Элайнеры для детей

Специальные условия при лечении на элайнерах до конца месяца. Начните с простого.

  • Старт всего 35 000 р.
  • Бесплатная консультация ортодонта
  • 3D-диагностика в подарок
  • Рассрочка 0% до 12 мес. без переплат
  • Фиксированная цена на весь курс
3904
Время на прочтение: 5 мин.
Элайнеры для детей
Дьячкова Инна Владимировна
Информация проверена экспертом клиники ПРОПРИКУС
Стоматолог - ортодонт
Стаж более 11 лет
★★★★★ 5.0

Элайнеры для детей — это прозрачные капы, которые исправляют прикус без брекетов и пластинок. Чаще всего их назначают с 6–10 лет, в период смены зубов — именно тогда костная ткань челюсти наиболее податлива и лечение идёт быстрее, чем у взрослых.

Капы изготавливаются индивидуально по 3D-слепку, плотно прилегают к зубам и мягко перемещают их в нужное положение. Ребёнок снимает их только во время еды — всё остальное время носит не замечая.

Показания и противопоказания к лечению детскими элайнерами

После первичной консультации стоматолог-ортодонт выявляет существующие нарушения зубного ряда. По результатам осмотра определяется, что для ребенка будет лучше: классические брекеты, пластинки или незаметные элайнеры-капы. Прозрачные капы имеют характерные показания и противопоказания к применению, как все ортодонтические системы.

Показания

  • Скученность зубов лёгкой и средней степени
  • Дистальный, глубокий, открытый или перекрёстный прикус средней степени
  • Диастемы, тремы и промежутки между зубами
  • Сужение зубных дуг, необходимость расширения челюсти
  • Незначительные ротации и наклоны отдельных зубов
  • Рецидив после ранее проведённого ортодонтического лечения

Противопоказания

  • Тяжёлые патологии прикуса, требующие сложных перемещений зубов (экструзия, интрузия)
  • Ретинированные зубы, которые не прорезались и требуют вытягивания из кости
  • Нелеченый кариес и воспаление дёсен — необходима полная санация до начала лечения
  • Недостаточная дисциплина ребёнка — капы нужно носить 20–22 часа в сутки и не терять
  • Возраст до 6 лет — зубочелюстная система ещё не готова к ортодонтическому лечению капами
  • Отсутствие большого количества зубов — капе не на чем фиксироваться

С какого возраста можно ставить элайнеры детям

Преимущество такого метода выравнивания прикуса в детском возрасте состоит в том, что за счет менее плотной костной ткани челюсти зубы перемещаются на новые места достаточно быстро. Малышам и детям до 9-10 лет капы ставят только в качестве метода возвращения зубов в нужное положение после процедуры расширения челюсти на аппаратах несъемного типа.

Носить приспособления необходимо до 22 часов в сутки и более. Снимают такие приспособления только для приёма пищи. Поэтому от ребенка потребуется внимательное отношение к гигиене полости рта. Таким образом чаще всего элайнеры для выравнивания и исправления прикуса назначают с 6-10 лет, в зависимости от организованности ребенка или детям в подростковом возрасте.

Это важно: капу и зубы необходимо очищать после каждого приёма пищи. Так как элайнер очень плотно прилегает к зубам, естественного омовения слюной не происходит. Поэтому на не чищенных зубах могут разрастись вредные бактерии, вызывающие кариес и другие стоматологические проблемы.

Преимущества элайнеров для детей

Несмотря на то, что ношение детских элайнеров имеет свои правила, многие заботливые родители выбирают именно этот способ исправления прикуса, а не традиционные брекет-системы. Преимущества незаметных, комфортных капп неоспоримы.

Безопасно и удобно

Комфорт ребенка - главная причина выбора этого метода выравнивания зубов. Элайнеры-капы изготавливаются из безопасных полимеров, у ортодонтической системы нет острых краев, раздражающих и болезненного натирающих слизистые части полости рта.

Во время приёма пищи капы вынимают, поэтому боятся за целостность приспособления, выбирать только мягкую текстуру блюд или платить за поврежденные участки брекетов не придется. Дети могут полноценно питаться, наслаждаясь каждым кусочком любимой еды. Уровень стресса от ношения системы минимальный, нет неприятных ощущений и резкой боли из-за процесса выравнивания.

