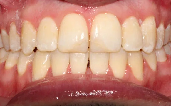
Брекеты на нижнюю челюсть

Брекеты на нижнюю челюсть

Заберите лучшие условия на установку брекетов на нижнюю челюсть - акция до конца месяца.

  • Старт всего 35 000 р.
  • Бесплатная консультация ортодонта
  • 3D-диагностика в подарок
  • Рассрочка 0% до 12 мес. без переплат
  • Фиксированная цена на весь курс
1276
Время на прочтение: 5 мин.
Брекеты на нижнюю челюсть
Дмитриева Елена Сергеевна
Информация проверена экспертом клиники ПРОПРИКУС
Ведущий ортодонт
Стаж более 17 лет
★★★★★ 4.9

Ортодонтическое лечение брекет-системами дает хорошие результаты в исправлении прикуса, улучшая эстетику улыбки и жевательную функцию. При стандартном подходе к лечению брекеты устанавливаются на обе челюсти, даже если видимые проблемы с прикусом проявляются только на одной. Это обусловлено непрерывным взаимодействием верхних и нижних зубов. Услуги по установке брекет-систем на нижнюю челюсть предлагаются в Москве в нашей клинике.

Показания к установке брекетов на нижнюю челюсть

Показания

  • Лёгкая скученность нижнего зубного ряда при правильном прикусе
  • Небольшие диастемы между нижними резцами
  • Незначительная неровность 1–2 зубов при гармоничном прикусе
  • Дефицит места в нижнем ряду не более 3 мм
  • Отсутствие верхних зубов-антагонистов в зоне коррекции
  • Подготовка нижнего ряда к протезированию при ровном верхнем ряду

Противопоказания

  • Серьёзные нарушения прикуса (глубокий, дистальный, мезиальный, открытый, перекрёстный) — необходимо лечение обеих челюстей
  • Скученность более 3–4 зубов или дефицит места более 3 мм
  • Асимметрия лица и костные деформации челюстей
  • Воспаления дёсен и кариес — до санации
  • Бруксизм в активной стадии
  • Аллергия на материалы брекет-системы
  • Психические расстройства, препятствующие соблюдению рекомендаций

В каких случаях ставят брекеты на обе челюсти

Брекет-системы на обе челюсти – это классика в ортодопедии. Связано это с тем, что зубы обеих челюстей тесно взаимосвязаны. Перемена положения одного зуба или группы зубов на одной из челюстей влияет на окклюзию (смыкание) зубов на другой. Даже при ограниченных проблемах (например, скученность верхних зубов) для создания пространства и выравнивания может потребоваться перемещение зубов на нижней челюсти. Цель лечения брекетами – не только ровные зубы, но и правильное смыкание для нормального функционирования, предотвращения зубного износа и проблем с челюстными суставами, а также улучшения эстетики лица.

Виды брекетов на нижнюю челюсть

Классификация брекет-систем основана на нескольких критериях, каждый из которых влияет на их функциональность, эстетику и стоимость.

По расположению

  • Вестибулярные (наружные). Самый распространенный тип брекетов, устанавливаемый на внешней стороне зубов. Подходят детям и взрослым.

  • Лингвальные (внутренние). Крепятся с внутренней стороны зубного ряда, делая их практически невидимыми. Они дороже наружного варианта, так как более сложные в установке.

По типу фиксации дуги

  • Лигатурные. Дуга удерживается с помощью резинок или проволоки. Это традиционный, надежный и экономичный вариант.

  • Безлигатурные (самолигирующие). Дуга фиксируется автоматически с помощью клипс. Они ускоряют процесс лечения и сокращают количество визитов к врачу, но более дорогостоящие.

По материалу

  • Металлические, из прочной нержавеющей стали. Они наиболее доступны и часто рекомендуются для сложных случаев.

  • Керамические, из высококачественного фарфора. Они эстетичны, так как подбираются под цвет зубов.

