Скученность, глубокий прикус и старые коронки — лечение на элайнерах Click

Скученность, глубокий прикус и старые коронки — лечение на элайнерах Click

У меня похожий случай
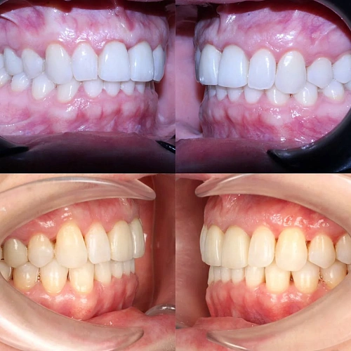
Итоги по кейсу
Пол
Женский
Возраст
38 лет
Жалоба
Неровные зубы, неправильный прикус.
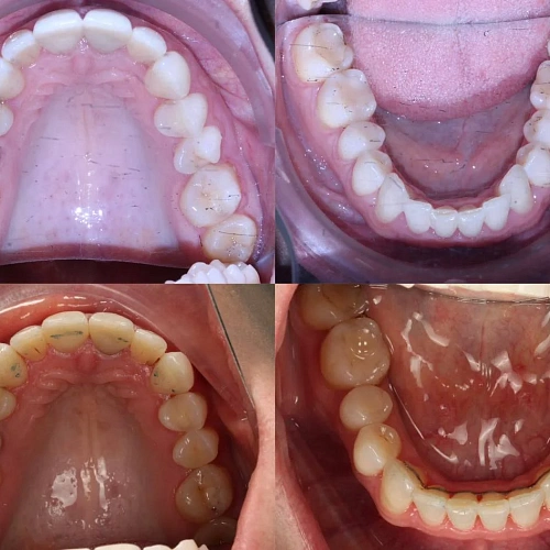
Диагностика
Верхняя челюсть выступала вперёд относительно нижней с обеих сторон (II класс по Энглю). Обе челюсти сужены, зубы стояли скученно. Нарушена кривая смыкания — жевательные зубы были на разной высоте.
Дополнительно
На двух передних зубах верхней челюсти ранее установлены металлокерамические коронки.
