Мирзоев Фарзон Мирославович
Мирзоев Фарзон Мирославович

Мирзоев Фарзон Мирославович

Ортопед - гнатолог
Еще в школе я решил что буду стоматологом,и поэтому в 9 классе я поступил в школу при третьем медицинском им А.И. Евдокимова. Проходя углубленно предметы ,связанные с медициной,которые давались мне легко и я всегда сдавал их на отличное, еще больше укоренили мое желание быть врачом стоматологом. В университете я настолько был увлечен стоматологией, что начал работать ассистентом стоматолога со второго курса, мне хотелось знать больше чем мои однокурсники. На третьем курсе учебы я решил, что стану врачом стоматологом-ортопедом.

Во-первых,потому что я понял, что хочу делать людям коронки как на своих зубах так и на имплантатах,виниры ,накладки и делать людей счастливее и радостнее и тем самым придавать уверенности в себе. В моей профессии нет рутинной работы, ведь каждый пациент, каждый клинический случай индивидуален.

Во-вторых, как-то на цикле ортопедической стоматологии,профессор нашего ВУЗа сказал, что я буду лучшим ортопедом из группы, что меня еще больше подстегнуло уйти с головой в эту профессию. Также помимо того что дарить людям красивую улыбку, в сферу моих интересов входит лечение височно-нижнечелюстного сустава ,так называемая гнатология и этому есть несколько причин. Первая-помимо красивой улыбки, нужно добиться правильной работы сустава и жевательных мышц. Вторая-гнатология считается одним из сложнейших разделов стоматологии, а меня всегда привлекало и тянуло к тому что сложно и всегда хотелось в этом разобраться. И вот уже 7 лет я работаю врачом стоматологом-ортопедом!
462
Вылечено пациентов
8
Стаж врача

На приеме за 45 минут вы получите:

Диагностику и оценку вашей текущей ситуации
Консультацию с ведущим врачом
3D-сканирование полости рта
Демонстрацию вашей улыбки после лечения
Фотопротокол для определения влияния прикуса на ваше тело
Подбор вида лечения в зависимости от ваших пожеланий и клинической ситуации

Биография врача

Профессиональный рост
Специализируется на эстетической и функциональной реабилитации пациентов с помощью коронок ,виниров ,накладок изготовленных по современным и передовым технологиям ,так же на лечении пациентов с дисфункцией височно-нижнечелюстного сустава.
Достижения
Помимо того, чтобы дарить людям красивую улыбку, в сферу моих интересов входит лечение височно-нижнечелюстного сустава ,так называемая гнатология и этому есть несколько причин. Первая-помимо красивой улыбки, нужно добиться правильной работы сустава и жевательных мышц. Вторая-гнатология считается одним из сложнейших разделов стоматологии, а меня всегда привлекало и тянуло к тому что сложно и всегда хотелось в этом разобраться. И вот уже 7 лет я работаю врачом стоматологом-ортопедом!

Какие проблемы прикуса я лечу?

Скученность зубов
Скученность зубов
Выпирающий ряд зубов
Выпирающий ряд зубов
«Съехавший» ряд зубов
«Съехавший» ряд зубов
«Хищные» клыки
«Хищные» клыки
Глубокий прикус
Глубокий прикус
Нет смыкания
Нет смыкания

