Работы

Работы


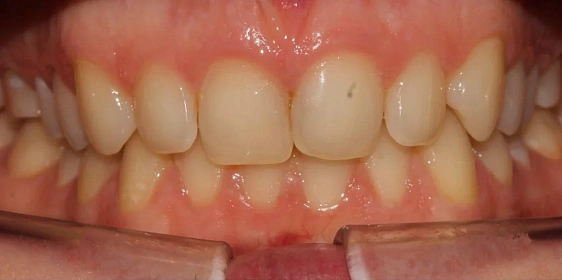
Лечение cкученности на нижней челюсти на элайнерах Лечение cкученности на нижней челюсти на элайнерах
Лечение cкученности на нижней челюсти на элайнерах
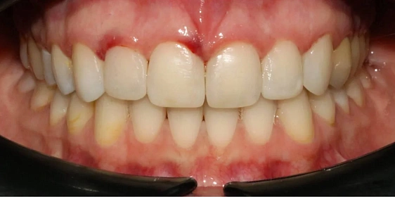
Ортодонтическое лечение на элайнерах Ортодонтическое лечение на элайнерах
Ортодонтическое лечение на элайнерах
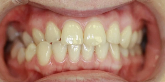
Лечение скученности зубов на элайнерах Лечение скученности зубов на элайнерах
Лечение скученности зубов на элайнерах
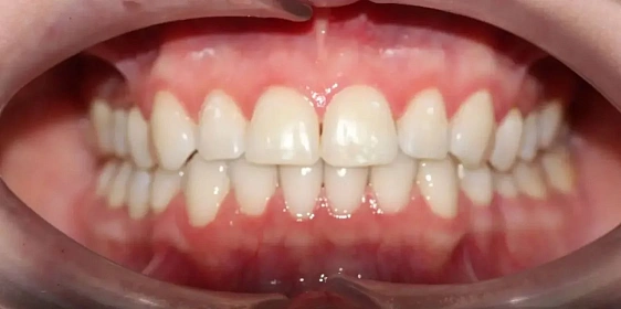
Лечение аномалии соотношений зубных дуг на брекет-системе Лечение аномалии соотношений зубных дуг на брекет-системе
Лечение аномалии соотношений зубных дуг на брекет-системе
Коррекция аномалии соотношений зубных дуг элайнерами Коррекция аномалии соотношений зубных дуг элайнерами
Коррекция аномалии соотношений зубных дуг элайнерами
Лечение аномалии соотношений зубных дуг на элайнерах Лечение аномалии соотношений зубных дуг на элайнерах
Лечение аномалии соотношений зубных дуг на элайнерах
Ортодонтическое лечение на элайнерах Ортодонтическое лечение на элайнерах
Ортодонтическое лечение на элайнерах
Лечение скученности зубов на брекет-системе Лечение скученности зубов на брекет-системе
Лечение скученности зубов на брекет-системе
Лечение скученности зубов на брекет-системе Лечение скученности зубов на брекет-системе
Лечение скученности зубов на брекет-системе
Лечение диастемы на верхней челюсти на элайнерах Click Лечение диастемы на верхней челюсти на элайнерах Click
Лечение диастемы на верхней челюсти на элайнерах Click
Оставьте заявку на запись на бесплатную консультацию ортодонта
В консультацию входит 3D-диагностика, визуализация вашей новой улыбки, индивидуальный план лечения, расчёт стоимости «под ключ».
Нажимая на кнопку «Бесплатная консультация», вы соглашаетесь с политикой конфиденциальности.
Оставьте заявку на запись на бесплатную консультацию ортодонта