Элайнеры Click Aligners

Возможна оплата в кредит
или рассрочку 0% до 12 мес.
5261
Время на прочтение: 5 мин.
Элайнеры Click Aligners
Шевченко Алина Борисовна
Информация проверена экспертом клиники ПРОПРИКУС
Стоматолог - ортодонт
Стаж более 4 лет
★★★★★ 5.0

Сегодня стоматология предлагает множество способов исправления дефектов зубного ряда — от хирургических вмешательств до установки сложных несъемных ортодонтических конструкций. Но есть отличная альтернатива!

Речь идет об элайнерах Click Aligners — капах, которые позволяют выровнять улыбку с комфортом и без стеснения. Click Aligners не только эффективно исправляют дефекты прикуса различной сложности, но и уменьшают неудобства, связанные с длительным лечением.

Преимущества и комплектация элайнеров Click Aligners

Элайнеры нового поколения, разработанные ведущими ортодонтами. Протоколы лечения на элайнерах Click помогают точно спланировать перемещение зубов. Это снижает число ревизий и вероятность доработок на 70%. Гарантирован на 100% предсказуемый результат.

Что в комплекте:

  • 10 индивидуальных боксов с 10 парами кап

  • Зубная щётка

  • Крючок для снятия кап

  • Чувис (валик для плотной фиксации кап)

  • Инструкция

Антибактериальная защита

Напыление серебра на капах и боксах снижает рост бактерий, предотвращает неприятный запах и защищает от кариеса.

Изготовлены из эко-материалов

Полностью перерабатываемые экологичные материалы кап и боксов, абсолютно безопасные для окружающей среды.

Индивидуальные кейсы у элайнеров Click Aligners

Каждая пара элайнеров хранится в отдельном боксе — это удобнее и гигиеничнее, чем один общий контейнер.

Показания и противопоказания к лечению на элайнерах Click Aligners

Далеко не все пациенты решаются на выравнивание прикуса, поскольку не хотят испытывать проблемы с брекет-системами: заметность, неудобства, отказ от некоторой пищи. В этом случае для коррекции нарушенного прикуса применяются Click Aligners.

Показания

  • Скученность зубов лёгкой и средней степени
  • Дистальный, мезиальный, глубокий или открытый прикус
  • Диастемы и тремы (промежутки между зубами)
  • Наклон или поворот отдельных зубов до 20–25°
  • Сужение зубных дуг, требующее расширения
  • Рецидив после предыдущего ортодонтического лечения
  • Аллергия или непереносимость металлических конструкций
  • Подготовка к протезированию или имплантации

Противопоказания

  • Тяжёлые скелетные аномалии челюстей, требующие хирургии
  • Деформация формы челюсти
  • Отсутствие большого числа зубов (4 и более подряд)
  • Заболевания пародонта в стадии обострения
  • Активный кариес и разрушенные зубы — до санации
  • Бруксизм в тяжёлой форме
  • Низкая дисциплина пациента — невозможность носить капы 20–22 часа в сутки
  • Онкологические заболевания челюстно-лицевой области
Важно: не все случаи поддаются лечению только элайнерами, но для 80-90% пациентов это отличный выбор.

Процесс лечения прикуса на элайнерах Click Aligners

Консультирование и диагностика ортодонта

Ортодонт проводит осмотр зубов, изучает патологию прикуса, собирает информацию, заполняется анкета здоровья, общая информация. В том числе, о наличии аллергических реакций и общих заболеваний.

Проводится сканирование верхней и нижней челюсти,проводится внутриротовой и внеротовой фотопротокол. Пациент направляется на КЛКТ и 3D цефалометрию для того, чтобы оценить костные структуры. При необходимости, назначают МРТ сустава. Далее проводится TENS диагностики сустава.

