Металлические брекеты

Металлические брекеты

Заберите лучшие условия на установку металических брекетов - акция до конца месяца.

  • Старт всего 35 000 р.
  • Бесплатная консультация ортодонта
  • 3D-диагностика в подарок
  • Рассрочка 0% до 12 мес. без переплат
  • Фиксированная цена на весь курс
3328
Время на прочтение: 5 мин.
Металлические брекеты
Шевченко Алина Борисовна
Информация проверена экспертом клиники ПРОПРИКУС
Стоматолог - ортодонт
Стаж более 4 лет
★★★★★ 5.0

Металлические брекеты — несъёмная ортодонтическая система с замками из медицинской нержавеющей стали или титанового сплава. Замок фиксируется адгезивом на эмали, через его паз проходит металлическая дуга, которая создаёт постоянное ортодонтическое усилие 50–300 г на зуб. Система работает при зубочелюстных аномалиях любой степени сложности и остаётся наиболее точным инструментом для управления положением зубов из всех несъёмных аппаратов.

Каждый брекет – это крошечный железный замочек, приклеенный к зубу. Все они соединяются тонкой дугой, которая управляет движением зубов, направляя их в нужное положение. Работа идет медленно, но точно: день за днем зубы перестраиваются, а улыбка становится все ровнее и гармоничнее.

Показания и противопоказания

Металлические брекеты устанавливают при скученности зубов I–III степени, диастемах и тремах, нарушениях наклона и положения отдельных зубов, а также при дистальном, мезиальном, перекрёстном и глубоком прикусе. Система работает как при зубоальвеолярных, так и при частичных скелетных аномалиях в сочетании с межчелюстными эластиками или дополнительными ортодонтическими аппаратами.

Возрастных ограничений для взрослых нет. Подросткам систему устанавливают после завершения смены зубов — как правило, с 12 лет. Металлические брекеты применяют и в сложных клинических случаях, где эстетические системы ограничены по биомеханике: при значительном дефиците места в зубном ряду (более 8–10 мм), при подготовке к ортогнатической операции, при выраженной ротации зубов.

Противопоказания связаны не с материалом замка, а с состоянием полости рта и общим здоровьем пациента. Активный пародонтит, множественный кариес и неудовлетворительная гигиена — основания отложить установку до санации. Аллергия на никель или хром требует перехода на титановые замки или систему с покрытием.

Показания

  • Скученность зубов любой степени сложности, включая тяжёлую
  • Все виды нарушений прикуса: дистальный, мезиальный, глубокий, открытый, перекрёстный
  • Значительные ротации и наклоны зубов
  • Экструзия и интрузия зубов
  • Сложные случаи, требующие максимального контроля над перемещением
  • Подготовка к ортогнатической хирургии

Противопоказания

  • Аллергия на никель и хром
  • Заболевания пародонта в стадии обострения
  • Нелеченый активный кариес — до санации
  • Тяжёлый бруксизм (высокий риск поломки дуги)
  • Острые воспалительные заболевания полости рта
  • Онкологические заболевания ЧЛО
  • Тяжёлые системные заболевания, снижающие регенерацию костной ткани
  • Возраст до 12–13 лет без показаний к частичной системе

Перед установкой брекетов обязательна профессиональная гигиена и санация. Если есть воспаление дёсен — сначала лечение у пародонтолога, потом ортодонтия.

Виды металлических брекетов

Важно понимать, что металлические брекеты бывают разными. Современная ортодонтия предлагает несколько разновидностей металлических систем, каждая из которых имеет свои особенности, преимущества и тонкости применения. Разные конструкции могут отличаться по способу крепления дуги, форме брекетов и способу регулировки давления на зубы.

Лигатурные металлические брекеты 

Дуга крепится к замку эластичными или металлическими лигатурами, которые врач меняет на каждом приёме. Трение дуги в пазу выше — 0,15–0,25 Н. Приёмы раз в 4–6 недель. Замки компактнее самолигирующих аналогов, профиль ниже. Это стандартный вариант для большинства клинических ситуаций, хорошо изученный биомеханически.

