Дмитриева Елена Сергеевна
Дмитриева Елена Сергеевна

Дмитриева Елена Сергеевна

★★★★★
4.9
Ведущий ортодонт
Мое решение стать ортодонтом сформировалось еще в детстве, когда я носила пластинку, мне было так интересно как меняется положение моих зубов, слепки в кабинете доктора, с тех пор я мечтала стать ортодонтом и осуществила свою мечту.
1560
Вылечено пациентов
17
Стаж врача

На приеме за 45 минут вы получите:

Диагностику и оценку вашей текущей ситуации
Консультацию с ведущим врачом
3D-сканирование полости рта
Демонстрацию вашей улыбки после лечения
Фотопротокол для определения влияния прикуса на ваше тело
Подбор вида лечения в зависимости от ваших пожеланий и клинической ситуации

Биография врача

Профессиональный рост
В 2008 году окончила медицинский Университет в г. Казани, в 2009 интернатуру, с 2009-2011г ординатура на базе Казанской Государственной Медицинской Академии, далее каждые 5 лет повышение квалификации и дополнительные образовательные курсы.
Достижения
В своей работе Елена Сергеевна сочетает современные технологии с индивидуальным подходом к каждому пациенту. Её пациенты особенно ценят умение внимательно слушать и предлагать решения, которые учитывают не только медицинские показания, но и личные пожелания.

Какие проблемы прикуса я лечу?

Скученность зубов
Скученность зубов
Выпирающий ряд зубов
Выпирающий ряд зубов
«Съехавший» ряд зубов
«Съехавший» ряд зубов
«Хищные» клыки
«Хищные» клыки
Глубокий прикус
Глубокий прикус
Нет смыкания
Нет смыкания

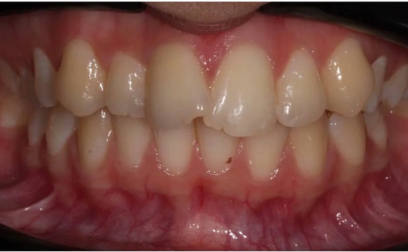
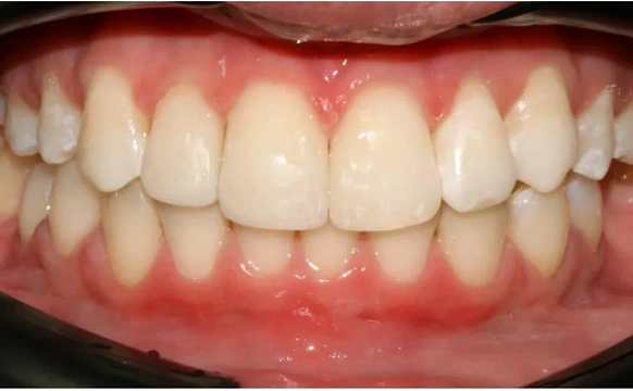
Выполненные работы

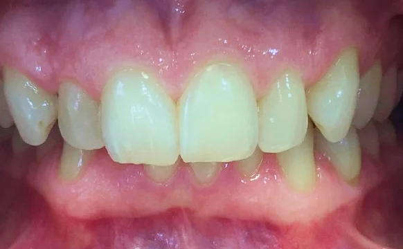
Лечение на элайнерах 3D Smile — выровняли зубы и исправили смыкание

Проблема
Врач
Дмитриева Елена Сергеевна

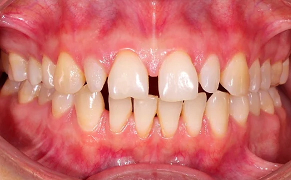
Ортодонтическое лечение №3

Проблема
Скученность зубов на нижней и верхней челюсти.
Врач
Дмитриева Елена Сергеевна

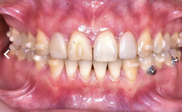
Ортодонтическое лечение №2

Проблема
Скученность зубов
Врач
Дмитриева Елена Сергеевна

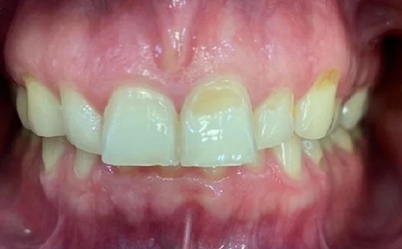
Ортодонтическое лечение №4

Проблема
Скученность зубов
Врач
Дмитриева Елена Сергеевна

Ортодонтическое лечение №1

Проблема
Скученность зубов
Врач
Дмитриева Елена Сергеевна

Подход к лечению

Доказательная база

Для эффективного лечения зубов необходима качественная диагностика. Врач применяет только научно-обоснованные решения.

Комплексность

При необходимости подключает логопеда, миотерапевта и других смежных специалистов — чтобы результат был не только красивым, 
но и функционально стабильным.

Простые объяснения

Сложные рекомендации переводит на понятный язык, показывает наглядные кейсы «до/после».

