Работы

Работы


Протезирование верхнего и нижнего ряда
Лечение аномалии соотношений зубных дуг на брекет-системе
Восстановление эстетики винирами Восстановление эстетики винирами
Восстановление эстетики винирами
Лечение прикуса и восстановление эстетики винирами
"Голливудская улыбка" с помощью виниров
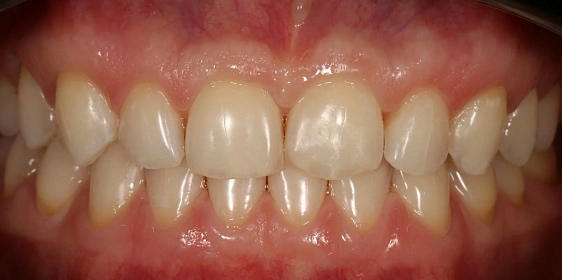
Отбеливание ZOOM4 после ортодонтии
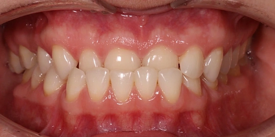
Ортодонтическое лечение
Ортодонтическое лечение
Ортодонтическое лечение
Оставьте заявку на запись на бесплатную консультацию ортодонта
В консультацию входит 3D-диагностика, визуализация вашей новой улыбки, индивидуальный план лечения, расчёт стоимости «под ключ».
Нажимая на кнопку «Бесплатная консультация», вы соглашаетесь с политикой конфиденциальности.
Оставьте заявку на запись на бесплатную консультацию ортодонта