Самолигирующие металлические брекеты

Замок оснащён встроенной клипсой, которая удерживает дугу без лигатур. Трение снижается до 0,05–0,10 Н. Приёмы реже — раз в 6–10 недель. Система Damon — один из наиболее распространённых примеров. Клипса бывает активной (давит на дугу) и пассивной (просто закрывает паз) — выбор зависит от этапа лечения и клинической задачи.

Параметр Лигатурные металлические Самолигирующие металлические
Фиксация дуги Эластичные или металлические лигатуры Встроенная клипса (active/passive)
Трение дуга/паз 0,15–0,25 Н 0,05–0,10 Н
Частота визитов Раз в 4–6 недель Раз в 6–10 недель
Ориентировочный срок лечения 18–30 месяцев 14–24 месяца
Типичные показания Большинство клинических ситуаций Сложные случаи, дефицит места более 6 мм
Пример системы Стандартные металлические системы Damon Metal, Speed
По расположению все металлические брекеты делятся на вестибулярные (наружные) и лингвальные (внутренние). Лингвальные системы полностью скрыты за зубами, но требуют более сложной биомеханики и длительного привыкания к речи. Вестибулярные — стандарт для подавляющего большинства случаев.

Процесс установки и лечения зубов на металлических брекетах

  1. Ортодонтическая диагностика. Первый визит — не установка, а сбор данных. Ортодонт делает ТРГ (телерентгенограмму), ортопантомограмму, фотопротокол и при необходимости КТ зубных рядов. На основе анализа составляется план лечения с указанием типа системы, последовательности дуг и прогнозируемых сроков.

  2. Подготовка полости рта. Профессиональная гигиена — удаление зубного камня и налёта, при необходимости лечение кариеса и консультация пародонтолога. Брекеты фиксируют только на здоровые чистые зубы: качество адгезии замка к эмали напрямую влияет на точность передачи усилия дуги.

  3. Фиксация системы. Эмаль протравливают кислотой 15–30 секунд, наносят бондинг-агент, затем фиксируют замок светоотверждаемым адгезивом. Каждый замок устанавливается по индивидуальным координатам. Процедура занимает 60–90 минут. После фиксации в пазы устанавливается стартовая нитиноловая дуга с мягким начальным усилием.

  4. Активное лечение и коррекции. Пациент приходит на приёмы каждые 4–10 недель в зависимости от типа системы. Последовательность дуг стандартная: нитинол на выравнивании, круглая сталь на этапе коррекции, прямоугольная сталь для финишного торка.

  5. Снятие системы и ретенция. После достижения результата замки удаляют, эмаль полируют. Следующий обязательный этап — ретейнеры: несъёмный ретейнер приклеивается с внутренней стороны зубов, съёмный каппа-ретейнер используется ночью. Без ретенции зубы возвращаются в исходное положение — вне зависимости от того, какая система стояла.

Преимущества и недостатки металлических брекетов

Преимущества

Биомеханика. Металлический замок передаёт усилие дуги точнее, чем керамический или сапфировый: стальной паз не деформируется под нагрузкой, геометрия сохраняется весь срок лечения. Твёрдость стали по Виккерсу 180–220 HV обеспечивает нагрузку на скол от 220 Н — замок выдерживает жёсткий прикус и бруксизм лучше эстетических аналогов.

Металлические брекеты работают при аномалиях любой степени сложности. Там, где эстетическая система вынуждена идти на биомеханические компромиссы, металлическая решает задачу в полном объёме — при подготовке к хирургическому лечению, при значительном дефиците места в зубном ряду.

Замки не окрашиваются, не мутнеют и не меняют свойств под воздействием слюны, температуры или пищевых красителей. Срок службы стального замка превышает типичный срок ортодонтического лечения.

Недостатки

Эстетика. Металлические замки заметны — для части пациентов это принципиальный ограничитель, особенно в профессиональной среде или при активной публичной жизни.

Первичный дискомфорт выше, чем у эстетических систем: замки крупнее, адаптация слизистой занимает 1–2 недели. Ортодонтический воск помогает в этот период, но натирание полностью не убирает.

Сроки лечения на металлических брекетах

Срок лечения определяет клиническая ситуация, а не тип системы. Металлическая система не ускоряет и не замедляет перемещение зубов — она точнее управляет им в сложных случаях.