Психологический комфорт и эстетичный вид

Элайнеры прозрачные, практически незаметны на зубах. Детям не придется стесняться своей улыбки. За счет эстетического вида кап такой метод предпочтителен для подростков, страдающих от переменчивого настроения, низкой самооценки и резкой критики сверстников.

Традиционные брекеты же часто вызывают психологическое отторжение у детей старше 10 лет. Чтобы процесс выравнивания прикуса происходил максимально комфортно, лучше выбирать элайнеры. Конечно, если нет медицинских противопоказаний к этому методу лечения.

Простой уход и вариативность ношения

Чтобы детские элайнеры работали, их нужно носить по 22 часа в день минимум. Но при необходимости: на фотосессию, важную встречу, день рождения, спортивное соревнование систему можно легко снять. Комфортное ношение - одно из главных достоинств прозрачных кап.

Для ухода за приспособлением не требуется каких-то специальных аппаратов или инструментов. Для поддержания гигиенической чистоты достаточно ополаскивать капу в теплой воде от после приема пищи. Для лучшего ухода используются мягкая зубная щетка, ирригатор и паста, не имеющая в составе абразивных частиц.

Если же процесс чистки вызывает дискомфорт, можно применять рекомендованные очищающие растворы. Купить такие средства можно в любой аптеке: цена не превышает стоимость обычных качественных паст. Растворы и обычная чистка зубной пастой не дают микроорганизмам и бактериям скапливаться на стенках элайнера, защищая полость рта от воспалительных процессов.

Популярность элайнеров в детском возрасте

Этапы установки детских элайнеров

Процедура установки и последующее ношение элайнеров безболезненный процесс, полностью безопасный для детей и подростков. Применяемые полимерные материалы гипоаллергенны, а лечение не вызывает сильного физического или психологического дискомфорта. Процедура исправления и выравнивания неправильного прикуса элайнерами происходит в несколько этапов:

  • Первичная консультация. При первом посещении ортодонта врач производит диагностику проблемы путем стоматологического осмотра зубного ряда и полости рта. Во время консультации станет понятно, подходят ли капы постоянного ношения конкретному ребенку или нужно использовать другие стоматологические системы. Также на консультации производят аппаратную диагностику.

Внимание: на этом этапе может потребоваться лечение кариеса (при его наличии), а также профессиональная процедура гигиены рта. Это необходимо, так как такие системы ставят только на здоровый зубной ряд.

  • Снятие слепков и создание индивидуальных кап. Цифровые слепки изготавливаются при помощи 3D-сканера. На этом этапе создается виртуальная модель будущего положения зубов и определяется количество кап, которые могут потребоваться для лечения. На основе полученных данных в лаборатории создаются элайнеры, рассчитанные на конкретного ребенка.

  • Ношение и лечебный контроль. Врач ставит капы, объясняет правила ухода за полимерной системой и разъясняет нюансы грамотного ношения. Затем родители узнают, когда нужно устанавливать новые элайнеры (график смены). Менять капы на новые нужно один раз в две недели.

Посещать врача-ортодонта для контрольного наблюдения будет необходимо только раз в 1-1,5 месяца. При установке системы родителям выдают готовый набор кап (2-3 штуки), которых хватит до следующего визита к врачу. Посещать ортодонтическую клинику ПРОПРИКУС между приемами ортодонта не нужно.

По отзывам родителей - элайнеры удобнее брекетов для детей и стрессо-устойчивости всей семьи. Цена на них выше, чем у брекет-систем, но чинить их (как брекеты) из-за неосторожного жевания твердой пищи не нужно.

Комплектация набора детских элайнеров

В случае потери элайнера или его порчи можно заказать новую пару. Но перерыв в ношении приведет к продлению необходимых для результата сроков ношения системы. Также во время планового осмотра врача происходит корректировка формы новых кап, поэтому стартовый комплект детских элайнеров включает только 2-3 пары, нужные для ношения в ближайшие 1-1,5 месяца.

Сроки лечения на детских элайнерах

Предварительный срок ношения такой системы ребенком определяется во время диагностического визита. Обычно лечение занимает от 6 до 18 месяцев, в зависимости от имеющихся проблем с положением зубов.

На длительность выравнивания влияет соблюдение рекомендаций врача по уходу и ношению элайнеров. Но снимать систему разрешается не более чем на 2 часа в сутки в общей сложности, иначе зубы быстро займут свое первоначальное место.