  • Сапфировые, из прозрачного искусственного сапфира. Они практически незаметны и не меняют цвет. Но у них высокая стоимость, обусловленная сложностью производства.

  • Пластиковые полупрозрачные (каппы). Они дешевле керамических, но уступают им в прочности

Сравнение видов брекетов на нижнюю челюсть

Вид Заметность Особенности на нижней челюсти Кому подходит
Металлические вестибулярные Заметны Максимальная управляемость дугой, подходят для тяжелой скученности нижнего ряда Любой возраст, сложные случаи
Керамические вестибулярные Малозаметны Эстетичнее металла, но чуть сложнее в уходе из-за пористой поверхности Взрослые с умеренной скученностью
Сапфировые вестибулярные Почти прозрачны Хорошо смотрятся на нижнем ряду при улыбке и разговоре Пациенты с высокими эстетическими требованиями
Лингвальные Полностью скрыты Расположены со стороны языка — период адаптации речи длиннее, до 6 недель Публичные люди, профессии с высокими требованиями к внешнему виду
Самолигирующие (Damon) Зависит от материала Снижают трение дуги, зубы двигаются плавнее; удобны при сильной скученности нижних резцов Умеренная и тяжелая скученность

Как брекеты на нижней челюсти выравнивают зубы?

Зубы могут перемещаться как самостоятельно, так и под внешним воздействием. Именно последнее свойство делает ортодонтическое лечение брекетами эффективным. Выравнивание зубов идет за счет постоянного, но спокойного давления ортодонтической дуги. Она, стремясь вернуться в первоначальное состояние, передает это давление на брекеты, заставляя их перемещать зубы в костной ткани. Этот процесс приводит к постепенному изменению положения зубов и формированию ровного зубного ряда по заданному ортодонтом плану.

Этапы установки брекетов для нижней челюсти

Перед установкой брекетов ортодонт проводит тщательную диагностику полости рта, чтобы выявить заболевания десен, повреждения зубов и другие проблемы. В ходе подготовки к установке брекетов проводится лечение кариеса, профессиональная чистка зубов от налета и зубного камня. Только после завершения подготовительного этапа, врач-ортодонт приступает к установке брекет-системы на зубы с последующим креплением корректирующей дуги. Боль и неприятные ощущения после установки брекет-системы – это обычное явление при исправлении прикуса. 

Боль под брекетами в первые дни после их установки обусловлена такими факторами как:

  • Постоянное давление брекетов на зубы, чтобы поставить их в правильное положение. Это давление раздражает периодонтальную связку (ткань, соединяющую зуб с костью) и вызывает воспаление, что приводит к боли.

  • Уровень болевой чувствительности у конкретного человека. Некоторые люди испытывают лишь легкий дискомфорт, в то время как другие ощущают сильную боль.

Когда зубы начинают адаптироваться к новому давлению, дискомфорт проходит. В процессе лечения необходимы регулярные коррекции и осмотры у ортодонта для контроля и настройки дуг. По достижении желаемого результата брекеты снимаются, и для закрепления эффекта назначается ретенционный период с использованием ретейнеров. Сохранение ровных зубов после ортодонтического лечения обеспечивается использованием ретенционных аппаратов и своевременных консультаций со стоматологом.

Сроки лечения брекетами на нижней челюсти

Средняя продолжительность лечения — от 12 до 24 месяцев. Конкретный срок врач называет после диагностики: КЛКТ и цифровая модель дают точную картину дефицита места в ряду и необходимого объема перемещений.

Что влияет на продолжительность

Степень скученности — главный фактор. Нижние зубы физически теснее, чем верхние: нижняя дуга короче, а место под передние резцы ограничено с обеих сторон клыками. Дефицит до 3 мм корректируется в среднем за 12–14 месяцев. При дефиците 4–6 мм и более лечение занимает 18–24 месяца, иногда требуется межзубная сепарация или удаление премоляра.

Возраст. У подростков нижняя челюсть еще растет, костная ткань мягче — зубы двигаются быстрее. У взрослых скорость перемещения ниже, но результат стабильнее.