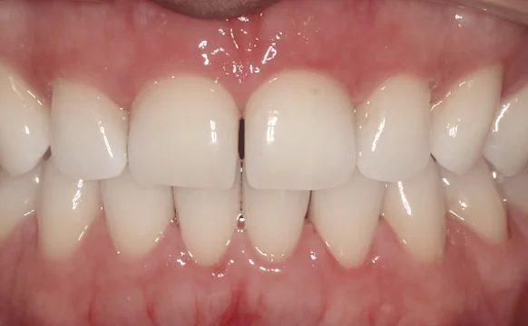
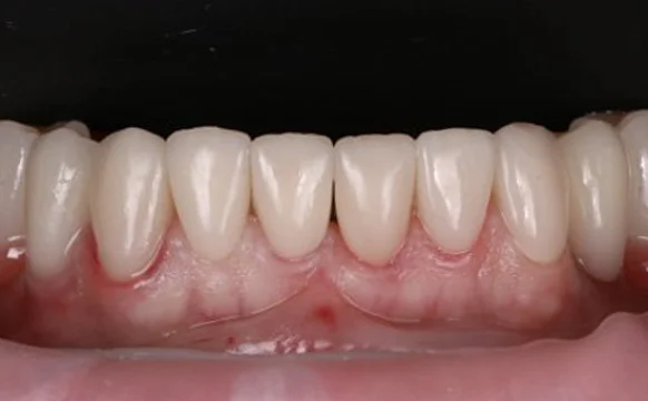
Выполненные работы

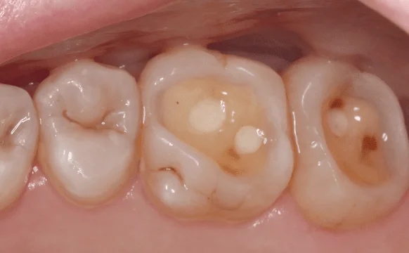
Замена старых композитных реставраций и металлокерамических коронок на керамические накладки и коронки

Проблема
Неудовлетворительное состояние старых композитных реставраций и коронок на зубах
Врач
Мирзоев Фарзон Мирославович

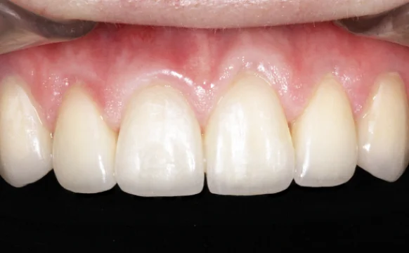
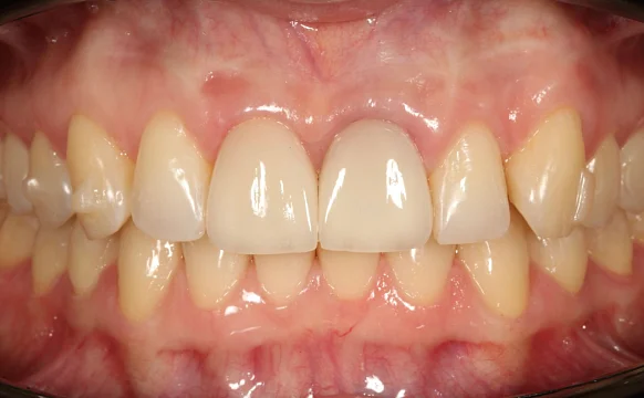
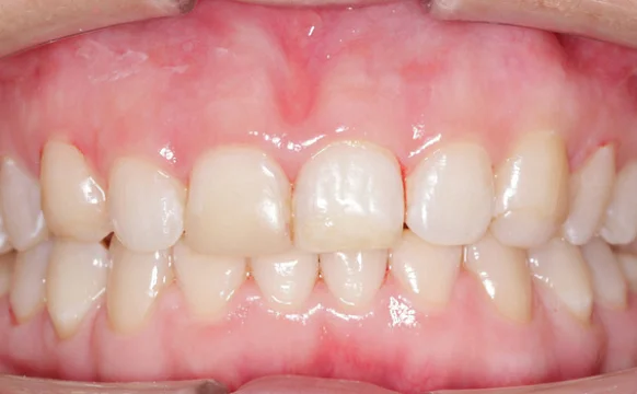
Протезирование верхнего и нижнего ряда, установка виниров

Проблема
Пациент обратился с проблемой неудовлетворенности эстетической частью своих зубов
Врач
Мирзоев Фарзон Мирославович