Подберем лучшее лечение

Приглашаем на бесплатную консультацию к ортодонту

  • Поставим правильный диагноз
  • Сделаем 3D-модель будущей улыбки
  • Предложим рассрочку

Запишитесь на бесплатную консультацию

Это бесплатно, безболезненно и очень полезно!

  • Сделаем 3D-модель улыбки;
  • Диагностируем что не так с прикусом;
  • Предоставим варианты лечения;

Консультация ничего не стоит и ни к чему вас
не обязывает.

Запишитесь на бесплатную консультацию

Совет врача

Детские элайнеры работают только тогда, когда родители активно включены в процесс - за 8 лет практики и спустя более, чем 1300 пациентов, я в этом твёрдо убеждена. Ребенок до 10-12 лет физически не может контролировать себя сам.

Моя рекомендация родителям: введите простой ритуал - каппа снята до еды, поели, почистили зубы, надели обратно. Это должно стать таким же автоматическим, как умывание. Второй важный момент - не замалчивайте дискомфорт ребенка. Если он говорит, что больно или неудобно - сообщайте мне. Мы либо скорректируем план, либо объясним, что это нормально.

Детская ортодонтия - это командная работа врача, ребёнка и родителя. Я всегда на связи.
Записаться на бесплатную консультацию
Дьячкова Инна Владимировна
Дьячкова Инна Владимировна
Стоматолог - ортодонт

Элемент не найден!

Протокол лечения детей на элайнерах в ПРОПРИКУС

Бесплатная консультация и 3D-диагностика
Врач проводит 3D-сканирование челюстей, проверяет прикус и называет предварительную стоимость лечения «под ключ». Никаких слепков и скрытых доплат.
Согласование плана лечения
На компьютере моделируем движение зубов и показываем, как будет выглядеть ваша улыбка после лечения. 
Вы утверждаете план — мы начинаем.
Консилиум специалистов
Ортодонт, ортопед, гигиенист, терапевт и хирург вместе составляют план лечения. 
Командная работа исключает ошибки.
Диагностика ВНЧС
Проверяем состояние височно-нижнечелюстного сустава и мышц. 
Это гарантирует стабильный результат без рецидивов.
Изготовление элайнеров
Отправляем вашу 3D-модель в лабораторию, где изготавливают индивидуальный комплект прозрачных кап — от первой до последней, с точностью до долей миллиметра.
Выдача и инструктаж
Выдаём первые наборы кап и объясняем правила: как надевать, снимать, чистить, сколько носить (20–22 часа в сутки). Каждые 1–2 недели вы сами меняете капу на следующую.
Контрольные визиты
Посещение ортодонта раз в 6–8 недель. Врач проверяет прогресс, при необходимости фиксирует аттачменты и выдаёт новые наборы кап.
Окончание лечения и ретенция
Снимаем аттачменты и изготавливаем ретейнеры, чтобы закрепить результат. Если идеал не достигнут — дозаказываем дополнительные капы за счёт клиники.

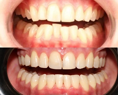
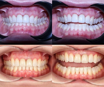
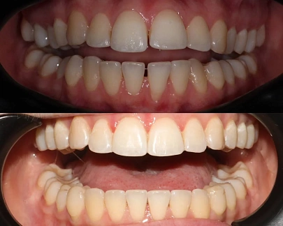
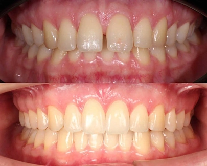
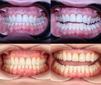
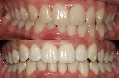
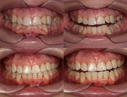
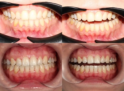
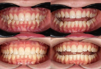
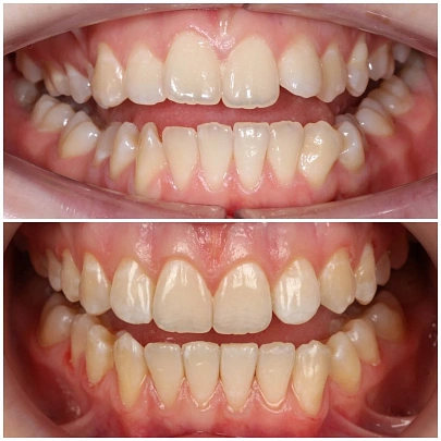
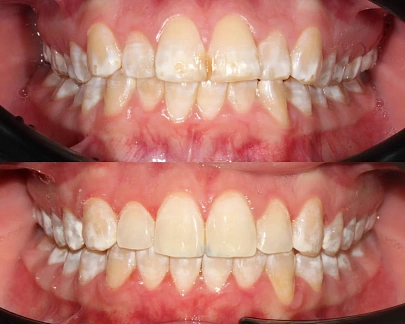
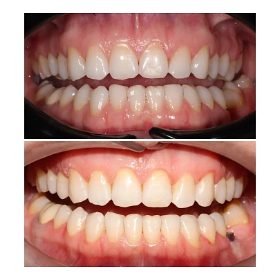
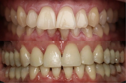
Результаты лечения