Лечение одной или двух челюстей. Если брекеты стоят только на нижней, ортодонт тщательно контролирует окклюзию на каждом приеме: верхние зубы должны адаптироваться к смещению нижних. Это иногда удлиняет общий срок по сравнению с лечением обеих челюстей одновременно.

Регулярность приемов. Плановый визит каждые 5–8 недель нужен для смены дуги на более жесткую. Пропуск откладывает этот шаг и соответственно сдвигает финал лечения.

Ретенционный период. После снятия брекетов сразу устанавливают несъемный ретейнер на нижние зубы — как правило, на резцы от клыка до клыка. Нижние передние зубы наиболее склонны к смещению после лечения, поэтому ретейнер здесь особенно важен. Минимальный срок ношения — вдвое дольше активного лечения. Многие ортодонты рекомендуют оставлять несъемный ретейнер бессрочно: конструкция тонкая и практически не ощущается.

Уход за брекетами на нижней челюсти

После установки брекетов на нижнюю челюсть, необходим тщательный уход за ними и регулярное наблюдение у специалиста. Он расскажет, как правильно ухаживать за зубами и самой брекет-системой.

Безупречная гигиена полости рта в виде чистки зубов не реже двух раз в день, с использованием специальной ортодонтической зубной щетки с V-образным срезом щетины. Также зубные пасты и ополаскиватели с фтором способствуют укреплению зубной эмали и предотвращают появление белых пятен, которые иногда возникают при длительном ношении брекетов. Также надо уделять постоянное внимание участкам между зубами и вокруг самих брекетов, где скапливаются остатки пищи. Для их полного удаления надо использовать зубную нить (флосс) и ирригатор.

Корректировка рациона питания. Чтобы избежать повреждения брекет-системы, рекомендуется исключить из рациона твердые, липкие и хрустящие продукты. К ним относятся орехи, карамель, жевательная резинка, жесткое мясо и свежий хлеб. Также стоит ограничить потребление сахара, чтобы минимизировать риск развития кариеса.

Профессиональная гигиена у стоматолога. Помимо плановых визитов к ортодонту, важно регулярно посещать стоматолога для проведения профессиональной чистки зубов. Это поможет предотвратить развитие заболеваний десен и зубов в течение всего периода лечения.

Лечение с помощью брекетов – это проверенный способ достижения ровных зубов. Наглядные фото «до» и «после» позволяют оценить преображение улыбки. Для продолжительного сохранения достигнутого результата после снятия брекетов необходимо носить ретейнеры. Стоимость лечения неправильного прикуса зависит от выбранного типа брекет-системы. Материалы изготовления, например металл, керамика или сапфир, также влияют на цену. В нашей клинике ПРОПРИКУС мы предлагаем полный спектр услуг по исправлению прикуса брекетами на нижнюю челюсть. Мы используем только современные технологии и материалы, а наши опытные врачи-ортодонты составят индивидуальный план лечения, учитывая особенности и пожелания пациента. Если у вас есть проблемы с прикусом, запишитесь на консультацию в нашу клинику. Мы поможем вам обрести уверенность в себе и красивую, здоровую улыбку!

Запишитесь на бесплатное 3D моделирование будущей улыбки!

+ рассрочка 0% на лечение
Запишитесь на бесплатное 3D моделирование будущей улыбки!

Запишитесь на бесплатную консультацию

Это бесплатно, безболезненно и очень полезно!

  • Сделаем 3D-модель улыбки;
  • Диагностируем что не так с прикусом;
  • Предоставим варианты лечения;

Консультация ничего не стоит и ни к чему вас
не обязывает.

Запишитесь на бесплатную консультацию

Совет врача

За 17 лет практики я наблюдала сотни случаев с изолированным лечением нижней дуги, и каждый раз начинаю с одного и того же вопроса: а нужно ли это на самом деле? Частичное лечение только нижней челюсти оправдано в конкретных ситуациях - когда верхний ряд уже ровный, прикус правильный, и задача строго локальная.

