Устранили скученность и тесное положение зубов на элайнерах Sparks

Устранили скученность и тесное положение зубов на элайнерах Sparks

У меня похожий случай
Итоги по кейсу
Пол
Женский
Возраст
33 года
Жалоба
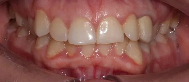
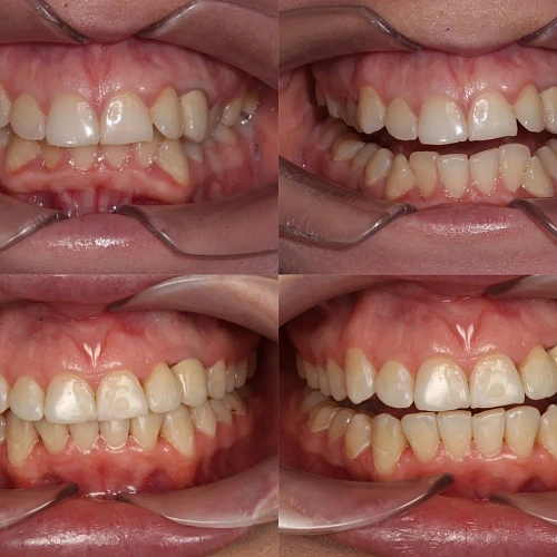
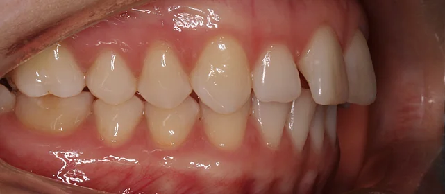
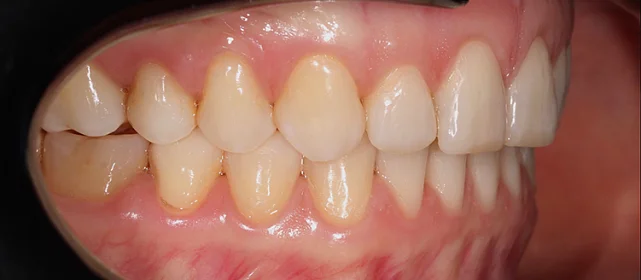
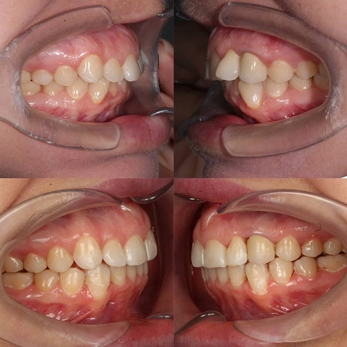
Неровные зубы, неправильный прикус.
Диагностика
Скученность зубов на верхней и нижней челюсти — зубам не хватало места, они стояли тесно и налезали друг на друга. При этом соотношение челюстей в норме (I класс) — проблема только в положении зубов, не в прикусе.
План лечения
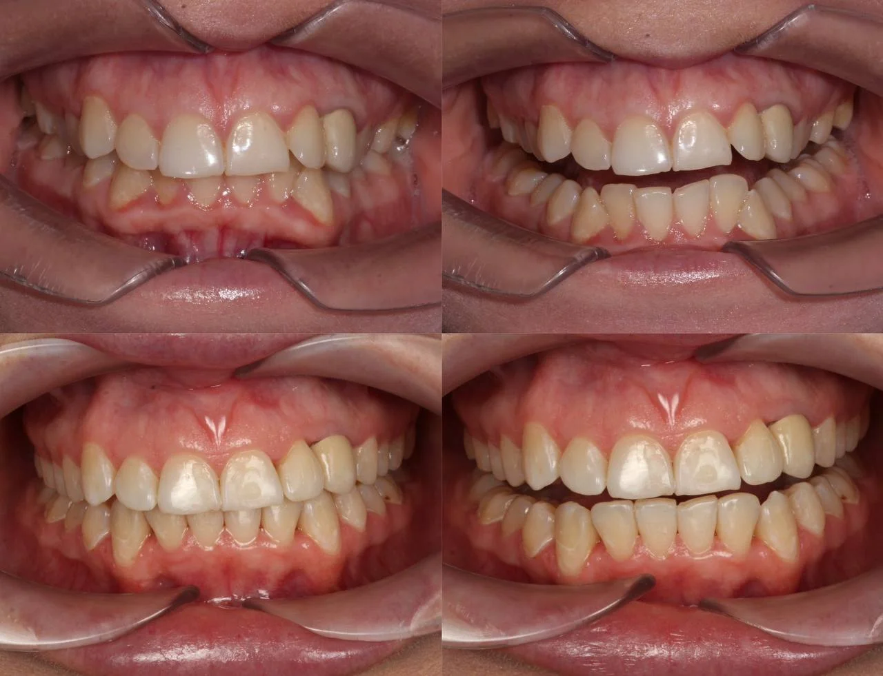