Лечение на элайнерах

Лечение состоит из последовательной смены элайнеров. У каждого элайнера шаг перемещения ¼ мм. Последовательное ношение кап ведет к перемещению зубов. Каждый последующий элайнер двигает зуб в идеальное положение, которое рассчитано при 3D моделировании будущей улыбки в начале лечения при диагностике.

Особенности лечения на элайнерах

На каждом этапе выдаются 10 элайнеров. Для того, чтобы можно было отследить результат и прогресс лечения, на каждом промежуточном этапе проводится диагностическое сканирование и сравнение с прогнозируемым результатом. Современные технологии и искусственный интеллект помогает уже в начале лечения точно сказать, когда пациент получит результат и создать 3D модель будущей улыбки.

Формирование окклюзии прикуса

После исправления положения зубов акцент перемещается на формирование правильного смыкания зубов.

Контроль результата

Важно посещать лечащего ортодонта каждый 2-3 месяца — для контроля хода лечения и получения нового комплекта кап.

Преимущества исправления прикуса с помощью элайнеров Click Aligners

Элайнеры Click — это эстетика, помноженная на безопасность. Капы выполнены из прозрачного гипоаллергенного немецкого полимера Трэк А. Гладкая ровная поверхность создает эффект «голливудского» блеска зубов, украшая улыбку.

Недостатки

В первые 5-7 дней на фоне адаптации к капам у вас может слегка искажаться речь. Связано это с тем, что язык меняет свое положение, повышается слюноотделение. После привыкания дискомфорт проходит, а дикция полностью восстанавливается.

Как работают элайнеры Click

Элайнеры Click, согласно отзывам пациентов, обеспечивают комфортное выравнивание зубов. Процесс лечения представляет собой ношение кап на протяжении всего курса, ежедневно, до 22 часов в сутки. Каждые две недели пару из набора следует менять на следующую, поскольку мягкое давление постепенно меняет расположение зубов. Каждый месяц пациент должен проходить осмотр у специалиста для проверки соответствия плану лечения и его коррекции в случае отклонений.

Сроки исправления прикуса на элайнерах Click

Длительность курса зависит от сложности патологии. Для исправления межзубных промежутков, небольших отклонений нужно до

Благодаря тому, что пациент самостоятельно меняет капы, посещение ортодонта требуется намного реже — раз в месяц-полтора. Можно договориться с врачом о фотоконтроле, если предстоит дальняя поездка. Тогда коррекция будет происходить в дистанционном формате. Такой услугой можно воспользоваться при установке элайнеров Click в Москве в клинике ПРОПРИКУС.

Но если во время курса коррекции выявились отклонения, осложнения — тогда контроль доктора над ситуацией усилится. Соответственно, увеличится и число очных посещений пациентом кабинета врача.

Важно после процедуры

  • Носите элайнеры не менее 22 часов в сутки для достижения наилучших результатов.

  • Снимайте капы только для приема пищи и на время чистки зубов.

  • Ежедневно очищайте капы от налета мягкой щеткой и зубной пастой.

  • Не замачивайте капы в растворе для протезов — он слишком агрессивен.

  • Соблюдайте гигиену полости рта — используйте пасту, щетку, флосс и ирригатор.

Почему наши ортодонты рекомендуют элайнеры Click Aligners

Click Aligners — это российская разработка, которая не уступает мировым аналогам (Invisalign, OrthoSnap), однако стоит дешевле, производится быстрее и учитывает все ортодонтические стандарты, а также дарит:

  • эстетику идеального образца: вы можете спокойно улыбаться, общаться, смеяться и фотографироваться с широкой улыбкой — и никто даже не поймет, что вы проходите ортодонтическое лечение;

  • комфорт на высшем уровне: элайнеры изготавливаются индивидуально под анатомию ротовой полости, не имеют острых элементов, не натирают и не раздражают слизистые рта;

  • на 100% предсказуемый результат: благодаря 3D-планированию вы заранее увидите, куда будут двигаться зубы и каким будет ожидаемый результат лечения. Всё чётко, прозрачно, шаг за шагом.

