Неровные зубы и нарушение прикуса — лечение на элайнерах 3D Smile

Неровные зубы и нарушение прикуса — лечение на элайнерах 3D Smile

У меня похожий случай
Итоги по кейсу
Пол
Женский
Возраст
28 лет
Жалоба
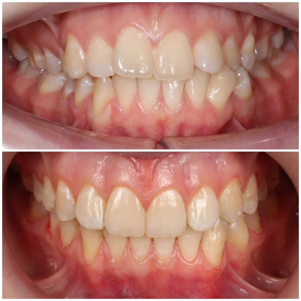
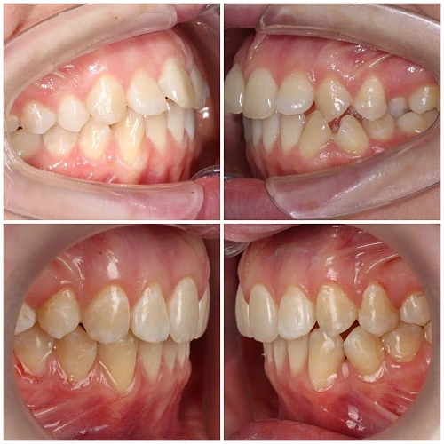
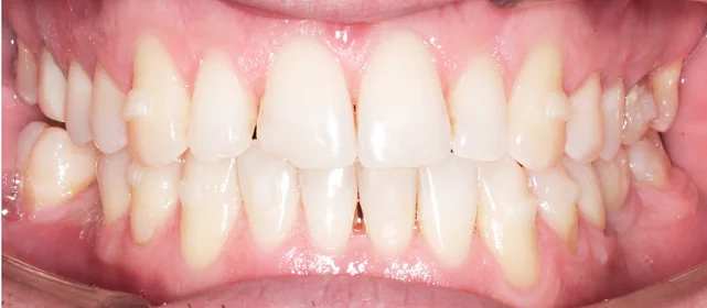
Неровные зубы.
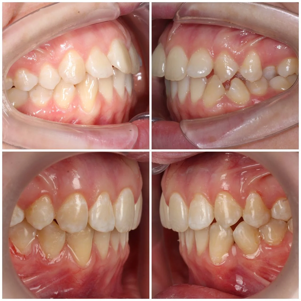
Диагностика
Нарушение соотношения челюстей и неправильное положение зубов — зубные ряды смыкались некорректно, зубы стояли со смещением.
План лечения
Прозрачные элайнеры 3D Smile на обе челюсти. Выровнять зубы и нормализовать смыкание. Основной набор — 29 кап. Срок — около 2 лет.
Ход лечения
Лечение заняло 3,5 года (сентябрь 2022 — февраль 2026). Основного набора из 29 кап оказалось недостаточно — понадобились два дополнительных: 16 и 12 кап. Итого 57 кап.
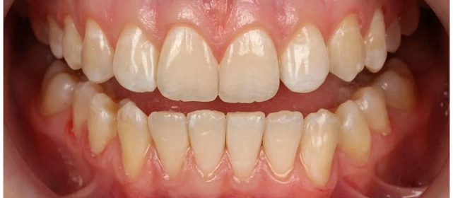
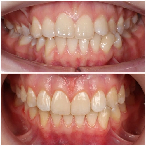
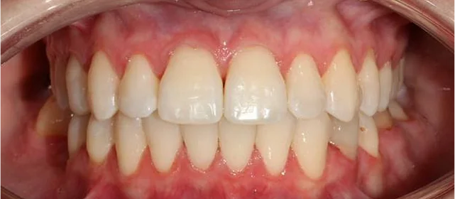
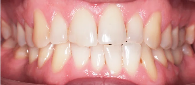
Результат
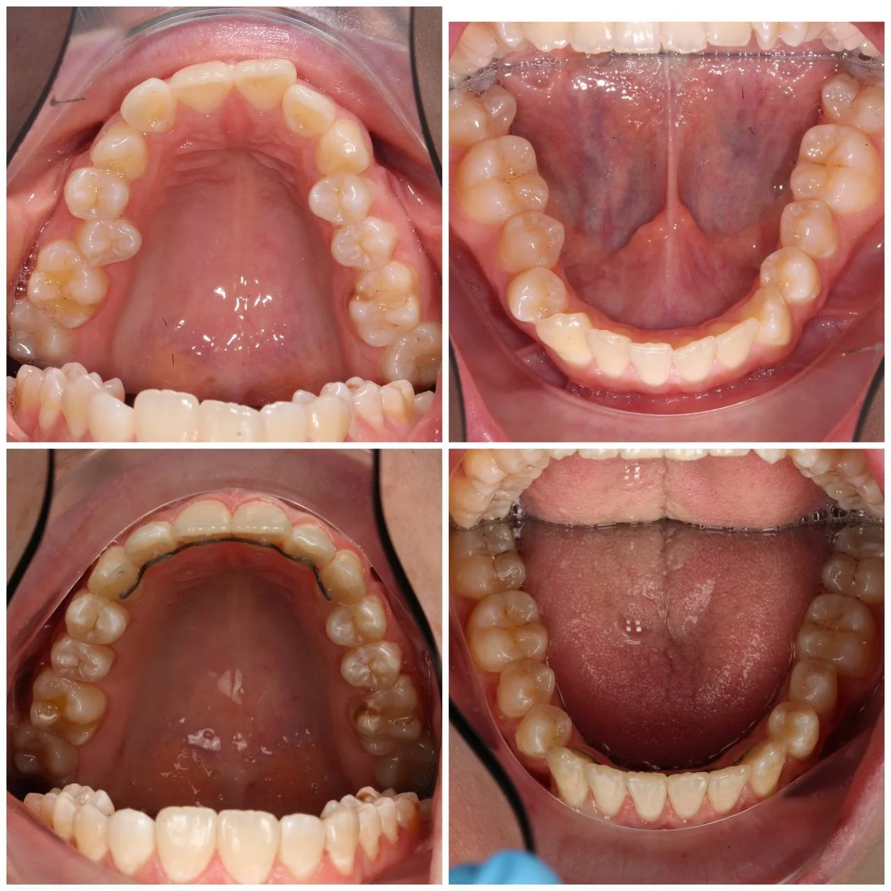
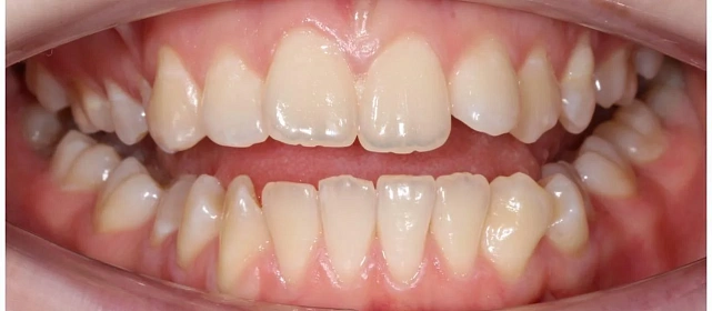
Зубы выровнены, смыкание нормализовано. Установлены несъёмные ретейнеры на обе челюсти, сняты сканы для изготовления ретенционных кап. Пациентка направлена к ортопеду.

