Неправильный прикус — лечение на элайнерах Spark

Неправильный прикус — лечение на элайнерах Spark

У меня похожий случай
Итоги по кейсу
Пол
Женский
Возраст
25 лет
Жалоба
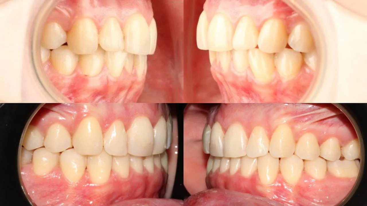
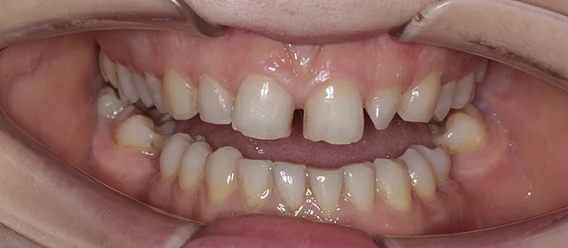
Неправильное положение зубов, неправильное смыкание.
Диагностика
Нарушение соотношения челюстей и неправильное положение зубов — зубные ряды смыкались некорректно, зубы стояли со смещением.
План лечения
Прозрачные элайнеры Spark на обе челюсти. Выровнять зубы и нормализовать смыкание. Основной набор — 32 капы. Срок — около 2 лет.
Ход лечения
Лечение заняло 29 месяцев (май 2023 — октябрь 2025). Понадобился один дополнительный набор из 20 кап — итого 52 капы. Параллельно проводилась профессиональная гигиена.
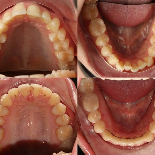
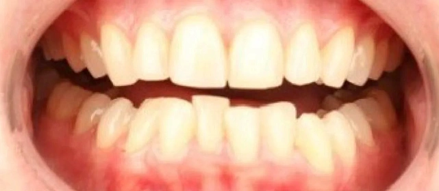
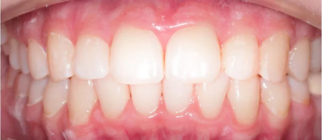
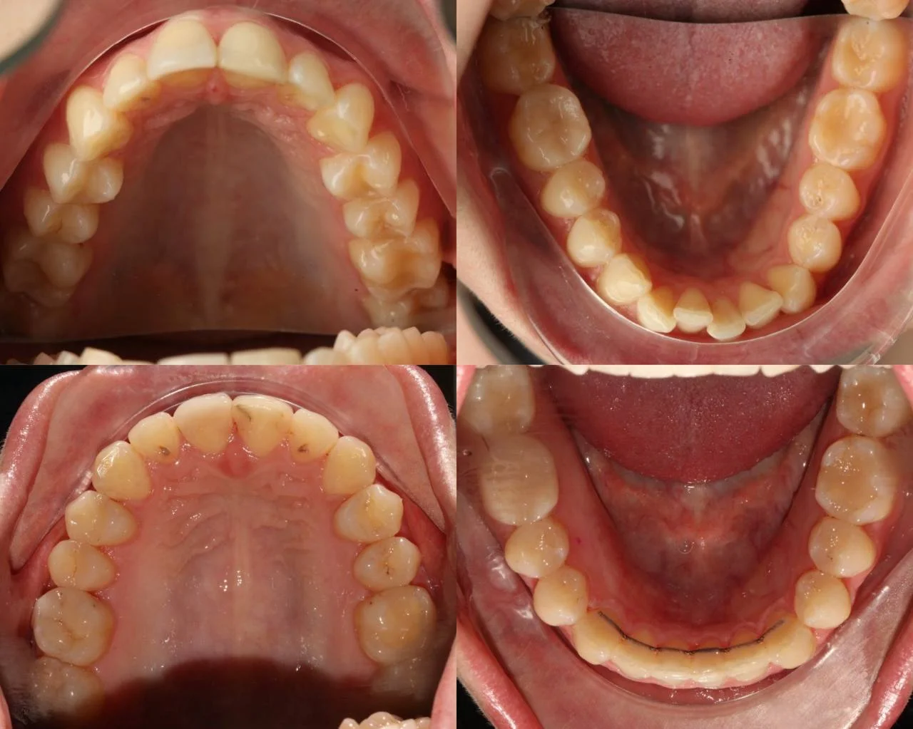
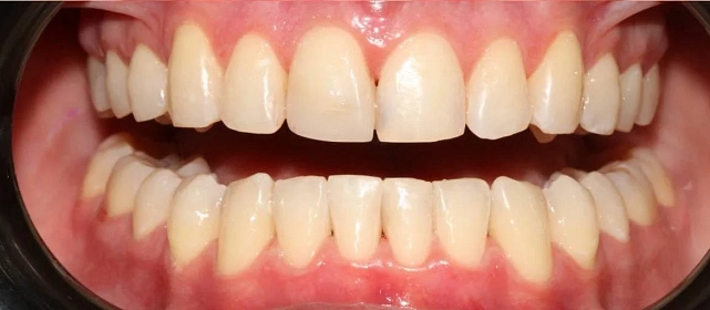
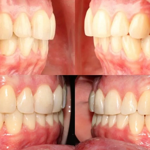
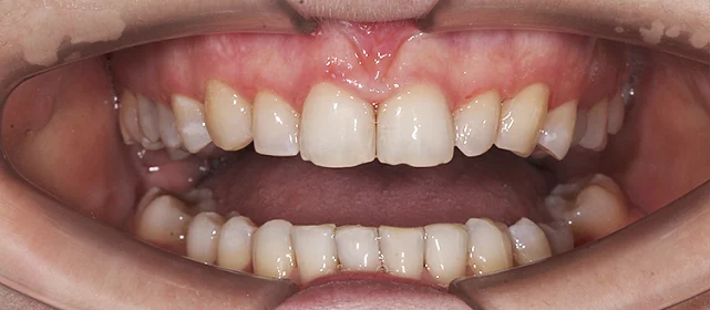
Результат
Зубы выровнены, смыкание нормализовано. Ретейнер установлен на нижнюю челюсть. На верхней будет зафиксирован после реставраций. Пациентка направлена к ортопеду для завершающего этапа.