В итоге вы получаете ровные красивые зубы с точным контролем процесса и прогнозируемым результатом. И всё это без скоб и металлических дуг, без боли, стресса и лишних визитов!

Подберем лучшее лечение

Приглашаем на бесплатную консультацию к ортодонту

  • Поставим правильный диагноз
  • Сделаем 3D-модель будущей улыбки
  • Предложим рассрочку

Запишитесь на бесплатную консультацию

Это бесплатно, безболезненно и очень полезно!

  • Сделаем 3D-модель улыбки;
  • Диагностируем что не так с прикусом;
  • Предоставим варианты лечения;

Консультация ничего не стоит и ни к чему вас
не обязывает.

Запишитесь на бесплатную консультацию

Совет врача

Самое важное при лечении на элайнерах - это то, что результат на 80% зависит от дисциплины ношения, а не от системы. Капы должны быть во рту 20-22 часа в сутки,без исключений.

Снимаете только для еды и чистки зубов. Это не строгость ради строгости: каждый час без капы -это час, когда зубы стремятся вернуться назад. Также обращайте внимание на чистку самих кап: промывайте их прохладной водой каждый раз после снятия.

Горячая вода деформирует пластик. Если первые дни ощущается давление - это норма, зубы реагируют на работу.  
Записаться на бесплатную консультацию
Шевченко Алина Борисовна
Шевченко Алина Борисовна
Стоматолог - ортодонт

Элемент не найден!

Протокол лечения на элайнерах Click в ПРОПРИКУС

Бесплатная консультация и 3D-диагностика
Врач проводит 3D-сканирование челюстей, проверяет прикус и называет предварительную стоимость лечения «под ключ». Никаких слепков и скрытых доплат.
Согласование плана лечения
На компьютере моделируем движение зубов и показываем, как будет выглядеть ваша улыбка после лечения. 
Вы утверждаете план — мы начинаем.
Консилиум специалистов
Ортодонт, ортопед, гигиенист, терапевт и хирург вместе составляют план лечения. 
Командная работа исключает ошибки.
Диагностика ВНЧС
Проверяем состояние височно-нижнечелюстного сустава и мышц. 
Это гарантирует стабильный результат без рецидивов.
Изготовление элайнеров
Отправляем вашу 3D-модель в лабораторию, где изготавливают индивидуальный комплект прозрачных кап — от первой до последней, с точностью до долей миллиметра.
Выдача и инструктаж
Выдаём первые наборы кап и объясняем правила: как надевать, снимать, чистить, сколько носить (20–22 часа в сутки). Каждые 1–2 недели вы сами меняете капу на следующую.
Контрольные визиты
Посещение ортодонта раз в 6–8 недель. Врач проверяет прогресс, при необходимости фиксирует аттачменты и выдаёт новые наборы кап.
Окончание лечения и ретенция
Снимаем аттачменты и изготавливаем ретейнеры, чтобы закрепить результат. Если идеал не достигнут — дозаказываем дополнительные капы за счёт клиники.

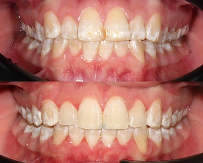
Результаты лечения

Лечение неправильного прикуса зубов на элайнерах Click Aligners за 23 месяца
Скученность, глубокий прикус и старые коронки — лечение на элайнерах Click Aligners
Скученность, сужение челюстей и открытый прикус — лечение на элайнерах Click за 9 месяцев
Скученность зубов — выравнивание зубов на элайнерах Click Aligners
Скученность, глубокий прикус и старые коронки — лечение на элайнерах Click
Неровные зубы и нарушение прикуса — лечение на элайнерах 3D Smile