Ориентиры по срокам:

  • Скученность I степени (смещение до 3 мм) — 12–18 месяцев
  • Скученность II степени (3–6 мм) — 18–24 месяца
  • Скученность III степени (более 6 мм) — 24–36 месяцев и более
  • Диастема до 3 мм без скелетной составляющей — 8–14 месяцев
  • Дистальный или мезиальный прикус (зубоальвеолярная форма) — 20–30 месяцев

Самолигирующие системы в ряде случаев сокращают срок за счёт снижения трения, но разница редко превышает 2–4 месяца и зависит от конкретного случая. Пропуск визитов в клинику на 2 и более недели сверх назначенного срока фактически удлиняет лечение.

Уточнить конкретные сроки для вашего случая можно после ортодонтической диагностики. Записаться на консультацию к ортодонту и пройти анализ прикуса можно в ПРОПРИКУС — ортодонтической клинике в Москве.

Подберем лучшее лечение

Приглашаем на бесплатную консультацию к ортодонту

  • Поставим правильный диагноз
  • Сделаем 3D-модель будущей улыбки
  • Предложим рассрочку

Какой тип брекетов выбрать именно вам?

Не нужно гадать, достаточно записаться на бесплатную дигностику к ортодонту в нашей клинике.

  • Сделаем 3D-модель улыбки;
  • Диагностируем что не так с прикусом;
  • Предоставим варианты лечения;

Диганостика полностью беслпатная и ни к чему вас не обязывает.

Какой тип брекетов выбрать именно вам?

Совет врача

Металлические брекеты - самый доступный вариант. Они заметнее на зубах, чем керамика или сапфир, но если для вас цена важнее внешнего вида — это разумный выбор. Привыкнете за пару недель, через полгода забудете, что они есть.

Из практического - уберите твёрдое (орехи, сухари, жёсткое мясо) и липкое (карамель, ириски особенно). Меньше сломанных лигатур - меньше внеплановых визитов ко мне. И ирригатор. Ёршик чистит вокруг замочков, но под дугу он не достаёт. Ирригатор достаёт. Одно без другого работает плохо.
Записаться на бесплатную консультацию
Шевченко Алина Борисовна
Шевченко Алина Борисовна
Стоматолог - ортодонт

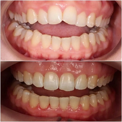
Кейс: Сужение челюстей и боль в суставе — лечение на брекетах H4

Пациентка, 30 лет. Неровные зубы на верхней челюсти, неправильный прикус. Периодически беспокоил сустав челюсти.

Диагностика: Обе челюсти сужены — зубам не хватало места, из-за чего они стояли неровно. Верхняя челюсть выступала вперёд относительно нижней с обеих сторон (II класс по Энглю).

План лечения: Металлические самолигирующие брекеты H4 на обе челюсти. Расширить зубные дуги, выровнять зубы, исправить прикус. Срок — около 2 лет.

Ход лечения: Лечение заняло 25 месяцев. Визиты к ортодонту раз в 4–6 недель для замены дуг и контроля прогресса. За счёт исправления прикуса нагрузка на сустав нормализовалась.

Результат: Зубы выровнены, прикус исправлен, жалобы на сустав прошли. Для закрепления результата установлены несъёмные ретейнеры на обе челюсти и изготовлены ночные капы. Пациентка направлена к ортопеду для финальных реставраций.

Этот кейс не является гарантией результата. Сроки и итоги лечения зависят от индивидуальных особенностей.


