Арбат
Сокольники
Поиск
Пн-Вс с 9:00 до 21:00
+7 (499) 681-95-69
Обратный звонок
Онлайн запись
Услуги
Врачи
Цены
Работы
Акции
Блог
О нас
Новости
Пресса о нас
Отзывы
Контакты
Я пациент
Главная
Работы
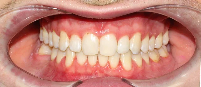
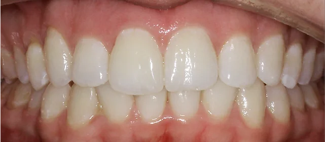
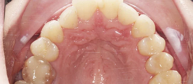
Коррекция аномалии положения зубов на элайнерах
Коррекция аномалии положения зубов на элайнерах
У меня похожий случай
Дата публикации: 01.04.26
Фотографии опубликованы с согласия пациента
Дьячкова Инна Владимировна
Стоматолог - ортодонт
Стаж более 11 лет
★★★★★
5.0
Хочу консультацию
Другие работы
Неровные зубы и нарушение прикуса — лечение на элайнерах 3D Smile
Врач:
Поленок Мария Сергеевна
Подробнее
Стираемость зубов, отсутствующий зуб и неправильный прикус — лечение на элайнерах Spark + имплантация
Врач:
Арутюнова Екатерина Ашотовна
Подробнее
Неправильный прикус и положение зубов — лечение на элайнерах Spark
Подробнее
Протезирование верхней челюсти в комплексе с хирургической реабилитацией мягких тканей
Врач:
Повтарь Владимир Владимирович
Подробнее
Исправление прикуса и имплантация
Врач:
Данилова Виктория Юрьевна
Подробнее
Оставьте заявку на запись на бесплатную консультацию ортодонта
В консультацию входит 3D-диагностика, визуализация вашей новой улыбки, индивидуальный план лечения, расчёт стоимости «под ключ».
Нажимая на кнопку «Бесплатная консультация», вы даёте согласие на
обработку персональных данных
.
Услуги
Врачи
Цены
Работы
Акции
Блог
О нас
Новости
Пресса о нас
Отзывы
Контакты
Я пациент
Чат-бот для пациентов
Telegram
8 (499) 681-95-69