Стоимость установки элайнеров Click Aligners

Первичная консультация и диагностика
Бесплатно
Лечение элайнерами с использованием системы Click Lite до 10 элайнеров
240 000
190 000 ₽
Лечение элайнерами с использованием системы Click до 25 элайнеров
315 000
275 000 ₽
Лечение элайнерами с использованием системы Click Full
365 000
330 000 ₽
Лечение элайнерами с использованием системы Click Full Plus
405 000
360 000 ₽
Лечение элайнерами с использованием системы Click Hard
460 000
420 000 ₽

Вопросы и ответы

Можно ли пить кофе или чай, не снимая элайнеры Click Aligners?
Горячие и окрашивающие напитки (кофе, чай, соки, вино) необходимо пить только со снятыми элайнерами. Высокая температура может деформировать пластик капы, а красящие вещества впитываются в материал и делают его заметным на зубах. Чистую воду комнатной температуры можно пить, не снимая элайнеры.
Как часто нужно менять капы Click Aligners?
Стандартный график смены кап составляет каждые 10-14 дней, но точный интервал определяет ваш ортодонт на основании плана лечения. Важно строго соблюдать рекомендации: если носить одну капу дольше положенного, зубы могут не успеть переместиться на нужное расстояние, и общий срок лечения увеличится.
Чем элайнеры Click Aligners отличаются от других брендов кап?
Click Aligners производятся в России с использованием современных технологий 3D моделирования. Главные преимущества: высокая точность изготовления, доступная стоимость по сравнению с зарубежными аналогами и короткие сроки производства. Система эффективна при лёгкой и средней степени нарушений прикуса. На консультации мы оценим ваш случай и подскажем, подойдут ли вам именно эти элайнеры.

Эффективны ли элайнеры?

На каждой консультации интересуются, неужели элайнеры также эффективны, как брекеты? Тогда почему все- таки до сих пор кто-то ставит брекеты?

Друзья, однозначно «да». Обе системы прекрасно решают проблемы с положением и смыканием зубов. Обе системы работают в руках грамотного доктора. Технология лечения на элайнерах вышла на знаковые позиции в США и в Европе, набирает скорость и в России. Мы идём в ногу с планетой! Принципы лечения на брекетах отличны от лечения на элайнерах. Разная биомеханика работы, иная методология достижения результата и иные критерии оценки. Элайнеры – другой мир ортодонтии, они не хуже и не лучше брекет-систем. Это просто другой инструмент. У них тоже есть свои плюсы и минусы , однако оба инструмента одинаково качественны и эффективны. Отмечается лучшая гигиена и больший комфорт при ношении элайнеров- и это- огромный плюс! Все доктора в нашей клинике - сертифицированны и обучены по работе на элайнерах и брекетах. Тема очень крутая! Очень классно, что мы можем давать пациентам выбор при одинаковой эффективности

Какие преимущества предоставляет ваша клиника в деле исправления прикуса на элайнерах Click?
Разработку курса коррекции капами и их изготовление стоит заказывать в доверенной клинике. Именно в нашем стоматологическом центре вы можете посетить специалистов с большим опытом, которые используют современные методы исправление прикуса. Записаться на прием и задать интересующие вопросы можно по телефону или заполнив электронную форму в разделе контактов.
Могу ли я увидеть заранее планируемый результат?
На основе 3D-сканирования или оттисков зубов пациента в специальной программе Ortho Studio врач моделирует план коррекции прикуса, рассчитывает длительность курса, определяет необходимое количество кап на курс и представляет визуализацию результата. После утверждения плана начинаем печатать первый набор элайнеров на специализированном оборудовании, пока пациент проходит подготовку: профессиональную чистку от зубного камня и налета, лечение от кариеса.

Отзывы

Наши контакты

Клиника «Арбат»
Москва, ул. Большая Молчановка, 18
Метро Арбатская
Ежедневно с 9:00 до 21:00.
Клиника «Сокольники»
Москва, ул. Русаковская, 31 вход на 3-м этаже ТЦ "Сокольники"
Метро Сокольники
Ежедневно с 9:00 до 21:00.

