Фотосессия за виниры*

Фотосессия за виниры*

Ослепительная фотосессия от #ПРОПРИКУС в подарок!

Об акции

#ПРОПРИКУС ДАРИТ ПОДАРКИ


Мы приготовили для вас сюрприз: только у нас при установке виниров - ослепительная фотосессия в подарок!

Новые фотографии себя и своей новой улыбки, чтобы скорее покрасоваться ими в социальных сетях!


Условия акции просты и состоят из трех шагов:

1. Записаться на прием

2. Установить виниры в #ПРОПРИКУС

3. Наслаждаться идеальной улыбкой и классными фотографиями!


Скорее записывайся на прием и не упускай возможность!

Но у нас есть специальные правила:

Если вы хотите воспользоваться другой действующей акцией (в любом направлении), то депозит вы потратить не сможете.
Если сумма чека меньше 50 000 Р, вы можете оплатить 30% от суммы чека своим депозитом.
Если сумма чека больше 50 000 Р, вы можете оплатить до 50% от суммы чека своим депозитом.

Кроме того, если вы и ваш родственник начнете лечение в один день, вы вдвоем получите дополнительную скидку в размере 5% на текущее ортодонтическое лечение (в таком случае депозит не начисляется).

Если же вы и ваш родственник начнете лечение по очереди, первому из вас мы начислим депозит, а второму предоставим выбор - использовать депозит или получить 5% скидку на стоимость лечения.


Улыбки, которые вдохновляют

Фото #5
Фото #4
Фото #3
Фото #1

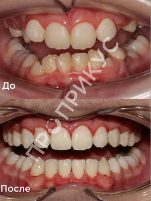
До и После: реальные истории, реальные улыбки

Фото #8
Фото #11
Фото #7
Фото #9

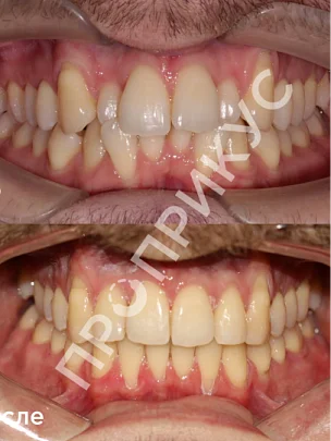
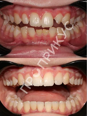
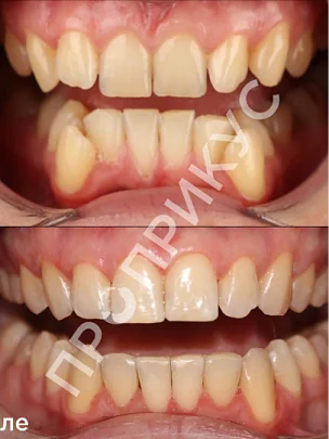
Еще больше До и После

Фото #7
Фото #3
Фото #8
Фото #2
Оставьте заявку на запись на бесплатную консультацию ортодонта
В консультацию входит 3D-диагностика, визуализация вашей новой улыбки, индивидуальный план лечения, расчёт стоимости «под ключ».
Нажимая на кнопку «Бесплатная консультация», вы соглашаетесь с политикой конфиденциальности.
Оставьте заявку на запись на бесплатную консультацию ортодонта