Хочу бесплатную консультацию

Протокол лечения на металлических брекетах в ПРОПРИКУС

Бесплатная консультация и 3D-диагностика
Врач проводит 3D-сканирование челюстей, проверяет прикус и называет предварительную стоимость лечения «под ключ». Никаких слепков и скрытых доплат.
Согласование плана лечения
На компьютере моделируем движение зубов и показываем, как будет выглядеть ваша улыбка после лечения. 
Вы утверждаете план — мы начинаем.
Консилиум специалистов
Ортодонт, ортопед, гигиенист, терапевт и хирург вместе составляют план лечения. 
Командная работа исключает ошибки.
Диагностика ВНЧС
Проверяем состояние височно-нижнечелюстного сустава и мышц. 
Это гарантирует стабильный результат без рецидивов.
Санация полости рта
Проводим профгигиену, лечим кариес, при необходимости удаляем зубы мудрости. 
Брекеты ставим только на здоровые зубы.
Подбор брекет-системы
Выбираем оптимальный вариант: классическая лигатурная или самолигирующая. Каждый случай уникален.
Установка и лечение
Фиксируем брекеты (1–1,5 часа), даём инструкции по уходу. 
Далее — визиты на активацию раз в 4–6 недель.
Окончание лечения и ретенция
Снимаем брекеты и изготавливаем индивидуальные ретейнеры, чтобы закрепить результат. 
Если нужно — бесплатно корректируем план.

Результаты лечения

Лечим прикус на металлических брекетах H4 при сужении обеих челюстей за 25 месяцев
Исправление прикуса на брекетах за 28 месяцев перед протезированием

Стоимость установки металлических брекетов

В клинике Проприкус можно поставить металлические брекеты по прозрачным ценам. Стоимость зависит от типа системы и сложности лечения.
Первичная консультация и диагностика
Бесплатно
Лечение с использованием брекет-системы Experience R (цена под ключ)
от 340 000
от 290 000 ₽
Рассрочка на 6 или 12 месяцев,
либо кредит на весь срок лечения
Лечение с использованием брекет-системы Damon Q (цена под ключ)
от 360 000
от 300 000 ₽
Рассрочка на 6 или 12 месяцев,
либо кредит на весь срок лечения
Снятие брекет-системы (установленной в сторонней клинике)
20 000 ₽

Ждем вас на консультацию

Это бесплатно, безболезненно и очень полезно!

  • Сделаем 3D-модель улыбки;
  • Диагностируем что не так с прикусом;
  • Предоставим варианты лечения;

Консультация ничего не стоит и ни к чему вас
не обязывает.

Ждем вас на консультацию

Вопросы и ответы

Можно ли делать МРТ с металлическими брекетами?
Да, металлические брекеты не являются противопоказанием для МРТ. Они изготовлены из немагнитных сплавов и не нагреваются в магнитном поле. Однако металл может создавать помехи на снимках в области головы и шеи. Перед исследованием предупредите врача рентгенолога о наличии брекетов, чтобы он скорректировал настройки аппарата.
Могут ли металлические брекеты вызвать аллергию?
Современные металлические брекеты изготавливаются из медицинской нержавеющей стали или титановых сплавов, которые крайне редко вызывают аллергические реакции. Если у вас есть аллергия на никель, обязательно сообщите об этом врачу. В таких случаях мы подберём гипоаллергенные титановые брекеты или порекомендуем керамическую систему.
Правда ли, что металлические брекеты работают быстрее керамических?
Металлические брекеты действительно позволяют создавать большее усилие на зубы, что в некоторых сложных случаях может немного ускорить лечение. Однако разница в сроках обычно составляет 1 2 месяца и зависит от конкретной клинической ситуации. Главное преимущество металла в его прочности и надёжности, а не в скорости.
Как часто нужно менять дугу в металлических брекетах?
Частота замены дуги в металлических брекетах определяется ортодонтом и зависит от этапа лечения. Обычно дугу меняют каждые 1-1,5 месяца во время регулярных посещений врача.



Что делать, если отклеился брекет?
Если отклеился брекет, необходимо как можно скорее связаться со своим ортодонтом. Не пытайтесь приклеить его самостоятельно. Ортодонт оценит ситуацию и примет необходимые меры.

Могут ли металлические брекеты вызвать аллергию?
Металлические брекеты могут вызвать аллергическую реакцию на металл, в основном на сплав никеля . В таких случаях можно рассмотреть альтернативные варианты брекет-систем, например, керамические или сапфировые.