Прозрачные элайнеры Star Smile на обе челюсти. Убрать скученность, выровнять зубные ряды. Основной набор — 35 кап. Срок — около 2 лет.
Ход лечения
Лечение заняло 3,5 года (июнь 2022 — февраль 2026). Понадобились два дополнительных набора: 30 и 9 кап — итого 74 капы.
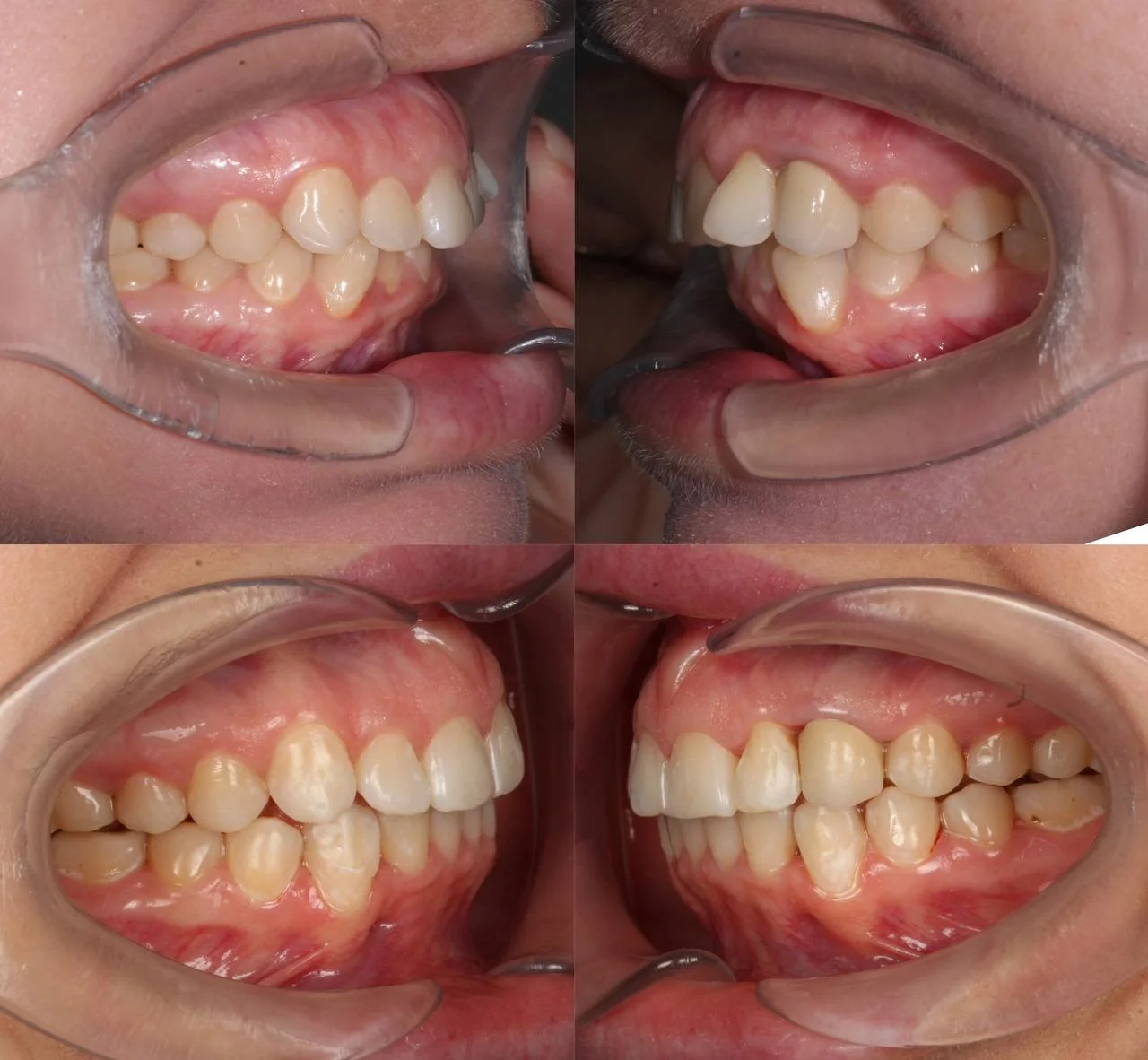
Результат
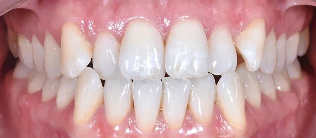
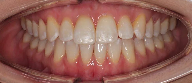
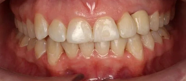
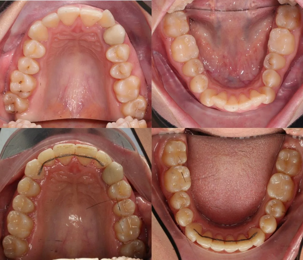
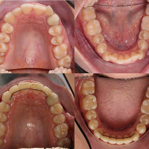
Зубы выровнены, скученность устранена. Установлены несъёмные ретейнеры на обе челюсти, сняты слепки для ретенционных кап. Пациентка направлена на КЛКТ и к ортопеду.