Если прикус нарушен - работать изолированно нельзя: вы получите красивый нижний ряд и функционально нестабильный результат, который через 2-3 года потребует переделки.

Я всегда честно говорю пациенту: если ваш случай требует лечения обеих челюстей, лучше сделать это сразу и правильно. Это дешевле и предсказуемее, чем исправлять частичный результат.
Записаться на бесплатную консультацию
Дмитриева Елена Сергеевна
Дмитриева Елена Сергеевна
Ведущий ортодонт

Кейс: Сужение челюстей и боль в суставе — лечение на брекетах H4

Пациентка, 30 лет. Неровные зубы на верхней челюсти, неправильный прикус. Периодически беспокоил сустав челюсти.

Диагностика: Обе челюсти сужены — зубам не хватало места, из-за чего они стояли неровно. Верхняя челюсть выступала вперёд относительно нижней с обеих сторон (II класс по Энглю).

План лечения: Металлические самолигирующие брекеты H4 на обе челюсти. Расширить зубные дуги, выровнять зубы, исправить прикус. Срок — около 2 лет.

Ход лечения: Лечение заняло 25 месяцев. Визиты к ортодонту раз в 4–6 недель для замены дуг и контроля прогресса. За счёт исправления прикуса нагрузка на сустав нормализовалась.

Результат: Зубы выровнены, прикус исправлен, жалобы на сустав прошли. Для закрепления результата установлены несъёмные ретейнеры на обе челюсти и изготовлены ночные капы. Пациентка направлена к ортопеду для финальных реставраций.

Этот кейс не является гарантией результата. Сроки и итоги лечения зависят от индивидуальных особенностей.


Хочу бесплатную консультацию

Протокол лечения на брекетах в ПРОПРИКУС

Бесплатная консультация и 3D-диагностика
Врач проводит 3D-сканирование челюстей, проверяет прикус и называет предварительную стоимость лечения «под ключ». Никаких слепков и скрытых доплат.
Согласование плана лечения
На компьютере моделируем движение зубов и показываем, как будет выглядеть ваша улыбка после лечения. 
Вы утверждаете план — мы начинаем.
Консилиум специалистов
Ортодонт, ортопед, гигиенист, терапевт и хирург вместе составляют план лечения. 
Командная работа исключает ошибки.
Диагностика ВНЧС
Проверяем состояние височно-нижнечелюстного сустава и мышц. 
Это гарантирует стабильный результат без рецидивов.
Санация полости рта
Проводим профгигиену, лечим кариес, при необходимости удаляем зубы мудрости. 
Брекеты ставим только на здоровые зубы.
Подбор брекет-системы
Выбираем оптимальный вариант: классическая лигатурная или самолигирующая. Каждый случай уникален.
Установка и лечение
Фиксируем брекеты (1–1,5 часа), даём инструкции по уходу. 
Далее — визиты на активацию раз в 4–6 недель.
Окончание лечения и ретенция
Снимаем брекеты и изготавливаем индивидуальные ретейнеры, чтобы закрепить результат. 
Если нужно — бесплатно корректируем план.

Стоимость установки брекетов на нижнюю челюсть

Первичная консультация и диагностика
Бесплатно
Лечение с использованием брекет-системы Experience R (цена под ключ)
от 340 000
от 290 000 ₽
Рассрочка на 6 или 12 месяцев,
либо кредит на весь срок лечения
Лечение с использованием брекет-системы Experience С (цена под ключ)
от 360 000
от 300 000 ₽
Лечение с использованием брекет-системы Damon Clear (цена под ключ)
от 390 000
от 340 000 ₽
Лечение с использованием брекет-системы Damon Q (цена под ключ)
от 360 000
от 300 000 ₽
Рассрочка на 6 или 12 месяцев,
либо кредит на весь срок лечения

Вопросы и ответы

Можно ли поставить на нижнюю челюсть металлические брекеты, а на верхнюю керамические?
Да, это популярная комбинация среди наших пациентов. Верхние зубы больше видны при улыбке, поэтому туда ставят эстетичные керамические или сапфировые брекеты. Нижние зубы менее заметны, и металлические брекеты там практически не привлекают внимания. При этом обе системы работают одинаково эффективно и полностью совместимы между собой.