Акции

Элайнеры по подписке
Элайнеры по подписке
  • 3D-диагностика и план лечения бесплатно
  • Рассрочка на весь срок лечения
  • Подарили уже 11000 улыбок за 8 лет
Подробнее
Лечение на брекетах за 10000 рублей
Лечение на брекетах за 10000 рублей
  • 3D-диагностика и план лечения бесплатно
  • Рассрочка на весь срок лечения
  • Официальные брекеты высокого качества
  • Подарили уже 11000 улыбок за 8 лет
Подробнее
Ваша карта москвича – ключ к здоровой улыбке
Ваша карта москвича – ключ к здоровой улыбке
  • Скидка до 30 000 руб. на брекеты и элайнеры.
  • Скидка до 10% на другие стоматологические услуги.

Это не первый взнос, а чистое уменьшение итоговой стоимости вашего лечения.

Лечение кариеса, профессиональная чистка, отбеливание - экономьте на всех услугах!

Просто покажите вашу карту администратору при расчете.

Подробнее
Бесплатная консультация ортодонта до конца месяца
Бесплатная консультация ортодонта до конца месяца
+ 3D сканирование в подарок
  • Точный диагноз
  • 3D-визуализация вашего будущего результата
  • Персональный план лечения
Абсолютно бесплатно! Без обязательств.
Подробнее
Приводи друзей! За рекомендацию другу до 20000 бонусов в подарок.
Приводи друзей! За рекомендацию другу до 20000 бонусов в подарок.

Приводи друзей! За рекомендацию другу до 20000 бонусов в подарок.

Другу начисление до 10000 бонусов в подарок.

Узнай подробности у менеджера.

Подробнее
Фотосессия за виниры*
Фотосессия за виниры*
Ослепительная фотосессия от #ПРОПРИКУС в подарок!
Подробнее

Другие услуги

Установка элайнеров
Установка элайнеров
Элайнеры – это прозрачные капы из тонкого медицинского пластика мягко и точно перемещают зубы в нужное положение.
Подробнее
Элайнеры для детей
Элайнеры для детей
Элайнеры для детей - эффективный и безопасный способ создания идеальной улыбки.
Подробнее
Установка ретейнеров
Установка ретейнеров
Ретейнер — это ортодонтическая конструкция, которую устанавливают сразу после снятия брекетов.
Подробнее
Консультация ортодонта
Консультация ортодонта
Каждый пациент заинтересован, чтобы его лечил лучший ортодонт. Во время осмотра понаблюдайте, комфортно ли вам находиться рядом с врачом.
Подробнее
Установка брекетов
Установка брекетов
Брекеты позволяют избавиться от скученности, устранить межзубные промежутки и получить ровные зубы. Длительность и стоимость терапии зависят от клинической картины.
Подробнее
Брекеты для детей
Брекеты для детей
Детский брекет – это несъемная конструкция, которую врач-ортодонт ставит на зубы ребенку для их постепенного перемещения и исправление прикуса.
Подробнее
Металлические брекеты
Металлические брекеты
Металлические брекеты, несмотря на то, что выделяются, полностью компенсируют данный ньюанс высокой эффективностью и точностью перемещения зубов.
Подробнее
Керамические брекеты
Керамические брекеты
Керамические брекеты — современное решение в ортодонтии, сочетающее эффективность коррекции прикуса с высокой эстетикой.
Подробнее
Сапфировые брекеты
Сапфировые брекеты
Сапфировые брекеты — ортодонтическая система с замками из монокристаллического оксида алюминия. Подходят взрослым и подросткам, которым важен эстетичный вид во время лечения.
Подробнее
Безлигатурные (самолигирующие) брекеты
Безлигатурные (самолигирующие) брекеты
Безлигатурные (самолигирующие) брекеты — это системы, в которых дуга фиксируется в замке без помощи специальных лигатур. Они имеют ряд плюсов по сравнению с другими системами.
Подробнее
Брекеты Damon
Брекеты Damon
Брекеты Даймон – безлигатурные системы нового поколения, с помощью которых можно качественно выровнять зубной ряд и откорректировать прикус.
Подробнее
Брекеты Damon Q
Брекеты Damon Q
Брекет-система Damon Q — эстетичные саморегулирующие металлические брекеты, популярные, эстетичные и самые современные самолигирующие металлические брекеты от американского бренда ORMCO.
Подробнее
Брекеты Damon Clear
Брекеты Damon Clear
Ортодонтические конструкции Damon разработаны специалистами американской компании Ormco, имеющей все необходимые лицензии для обеспечения качества и безопасности лечения.
Подробнее
Консультация детского ортодонта
Консультация детского ортодонта
Выбор врача юному пациенту — важный шаг в лечении. Специалист должен выстроить с детьми доверительные отношения, создать уютную атмосферу во время приема.
Подробнее
Брекеты на нижнюю челюсть
Брекеты на нижнюю челюсть
Ортодонтическое лечение брекет-системами дает хорошие результаты в исправлении прикуса, улучшая эстетику улыбки и жевательную функцию.
Подробнее
Брекеты на верхнюю челюсть
Брекеты на верхнюю челюсть
Верхние зубы далеки от идеала – в голове почти сразу возникает мысль о брекетах.
Подробнее
Аппарат Хаас
Аппарат Хаас
Аппарат Хааса – это знаковая разработка в детской ортодонтии, получившая имя своего создателя, немецкого врача Э. Хааса, и впоследствии усовершенствованная итальянским специалистом Марко Росса
Подробнее

