - он варьируется от сложности вашего случая. Оплачивать лечение сразу не обязательно - можно взять рассрочку и платить по 19 000 рублей каждый месяц.

Почему пациенты выбирают нас

Фиксированные цены в договоре
Бесплатная 3D-диагностика и индивидуальный план лечения
Мы беремся 
за случаи
любой сложности
Опытные ортодонты (стаж от 5 лет)
Почему пациенты выбирают нас

Результаты лечения

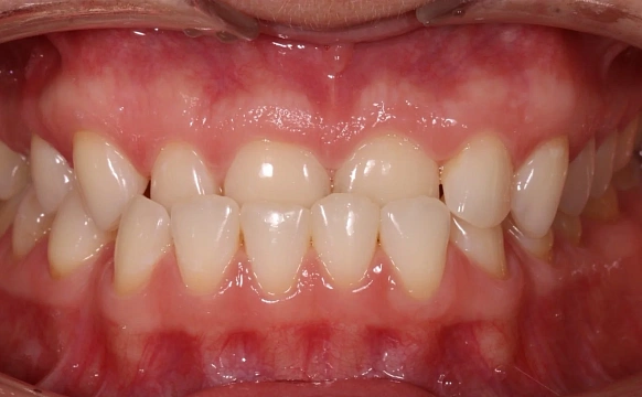
Лечение скученности и неправильного прикуса на элайнерах 3D Smile

Проблема
Врач
Шевченко Алина Борисовна

Лечение неправильного прикуса зубов на элайнерах Click Aligners за 23 месяца

Проблема
Врач
Арутюнова Екатерина Ашотовна

Лечение неправильного положения зубов на брекет-системе за 14 месяцев

Проблема
Врач
Куканова Алена Витальевна

Скученность и сужение челюстей вылечили на брекетах всего за 15 месяцев

Проблема
Врач
Данилова Виктория Юрьевна

Стираемость зубов, отсутствующий зуб и неправильный прикус — лечение на элайнерах Spark + имплантация

Проблема
Врач
Арутюнова Екатерина Ашотовна

Лечение неправильного прикуса на элайнерах Click Aligners

Проблема
Врач
Арутюнова Екатерина Ашотовна

Частые вопросы (FAQ)

Сколько длится лечение?
Установка брекетов - N месяцев, общий срок лечения рассчитывается индивидуально, но обычно составляет от 1,5 до 3 лет.
Что входит в стоимость фиксации за 150 000 ₽?
Полная установка брекетов на обе челюсти “под ключ”: диагностика, план лечения, сама брекет-система и её установка.
Как часто нужно посещать врача?
Примерно раз в месяц.
Можно ли оформить рассрочку?
Да! Можно разбить фиксацию разбить на две оплаты по 75 тысяч рублей. Можно оформить рассрочку на 6 или кредит на 12 месяцев, но тогда стоимость фиксации вырастет до 180 тысяч рублей на обе челюсти. При составлении лечебного плана мы поможем вам выбрать оптимальный способ оплачивать лечение.
Как получить налоговый вычет?
Чтобы получить налоговый вычет, перейдите на эту страницу
Оставьте заявку на запись на бесплатную консультацию ортодонта
В консультацию входит 3D-диагностика, визуализация вашей новой улыбки, индивидуальный план лечения, расчёт стоимости «под ключ».
Нажимая на кнопку «Бесплатная консультация», вы соглашаетесь с политикой конфиденциальности.
Оставьте заявку на запись на бесплатную консультацию ортодонта

Наши контакты

Клиника «Арбат»
Москва, ул. Большая Молчановка, 18
Метро Арбатская
Ежедневно с 9:00 до 21:00.
Клиника «Сокольники»
Москва, ул. Русаковская, 31 вход на 3-м этаже ТЦ "Сокольники"
Метро Сокольники
Ежедневно с 9:00 до 21:00.

Как добраться

Как проехать и где припарковаться
Как дойти и где пообедать перед приёмом

Лучше всего соблюдать рекомендации навигатора и учитывать, что в центре Москвы большая проблема с парковками. Мы советуем парковаться на противоположной стороне от нас (Арбатская, 15) на большой платной парковке.

Если вы решили не приезжать на автомобиле, чтобы не тратить время на поиски места парковки, то самое близкое и удобное метро Арбатская. Вы выходите из метро, поворачиваете налево и идете прямо до перехода. ТАм вы сворачиваете направо и выходите на Новый Арбат. Следует идти прямо вдоль улицы пока не увидите японское кафе "Якитория", в котором, кстати можно пообедать. Сразу за ним вы сворачиваете налево на Большую Молчановку, проходите вдоль серого здания и видите лестницу к нам. Добро пожаловать

Как проехать и где припарковаться
Как дойти и где пообедать перед приёмом

Мы рекомендуем использовать навигатор. Припарковаться можно внизу, на подземной парковке. Парковка в торговом центре - 50 рублей/час первые два часа, потом 100/час. Можно припарковаться на территории у ресторана Макодональдс, напротив отеля "Новотель", но придется перейти через дорогу.

Выход из метро Сокольники номер 2. После выхода из метро, поворачиваете направо, доходите до ТЦ "Сокольники". Войдя в ТЦ, поворачиваете налево в сторону лифтов, которые располагаются напротив магазина "Перекресток" и поднимаетесь на 3 этаж. Далее выходите из лифтовой зоны и следуйте по указателям.

Если вы приехали на прием, а ТЦ закрыт: от центрального входа ( не заходя в здание) поверните налево и пройдите вдоль здания до вывески "Парковка". Прямо под ней есть серая дверь с домофоном. Она всегда открыта. Нужно зайти в нее и подняться по лестнице до последнего (третьего) этажа. Далее увидите перед собой клинику - вы на месте! Более подробно можно ознакомится тут


Оставьте заявку на запись на бесплатную консультацию ортодонта
В консультацию входит 3D-диагностика, визуализация вашей новой улыбки, индивидуальный план лечения, расчёт стоимости «под ключ».
Нажимая на кнопку «Бесплатная консультация», вы соглашаетесь с политикой конфиденциальности.
Оставьте заявку на запись на бесплатную консультацию ортодонта