Работы

Работы


Ортодонтическое лечение на элайнерах №5 Ортодонтическое лечение на элайнерах №5
Ортодонтическое лечение на элайнерах №5
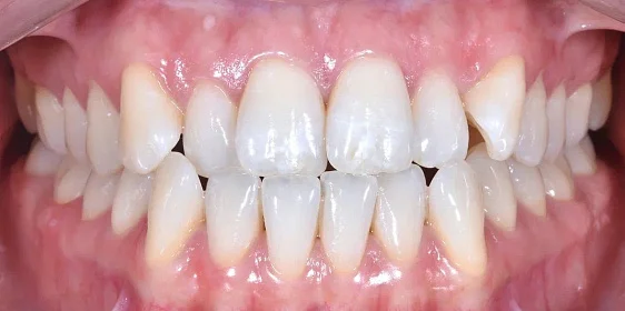
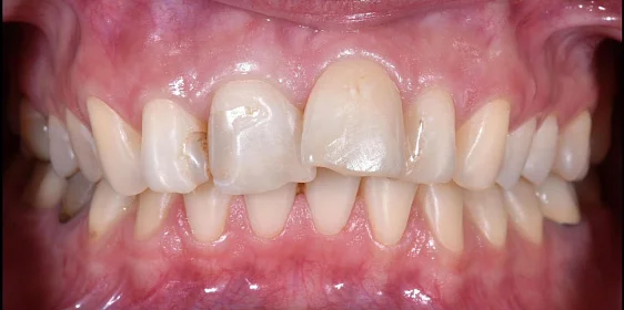
Ортодонтическое лечение на системе Click №4 Ортодонтическое лечение на системе Click №4
Ортодонтическое лечение на системе Click №4
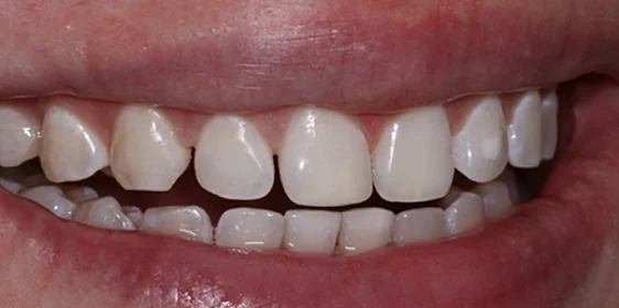
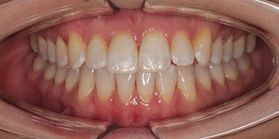
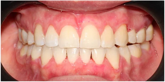
Ортодонтическое лечение на системе Click №5 Ортодонтическое лечение на системе Click №5
Ортодонтическое лечение на системе Click №5
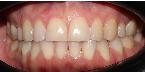
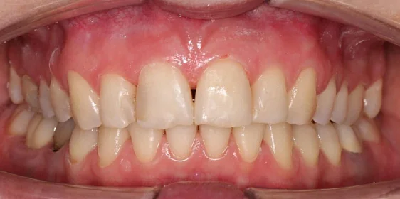
Ортодонтическое лечение на системе Click №6 Ортодонтическое лечение на системе Click №6
Ортодонтическое лечение на системе Click №6
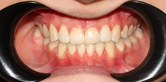
Ортодонтическое лечение на элайнерах №3 Ортодонтическое лечение на элайнерах №3
Ортодонтическое лечение на элайнерах №3
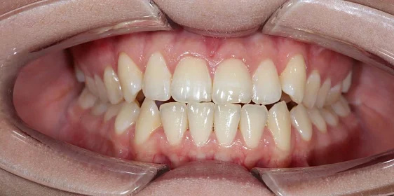
Ортодонтическое лечение на элайнерах №2 Ортодонтическое лечение на элайнерах №2
Ортодонтическое лечение на элайнерах №2
Ортодонтическое лечение на элайнерах Ортодонтическое лечение на элайнерах
Ортодонтическое лечение на элайнерах
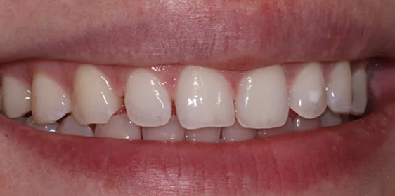
Ортодонтическое лечение на элайнерах №1 Ортодонтическое лечение на элайнерах №1
Ортодонтическое лечение на элайнерах №1
Ортодонтическое лечение на брекет-системе №4 Ортодонтическое лечение на брекет-системе №4
Ортодонтическое лечение на брекет-системе №4
Оставьте заявку на запись на бесплатную консультацию ортодонта
В консультацию входит 3D-диагностика, визуализация вашей новой улыбки, индивидуальный план лечения, расчёт стоимости «под ключ».
Нажимая на кнопку «Бесплатная консультация», вы соглашаетесь с политикой конфиденциальности.
Оставьте заявку на запись на бесплатную консультацию ортодонта