Нижние брекеты сильнее натирают язык, чем верхние?
Да, в первые дни язык может соприкасаться с замочками на нижних зубах и немного натираться. Это временное явление: через одну две недели слизистая адаптируется. Чтобы ускорить привыкание, используйте ортодонтический воск на тех брекетах, которые вызывают дискомфорт. Современные низкопрофильные системы, такие как Damon Q, минимизируют эту проблему благодаря компактным размерам и гладким краям.
Правда ли, что нижние зубы сложнее выравнивать, чем верхние?
Нижняя челюсть действительно имеет свои особенности: она уже верхней, а зубы расположены плотнее. Из за этого при скученности работа требует более точного планирования. Однако современные брекет системы успешно справляются с коррекцией нижнего зубного ряда. Важно учитывать взаимодействие с верхними зубами, чтобы после лечения прикус был правильным.

Отзывы

Наши контакты

Клиника «Арбат»
Москва, ул. Большая Молчановка, 18
Метро Арбатская
Ежедневно с 9:00 до 21:00.
Клиника «Сокольники»
Москва, ул. Русаковская, 31 вход на 3-м этаже ТЦ "Сокольники"
Метро Сокольники
Ежедневно с 9:00 до 21:00.

Акции

Элайнеры по подписке
Элайнеры по подписке
  • 3D-диагностика и план лечения бесплатно
  • Рассрочка на весь срок лечения
  • Подарили уже 11000 улыбок за 8 лет
Подробнее
Ваша карта москвича – ключ к здоровой улыбке
Ваша карта москвича – ключ к здоровой улыбке
  • Скидка до 30 000 руб. на брекеты и элайнеры.
  • Скидка до 10% на другие стоматологические услуги.

Это не первый взнос, а чистое уменьшение итоговой стоимости вашего лечения.

Лечение кариеса, профессиональная чистка, отбеливание - экономьте на всех услугах!

Просто покажите вашу карту администратору при расчете.

Подробнее
Бесплатная консультация ортодонта до конца месяца
Бесплатная консультация ортодонта до конца месяца
+ 3D сканирование в подарок
  • Точный диагноз
  • 3D-визуализация вашего будущего результата
  • Персональный план лечения
Абсолютно бесплатно! Без обязательств.
Подробнее
Приводи друзей! За рекомендацию другу до 20000 бонусов в подарок.
Приводи друзей! За рекомендацию другу до 20000 бонусов в подарок.

Приводи друзей! За рекомендацию другу до 20000 бонусов в подарок.

Другу начисление до 10000 бонусов в подарок.

Узнай подробности у менеджера.

Подробнее
Фотосессия за виниры*
Фотосессия за виниры*
Ослепительная фотосессия от #ПРОПРИКУС в подарок!
Подробнее

