Коррекция скученности на элайнерах

Коррекция скученности на элайнерах

Дата публикации: 01.04.26

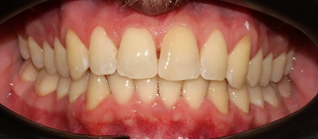
Фотографии опубликованы с согласия пациента

Проблема: Жалобы: эстетика
Диагноз: Диастема между верхними центральными резцами
Арутюнова Екатерина Ашотовна
Зав. отделением ортодонтии на Арбате
Стаж более 8 лет
★★★★★ 5.0
Хочу консультацию
Оставьте заявку на запись на бесплатную консультацию ортодонта
В консультацию входит 3D-диагностика, визуализация вашей новой улыбки, индивидуальный план лечения, расчёт стоимости «под ключ».
Нажимая на кнопку «Бесплатная консультация», вы соглашаетесь с политикой конфиденциальности.
Оставьте заявку на запись на бесплатную консультацию ортодонта