В чем преимущества металлических брекетов?
Металлические брекеты отличаются высокой прочностью и эффективностью, особенно в сложных случаях. Кроме того, они являются одним из наиболее доступных вариантов брекет-систем.
Заметны ли металлические брекеты на зубах?
Да, они хорошо видны из-за металлического блеска, но это самый доступный и надежный вариант для выравнивания
Сложно ли чистить зубы с ними?
Чистка занимает больше времени, нужно использовать щетку, ершики и ополаскиватель, чтобы убрать налет вокруг брекетов
Как долго нужно носить металлические брекеты?
Обычно от 1 до 3 лет, в зависимости от возраста, состояния зубов и дисциплины в ношении
Можно ли заниматься спортом с металлическими брекетами?
Да, можно, они прочные, но при контактных видах спорта лучше использовать защитную капу для губ и зубов.
Больно ли ставить металлические брекеты?
Сама установка безболезненна, но первые дни после нее зубы могут ныть из-за начала движения - это нормально и проходит.

Отзывы

Наши контакты

Клиника «Арбат»
Москва, ул. Большая Молчановка, 18
Метро Арбатская
Ежедневно с 9:00 до 21:00.
Клиника «Сокольники»
Москва, ул. Русаковская, 31 вход на 3-м этаже ТЦ "Сокольники"
Метро Сокольники
Ежедневно с 9:00 до 21:00.

Акции

Элайнеры по подписке
Элайнеры по подписке
  • 3D-диагностика и план лечения бесплатно
  • Рассрочка на весь срок лечения
  • Подарили уже 11000 улыбок за 8 лет
Подробнее
Ваша карта москвича – ключ к здоровой улыбке
Ваша карта москвича – ключ к здоровой улыбке
  • Скидка до 30 000 руб. на брекеты и элайнеры.
  • Скидка до 10% на другие стоматологические услуги.

Это не первый взнос, а чистое уменьшение итоговой стоимости вашего лечения.

Лечение кариеса, профессиональная чистка, отбеливание - экономьте на всех услугах!

Просто покажите вашу карту администратору при расчете.

Подробнее
Бесплатная консультация ортодонта до конца месяца
Бесплатная консультация ортодонта до конца месяца
+ 3D сканирование в подарок
  • Точный диагноз
  • 3D-визуализация вашего будущего результата
  • Персональный план лечения
Абсолютно бесплатно! Без обязательств.
Подробнее
Приводи друзей! За рекомендацию другу до 20000 бонусов в подарок.
Приводи друзей! За рекомендацию другу до 20000 бонусов в подарок.

Приводи друзей! За рекомендацию другу до 20000 бонусов в подарок.

Другу начисление до 10000 бонусов в подарок.

Узнай подробности у менеджера.

Подробнее
Фотосессия за виниры*
Фотосессия за виниры*
Ослепительная фотосессия от #ПРОПРИКУС в подарок!
Подробнее