Полезная информация

Капы и глубокий прикус
Капы и глубокий прикус
Исправить глубокий прикус у взрослых можно брекетами или элайнерами (прозрачными капами) — в большинстве случаев без хирургии. Метод подбирается индивидуально после диагностики: ключевой критерий — глубина перекрытия и наличие скелетной аномалии.
Виды прикуса
Виды прикуса
Прикус бывает правильный и неправильный. И отличия не столько в эстетике, сколько в функциональности зубочелюстной системы. Если она нарушена, значит, речь идет о патологических видах прикуса, при которых ортодонтическое лечение – необходимость.
Стерильность в клинике ПРОПРИКУС
Стерильность в клинике ПРОПРИКУС
Безопасность пациента – наш приоритет. Поэтому соблюдению стерильности в нашей клинике уделяется максимум внимания.
Страхи или реальность?
Страхи или реальность?
Кто же в детстве не боялся бормашины! Шумно, больно, непонятно… И несмотря на то, что современная стоматологическая аппаратура выглядит не такой пугающей, страх лечить зубы до сих пор существует. Причем одолевает он не только детей, но и многих взрослых. Как с ним справляться? Да и надо ли?
Керамические или сапфировые брекеты: какие лучше выбрать
Керамические или сапфировые брекеты: какие лучше выбрать
Керамические и сапфировые брекеты — два вида эстетических несъёмных систем для исправления прикуса. Оба незаметны на зубах, не дают аллергии и работают по одному принципу. Но материал, из которого сделаны замочки, определяет разницу в прозрачности, поведении дуги в пазу и сроках лечения. Разбираемся, чем именно отличаются эти системы и в какой ситуации каждая из них подходит лучше.
Брекеты при скученности зубов
Брекеты при скученности зубов
Дьячкова Инна Владимировна, врач-ортодонт ПРОПРИКУС, разбирает: как степень дефицита места определяет тактику лечения, в каких случаях удаления зубов можно избежать, чем отличаются типы брекет-систем при разной тяжести скученности и почему без ретейнера результат не держится.
Вестибулярные брекеты: виды, установка и сроки лечения
Вестибулярные брекеты: виды, установка и сроки лечения
Вестибулярные брекеты — самая распространённая ортодонтическая система в мире. В этой статье разберём, как устроена конструкция, какие бывают виды по материалу и типу фиксации, кому подходит лечение и сколько оно стоит.
Лингвальные брекеты: что это, как работают и сколько стоит лечение
Лингвальные брекеты: что это, как работают и сколько стоит лечение
Лингвальные брекеты — это внутренние брекет-системы, которые крепятся к зубам со стороны языка и абсолютно невидимы при разговоре и улыбке. В статье разбираем, кому они подходят, как проходит установка, сколько длится адаптация и почему их цена выше, чем у классических вестибулярных систем. Также сравниваем лингвальные брекеты с элайнерами и отвечаем на три самых популярных вопроса пациентов.
Отклеился ретейнер: что делать, насколько это опасно?
Отклеился ретейнер: что делать, насколько это опасно?
Ретейнер отклеился — ситуация неприятная, но не катастрофическая, если действовать быстро. Даже частичное отклеивание с одного зуба требует визита к ортодонту: проволока, потерявшая фиксацию, не удерживает зубы и может травмировать десну.
Съёмный ретейнер для зубов
Съёмный ретейнер для зубов
Съёмный ретейнер — финальный и самый долгий этап ортодонтического лечения. Без него результат, достигнутый брекетами или элайнерами, постепенно сходит на нет. Зубы возвращаются к исходному положению.
20
1129
/uslugi/ortodontiya/elaynery-click-aligners/
50
2000
comment@vnikuda.ru
/bitrix/components/ktoto/comments