Дата публикации: 09.04.26

Фотографии опубликованы с согласия пациента

Проблема: Пациентку беспокоили неровные зубы и неправильный прикус. На обеих челюстях зубы стояли скученно — теснились и налезали друг на друга. При этом соотношение самих челюстей было в норме (I класс) — проблема только в положении зубов, а не в том, как челюсти сходятся между собой.
Решение: Поставили элайнеры Star Smile на обе челюсти. Начали с набора из 35 кап, но потребовались два дозаказа — 30 и 9 кап, итого 74. Лечение заняло 3,5 года. Это дольше стандартного, и основная причина — объём доработки: каждый дозаказ уточнял положение зубов, которые не до конца встали с предыдущего набора. В итоге скученность устранена полностью, зубы ровные. Зафиксировали ретейнеры на обе челюсти, сняли слепки для кап. Пациентка направлена на КЛКТ и к ортопеду для оценки дальнейших шагов.
Арутюнова Екатерина Ашотовна
Зав. отделением ортодонтии на Арбате
Стаж более 8 лет
★★★★★ 5.0
Хочу консультацию
Отзыв пациента
Лечение затянулось — я это понимаю. Было два дозаказа, и каждый раз казалось, что вот-вот финиш. Но врач не хотела останавливаться на «почти ровно», и я ей за это благодарна. Зубы сейчас такие, какими я хотела их видеть. Долго — да. Но лучше долго и хорошо, чем быстро и наполовину.
Комментарий врача
При I классе и скученности обычно укладываемся быстрее. В этом случае зубы двигались медленнее прогнозируемого — отсюда два дозаказа. Первый дополнительный набор из 30 кап — почти столько же, сколько основной, — потребовался для доводки положения резцов, которые не полностью отреагировали на первый курс. Второй из 9 кап — финальная подгонка. Результат стабильный, направила на КЛКТ для контроля корней и к ортопеду.
Арутюнова Екатерина Ашотовна
Зав. отделением ортодонтии на Арбате
Оставьте заявку на запись на бесплатную консультацию ортодонта
В консультацию входит 3D-диагностика, визуализация вашей новой улыбки, индивидуальный план лечения, расчёт стоимости «под ключ».
Нажимая на кнопку «Бесплатная консультация», вы даёте согласие на обработку персональных данных.
Оставьте заявку на запись на бесплатную консультацию ортодонта