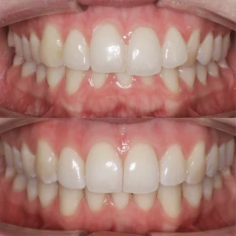
Расширение и выравнивание верхнего и нижнего зубных рядов

Расширение и выравнивание верхнего и нижнего зубных рядов

Дата публикации: 01.04.26

Фотографии опубликованы с согласия пациента

Проблема: В школьном возрасте был удалён один из резцов нижней челюсти по ортодонтическим показаниям; Жалобы на неровные зубы, некрасивую улыбку
Диагноз: глубокое резцовое перекрытие, скученность
Арутюнова Екатерина Ашотовна
Зав. отделением ортодонтии на Арбате
Стаж более 8 лет
★★★★★ 5.0
Хочу консультацию
Комментарий врача
Сейчас пациент на этапе лечения, заказали дополнительные элайнеры, чтобы опустить зуб 2.2 (боковой резец слева); на нижнем центральном резце планируется реставрация режущего края.
Арутюнова Екатерина Ашотовна
Зав. отделением ортодонтии на Арбате
Оставьте заявку на запись на бесплатную консультацию ортодонта
В консультацию входит 3D-диагностика, визуализация вашей новой улыбки, индивидуальный план лечения, расчёт стоимости «под ключ».
Нажимая на кнопку «Бесплатная консультация», вы соглашаетесь с политикой конфиденциальности.
Оставьте заявку на запись на бесплатную консультацию ортодонта