Неправильный прикус и положение зубов — лечение на элайнерах Spark

Неправильный прикус и положение зубов — лечение на элайнерах Spark

У меня похожий случай
Итоги по кейсу
Пол
Женский
Возраст
28 лет
Жалоба
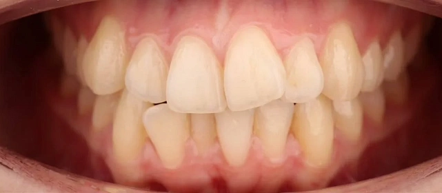
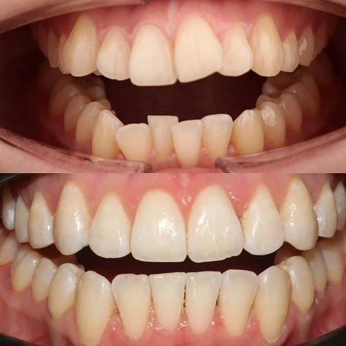
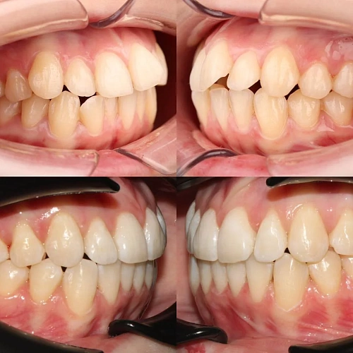
Неправильное положение зубов, неправильное смыкание.
Диагностика
Нарушение соотношения челюстей и неправильное положение зубов — зубные ряды смыкались некорректно, зубы стояли со смещением.
План лечения
Прозрачные элайнеры Spark на обе челюсти. Выровнять зубы и нормализовать смыкание. Основной набор — 53 капы. Срок — около 2 лет.
Ход лечения
Лечение заняло 29 месяцев (апрель 2023 — сентябрь 2025). Понадобился один дополнительный набор из 12 кап для доработки — итого 65 кап. Параллельно проводилась профессиональная гигиена.
Результат
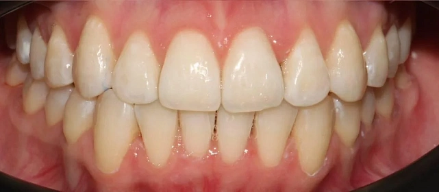
Зубы выровнены, смыкание нормализовано. Установлены несъёмные ретейнеры на обе челюсти, сняты сканы для ретенционных кап.

Дата публикации: 02.04.26

Фотографии опубликованы с согласия пациента

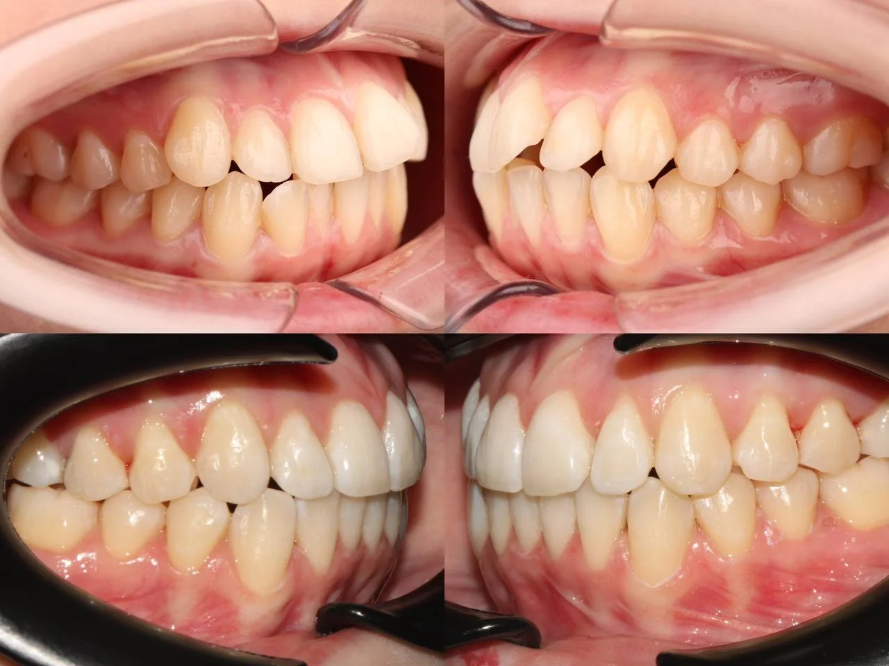
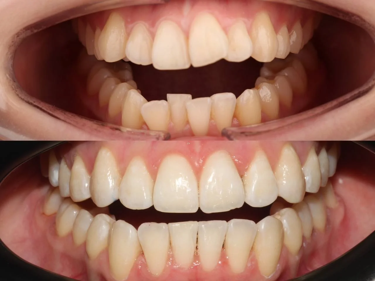
Проблема: Пациентку беспокоило положение зубов и неправильное смыкание челюстей. Зубные ряды сходились некорректно, зубы стояли со смещением — это влияло и на внешний вид, и на распределение нагрузки при жевании.
Решение: Поставили прозрачные элайнеры Spark на обе челюсти. Случай оказался объёмным — основной набор составил 53 капы. После основного этапа потребовалась небольшая доработка: дозаказали 12 кап для финальной подгонки. Итого 65 кап за 29 месяцев. Параллельно следили за состоянием дёсен — проводили профессиональную гигиену. В результате зубы ровные, смыкание в норме, ретейнеры на обе челюсти, сканы для кап сняты.
Отзыв пациента
53 капы звучит масштабно, конечно, я поначалу переживала, что лечение затянется. Но когда входишь в ритм — снял, поел, почистил, надел — перестаёшь считать. Дозаказ был небольшой, всего 12 штук, и он прошёл быстро. На самом деле, оно того стоило. Компромисс был бы так себе идеей, не хотелось бы потом перелечивать все заново.
Оставьте заявку на запись на бесплатную консультацию ортодонта
В консультацию входит 3D-диагностика, визуализация вашей новой улыбки, индивидуальный план лечения, расчёт стоимости «под ключ».
Нажимая на кнопку «Бесплатная консультация», вы соглашаетесь с политикой конфиденциальности.
Оставьте заявку на запись на бесплатную консультацию ортодонта