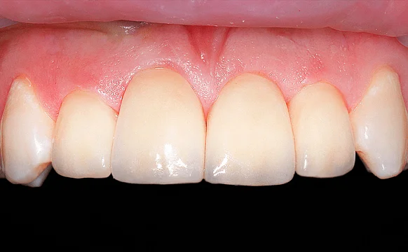
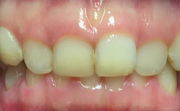
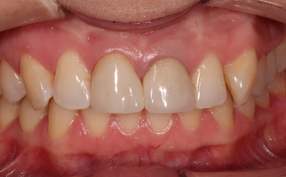
Полное протезирование нижнего ряда, установка виниров

Проблема
Дефекты коронковых частей
Врач
Мирзоев Фарзон Мирославович

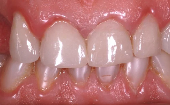
Закрытие промежутков между зубами с последующем установлением виниров

Проблема
Соотношение по 1 классу. Тремы. Диастемы.
Врач
Мирзоев Фарзон Мирославович
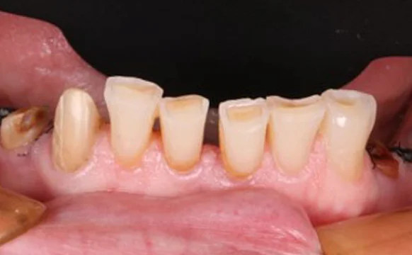
Подготовка зубных рядов к последующей установке виниров Подготовка зубных рядов к последующей установке виниров

Подготовка зубных рядов к последующей установке виниров

Проблема
Cужение зубных рядов, скученность, протрузия центральных резцов
Врач
Мирзоев Фарзон Мирославович
Протезирование зубов верхней челюсти винирами Протезирование зубов верхней челюсти винирами

Протезирование зубов верхней челюсти винирами

Проблема
Дефекты коронковых частей
Врач
Мирзоев Фарзон Мирославович
Устранение эстетического дефекта винирами Устранение эстетического дефекта винирами

Устранение эстетического дефекта винирами

Проблема
Дефекты коронковых частей
Врач
Мирзоев Фарзон Мирославович
Восстановление эстетики с помощью виниров и вкладок (часть 2) Восстановление эстетики с помощью виниров и вкладок (часть 2)

Восстановление эстетики с помощью виниров и вкладок (часть 2)

Проблема
Дефекты коронковых частей
Врач
Мирзоев Фарзон Мирославович
Восстановление эстетики с помощью виниров и вкладок (часть 1) Восстановление эстетики с помощью виниров и вкладок (часть 1)

Восстановление эстетики с помощью виниров и вкладок (часть 1)

Проблема
Дефекты коронковых частей
Врач
Мирзоев Фарзон Мирославович

Имплантация зубов верхней челюсти

Проблема
Дефекты коронковых частей
Врач
Мирзоев Фарзон Мирославович

Протезирование верхнего и нижнего ряда, установка виниров

Проблема
Неудовлетворенность эстетикой зубов
Врач
Мирзоев Фарзон Мирославович
Установка виниров Установка виниров

Установка виниров

Проблема
47, Неудовлетворенность эстетикой зубов
Врач
Мирзоев Фарзон Мирославович

Протезирование верхнего и нижнего ряда

Проблема
Неудовлетворенность эстетикой зубов
Врач
Мирзоев Фарзон Мирославович
Восстановление эстетики винирами Восстановление эстетики винирами

Восстановление эстетики винирами

Проблема
22, 400000
Врач
Мирзоев Фарзон Мирославович

Лечение прикуса и восстановление эстетики винирами

Проблема
Основной жалобой была эстетика и неприятные ощущения в области нижнечелюстного сустава.
Врач
Мирзоев Фарзон Мирославович