Другие услуги

Элайнеры Click Aligners
Элайнеры Click Aligners
Элайнеры Click Aligners нового поколения от российского производителя, разработанные ведущими ортодонтами. Протоколы лечения на элайнерах Click помогают точно спланировать перемещение зубов.
Подробнее
Установка элайнеров
Установка элайнеров
Элайнеры – это прозрачные капы из тонкого медицинского пластика мягко и точно перемещают зубы в нужное положение.
Подробнее
Элайнеры для детей
Элайнеры для детей
Элайнеры для детей - эффективный и безопасный способ создания идеальной улыбки.
Подробнее
Установка ретейнеров
Установка ретейнеров
Ретейнер — это ортодонтическая конструкция, которую устанавливают сразу после снятия брекетов.
Подробнее
Консультация ортодонта
Консультация ортодонта
Каждый пациент заинтересован, чтобы его лечил лучший ортодонт. Во время осмотра понаблюдайте, комфортно ли вам находиться рядом с врачом.
Подробнее
Установка брекетов
Установка брекетов
Брекеты позволяют избавиться от скученности, устранить межзубные промежутки и получить ровные зубы. Длительность и стоимость терапии зависят от клинической картины.
Подробнее
Брекеты для детей
Брекеты для детей
Детский брекет – это несъемная конструкция, которую врач-ортодонт ставит на зубы ребенку для их постепенного перемещения и исправление прикуса.
Подробнее
Металлические брекеты
Металлические брекеты
Металлические брекеты, несмотря на то, что выделяются, полностью компенсируют данный ньюанс высокой эффективностью и точностью перемещения зубов.
Подробнее
Керамические брекеты
Керамические брекеты
Керамические брекеты — современное решение в ортодонтии, сочетающее эффективность коррекции прикуса с высокой эстетикой.
Подробнее
Сапфировые брекеты
Сапфировые брекеты
Сапфировые брекеты — ортодонтическая система с замками из монокристаллического оксида алюминия. Подходят взрослым и подросткам, которым важен эстетичный вид во время лечения.
Подробнее
Безлигатурные (самолигирующие) брекеты
Безлигатурные (самолигирующие) брекеты
Безлигатурные (самолигирующие) брекеты — это системы, в которых дуга фиксируется в замке без помощи специальных лигатур. Они имеют ряд плюсов по сравнению с другими системами.
Подробнее
Брекеты Damon
Брекеты Damon
Брекеты Даймон – безлигатурные системы нового поколения, с помощью которых можно качественно выровнять зубной ряд и откорректировать прикус.
Подробнее
Брекеты Damon Q
Брекеты Damon Q
Брекет-система Damon Q — эстетичные саморегулирующие металлические брекеты, популярные, эстетичные и самые современные самолигирующие металлические брекеты от американского бренда ORMCO.
Подробнее
Брекеты Damon Clear
Брекеты Damon Clear
Ортодонтические конструкции Damon разработаны специалистами американской компании Ormco, имеющей все необходимые лицензии для обеспечения качества и безопасности лечения.
Подробнее
Консультация детского ортодонта
Консультация детского ортодонта
Выбор врача юному пациенту — важный шаг в лечении. Специалист должен выстроить с детьми доверительные отношения, создать уютную атмосферу во время приема.
Подробнее
Брекеты на верхнюю челюсть
Брекеты на верхнюю челюсть
Верхние зубы далеки от идеала – в голове почти сразу возникает мысль о брекетах.
Подробнее
Аппарат Хаас
Аппарат Хаас
Аппарат Хааса – это знаковая разработка в детской ортодонтии, получившая имя своего создателя, немецкого врача Э. Хааса, и впоследствии усовершенствованная итальянским специалистом Марко Росса
Подробнее
Трейнеры
Трейнеры
Трейнеры — мягкая альтернатива брекетам, особенно популярная в детской ортодонтии.
Подробнее