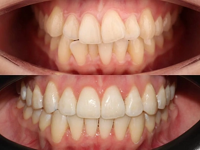
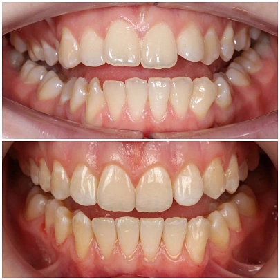
Скученность, глубокий прикус и старые коронки — лечение на элайнерах Click
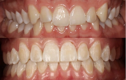
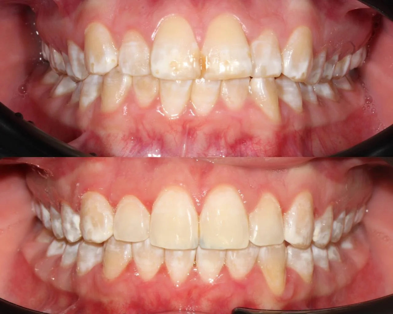
Неровные зубы и нарушение прикуса — лечение на элайнерах 3D Smile

Стоимость установки элайнеров для детей

Консультация главного врача-ортодонта
5 500 ₽
Лечение элайнерами с использованием системы Click Lite до 10 элайнеров
240 000
190 000 ₽
Лечение элайнерами с использованием системы Click до 25 элайнеров
315 000
275 000 ₽
Лечение элайнерами с использованием системы Click Full
365 000
330 000 ₽
Лечение элайнерами с использованием системы Click Full Plus
405 000
360 000 ₽
Лечение элайнерами с использованием системы Click Hard
460 000
420 000 ₽

Вопросы и ответы

С какого возраста можно ставить элайнеры ребёнку?
Детские элайнеры можно использовать с 6-7 лет, когда начинается смена молочных зубов на постоянные. Существуют специальные системы, разработанные именно для детей с учётом особенностей растущей челюсти. Ранее начало коррекции позволяет направить рост зубов в правильное русло и предотвратить более серьёзные проблемы в будущем.
Сколько времени в день ребенок должен носить элайнеры?
Для достижения оптимального результата элайнеры необходимо носить не менее 22 часов в сутки, снимая их только во время еды и чистки зубов. Важно, чтобы ребенок ответственно относился к лечению.
Как часто нужно посещать ортодонта во время лечения элайнерами?
Посещения ортодонта необходимы для контроля процесса лечения и замены элайнеров. Частота посещений определяется индивидуально, но обычно составляет раз в 1-2 месяца.
Как происходит процесс лечения элайнерами у детей?
Лечение начинается с консультации и комплексной диагностики, которая включает осмотр, снятие слепков или сканирование зубов. На основе этой информации разрабатывается индивидуальная 3D-модель и план лечения. После этого изготавливается индивидуальный набор элайнеров, которые ребенок носит последовательно под контролем ортодонта.

Чем элайнеры лучше брекетов для детей?
Элайнеры незаметны, их можно снимать для еды и чистки, что делает их удобнее и гигиеничнее, чем брекеты, особенно для активных детей
Как ухаживать за детскими элайнерами?
Их нужно промывать теплой водой и чистить мягкой щеткой каждый день, а хранить в специальном футляре, когда они не во рту
Можно ли есть в детских элайнерах?
Нет, элайнеры нужно снимать перед едой, чтобы не повредить их, а после еды чистить зубы перед тем, как надеть снова
Больно ли носить элайнеры детям?
В первые дни может быть легкий дискомфорт, пока зубы привыкают к давлению, но сильной боли нет, и дети быстро адаптируются
Сколько по времени длится лечение, как быстро элайнеры выравнивают зубы у детей?