Отзывы

Валерия Соболева
Меняла старые металлокерамические коронки на керамику у Фарзона Мирославовича. Разница колоссальная, новые коронки выглядят как свои зубы. Мирзоев настоящий профессионал, чувствуется что любит свою работу. Рекомендую всем кто хочет красивую улыбку!
Юлия Карпова
Пришла к Мирзоеву на консультацию по винирам. Фарзон Мирославович честно сказал что сначала нужно исправить прикус, иначе виниры долго не простоят. Направил к ортодонту, сейчас ношу элайнеры. Такой комплексный подход внушает доверие. Жду не дождусь когда вернусь к нему за винирами.
Дмитрий Панфилов
Ставил коронки на импланты у Фарзона Мирославовича. Работа сложная, нужно было восстановить сразу несколько зубов. Мирзоев работал очень тщательно, примерял несколько раз чтобы прикус был идеальный. Прошёл уже год, всё отлично функционирует.
Дарья Михайлова
Обратилась к Мирзоеву Ф.М. с проблемами височно-нижнечелюстного сустава. Были щелчки, боль при жевании, головные боли. Фарзон Мирославович провёл полную диагностику, назначил сплинт и упражнения. Через три месяца симптомы ушли. Очень грамотный гнатолог!
Егор Фролов
Делал виниры у Фарзона Мирославовича на верхнюю челюсть. Результат превзошёл все ожидания, зубы выглядят естественно и красиво. Мирзоев очень скрупулёзный, подбирал цвет несколько раз чтобы попасть в тон. Теперь улыбаюсь не стесняясь.

Видео отзывы пациентов

Подход к лечению

Доказательная база

Для эффективного лечения зубов необходима качественная диагностика. Врач применяет только научно-обоснованные решения.

Комплексность

При необходимости подключает логопеда, миотерапевта и других смежных специалистов — чтобы результат был не только красивым, 
но и функционально стабильным.

Простые объяснения

Сложные рекомендации переводит на понятный язык, показывает наглядные кейсы «до/после».

Сложные случаи

Врач справляется даже с самыми сложными случаями. 
Вы можете вылечить прикус с помощью прозрачных кап или классических брекетов, а также установить виниры и коронки, пройти профессиональную гигиену для взрослых
и детей, вылечить кариес, а также удалить зубы мудрости.
Блок картинки

Сертификаты

Мирзоев Фарзон Мирославович
Мирзоев Фарзон Мирославович
Мирзоев Фарзон Мирославович
Мирзоев Фарзон Мирославович
Мирзоев Фарзон Мирославович
Мирзоев Фарзон Мирославович
Мирзоев Фарзон Мирославович
Мирзоев Фарзон Мирославович
Мирзоев Фарзон Мирославович
Мирзоев Фарзон Мирославович
Мирзоев Фарзон Мирославович
Мирзоев Фарзон Мирославович
Мирзоев Фарзон Мирославович
Мирзоев Фарзон Мирославович
Мирзоев Фарзон Мирославович
Мирзоев Фарзон Мирославович
Мирзоев Фарзон Мирославович