Оставить комментарий


Маша К.
01 августа 2025
Как правильно ухаживать за элайнерами? Нужно ли покупать какие-то специальные средства для чистки? Можно пить с ними чай и кофе?
Стоматология "ПРОПРИКУС"
03 августа 2025
Здравствуйте! Каждый раз при снятии промывайте их прохладной водой. Чистите мягкой зубной щеткой и пастой либо специальными таблетками для очистки элайнеров. Любые окрашивающие напитки (чай, кофе, соки, кола), а также горячее при ношении элайнеров нельзя! Каппы могут окраситься или деформироваться от высокой температуры. Всегда снимайте элайнеры для еды и питья.

Владимир Клинченко
02 августа 2025
Я прошел уже половину курса лечения на элайнерах другой марки, но результаты меня не устраивают. Возможно перейти на этот вид элайнеров? Нужно начинать лечение сначала или можно его просто продолжить?
Стоматология "ПРОПРИКУС"
03 августа 2025
Добрый день! Да, мы можем рассмотреть ваш случай. Наш ортодонт сможет оценить текущее состояние ваших зубов и предыдущие этапы лечения. Возможно, мы сможем продолжить работу, учитывая достигнутый прогресс, или же начать новое, более эффективное планирование с элайнерами Click Aligners.
Виктор
04 августа 2025
Добрый день. Хочу выровнять скученность нижних зубов. Сколько примерно времени займет лечение на click aligners? И как часто нужно будет менять каппы?
Стоматология "ПРОПРИКУС"
04 августа 2025
Добрый день, Виктор. Длительность лечения зависит от вашей ситуации. На консультации после диагностики врач составит индивидуальный план лечения с точными сроками. Для коррекции скученности зубов обычно требуется от 6 до 18 месяцев. Каждый комплект элайнеров Click Aligners заменяется каждые 2 недели.
Оставьте заявку на запись на бесплатную консультацию ортодонта
В консультацию входит 3D-диагностика, визуализация вашей новой улыбки, индивидуальный план лечения, расчёт стоимости «под ключ».
Нажимая на кнопку «Бесплатная консультация», вы соглашаетесь с политикой конфиденциальности.
Оставьте заявку на запись на бесплатную консультацию ортодонта