Кламм Алиса Вячеславовна
Кламм Алиса Вячеславовна

Кламм Алиса Вячеславовна

★★★★★
4.9
Меня зовут Кламм Алиса Вячеславовна
Помню как в детстве мама привела меня на приём к стоматологу, мне было совсем не страшно, а очень интересно наблюдать за доктором и уже тогда поняла, что когда я вырасту, стану стоматологом. Я коллекционировала зубные щётки и средства для ухода за полостью рта, поэтому гигиенист мое призвание.
764
Вылечено пациентов
14
Стаж врача

На приеме за 45 минут вы получите:

Диагностику и оценку вашей текущей ситуации
Консультацию с ведущим врачом
3D-сканирование полости рта
Демонстрацию вашей улыбки после лечения
Фотопротокол для определения влияния прикуса на ваше тело
Подбор вида лечения в зависимости от ваших пожеланий и клинической ситуации

Биография врача

Профессиональный рост
Мой стаж работы составляет 10 лет 
 1. Стоматология «Поволжье» г. Волгоград  2012-2015 гг 
 2. Стоматология «dental fantasy”  г. Москва 2015-2016гг 
 3. Фамильная стоматология г. Москва 2016-2022 
 4. Стоматология «проприкус» г. Москва 2022-нв 
Достижения
 1. «Пародонтиты и переимплантиты. Нехирургическая пародонтолония, профессиональная и индивидуальная гигиена.» 12-13 февраля 2022
 2. «Офисное и домашнее отбеливание зубов Philips zoom” фармгеоком 2018

Какие проблемы прикуса я лечу?

Скученность зубов
Скученность зубов
Выпирающий ряд зубов
Выпирающий ряд зубов
«Съехавший» ряд зубов
«Съехавший» ряд зубов
«Хищные» клыки
«Хищные» клыки
Глубокий прикус
Глубокий прикус
Нет смыкания
Нет смыкания

Выполненные работы

Гигиена

Проблема
Профессиональная гигиена
Врач
Кламм Алиса Вячеславовна

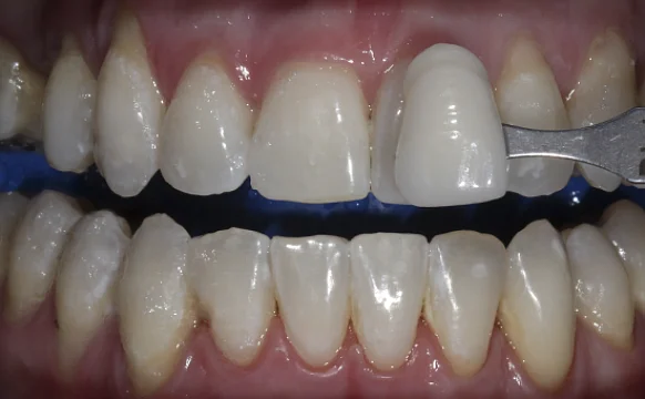
Отбеливание системой AmazingWhite

Проблема
Восстановление цвета эмали
Врач
Кламм Алиса Вячеславовна

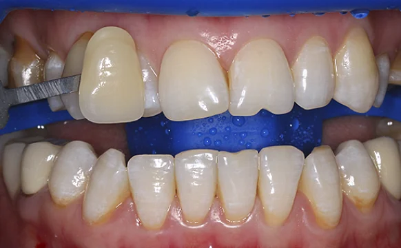
Отбеливание Zoom4

Проблема
Восстановление цвета эмали
Врач
Кламм Алиса Вячеславовна

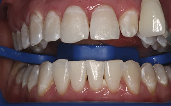
Отбеливание линии улыбки системой ZOOM 4