Оказываемые услуги

Удаление зубов мудрости
Зубы мудрости - восьмые моляры, которые, в отличие от остального зубного ряда, прорезаются в большом промежутке времени.
Узнать подробнее
Имплантация зубов за 1 день
Удаление зубной единицы, подготовка области, вживление, протезирование можно выполнить за одно или два посещения стоматологии.
Узнать подробнее
Установка коронок на зуб
Зубная коронка — это метод протезирования и восстановления наддесневой части единицы.
Узнать подробнее
Лечение глубокого кариеса
Удаление глубокого кариеса — сложная процедура, с которой сталкиваются пациенты, поздно обратившиеся к врачу-стоматологу.
Узнать подробнее
Удаление ретинированного зуба мудрости
Ретенция – это задержка в прорезывании зуба. Ретинированные единицы при полной ретенции не появляются над поверхностью десны, оставаясь в челюсти, а при частичной прорезаются не до конца.
Узнать подробнее
Циркониевые коронки
Циркониевая «классика» предназначена для протезирования в зоне улыбки. Заготовки покрывают прочной фарфоровой глазурью.
Узнать подробнее
Имплантация 1 зуба
Процесс имплантации и последующей установки коронки называется протезирование. Для этой процедуры вы пройдете консультацию у двух врачей: ортопеда и хирурга-имплантолога.
Узнать подробнее
Наращивание зуба
Наращивание зуба - сложная методика. Предполагает восстановление поврежденных зубных единиц. Способ соприкасается с терапией, ортопедией и реставрацией.
Узнать подробнее
Удаление зубов
Быстрое удаление зуба без боли и осложнений – стандарт хирургической стоматологии. Операция называется также экстракцией или экзодонтией.
Узнать подробнее
Керамические коронки
Керамика - искусственный аналог зубной эмали. Поэтому керамические коронки практически нельзя отличить от настоящего зуба.
Узнать подробнее
Имплантация нижней челюсти
Зубной ряд снизу испытывает повышенную нагрузку, которую обеспечивает постоянное пережевывание еды. Из-за особенностей строения там скапливается больше отложений, чем в верхних зубах.
Узнать подробнее
Реставрация зубов
В современной стоматологии реставрация зубов сочетает эстетику, профилактику и лечение. Выполненная в клинике художественная реставрация вернет гармонию зубного ряда и функционал поврежденных зубов.
Узнать подробнее
Сложное удаление зуба
При запущенных стоматологических заболеваниях, новообразованиях, запоздалом обращении за медицинской помощью необходимо вмешательство стоматолога-хирурга.
Узнать подробнее
Металлокерамические коронки
Металлокерамические коронки - один из популярных способов протезирования.
Узнать подробнее
Художественная реставрация зубов
Художественное восстановление зубов исправляет все видимые дефекты современными стоматологическими методиками.
Узнать подробнее
Пластика десны
Гингивопластика – малотравматичная хирургическая операция, призванная скорректировать контуры одной или нескольких десен.
Узнать подробнее
Коронка на имплант
Искусственная коронка по своей форме и функциям аналогична настоящему зубу, что делает ее незаметной для окружающих.
Узнать подробнее
Имплантация передних зубов
Восстановление передних зубных единиц — сложная процедура, позволяющая восстановить природную красоту и здоровье улыбки.
Узнать подробнее
Установка пломбы на зуб
Пломбы активно используются при восстановлении коронок и зубных каналов. Такая работа необходима при лечении пульпита и периодонтита.
Узнать подробнее
Композитная реставрация зубов
Реставрация зубов композитом позволяет восстановить эстетику улыбки. Поверхность не стирается. Материалы выдерживают высокие нагрузки.
Узнать подробнее
Удаление нерва зуба
Зубной нерв является частью пульпы. Состоит из сосудов и нервных волокон. Она расположена под эмалью. Защищает от вредных бактерий.
Узнать подробнее
Одномоментная имплантация
Немедленная, или моментальная, имплантация назначается не во всех случаях и возможна только после тщательного томографического и рентгенологического исследования.
Узнать подробнее
Лечение зубов под микроскопом
Лечение под микроскопом – современная методика в стоматологии, при которой можно в деталях рассмотреть поверхность зуба во время художественной реставрации или его внутреннюю структуру во время эндодонтической терапии.
Узнать подробнее
Удаление корня зуба
В стоматологии ПРОПРИКУС можно удалять корни потерянных или сильно разрушенных зубных единиц без боли.
Узнать подробнее
Базальная имплантация
К одноэтапным протоколам лечения относится базальная имплантация зубов — методика, рекомендованная при частичной или полной адентии.
Узнать подробнее
Удаление кисты зуба
Киста — это патологическое образование на корне. Представляет собой полость, заполненную жидкостью.
Узнать подробнее
Имплантация All-on-4
All-on-4 – это методика восстановления целостности зубного ряда на четырёх имплантах.
Узнать подробнее
Консультация стоматолога-хирурга
Консультация московского стоматолога-хирурга, провести комплексное исследование проблемы, избавить от проблемы быстро и безболезненно.
Узнать подробнее
Имплантация All-on-6
Метод имплантации и протезирования зубов ALL-ON-6 («Всё на шести имплантах») разработан и запатентован американской компанией Nobel Biocare.
Узнать подробнее
Керамическая вкладка
Керамическая вкладка создается в стоматологической лаборатории из CAM/CAD материалов
Узнать подробнее
Костная пластика при имплантации
Костную пластику чаще всего назначают при имплантации. Для вживления титанового штифта нужен достаточный объем кости.
Узнать подробнее
Установка виниров
Виниры – это тонкие пластинки, которые фиксируются на передней поверхности зубов
Узнать подробнее
Формирователь десны
Современная стоматология предлагает много методов протезирования. В месте утраченного зуба обычно делается имплантация с помощью вживления в челюстную кость титанового корня.
Узнать подробнее
Композитные виниры
Пластинки из композита считаются доступной по цене альтернативой керамическим.
Узнать подробнее
Имплант Dentium
Dentium выпускают импланты премиум-класса, недорогие варианты и системы для фиксации съемных протезов.
Узнать подробнее
Лечение гранулемы зуба
Гранулемой зуба называется образование из грануляционной ткани, покрытое фиброзной оболочкой. Она локализуется в зоне верхушки зубной единиц.
Узнать подробнее
Имплант Nobel
Nobel Biocare - ведущий производитель зубных имплантатов в мире. Используя в своей продукции биосовместимый титан.
Узнать подробнее
Имплант Astra Tech
Имплантация — надежная и эффективная технология восстановления утраченных зубов. Эта процедура создает условия для правильного распределения жевательной нагрузки и предотвращает атрофию костной ткани
Узнать подробнее
Импланты Straumann
Импланты Straumann (Швейцария) выпускаются швейцарским производителем с безупречной репутацией.
Узнать подробнее
Имплантация зубов
Даже частичная адентия становится причиной тяжелых осложнений. Нехватка одного или нескольких зубов способствует развитию асимметрии лица и других негативных последствий.
Узнать подробнее
Диагностика зубов и полости рта
Качественная стоматологическая диагностика нужна для раннего выявления зубных заболеваний.
Узнать подробнее