Дата публикации: 10.03.26

Фотографии опубликованы с согласия пациента

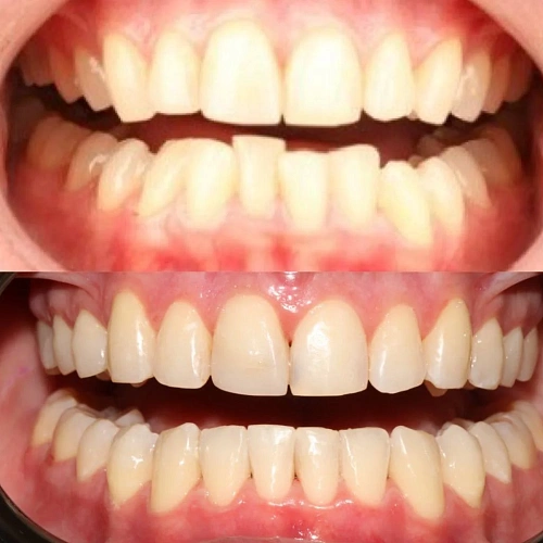
Проблема: Пациентку не устраивало положение зубов и то, как смыкаются челюсти. Зубы стояли неровно, ряды сходились неправильно. Помимо ортодонтии, зубы нуждались в реставрациях и ортопедическом лечении, но выравнивание нужно было провести в первую очередь.
Решение: Поставили прозрачные элайнеры Spark на обе челюсти. Основной набор — 32 капы, в процессе понадобился дополнительный из 20 — итого 52 капы за 29 месяцев. Зубы встали в правильное положение, смыкание нормализовалось. Ретейнер зафиксировали на нижней челюсти сразу. На верхней поставят после реставраций, чтобы проволока легла на окончательный контур зубов, а не на тот, который ещё будет меняться. Ретенционные капы тоже изготовят после ортопедии. Логика простая: сначала выровняли, потом восстанавливаем, потом фиксируем всё в финальном виде.
Дьячкова Инна Владимировна
Стоматолог - ортодонт
Стаж более 11 лет
★★★★★ 5.0
Хочу консультацию
Отзыв пациента
Капы носила почти два с половиной года. Звучит долго, но в процессе время летит — привыкаешь и живёшь обычной жизнью. Один дозаказ был, врач объяснила, что так бывает, когда зубы двигаются чуть медленнее, чем планировалось. Сейчас зубы ровные, впереди реставрации, но самое сложное уже позади.
Комментарий врача
Основной набор из 32 кап сделал основную работу: дуги расширились, зубы начали вставать на место. Для финальной коррекции заказали ещё 20 кап. Ретейнер на нижней челюсти поставили сразу, а верхний отложили сознательно: пациентке предстоят реставрации, после которых контур зубов немного изменится. Ретейнер и капы нужно делать уже по финальному результату, иначе придётся переделывать.
Дьячкова Инна Владимировна
Стоматолог - ортодонт
Оставьте заявку на запись на бесплатную консультацию ортодонта
В консультацию входит 3D-диагностика, визуализация вашей новой улыбки, индивидуальный план лечения, расчёт стоимости «под ключ».
Нажимая на кнопку «Бесплатная консультация», вы даёте согласие на обработку персональных данных.
Оставьте заявку на запись на бесплатную консультацию ортодонта