Киргуева Дзерасса Валерьевна
Киргуева Дзерасса Валерьевна

Киргуева Дзерасса Валерьевна

★★★★★
4.9
Стоматолог - ортодонт
39
Вылечено пациентов
3
Стаж врача

На приеме за 45 минут вы получите:

Диагностику и оценку вашей текущей ситуации
Консультацию с ведущим врачом
3D-сканирование полости рта
Демонстрацию вашей улыбки после лечения
Фотопротокол для определения влияния прикуса на ваше тело
Подбор вида лечения в зависимости от ваших пожеланий и клинической ситуации

Биография врача

Профессиональный рост

2023 г. — Северо-Осетинская государственная медицинская академия. Факультет стоматологии

Какие проблемы прикуса я лечу?

Скученность зубов
Скученность зубов
Выпирающий ряд зубов
Выпирающий ряд зубов
«Съехавший» ряд зубов
«Съехавший» ряд зубов
«Хищные» клыки
«Хищные» клыки
Глубокий прикус
Глубокий прикус
Нет смыкания
Нет смыкания

Выполненные работы

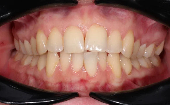
Смещение клыков и моляров по 2 классу по Энглу справа и слева

Проблема
Смещение клыков и моляров по 2 классу по Энглу справа и слева.
Врач
Киргуева Дзерасса Валерьевна

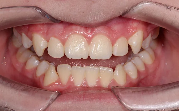
Скученность, протрузия на верхней и нижней челюсти

Проблема
Сильная скученность. Протрузия на вч и нч. Проблема с суставом
Врач
Киргуева Дзерасса Валерьевна

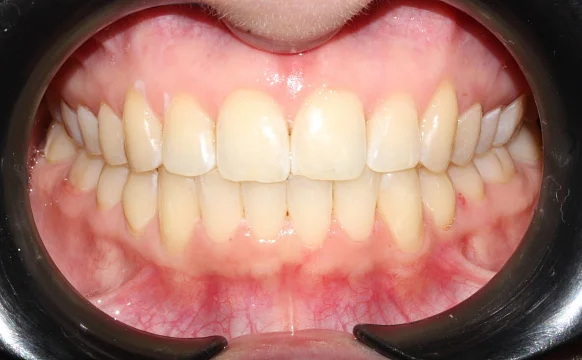
Глубокий прикус, скученность на нижней челюсти

Проблема
Глубокий прикус, скученность зубов на нижний челюсти
Врач
Киргуева Дзерасса Валерьевна

Отзывы

Анна Матвеева
Лечусь у Дзерассы Валерьевны второй год. Сначала были брекеты, сейчас уже на ретейнерах. Хочу отметить что Киргуева всегда пунктуальная, приёмы начинаются вовремя. Результат превзошёл ожидания, улыбаюсь теперь без стеснения. Спасибо доктору!
Михаил Денисов
Пришёл к Киргуевой исправлять прикус в 35 лет. Дзерасса Валерьевна молодой врач, но очень грамотная. Не стала обещать чудес, честно сказала сколько займёт лечение. Ношу элайнеры, хожу на приём раз в месяц. Всем доволен.
Софья Парфенова
Привела дочку 14 лет к Дзерассе Валерьевне. У ребёнка смещение по второму классу, в другой клинике сказали ждать до совершеннолетия. Киргуева предложила начать лечение сейчас пока идёт рост. Носим брекеты уже год, динамика отличная.
Дарья Федорова
Лечусь у Дзерассы Валерьевны на элайнерах, пришла со скученностью и глубоким прикусом. Врач сразу провела полную диагностику, объяснила причины проблемы и план лечения. Ношу капы 8 месяцев, каждый приём Киргуева проверяет прогресс по плану.
Любовь Иванова
Обратилась к Киргуевой Д.В. с протрузией на обеих челюстях, плюс были проблемы с суставом. Дзерасса Валерьевна подошла комплексно, назначила дополнительную диагностику ВНЧС. Теперь лечимся и прикус выравниваем, и сустав восстанавливаем. Такой подход внушает доверие.

Подход к лечению

Доказательная база

Для эффективного лечения зубов необходима качественная диагностика. Врач применяет только научно-обоснованные решения.

Комплексность

При необходимости подключает логопеда, миотерапевта и других смежных специалистов — чтобы результат был не только красивым, 
но и функционально стабильным.

Простые объяснения

Сложные рекомендации переводит на понятный язык, показывает наглядные кейсы «до/после».