Программу лечения разрабатывает врач, он же определяет сроки, исходя из сложности патологии, и контролирует течение терапии. Иногда лечение длится дольше запланированного срока из-за индивидуальных особенностей, например, если зубы медленно перемещаются с места на место. Такая проблема чаще встречается у подростков с уже сформированными зубными дугами. Родителям нужно осуществлять постоянный контроль и коррекцию процесса ношения. Поскольку конструкция съемная, ребенок может забывать надевать каппы после еды или чистки. Их потеря — тоже неприятность, поскольку возникнет необходимость обратиться в зуботехническую лабораторию за созданием копии утерянного изделия. Это, возможно, затянет лечение.

Важно пройти весь курс лечения! Если не надевать каппу слишком долго, это приводит к произвольному смещению подвижных зубов. Такие действия имеют нежелательный исход как для ребенка и его родителей, так и для доктора, который будет вынужден корректировать план лечения или составлять новый.

Какие элайнеры лучше всего подойдут для детей?
Производители предлагают ряд разных популярных детских моделей, не уступающих любым взрослым моделям по качеству, удобству и эффективности лечения. Установить ортодонтические каппы ребенку можно в нашем стоматологическом центре. Предлагаем передовые решения высокого уровня, как идеальное средство для исправления патологий любой сложности. После осмотра опытный доктор предложит различные варианты и порекомендует несколько самых подходящих моделей на выбор, а также расскажет об их особенностях, даст ответы на другие вопросы. Цена на элайнеры для выравнивания зубов детям зависит от клинической картины, особенностей и сроков лечения.
Можно ли элайнерами исправить неправильный прикус у ребенка?
Да, их для выравнивания зубов назначают детям при неправильной окклюзии в рамках комплексной терапии, поскольку они всегда очень щадяще воздействуют на зубные дуги, постепенно располагая их в правильном положении. Такой способ коррекции подойдет при разном состоянии зубов: наклоне зубных единиц вперед или внутрь, плотно посаженных единицах, заметных промежутках, патологиях окклюзии — открытом, глубоком, мезиальном, перекрестном прикусе. Обратиться к детскому ортодонту следует, если у малыша нарушена дикция, есть внешние недостатки молочной улыбки и/или вредные привычки — ротовое дыхание и сосание пальца.

Отзывы

Наши контакты

Клиника «Арбат»
Москва, ул. Большая Молчановка, 18
Метро Арбатская
Ежедневно с 9:00 до 21:00.
Клиника «Сокольники»
Москва, ул. Русаковская, 31 вход на 3-м этаже ТЦ "Сокольники"
Метро Сокольники
Ежедневно с 9:00 до 21:00.

Акции

Элайнеры по подписке
Элайнеры по подписке
  • 3D-диагностика и план лечения бесплатно
  • Рассрочка на весь срок лечения
  • Подарили уже 11000 улыбок за 8 лет
Подробнее
Лечение на брекетах за 10000 рублей
Лечение на брекетах за 10000 рублей
  • 3D-диагностика и план лечения бесплатно
  • Рассрочка на весь срок лечения
  • Официальные брекеты высокого качества
  • Подарили уже 11000 улыбок за 8 лет
Подробнее
Ваша карта москвича – ключ к здоровой улыбке
Ваша карта москвича – ключ к здоровой улыбке
  • Скидка до 30 000 руб. на брекеты и элайнеры.
  • Скидка до 10% на другие стоматологические услуги.

Это не первый взнос, а чистое уменьшение итоговой стоимости вашего лечения.

Лечение кариеса, профессиональная чистка, отбеливание - экономьте на всех услугах!

Просто покажите вашу карту администратору при расчете.

Подробнее
Бесплатная консультация ортодонта до конца месяца
Бесплатная консультация ортодонта до конца месяца
+ 3D сканирование в подарок
  • Точный диагноз
  • 3D-визуализация вашего будущего результата
  • Персональный план лечения
Абсолютно бесплатно! Без обязательств.
Подробнее
Приводи друзей! За рекомендацию другу до 20000 бонусов в подарок.
Приводи друзей! За рекомендацию другу до 20000 бонусов в подарок.