План лечения
Прозрачные элайнеры Click на обе челюсти. Расширить зубные дуги, убрать скученность, исправить прикус и выровнять линию смыкания. Лечение с учётом имеющихся коронок. Основной набор — 31 капа. Срок — около 1,5 лет.
Ход лечения
Лечение заняло 20 месяцев (июнь 2024 — февраль 2026). Понадобились два дополнительных набора: 26 и 7 кап — итого 64 капы. Несмотря на дозаказы, лечение уложилось в нормальный срок.
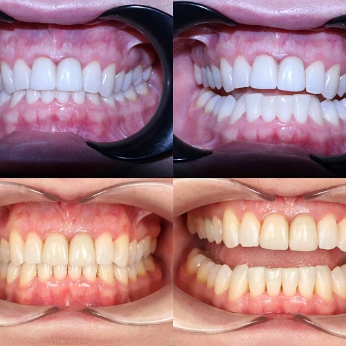
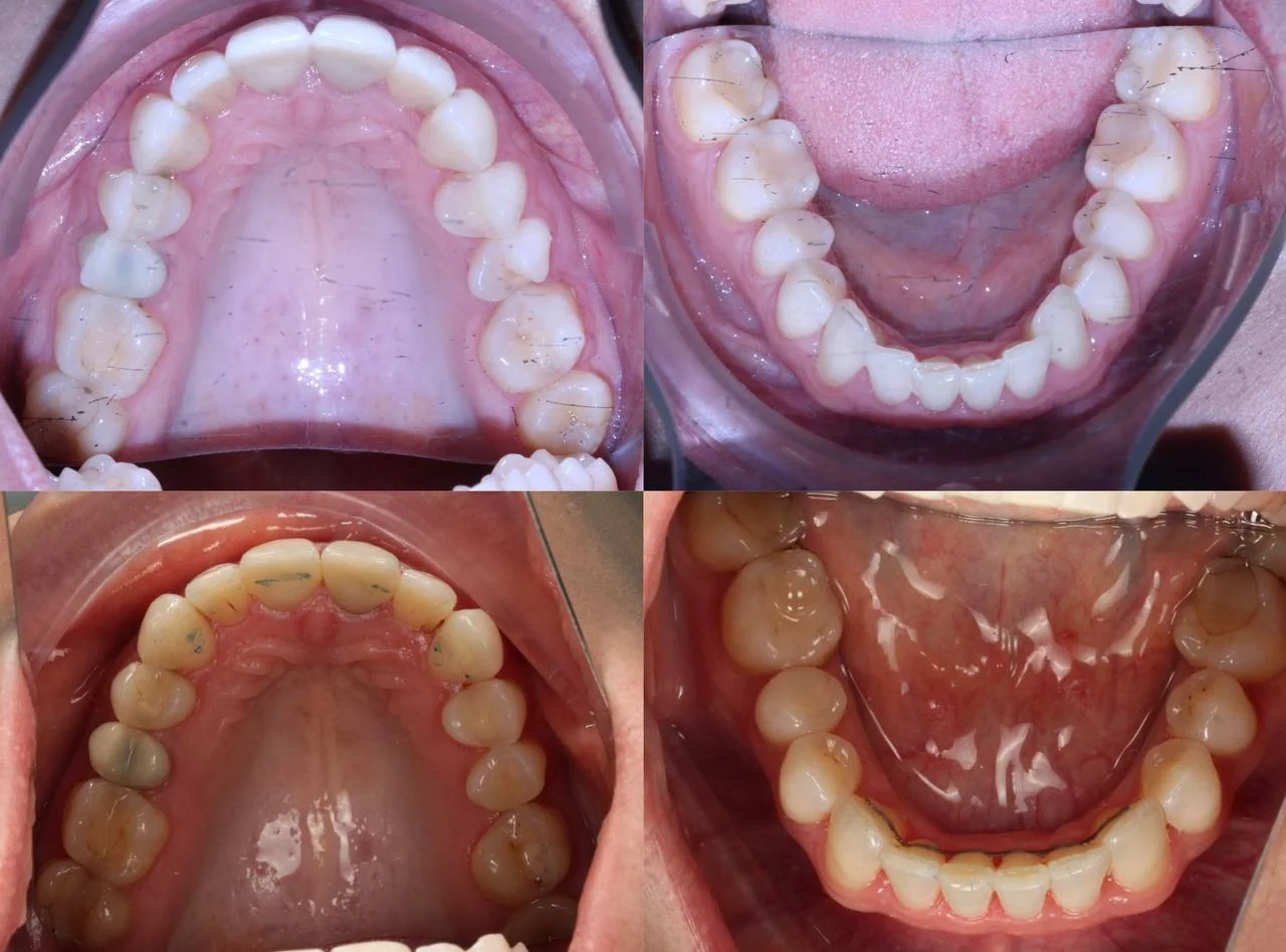
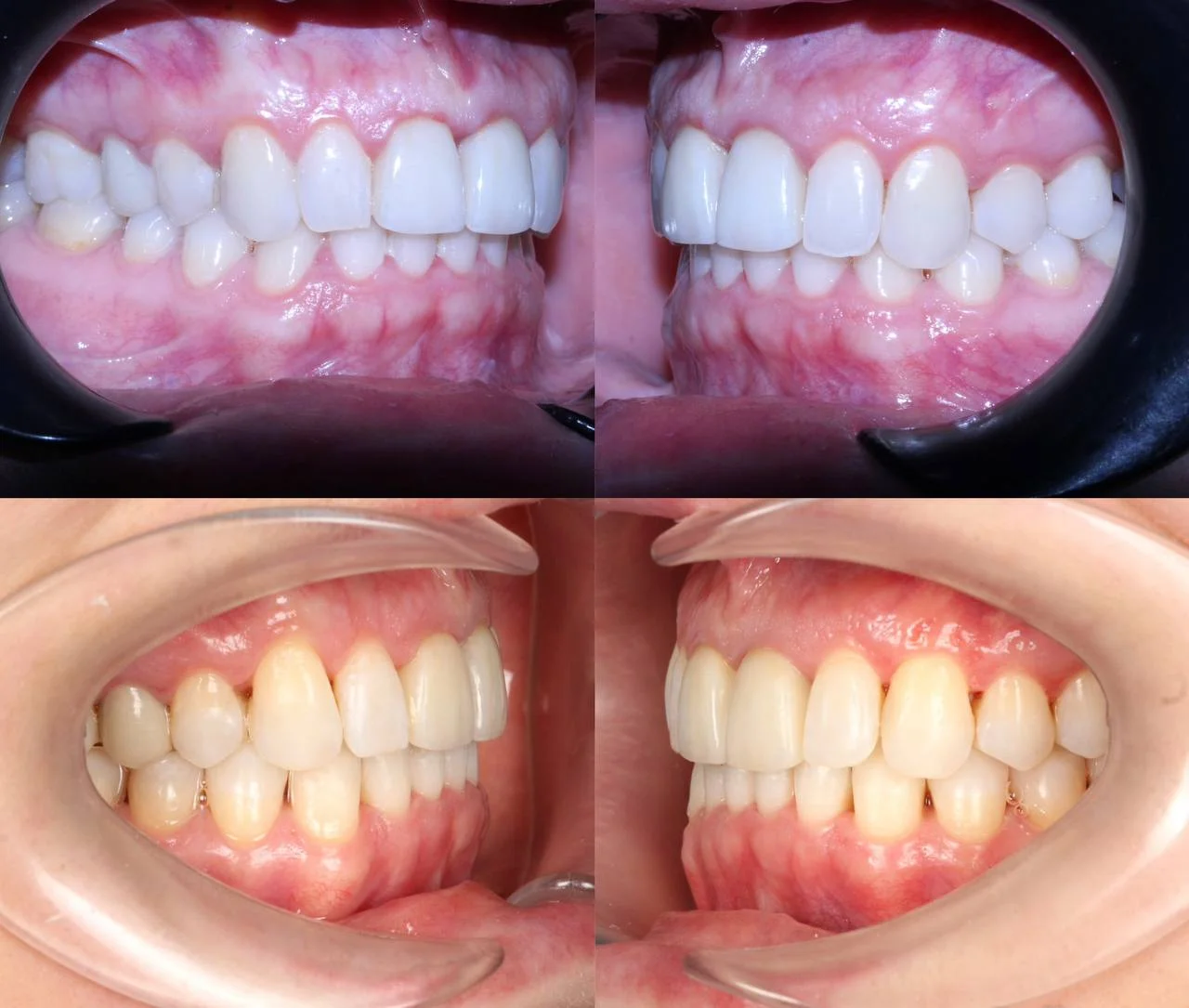
Результат
Зубы выровнены, скученность устранена, прикус исправлен, линия смыкания нормализована. Ретейнер установлен на нижнюю челюсть. На верхней ретейнер не ставили — на передних зубах коронки, вместо этого изготовлены ретенционные капы на обе челюсти. Пациентка направлена к ортопеду для замены коронок.

Дата публикации: 01.04.26

Фотографии опубликованы с согласия пациента

Оставьте заявку на запись на бесплатную консультацию ортодонта
В консультацию входит 3D-диагностика, визуализация вашей новой улыбки, индивидуальный план лечения, расчёт стоимости «под ключ».
Нажимая на кнопку «Бесплатная консультация», вы соглашаетесь с политикой конфиденциальности.
Оставьте заявку на запись на бесплатную консультацию ортодонта