Полезная информация

Капы и глубокий прикус
Капы и глубокий прикус
Исправить глубокий прикус у взрослых можно брекетами или элайнерами (прозрачными капами) — в большинстве случаев без хирургии. Метод подбирается индивидуально после диагностики: ключевой критерий — глубина перекрытия и наличие скелетной аномалии.
Виды прикуса
Виды прикуса
Прикус бывает правильный и неправильный. И отличия не столько в эстетике, сколько в функциональности зубочелюстной системы. Если она нарушена, значит, речь идет о патологических видах прикуса, при которых ортодонтическое лечение – необходимость.
Стерильность в клинике ПРОПРИКУС
Стерильность в клинике ПРОПРИКУС
Безопасность пациента – наш приоритет. Поэтому соблюдению стерильности в нашей клинике уделяется максимум внимания.
Страхи или реальность?
Страхи или реальность?
Кто же в детстве не боялся бормашины! Шумно, больно, непонятно… И несмотря на то, что современная стоматологическая аппаратура выглядит не такой пугающей, страх лечить зубы до сих пор существует. Причем одолевает он не только детей, но и многих взрослых. Как с ним справляться? Да и надо ли?
Атрофия костной ткани после потери зуба
Атрофия костной ткани после потери зуба
После удаления зуба костная ткань челюсти начинает резорбироваться: за первые 3 месяца теряется до 60% ширины альвеолярного гребня. Разбираем, почему это происходит, какие виды атрофии бывают (горизонтальная, вертикальная, комбинированная), как классифицируется степень потери, через какое время уже поздно ставить имплант без костной пластики, что такое пневматизация гайморовой пазухи и как сохранить кость с помощью методики Socket Preservation.
Что можно и нельзя есть после имплантации зубов
Что можно и нельзя есть после имплантации зубов
Питание после имплантации напрямую влияет на приживление импланта. Разбираем, что можно есть в первый день и в первые две недели, какая температура пищи безопасна, когда вернуться к обычной диете, можно ли пить алкоголь и курить, как правильно использовать ирригатор. Подробное меню по дням, список запрещенных продуктов, правила жевания и питья.
Сколько служит зубной имплант?
Сколько служит зубной имплант?
Современный зубной имплант служит 20–25 лет, а у 70–80% пациентов — пожизненно. Разбираем, что реально покрывает «пожизненная гарантия» производителя и чем она отличается от гарантии клиники, через сколько лет придется менять коронку и абатмент, какие документы должны быть у каждого импланта, как влияют курение и системные заболевания на долговечность, и что делать, чтобы имплант служил максимально долго.
Восстановление после имплантации зуба
Восстановление после имплантации зуба
Восстановление после имплантации зуба занимает от 14 дней (заживление десны) до 6 месяцев (полная остеоинтеграция). Разбираем, что нормально на каждом этапе, как контролировать отек и боль, когда снимают швы, что есть и пить в первые дни, и какие симптомы — повод срочно обратиться к врачу.
Больно ли ставить зубной имплант?
Больно ли ставить зубной имплант?
Имплантация зубов проходит под анестезией и не вызывает боли во время операции. Разбираем, что реально чувствует пациент во время установки импланта, какая анестезия применяется, кому нужна седация или общий наркоз, насколько сильно болит после и сколько длится дискомфорт.
Имплантация зубов при сахарном диабете
Имплантация зубов при сахарном диабете
Сахарный диабет — не противопоказание к имплантации, но требует особого подхода. Разбираем, при каких показателях HbA1c операция безопасна, в чем разница между компенсированным и декомпенсированным диабетом для имплантолога, какие импланты дают лучший результат у диабетиков, зачем нужна консультация эндокринолога и какова реальная статистика приживления через 10 лет. Статья поможет понять алгоритм действий и подготовиться к операции грамотно.
20
2195
/uslugi/ortodontiya/brekety-na-nizhnyuyu-chelyust/
50
2000
comment@vnikuda.ru
/bitrix/components/ktoto/comments