Публикации врача

Хирургическое исправление прикуса
Красивая улыбка — результат комплексной работы стоматолога и ортодонта. Многие считают, что для ее достижения достаточно поставить брекеты, однако в ряде случаев ортодонтического лечения оказывается недостаточно.
Узнать подробнее
Хранение съемных зубных протезов
Зубные протезы — важная часть жизни миллионов людей, позволяющая восстановить эстетику улыбки и комфорт при приеме пищи.
Узнать подробнее
Зуб мудрости
Зуб мудрости – это восьмая единица ряда, если вести счёт с центральных резцов. У каждого человека есть 4 зуба мудрости. Два из них располагаются на нижней челюсти, а другие два – на верхней. Специфическое название эти зубы получили не просто так.
Узнать подробнее
Как ставят виниры
Срок и число этапов установки зависит от выбранного вида накладки. Композитные виниры могут преобразить улыбку и за одно посещение ортопеда, хотя обычно на прием пациент приходит в клинику дважды.
Узнать подробнее
Кровоточат десна
Кровоточивость дёсен – симптом многих заболеваний зубодесневого комплекса. Он встречается часто, но это не значит, что его можно оставлять без внимания. Отсутствие своевременного лечения ведёт к развитию серьёзных патологий – пародонтозу, пародонтиту или гингивиту.
Узнать подробнее
Оставьте заявку на запись на бесплатную консультацию ортодонта
В консультацию входит 3D-диагностика, визуализация вашей новой улыбки, индивидуальный план лечения, расчёт стоимости «под ключ».
Нажимая на кнопку «Бесплатная консультация», вы соглашаетесь с политикой конфиденциальности.
Оставьте заявку на запись на бесплатную консультацию ортодонта