Приводи друзей! За рекомендацию другу до 20000 бонусов в подарок.

Другу начисление до 10000 бонусов в подарок.

Узнай подробности у менеджера.

Подробнее
Фотосессия за виниры*
Фотосессия за виниры*
Ослепительная фотосессия от #ПРОПРИКУС в подарок!
Подробнее

Другие услуги

Элайнеры Click Aligners
Элайнеры Click Aligners
Элайнеры Click Aligners нового поколения от российского производителя, разработанные ведущими ортодонтами. Протоколы лечения на элайнерах Click помогают точно спланировать перемещение зубов.
Подробнее
Установка элайнеров
Установка элайнеров
Элайнеры – это прозрачные капы из тонкого медицинского пластика мягко и точно перемещают зубы в нужное положение.
Подробнее
Установка ретейнеров
Установка ретейнеров
Ретейнер — это ортодонтическая конструкция, которую устанавливают сразу после снятия брекетов.
Подробнее
Консультация ортодонта
Консультация ортодонта
Каждый пациент заинтересован, чтобы его лечил лучший ортодонт. Во время осмотра понаблюдайте, комфортно ли вам находиться рядом с врачом.
Подробнее
Установка брекетов
Установка брекетов
Брекеты позволяют избавиться от скученности, устранить межзубные промежутки и получить ровные зубы. Длительность и стоимость терапии зависят от клинической картины.
Подробнее
Брекеты для детей
Брекеты для детей
Детский брекет – это несъемная конструкция, которую врач-ортодонт ставит на зубы ребенку для их постепенного перемещения и исправление прикуса.
Подробнее
Металлические брекеты
Металлические брекеты
Металлические брекеты, несмотря на то, что выделяются, полностью компенсируют данный ньюанс высокой эффективностью и точностью перемещения зубов.
Подробнее
Керамические брекеты
Керамические брекеты
Керамические брекеты — современное решение в ортодонтии, сочетающее эффективность коррекции прикуса с высокой эстетикой.
Подробнее
Сапфировые брекеты
Сапфировые брекеты
Сапфировые брекеты — ортодонтическая система с замками из монокристаллического оксида алюминия. Подходят взрослым и подросткам, которым важен эстетичный вид во время лечения.
Подробнее
Безлигатурные (самолигирующие) брекеты
Безлигатурные (самолигирующие) брекеты
Безлигатурные (самолигирующие) брекеты — это системы, в которых дуга фиксируется в замке без помощи специальных лигатур. Они имеют ряд плюсов по сравнению с другими системами.
Подробнее
Брекеты Damon
Брекеты Damon
Брекеты Даймон – безлигатурные системы нового поколения, с помощью которых можно качественно выровнять зубной ряд и откорректировать прикус.
Подробнее
Брекеты Damon Q
Брекеты Damon Q
Брекет-система Damon Q — эстетичные саморегулирующие металлические брекеты, популярные, эстетичные и самые современные самолигирующие металлические брекеты от американского бренда ORMCO.
Подробнее
Брекеты Damon Clear
Брекеты Damon Clear
Ортодонтические конструкции Damon разработаны специалистами американской компании Ormco, имеющей все необходимые лицензии для обеспечения качества и безопасности лечения.
Подробнее
Консультация детского ортодонта
Консультация детского ортодонта
Выбор врача юному пациенту — важный шаг в лечении. Специалист должен выстроить с детьми доверительные отношения, создать уютную атмосферу во время приема.
Подробнее
Брекеты на нижнюю челюсть
Брекеты на нижнюю челюсть
Ортодонтическое лечение брекет-системами дает хорошие результаты в исправлении прикуса, улучшая эстетику улыбки и жевательную функцию.
Подробнее
Брекеты на верхнюю челюсть
Брекеты на верхнюю челюсть
Верхние зубы далеки от идеала – в голове почти сразу возникает мысль о брекетах.
Подробнее
Аппарат Хаас
Аппарат Хаас
Аппарат Хааса – это знаковая разработка в детской ортодонтии, получившая имя своего создателя, немецкого врача Э. Хааса, и впоследствии усовершенствованная итальянским специалистом Марко Росса
Подробнее