Сложные случаи

Врач справляется даже с самыми сложными случаями. 
Вы можете вылечить прикус с помощью прозрачных кап или классических брекетов, а также установить виниры и коронки, пройти профессиональную гигиену для взрослых
и детей, вылечить кариес, а также удалить зубы мудрости.
Блок картинки

Сертификаты

Удостоверение №1 Дмитриева Елена Сергеевна
Удостоверение №2 Дмитриева Елена Сергеевна
Диплом №1 Дмитриева Елена Сергеевна
Сертификат №1 Дмитриева Елена Сергеевна
Сертификат №2 Дмитриева Елена Сергеевна
Сертификат №3 Дмитриева Елена Сергеевна
Сертификат №4 Дмитриева Елена Сергеевна
Сертификат №5 Дмитриева Елена Сергеевна

Оказываемые услуги

Элайнеры Click Aligners
Элайнеры Click Aligners нового поколения от российского производителя, разработанные ведущими ортодонтами. Протоколы лечения на элайнерах Click помогают точно спланировать перемещение зубов.
Узнать подробнее
Установка элайнеров
Элайнеры – это прозрачные капы из тонкого медицинского пластика мягко и точно перемещают зубы в нужное положение.
Узнать подробнее
Установка брекетов
Брекеты позволяют избавиться от скученности, устранить межзубные промежутки и получить ровные зубы. Длительность и стоимость терапии зависят от клинической картины.
Узнать подробнее
Брекеты на верхнюю челюсть
Верхние зубы далеки от идеала – в голове почти сразу возникает мысль о брекетах.
Узнать подробнее
Брекеты на нижнюю челюсть
Ортодонтическое лечение брекет-системами дает хорошие результаты в исправлении прикуса, улучшая эстетику улыбки и жевательную функцию.
Узнать подробнее
Консультация ортодонта
Каждый пациент заинтересован, чтобы его лечил лучший ортодонт. Во время осмотра понаблюдайте, комфортно ли вам находиться рядом с врачом.
Узнать подробнее
Металлические брекеты
Металлические брекеты, несмотря на то, что выделяются, полностью компенсируют данный ньюанс высокой эффективностью и точностью перемещения зубов.
Узнать подробнее

Публикации врача

Вестибулярные брекеты: виды, установка и сроки лечения
Вестибулярные брекеты — самая распространённая ортодонтическая система в мире. В этой статье разберём, как устроена конструкция, какие бывают виды по материалу и типу фиксации, кому подходит лечение и сколько оно стоит.
Узнать подробнее
Свищ на десне у ребенка
Небольшой прыщик на десне у ребёнка — и многие родители решают подождать: может пройдёт само. Но свищ не проходит. Это канал, через который организм сбрасывает гной из воспалённого очага у корня зуба, и когда он открывается, боль действительно стихает — создавая иллюзию выздоровления. На деле воспаление переходит в хроническую форму и может месяцами разрушать костную ткань, угрожая зачаткам постоянных зубов. В статье — симптомы, причины и тактика лечения.
Узнать подробнее
Кариес молочных зубов у детей
Когда у ребенка темнеет небольшой участок на зубе или появляется едва заметная точка, многие родители реагируют спокойно: «Это же молочные, все равно выпадут». Но стоматологи хорошо знают: кариес молочных зубов – вовсе не безобидная временная проблема. Он развивается быстрее, чем у взрослых, глубже поражает ткани и может повлиять на формирование постоянных зубов и общее здоровье малыша.
Узнать подробнее
Нужно ли удалять молочные зубы у детей?
Многие родители уверены: молочные зубы – «временные», а значит, если что‑то пошло не так, можно просто удалить и ждать, пока вырастут новые. Но за таким решением скрывается целый пласт стоматологических закономерностей, от которых зависит не только красота улыбки в будущем, но и здоровье ребенка в целом.
Узнать подробнее
Желтый налет на зубах
Желтый налет на зубах – одна из самых распространенных жалоб, с которой пациенты обращаются к стоматологу, и при этом одна из самых недооцененных. Большинство воспринимает его как чисто эстетическую проблему: «нужно лучше чистить зубы» или «пора менять зубную пасту».
Узнать подробнее
Желтые зубы у детей
«Почему у малыша такие желтые зубки?» – вопрос, который хотя бы раз задавал себе каждый родитель. Вы внимательно следите за гигиеной, выбираете детские пасты с кальцием, ограничиваете сладости, а улыбка ребенка все равно не сияет белизной.
Узнать подробнее
Оставьте заявку на запись на бесплатную консультацию ортодонта
В консультацию входит 3D-диагностика, визуализация вашей новой улыбки, индивидуальный план лечения, расчёт стоимости «под ключ».
Нажимая на кнопку «Бесплатная консультация», вы соглашаетесь с политикой конфиденциальности.
Оставьте заявку на запись на бесплатную консультацию ортодонта