Сложные случаи

Врач справляется даже с самыми сложными случаями. 
Вы можете вылечить прикус с помощью прозрачных кап или классических брекетов, а также установить виниры и коронки, пройти профессиональную гигиену для взрослых
и детей, вылечить кариес, а также удалить зубы мудрости.
Блок картинки

Оказываемые услуги

Элайнеры Click Aligners
Элайнеры Click Aligners нового поколения от российского производителя, разработанные ведущими ортодонтами. Протоколы лечения на элайнерах Click помогают точно спланировать перемещение зубов.
Узнать подробнее
Установка элайнеров
Элайнеры – это прозрачные капы из тонкого медицинского пластика мягко и точно перемещают зубы в нужное положение.
Узнать подробнее
Установка брекетов
Брекеты позволяют избавиться от скученности, устранить межзубные промежутки и получить ровные зубы. Длительность и стоимость терапии зависят от клинической картины.
Узнать подробнее
Консультация ортодонта
Каждый пациент заинтересован, чтобы его лечил лучший ортодонт. Во время осмотра понаблюдайте, комфортно ли вам находиться рядом с врачом.
Узнать подробнее

Публикации врача

Белые пятна на зубах у взрослых
Белые пятна на зубах кажутся косметическим дефектом, но за ними почти всегда стоит конкретная причина: начальный кариес, флюороз, гипоплазия эмали или последствия ношения брекетов. От причины зависит и метод лечения — реминерализация, инфильтрация смолами, микроабразия или отбеливание. В статье разбираем, как отличить одно от другого, в каких случаях пятна опасны, а в каких безвредны, и что можно сделать, чтобы убрать дефект без сошлифовки эмали.
Узнать подробнее
Как вырвать зуб
Удаление или экстракция зуба – это одна из самых частых хирургических процедур в стоматологии. Врачи в современных клиниках стараются избегать удаления, используя сохраняющие терапевтические методики при лечении заболеваний зубодесневого комплекса.
Узнать подробнее
Когда растет зуб мудрости
Зубы мудрости прорезаются позже всех — в 20–25 лет, а иногда остаются в челюсти до 40. Процесс может идти тихо, а может сопровождаться болью, отеком, воспалением и смещением соседних зубов. Разбираем, когда и как растут восьмерки, зачем они нужны, в каких случаях их сохраняют и когда без удаления не обойтись.
Узнать подробнее
Прогнатия
Прогнатия верхней челюсти – вид диагноза, который ставится в 30 % случаев неправильного прикуса. Она характеризуется выступанием верхней челюсти относительно нижней (при прогении или мезиальной окклюзии – наоборот).
Узнать подробнее
Неправильный прикус у взрослых
У 80% людей есть аномалии прикуса, и большинство из них не подозревают об этом до первых серьёзных последствий: стираемости эмали, проблем с ВНЧС или трудностей при протезировании. В статье разбираем, по каким признакам самостоятельно заподозрить неправильную окклюзию, какие виды патологии существуют и чем они отличаются, а также какие методы лечения применяются у взрослых пациентов и на какой результат можно рассчитывать.
Узнать подробнее
Воск для брекетов
Исправление прикуса с помощью брекет-системы – способ лечения, требующий тщательного ухода за конструкцией и регулярных приемов ортодонта. Когда полость рта адаптируется к инородному предмету, на слизистой могут образовываться повреждения от элементов изделия.
Узнать подробнее
Брекеты или пластинки – что лучше
Для исправления дефектов прикуса применяют пластины или брекет-системы. Такие конструкции имеют определенные особенности.
Узнать подробнее
Последствия неправильного прикуса
Неправильный прикус – аномалии челюстного аппарата, при которых наблюдается патологическое смыкание зубных рядов. Дефект приводит к нарушениям функций зубочелюстной системы.
Узнать подробнее
Кто такой ортодонт
Ортодонт – врач, занимающийся устранением аномалий челюстного аппарата. К этому доктору можно обратиться при кривизне зубов, выступающей челюсти, асимметрии лица и других дефектах.
Узнать подробнее
Нормальный прикус
Прикус – это окклюзия рядов при закрытии нижней и верхней челюстей. Нужно следить за состоянием полости рта. Неправильный прикус способствует серьезным проблемам.
Узнать подробнее
Оставьте заявку на запись на бесплатную консультацию ортодонта
В консультацию входит 3D-диагностика, визуализация вашей новой улыбки, индивидуальный план лечения, расчёт стоимости «под ключ».
Нажимая на кнопку «Бесплатная консультация», вы соглашаетесь с политикой конфиденциальности.
Оставьте заявку на запись на бесплатную консультацию ортодонта