Другие услуги

Элайнеры Click Aligners
Элайнеры Click Aligners
Элайнеры Click Aligners нового поколения от российского производителя, разработанные ведущими ортодонтами. Протоколы лечения на элайнерах Click помогают точно спланировать перемещение зубов.
Подробнее
Установка элайнеров
Установка элайнеров
Элайнеры – это прозрачные капы из тонкого медицинского пластика мягко и точно перемещают зубы в нужное положение.
Подробнее
Элайнеры для детей
Элайнеры для детей
Элайнеры для детей - эффективный и безопасный способ создания идеальной улыбки.
Подробнее
Установка ретейнеров
Установка ретейнеров
Ретейнер — это ортодонтическая конструкция, которую устанавливают сразу после снятия брекетов.
Подробнее
Консультация ортодонта
Консультация ортодонта
Каждый пациент заинтересован, чтобы его лечил лучший ортодонт. Во время осмотра понаблюдайте, комфортно ли вам находиться рядом с врачом.
Подробнее
Установка брекетов
Установка брекетов
Брекеты позволяют избавиться от скученности, устранить межзубные промежутки и получить ровные зубы. Длительность и стоимость терапии зависят от клинической картины.
Подробнее
Брекеты для детей
Брекеты для детей
Детский брекет – это несъемная конструкция, которую врач-ортодонт ставит на зубы ребенку для их постепенного перемещения и исправление прикуса.
Подробнее
Керамические брекеты
Керамические брекеты
Керамические брекеты — современное решение в ортодонтии, сочетающее эффективность коррекции прикуса с высокой эстетикой.
Подробнее
Сапфировые брекеты
Сапфировые брекеты
Сапфировые брекеты — ортодонтическая система с замками из монокристаллического оксида алюминия. Подходят взрослым и подросткам, которым важен эстетичный вид во время лечения.
Подробнее
Безлигатурные (самолигирующие) брекеты
Безлигатурные (самолигирующие) брекеты
Безлигатурные (самолигирующие) брекеты — это системы, в которых дуга фиксируется в замке без помощи специальных лигатур. Они имеют ряд плюсов по сравнению с другими системами.
Подробнее
Брекеты Damon
Брекеты Damon
Брекеты Даймон – безлигатурные системы нового поколения, с помощью которых можно качественно выровнять зубной ряд и откорректировать прикус.
Подробнее
Брекеты Damon Q
Брекеты Damon Q
Брекет-система Damon Q — эстетичные саморегулирующие металлические брекеты, популярные, эстетичные и самые современные самолигирующие металлические брекеты от американского бренда ORMCO.
Подробнее
Брекеты Damon Clear
Брекеты Damon Clear
Ортодонтические конструкции Damon разработаны специалистами американской компании Ormco, имеющей все необходимые лицензии для обеспечения качества и безопасности лечения.
Подробнее
Консультация детского ортодонта
Консультация детского ортодонта
Выбор врача юному пациенту — важный шаг в лечении. Специалист должен выстроить с детьми доверительные отношения, создать уютную атмосферу во время приема.
Подробнее
Брекеты на нижнюю челюсть
Брекеты на нижнюю челюсть
Ортодонтическое лечение брекет-системами дает хорошие результаты в исправлении прикуса, улучшая эстетику улыбки и жевательную функцию.
Подробнее
Брекеты на верхнюю челюсть
Брекеты на верхнюю челюсть
Верхние зубы далеки от идеала – в голове почти сразу возникает мысль о брекетах.
Подробнее
Аппарат Хаас
Аппарат Хаас
Аппарат Хааса – это знаковая разработка в детской ортодонтии, получившая имя своего создателя, немецкого врача Э. Хааса, и впоследствии усовершенствованная итальянским специалистом Марко Росса
Подробнее
Трейнеры
Трейнеры
Трейнеры — мягкая альтернатива брекетам, особенно популярная в детской ортодонтии.
Подробнее

