Исправление сужения ВЗР и НЗР элайнерами Invisalign

Исправление сужения ВЗР и НЗР элайнерами Invisalign

Дата публикации: 01.04.26

Фотографии опубликованы с согласия пациента

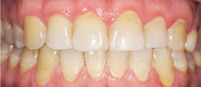
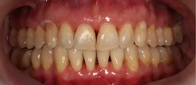
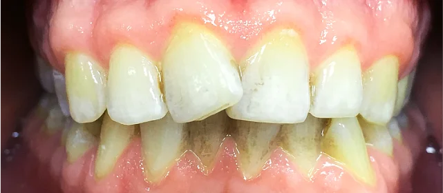
Проблема: Пациент обратился с жалобой неровных зубов.
Диагноз: Сужение ВЗР и НЗР. скученность зубов на вч и нч, трансверзальная резцовая окклюзия.
Арутюнова Екатерина Ашотовна
Зав. отделением ортодонтии на Арбате
Стаж более 8 лет
★★★★★ 5.0
Хочу консультацию
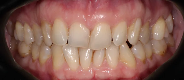
Комментарий врача
По окончанию лечения рекомендовано полноценное протезирование.
Арутюнова Екатерина Ашотовна
Зав. отделением ортодонтии на Арбате
Оставьте заявку на запись на бесплатную консультацию ортодонта
В консультацию входит 3D-диагностика, визуализация вашей новой улыбки, индивидуальный план лечения, расчёт стоимости «под ключ».
Нажимая на кнопку «Бесплатная консультация», вы соглашаетесь с политикой конфиденциальности.
Оставьте заявку на запись на бесплатную консультацию ортодонта