Проблема
Восстановление цвета эмали
Врач
Кламм Алиса Вячеславовна

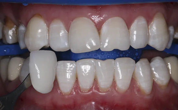
Отбеливание зубов системой Zoom 4

Проблема
Врач
Кламм Алиса Вячеславовна

Эстетическая реставрация

Проблема
Врач
Кламм Алиса Вячеславовна

Реставрация задних зубов

Проблема
Врач
Кламм Алиса Вячеславовна

Эстетическая реставрация задних зубов

Проблема
Врач
Кламм Алиса Вячеславовна

Реставрация зубов

Проблема
Врач
Кламм Алиса Вячеславовна

Эстетическая реставрация жевательной группы зубов

Проблема
Врач
Кламм Алиса Вячеславовна

Эстетическая реставрация фронтальной группы зубов

Проблема
Врач
Кламм Алиса Вячеславовна

Детская профилактическая гигиена полости рта

Проблема
Врач
Кламм Алиса Вячеславовна

Профилактическая гигиена полости рта на этапе лечения на элайнерах

Проблема
Врач
Кламм Алиса Вячеславовна

Восстановление цвета эмали с помощью отбеливания Zoom 4

Проблема
Врач
Кламм Алиса Вячеславовна

Отбеливание системой ZOOM4

Проблема
Врач
Кламм Алиса Вячеславовна

Видео отзывы пациентов

Подход к лечению

Доказательная база

Для эффективного лечения зубов необходима качественная диагностика. Врач применяет только научно-обоснованные решения.

Комплексность

При необходимости подключает логопеда, миотерапевта и других смежных специалистов — чтобы результат был не только красивым, 
но и функционально стабильным.

Простые объяснения

Сложные рекомендации переводит на понятный язык, показывает наглядные кейсы «до/после».

Сложные случаи

Врач справляется даже с самыми сложными случаями. 
Вы можете вылечить прикус с помощью прозрачных кап или классических брекетов, а также установить виниры и коронки, пройти профессиональную гигиену для взрослых
и детей, вылечить кариес, а также удалить зубы мудрости.
Блок картинки

Оказываемые услуги

Чистка AirFlow
Чистка зубов Air Flow – современная стоматологическая технология и составной этап профилактики зубных заболеваний.
Узнать подробнее
Отбеливание зубов
Белые зубы - часть привлекательной улыбки. Однако со временем из-за различных факторов они желтеют и темнеют.
Узнать подробнее
Чистка зубов
Для сохранения крепких зубов требуется профессиональная чистка в стоматологической клинике.
Узнать подробнее
Отбеливание Zoom 4
В процессе отбеливания системой ZOOM-4 на поверхность зубов наносится осветляющий гель с перекисью водорода.
Узнать подробнее
Ультразвуковая чистка зубов
С помощью услуги ультразвуковой чистки зубов можно успешно удалить мягкие или плотные отложения с поверхности эмали.
Узнать подробнее
Фторирование зубов
Фторирование эмали зубов — эффективная процедура для комплексного укрепления. Ремотерапия необходима при склонности к кариозным поражениям.
Узнать подробнее
Чистка зубного камня
Налёт образуется через 2-3 часа после чистки зубов. Он представляет собой липкую биоплёнку из бактерий и остатков еды.
Узнать подробнее
Диагностика зубов и полости рта
Качественная стоматологическая диагностика нужна для раннего выявления зубных заболеваний.
Узнать подробнее

Публикации врача

Сепарация зубов
При патологии развития зубочелюстного аппарата часто проводится сепарация зубов. При брекетах и других видах ортодонтической коррекции она позволяет избежать удаления. Незначительное стачивание эмали дает возможность освободить пространство, необходимое для полноценного выравнивания зубного ряда.
Узнать подробнее
Культевая вкладка
Культевой вкладкой называется конструкция, устанавливаемая в каналы зуба как основа под коронку. Она рекомендована для восстановления зубов со значительной степенью разрушения и здоровым корнем. Протез заполняет образовавшиеся пустоты, создавая надежную опору под коронку.
Узнать подробнее
Оставьте заявку на запись на бесплатную консультацию ортодонта
В консультацию входит 3D-диагностика, визуализация вашей новой улыбки, индивидуальный план лечения, расчёт стоимости «под ключ».
Нажимая на кнопку «Бесплатная консультация», вы даёте согласие на обработку персональных данных.
Оставьте заявку на запись на бесплатную консультацию ортодонта