Полезная информация

Капы и глубокий прикус
Капы и глубокий прикус
Исправить глубокий прикус у взрослых можно брекетами или элайнерами (прозрачными капами) — в большинстве случаев без хирургии. Метод подбирается индивидуально после диагностики: ключевой критерий — глубина перекрытия и наличие скелетной аномалии.
Виды прикуса
Виды прикуса
Прикус бывает правильный и неправильный. И отличия не столько в эстетике, сколько в функциональности зубочелюстной системы. Если она нарушена, значит, речь идет о патологических видах прикуса, при которых ортодонтическое лечение – необходимость.
Стерильность в клинике ПРОПРИКУС
Стерильность в клинике ПРОПРИКУС
Безопасность пациента – наш приоритет. Поэтому соблюдению стерильности в нашей клинике уделяется максимум внимания.
Страхи или реальность?
Страхи или реальность?
Кто же в детстве не боялся бормашины! Шумно, больно, непонятно… И несмотря на то, что современная стоматологическая аппаратура выглядит не такой пугающей, страх лечить зубы до сих пор существует. Причем одолевает он не только детей, но и многих взрослых. Как с ним справляться? Да и надо ли?
Керамические или сапфировые брекеты: какие лучше выбрать
Керамические или сапфировые брекеты: какие лучше выбрать
Керамические и сапфировые брекеты — два вида эстетических несъёмных систем для исправления прикуса. Оба незаметны на зубах, не дают аллергии и работают по одному принципу. Но материал, из которого сделаны замочки, определяет разницу в прозрачности, поведении дуги в пазу и сроках лечения. Разбираемся, чем именно отличаются эти системы и в какой ситуации каждая из них подходит лучше.
Брекеты при скученности зубов
Брекеты при скученности зубов
Дьячкова Инна Владимировна, врач-ортодонт ПРОПРИКУС, разбирает: как степень дефицита места определяет тактику лечения, в каких случаях удаления зубов можно избежать, чем отличаются типы брекет-систем при разной тяжести скученности и почему без ретейнера результат не держится.
Вестибулярные брекеты: виды, установка и сроки лечения
Вестибулярные брекеты: виды, установка и сроки лечения
Вестибулярные брекеты — самая распространённая ортодонтическая система в мире. В этой статье разберём, как устроена конструкция, какие бывают виды по материалу и типу фиксации, кому подходит лечение и сколько оно стоит.
Лингвальные брекеты: что это, как работают и сколько стоит лечение
Лингвальные брекеты: что это, как работают и сколько стоит лечение
Лингвальные брекеты — это внутренние брекет-системы, которые крепятся к зубам со стороны языка и абсолютно невидимы при разговоре и улыбке. В статье разбираем, кому они подходят, как проходит установка, сколько длится адаптация и почему их цена выше, чем у классических вестибулярных систем. Также сравниваем лингвальные брекеты с элайнерами и отвечаем на три самых популярных вопроса пациентов.
Отклеился ретейнер: что делать, насколько это опасно?
Отклеился ретейнер: что делать, насколько это опасно?
Ретейнер отклеился — ситуация неприятная, но не катастрофическая, если действовать быстро. Даже частичное отклеивание с одного зуба требует визита к ортодонту: проволока, потерявшая фиксацию, не удерживает зубы и может травмировать десну.
Съёмный ретейнер для зубов
Съёмный ретейнер для зубов
Съёмный ретейнер — финальный и самый долгий этап ортодонтического лечения. Без него результат, достигнутый брекетами или элайнерами, постепенно сходит на нет. Зубы возвращаются к исходному положению.
20
1251
/uslugi/ortodontiya/elaynery-dlya-detey/
50
2000
comment@vnikuda.ru
/bitrix/components/ktoto/comments