Полезная информация

Капы и глубокий прикус
Капы и глубокий прикус
Исправить глубокий прикус у взрослых можно брекетами или элайнерами (прозрачными капами) — в большинстве случаев без хирургии. Метод подбирается индивидуально после диагностики: ключевой критерий — глубина перекрытия и наличие скелетной аномалии.
Виды прикуса
Виды прикуса
Прикус бывает правильный и неправильный. И отличия не столько в эстетике, сколько в функциональности зубочелюстной системы. Если она нарушена, значит, речь идет о патологических видах прикуса, при которых ортодонтическое лечение – необходимость.
Стерильность в клинике ПРОПРИКУС
Стерильность в клинике ПРОПРИКУС
Безопасность пациента – наш приоритет. Поэтому соблюдению стерильности в нашей клинике уделяется максимум внимания.
Страхи или реальность?
Страхи или реальность?
Кто же в детстве не боялся бормашины! Шумно, больно, непонятно… И несмотря на то, что современная стоматологическая аппаратура выглядит не такой пугающей, страх лечить зубы до сих пор существует. Причем одолевает он не только детей, но и многих взрослых. Как с ним справляться? Да и надо ли?
Атрофия костной ткани после потери зуба
Атрофия костной ткани после потери зуба
После удаления зуба костная ткань челюсти начинает резорбироваться: за первые 3 месяца теряется до 60% ширины альвеолярного гребня. Разбираем, почему это происходит, какие виды атрофии бывают (горизонтальная, вертикальная, комбинированная), как классифицируется степень потери, через какое время уже поздно ставить имплант без костной пластики, что такое пневматизация гайморовой пазухи и как сохранить кость с помощью методики Socket Preservation.
Что можно и нельзя есть после имплантации зубов
Что можно и нельзя есть после имплантации зубов
Питание после имплантации напрямую влияет на приживление импланта. Разбираем, что можно есть в первый день и в первые две недели, какая температура пищи безопасна, когда вернуться к обычной диете, можно ли пить алкоголь и курить, как правильно использовать ирригатор. Подробное меню по дням, список запрещенных продуктов, правила жевания и питья.
Сколько служит зубной имплант?
Сколько служит зубной имплант?
Современный зубной имплант служит 20–25 лет, а у 70–80% пациентов — пожизненно. Разбираем, что реально покрывает «пожизненная гарантия» производителя и чем она отличается от гарантии клиники, через сколько лет придется менять коронку и абатмент, какие документы должны быть у каждого импланта, как влияют курение и системные заболевания на долговечность, и что делать, чтобы имплант служил максимально долго.
Восстановление после имплантации зуба
Восстановление после имплантации зуба
Восстановление после имплантации зуба занимает от 14 дней (заживление десны) до 6 месяцев (полная остеоинтеграция). Разбираем, что нормально на каждом этапе, как контролировать отек и боль, когда снимают швы, что есть и пить в первые дни, и какие симптомы — повод срочно обратиться к врачу.
Больно ли ставить зубной имплант?
Больно ли ставить зубной имплант?
Имплантация зубов проходит под анестезией и не вызывает боли во время операции. Разбираем, что реально чувствует пациент во время установки импланта, какая анестезия применяется, кому нужна седация или общий наркоз, насколько сильно болит после и сколько длится дискомфорт.
Имплантация зубов при сахарном диабете
Имплантация зубов при сахарном диабете
Сахарный диабет — не противопоказание к имплантации, но требует особого подхода. Разбираем, при каких показателях HbA1c операция безопасна, в чем разница между компенсированным и декомпенсированным диабетом для имплантолога, какие импланты дают лучший результат у диабетиков, зачем нужна консультация эндокринолога и какова реальная статистика приживления через 10 лет. Статья поможет понять алгоритм действий и подготовиться к операции грамотно.
20
1530
/uslugi/ortodontiya/metallicheskie-brekety/
50
2000
comment@vnikuda.ru
/bitrix/components/ktoto/comments