Оставить комментарий


Дмитрий
01 января 2026
Добрый вечер! Хочу поставить брекеты на нижнюю челюсть, но у меня удалён один жевательный зуб (шестёрка). Можно ли ставить брекеты при отсутствии зуба? Или сначала нужен имплант?
Стоматология "ПРОПРИКУС"
02 января 2026
Добрый вечер, Дмитрий! Отсутствие зуба не является противопоказанием к установке брекетов, но требует индивидуального подхода. Здесь возможны два сценария. Первый: брекеты используются для подготовки к имплантации, чтобы создать правильное пространство и положение соседних зубов. Второй: в некоторых случаях ортодонт может закрыть промежуток, сместив соседние зубы на место отсутствующего, и тогда имплант вообще не понадобится. Какой вариант подойдёт вам, зависит от клинической ситуации: положения соседних зубов, состояния прикуса, объёма костной ткани. На консультации с диагностикой мы определим оптимальный план лечения.
Мария
04 января 2026
Ношу брекеты на нижней челюсти 4 месяца. Заметила, что один зуб стал немного шататься. Это опасно? Он не выпадет?
Стоматология "ПРОПРИКУС"
08 января 2026
Здравствуйте, Мария! Небольшая подвижность зубов во время ортодонтического лечения является нормой и не должна вызывать беспокойства. Это происходит потому, что зубы активно перемещаются в костной ткани: с одной стороны корня кость рассасывается, с другой формируется новая. В этот период зуб действительно может слегка покачиваться. После завершения лечения и в ретенционный период кость укрепляется, и подвижность полностью исчезает. Однако если шатание сильное, сопровождается болью или зуб изменил цвет, нужно обязательно показаться ортодонту для осмотра. В большинстве случаев это просто признак того, что лечение идёт по плану.
Игорь
12 января 2026
Интересует вопрос по выбору системы. На нижнюю челюсть хочу поставить металлические брекеты, потому что они дешевле и всё равно не так видны, как верхние. Это разумный выбор или есть подводные камни?
Стоматология "ПРОПРИКУС"
16 января 2026
Здравствуйте, Игорь! Ваша логика абсолютно верна, и многие пациенты выбирают именно такой подход. Нижние зубы действительно менее заметны при улыбке и разговоре, поэтому металлические брекеты на нижней челюсти практически не привлекают внимания. При этом металл самый прочный материал, который отлично справляется со сложными случаями и позволяет врачу точнее контролировать перемещение зубов. Никаких подводных камней здесь нет. Более того, популярный вариант среди наших пациентов: керамические или сапфировые брекеты на верхнюю челюсть (для эстетики) и металлические на нижнюю (для экономии). Такая комбинация работает отлично.
Наталья
14 января 2026
Здравствуйте. Мне поставили брекеты на нижнюю челюсть неделю назад. Очень больно жевать, язык постоянно цепляется за замочки и уже натёрт. Это нормально? Когда пройдёт?
Стоматология "ПРОПРИКУС"
17 января 2026
Здравствуйте, Наталья! То, что вы описываете, абсолютно нормальная реакция на установку брекетов. Первые 7 дней, как правило, самые сложные: зубы начинают двигаться, язык ещё не привык к новым ощущениям. Боль при жевании связана с давлением на периодонтальную связку и постепенно уменьшается. Чтобы облегчить состояние, используйте ортодонтический воск на те брекеты, которые натирают язык. Также помогает мягкая пища в первые дни и при необходимости обезболивающее. К концу второй недели большинство пациентов адаптируются. Если через 2 недели дискомфорт не уменьшится, обязательно свяжитесь с вашим ортодонтом.
Алексей
18 января 2026
Добрый день! У меня скучены только нижние зубы, верхние абсолютно ровные. Хочу поставить брекеты только на нижнюю челюсть. Ортодонт в поликлинике сказал, что так нельзя и нужно ставить на обе. Это правда или можно обойтись только низом?
Стоматология "ПРОПРИКУС"
19 января 2026
Здравствуйте, Алексей! Установка брекетов только на нижнюю челюсть возможна, но при соблюдении определённых условий. Главное из них: дефицит места в зубном ряду не должен превышать 3 мм, а прикус должен быть в норме. Дело в том, что верхние и нижние зубы работают как единая система. Когда нижние зубы выровняются, они могут начать неправильно смыкаться с верхними, что создаст новые проблемы. Ортодонт оценивает не только ровность зубов, но и их взаимоположение. Рекомендуем пройти диагностику в нашей клинике: мы сделаем снимки, проанализируем прикус и дадим честный ответ, возможно ли лечение только одной челюсти в вашем случае.
Оставьте заявку на запись на бесплатную консультацию ортодонта
В консультацию входит 3D-диагностика, визуализация вашей новой улыбки, индивидуальный план лечения, расчёт стоимости «под ключ».
Нажимая на кнопку «Бесплатная консультация», вы даёте согласие на обработку персональных данных.
Оставьте заявку на запись на бесплатную консультацию ортодонта