Работы


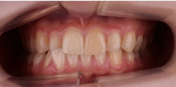
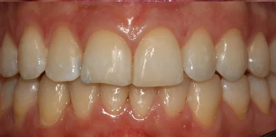
Коррекция аномалии положения зубов на элайнерах


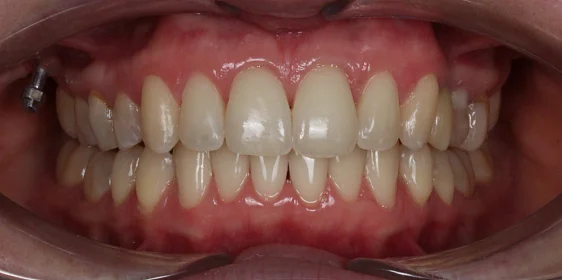
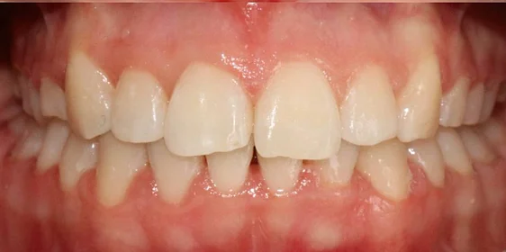
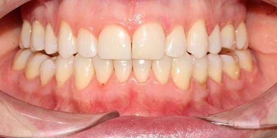
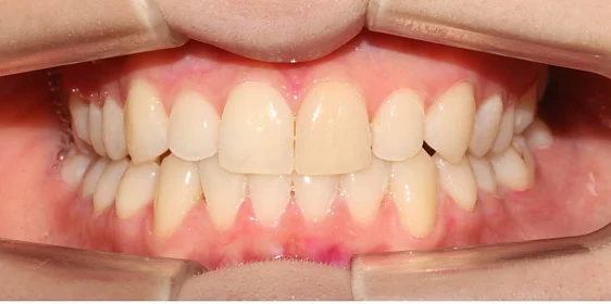
Лечение неправильного прикуса элайнерами


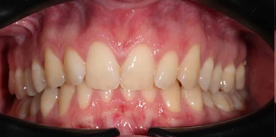
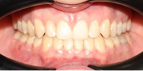
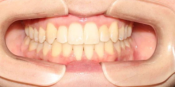
Ортодонтическое лечение на элайнерах


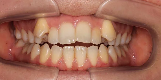
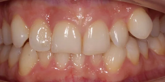
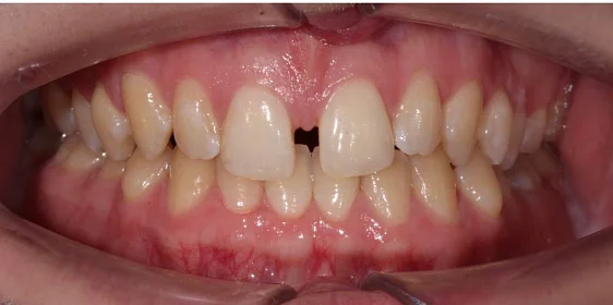
Корреция открытого прикуса элайнерами


Установка ретейнеров на нижнюю и верхнюю челюсть


Ортодонтическое лечение на элайнерах


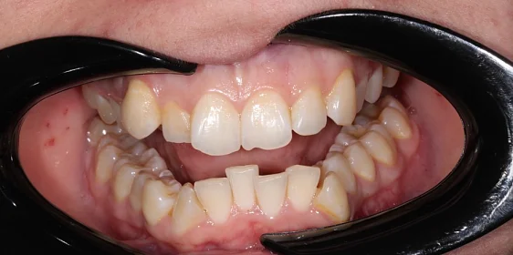
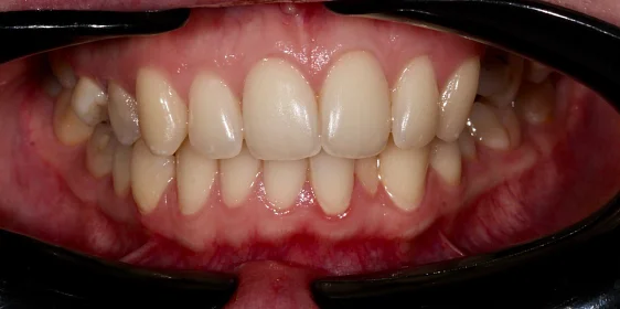
Ортодонтическое лечение на системе Click


Ортодонтическое лечение на системе Click


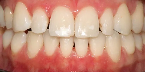
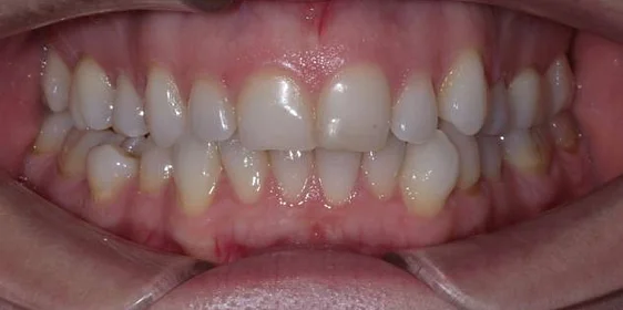
Ортодонтическое лечение на брекет-системе


Ортодонтическое лечение на элайнерах