Оставить комментарий


Юлия
06 июля 2025
Добрый вечер. Хотела уточнить. Удалять зубы нужно всегда перед установкой металлических брекетов? Очень боюсь удаления.
Стоматология "ПРОПРИКУС"
09 июля 2025
Здравствуйте, Юлия  Удаление зубов перед установкой брекетов требуется не всегда. Решение об удалении принимается ортодонтом после диагностики.
Ксения
20 июля 2025
здравствуйте. Подскажите, нужно носить ретейнеры после снятия металлических брекетов и как долго?
Стоматология "ПРОПРИКУС"
01 августа 2025
Добрый день, Ксения. После снятия металлических брекетов начинается ретенционный период, который необходим для закрепления достигнутого результата. Для этого используются ретейнеры – системы, которые удерживают зубы в новом положении.
Игорь Калашников
01 августа 2025
Здравствуйте. Хочу исправить прикус, но финансово ограничен. Насколько металлические брекеты доступнее по цене, чем другие виды?
Стоматология "ПРОПРИКУС"
02 августа 2025
Доброе утро. Металлические брекеты являются самым экономным вариант исправления прикуса. Они значительно доступнее по цене, чем керамические, сапфировые или лингвальные брекеты. Это связано с более простой технологией изготовления и использованием менее дорогих материалов.
Ольга
02 января 2026
Добрый вечер! Мне 35 лет, всю жизнь комплексовала из-за кривых зубов, но боялась, что во взрослом возрасте брекеты уже не помогут. Недавно узнала, что это миф. Подскажите, есть ли какие-то особенности лечения взрослых? И правда ли, что результат будет таким же хорошим, как у подростков?
Стоматология "ПРОПРИКУС"
08 января 2026
Добрый вечер, Ольга! Вы правы — возраст не помеха для ортодонтического лечения. У нас успешно проходят коррекцию пациенты и в 40, и в 50 лет. Результат будет таким же качественным, как у подростков, просто процесс может занять чуть больше времени — у взрослых костная ткань плотнее, и зубы перемещаются медленнее. Ещё одна особенность: перед установкой брекетов важно вылечить кариес и убедиться, что дёсны здоровы. В остальном лечение проходит стандартно. Металлические брекеты отлично подходят взрослым — они надёжны и справляются даже со сложными случаями. Ждём вас на бесплатной консультации!
Сергей
04 января 2026
Интересует разница между лигатурными и самолигирующими брекетами. Ортодонт в другой клинике советует Damon, но они дороже. Стоит ли переплачивать или обычные лигатурные справятся не хуже?
Стоматология "ПРОПРИКУС"
07 января 2026
Здравствуйте, Сергей! Оба типа брекетов эффективны и дают отличный результат. Разница в нюансах. Самолигирующие системы (Damon, Experience) имеют встроенный замок, который удерживает дугу без резинок. Преимущества: более мягкое давление на зубы, меньше дискомфорта при активации, визиты к ортодонту реже (раз в 6-8 недель вместо 4), проще гигиена. Лигатурные брекеты дешевле и позволяют врачу точнее контролировать силу воздействия на каждый зуб, что важно в сложных случаях. Выбор зависит от клинической ситуации, вашего образа жизни и бюджета. На консультации поможем определиться.
Анна
10 января 2026
Добрый день! Мне 28 лет, хочу исправить прикус, но смущает, что металлические брекеты очень заметны. С другой стороны, слышала, что они самые эффективные. Правда ли, что лечение на них проходит быстрее, чем на керамических или сапфировых?
Стоматология "ПРОПРИКУС"
16 января 2026
Здравствуйте, Анна! Да, металлические брекеты действительно считаются самыми эффективными — они прочнее, позволяют точнее контролировать движение зубов и лучше справляются со сложными случаями. Лечение на них может быть на 2-4 месяца короче по сравнению с керамическими или сапфировыми системами. Что касается заметности — современные металлические брекеты стали гораздо компактнее, чем 10-15 лет назад. А многие пациенты сейчас воспринимают их как модный аксессуар. Приходите на консультацию — подберём оптимальный вариант под ваш случай и пожелания.
Дмитрий
12 января 2026
Здравствуйте. У меня аллергия на некоторые металлы — бижутерию не могу носить вообще. Можно ли мне ставить металлические брекеты или лучше сразу рассматривать другие варианты?
Стоматология "ПРОПРИКУС"
21 января 2026
Здравствуйте, Дмитрий! Это важный вопрос. Аллергия на бижутерию чаще всего связана с никелем, который входит в состав некоторых сплавов. Современные металлические брекеты изготавливаются из медицинской стали с минимальным содержанием никеля или из гипоаллергенных титановых сплавов. Однако если у вас выраженная реакция, лучше перестраховаться. Мы можем провести тест на совместимость или предложить альтернативу — керамические, сапфировые брекеты или элайнеры. На консультации обсудим вашу ситуацию и подберём безопасный вариант.
Екатерина
13 января 2026
Ношу металлические брекеты уже 4 месяца. Замучилась с чисткой — еда постоянно застревает, обычная щётка не справляется. Какие средства посоветуете? И нормально ли, что чистка занимает минут 15?
Стоматология "ПРОПРИКУС"
20 января 2026
Здравствуйте, Екатерина! 15 минут на чистку — это абсолютно нормально для пациентов с брекетами, вы всё делаете правильно. Для качественной гигиены рекомендуем использовать: ортодонтическую щётку (с V-образным вырезом), монопучковую щётку для труднодоступных мест, ёршики разных размеров для пространства между дугой и зубами, ирригатор для вымывания остатков пищи, ополаскиватель с фтором. Также советуем раз в 3-4 месяца делать профессиональную гигиену в клинике — мы аккуратно очистим зоны вокруг брекетов, куда сложно добраться самостоятельно.
Оставьте заявку на запись на бесплатную консультацию ортодонта
В консультацию входит 3D-диагностика, визуализация вашей новой улыбки, индивидуальный план лечения, расчёт стоимости «под ключ».
Нажимая на кнопку «Бесплатная консультация», вы даёте согласие на обработку персональных данных.
Оставьте заявку на запись на бесплатную консультацию ортодонта