Дата публикации: 09.04.26

Фотографии опубликованы с согласия пациента

Проблема: Пациентка обратилась с жалобой на неровные зубы. Челюсти смыкались неправильно, зубы стояли со смещением. До ортодонта к ортопеду не обращалась, хотя по ходу лечения стало понятно, что консультация нужна.
Решение: Поставили элайнеры 3D Smile на обе челюсти. Начали с 29 кап, но для достижения результата понадобились два дозаказа — 16 и 12 кап, итого 57. Лечение заняло 3,5 года. Основной набор сделал бо́льшую часть работы по выравниванию, первый дозаказ корректировал положение отдельных зубов, второй — доводил смыкание. Зубы в итоге встали на место. Зафиксировали ретейнеры на обе челюсти, сняли сканы для кап. Пациентку записали к ортопеду на дополнительные работы по восстановлению.
Поленок Мария Сергеевна
Стоматолог - ортодонт
Стаж более 5 лет
★★★★★ 4.9
Хочу консультацию
Отзыв пациента
Начинала с прогнозом «около двух лет», вышло три с половиной. Два дозаказа — это каждый раз ожидание и новый цикл. Морально к этому надо быть готовой. Но я видела, как зубы постепенно встают на место, и это мотивировало продолжать. Сейчас всё ровно, и я наконец иду к ортопеду — раньше руки не доходили, а теперь есть смысл.
Комментарий врача
Основной набор из 29 кап выполнил базовое выравнивание. Первый дозаказ из 16 кап понадобился для коррекции зубов, которые не полностью отреагировали на начальный курс. Второй из 12 — для подгонки смыкания. Два дозаказа — не идеал, но в кейсах 2022 года на отечественных системах это встречалось чаще из-за особенностей планирования того периода. Результат получен, пациентку направила к ортопеду для оценки необходимости реставраций.
Поленок Мария Сергеевна
Стоматолог - ортодонт
Оставьте заявку на запись на бесплатную консультацию ортодонта
В консультацию входит 3D-диагностика, визуализация вашей новой улыбки, индивидуальный план лечения, расчёт стоимости «под ключ».
Нажимая на кнопку «Бесплатная консультация», вы даёте согласие на обработку персональных данных.
Оставьте заявку на запись на бесплатную консультацию ортодонта