Оставить комментарий


Лилия Москалева
16 июня 2025
Как часто нужно посещать ортодонта во время лечения? Мы живем за городом, не хотелось бы ездить каждую неделю.
Стоматология "ПРОПРИКУС"
18 июня 2025
Здравствуйте, Лилия. При лечении элайнерами визиты к ортодонту нужны примерно раз в 6-8 недель. На каждом приеме врач проверяет прогресс, выдает новый набор капп на несколько недель вперед и консультирует.
Николай Конев
07 июля 2025
Здравствуйте. Можно оплатить лечение элайнерами в рассрочку?
Стоматология "ПРОПРИКУС"
18 июля 2025
Добрый день. Да, мы предлагаем различные варианты оплаты, включая рассрочку. Подробную информацию о доступных вариантах вы можете узнать у наших администраторов по телефону или на консультации.
Лера Носкова
12 июля 2025
Здравствуйте. Моему сыну 10 лет и у него неровные зубы. Я беспокоюсь, не рано ли ему ставить элайнеры? Насколько это эффективно в таком возрасте
Стоматология "ПРОПРИКУС"
17 июля 2025
Здравствуйте! В 10 лет элайнеры вполне могут быть эффективны. Они помогают направить рост зубов в правильном направлении. Мы рекомендуем записаться на консультацию, чтобы наш ортодонт оценил состояние ротовой полости и дал индивидуальные рекомендации. На консультации можно будет точно сказать, подходит ли этот метод вашему сыну.
Ирина
24 декабря 2025
Ребёнок (10 лет) очень стесняется своих кривых зубов, но категорически отказывается от брекетов — боится насмешек в школе. Насколько заметны детские элайнеры? И сможет ли он сам за ними ухаживать?
Стоматология "ПРОПРИКУС"
31 декабря 2025
Ирина, здравствуйте! Элайнеры практически незаметны — это прозрачные тонкие капы, которые плотно прилегают к зубам. Одноклассники могут даже не догадаться, что ваш сын проходит лечение. Уход за капами простой: промывать водой и чистить мягкой щёткой. В 10 лет дети вполне справляются с этим самостоятельно, но первое время родительский контроль не помешает.
Алексей
08 января 2026
Здравствуйте. Сыну 12 лет, он занимается борьбой. Тренер говорит, что с брекетами нельзя — опасно. А элайнеры можно снимать на тренировки? Не повлияет ли это на результат лечения?
Стоматология "ПРОПРИКУС"
21 января 2026
Алексей, добрый день! Элайнеры — идеальный выбор для юных спортсменов. Перед тренировкой ребёнок снимает капы и надевает защитную спортивную капу. После занятий — чистит зубы и возвращает элайнеры. Главное — соблюдать общее время ношения не менее 20–22 часов в сутки. Если тренировки занимают 1–2 часа в день, это вполне укладывается в допустимые рамки.
Марина
08 января 2026
Носим элайнеры 4 месяца, дочке 11 лет. Всё хорошо, но недавно она потеряла одну капу в школе. Что делать? Можно ли надеть следующую пару раньше времени?
Стоматология "ПРОПРИКУС"
09 января 2026
Марина, здравствуйте! Потеря капы — не катастрофа, но требует быстрого решения. Если до плановой замены оставалось несколько дней, можно перейти на следующую пару. Если срок ношения текущей капы только начался, лучше вернуться к предыдущей паре (если она сохранилась) и связаться с нами для изготовления дубликата. Не оставляйте зубы без кап надолго — они могут начать смещаться.
Наталья
16 января 2026
Добрый день! Дочке 8 лет, стоматолог в поликлинике сказал, что у неё формируется неправильный прикус. Но я слышала, что элайнеры ставят только взрослым. С какого возраста реально можно начинать лечение на капах?
Стоматология "ПРОПРИКУС"
16 января 2026
Здравствуйте, Наталья! Современные детские элайнеры можно устанавливать уже с 6–7 лет, когда начинается смена молочных зубов. В 8 лет — отличный возраст для начала коррекции: костная ткань ещё пластичная, зубы легче перемещаются. Главное условие — ребёнок должен ответственно носить капы 20–22 часа в сутки. Приходите на консультацию — мы оценим ситуацию и подскажем оптимальный вариант.
Олег
22 января 2026
Добрый вечер. Дочери 7 лет, у неё диастема (щель между передними зубами). Педиатр сказал подождать, пока вырастут постоянные зубы. А ортодонт в другой клинике предложил элайнеры сейчас. Кому верить?
Оставьте заявку на запись на бесплатную консультацию ортодонта
В консультацию входит 3D-диагностика, визуализация вашей новой улыбки, индивидуальный план лечения, расчёт стоимости «под ключ».
Нажимая на кнопку «Бесплатная консультация», вы соглашаетесь с политикой конфиденциальности.
Оставьте заявку на запись на бесплатную консультацию ортодонта