Киста зуба

Киста зуба – воспалительное новообразование. Небольшая гранула появляется при инфекции или травмировании.
12650
Время на прочтение: 5 мин.

Киста зуба – воспалительное новообразование. Небольшая гранула появляется при инфекции или травмировании. Сначала не представляет опасности. Капсула может достигать в диаметре нескольких сантиметров. Часто внутри содержится гной или жидкость. Киста возникает, когда организм пытается защититься от патологии. Он изолирует мертвые ткани от здоровых. Вокруг появляется оболочка. За ней важно следить. В этом поможет опытный стоматолог.

Причины появления кисты зуба

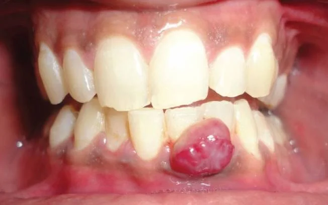
С кистой люди живут годами. Не подозревают о наличии патологии. При выявлении паниковать не стоит. Но и лечение откладывать не нужно. Причин развития образований много.

киста зуба - изображение 1

Кисты появляются в результате:

  • развития инфекций в канале корня;
  • хронических болезнях полости рта;
  • воспалительных процессов тканей;
  • снижения иммунитета;
  • травм;
  • появления кариеса;
  • установки пломбы плохого качества;
  • осложнений при прорезывании зубов мудрости.

Важно вовремя лечить патологическое заболевание. Рекомендуется укреплять иммунитет. Избежать проблему поможет качественное оказание услуг. В достойной стоматологии используют надежные материалы. Пломбы хорошего качества сохраняют здоровье зубов. Быстрое устранение воспалений помогает снизить вероятность развития кист.

Симптомы кисты зуба

киста зуба - изображение 2

Часто пациенты не подозревают о появлении кисты. Симптомы практически отсутствуют. При развитии кисты эмаль может изменить оттенок. Стать более темной. Иногда зуб незначительно смещается. При пережевывании твердых продуктов ощущается дискомфорт. Сначала подобным ощущениям не придают значения. Замечать патологию пациенты начинают, когда боль становится более выраженная. Со временем гранула увеличивается. В этот момент появляются заметные признаки.

Образование проявляется следующими симптомами:

  • в зоне воспаления беспокоит ноющая боль;
  • лимфатические узлы увеличиваются;
  • появляется отечность, которая может затрагивать лицо;
  • повышается температура;
  • ощущается недомогание;
  • при появлении кисты в гайморовой пазухе пациентов мучают головные боли.

Такие симптомы негативно сказываются на качестве жизни. Но некоторые люди продолжают игнорировать патологию. Решать проблему нужно срочно. Иначе могут возникнуть тяжелые осложнения. Обратитесь к доктору сразу, как только заметили хотя бы один признак заболевания.

Чем отличается киста от гранулемы

Гранулема – не менее опасное заболевание. С ним часто путают кисту. При патологии на области корня появляются округлые образования. Заболевания следует различать. Каждое из них лечится иначе. Гранулема поддается терапевтическому лечению. Она менее опасна. Для устранения кисты с гнойным содержимым требуются более радикальные решения.

гранулема зуба фото

Отличия очевидны:

Параметры

Гранулема

Киста

Размеры

От 0,5 до 0,8 см

От 0,9 до 3 см

Особенности строения

Образование сплошное. Гранулема покрыта особой соединительной тканью.

Образование, заполненное гноем или жидкостью.

Подвижность

Не замечена.

Подвижность зуба увеличивается.

Рентген

Образование не имеет четких контуров.

Заметна капсула круглой формы. Границы четкие.

Ближайшие ткани

Наблюдается отечность. На слизистой появляются покраснения. Костные ткани не убывают.

Слизистая не воспаляется. Наблюдается уменьшение костной ткани.

Разновидности зубных кист

киста передних зубов фото

Имеются кисты разных типов. Они отличаются по участку локализации. Наносят разный вред. Имеют различные причины развития. Но все требуют оперативного лечения. Устранение патологии поможет сохранить здоровье зубов, организма в целом.

По месту распространения выделяют следующие виды:

  • На корне. Симптомы долго не проявляются. После формируется капсула с гноем. Появляется неприятная боль. Дискомфорт слишком явный.
  • В гайморовой пазухе. Диагностируется специальным оборудованием. В запущенной стадии развивается сильный гайморит. Тянуть с лечением нельзя.
  • На десне. Образуется свищ. Позже начинается выделение гноя. Пациенты могут ощущать покалывание. Терпеть боль не стоит.
  • Под коронкой. Чаще появляется после лечения зубной единицы. Врачебная ошибка – главная причина. В щели могут скапливаться остатки пищи. Бактерии размножаются. При лечении коронка удаляется.
  • Образование около зуба мудрости. «Восьмерки» часто воспаляются. Нередко прорезывание становится сложным. Проблема решается путем удаления проблемной зубной единицы.
  • Новообразование переднего зуба. Часто выходит наружу в области десны. Пространства на верхней и нижней челюсти впереди мало.
рентген кисты зуба фото

Типы кисты различаются по причинам образования:

  • Радикулярная. Наиболее распространенный вид. Появляется на верхушке корня зуба. Развивается из гранулемы. Является следствием некроза пульпы. Образуется при воспалении корневой верхушки. 
  • Резидуальная. Появляется, когда верхушка корня удалена не полностью. Может возникнуть, если в зоне утерянной зубной единицы развилась гранулема. 
  • Кератокиста. Часто встречается в зоне третьего маляра на нижней челюсти. При развитии вероятность рецидива слишком высока.
  • Фолликулярная. Появляется, когда зуб растет в мягких тканях. Формируется внутри десны вокруг зубной единицы. Может нанести обширные повреждения.
  • Ретенционная. Образование появляется при смене молочных зубов постоянными. Признаком служит отек. Внутри него содержится кровь. Выглядит синюшно. Чаще возникает при медленном прорезывании.
  • Одонтогенная кальцинирующая. Часто появляется на нижней челюсти.
  • Периодонтальная боковая. Небольшие новообразования, которые расположены сбоку поверхности корня.

Как лечат кусту зуба?

Воспалительное образование формируется крайне медленно. Сначала симптомы не выражены. Поэтому пациенты приходят в клинику на более поздних стадиях. Болевые ощущения, недомогания не позволяют вести привычный образ жизни. Именно поэтому многие приходят к стоматологу. Раньше пораженную зубную единицу удаляли. Новые технологичные способы позволяют сохранять зубы. Лечение выполняется с помощью терапии. В стоматологии могут использоваться хирургические методы. План лечения зависит от разновидности, степени развития образования.

киста зуба лечение фото

При терапевтическом подходе киста вычищается из каналов. Работа выполняется крайне внимательно. После врач обрабатывает, пломбирует каналы. Хирургическое лечение предполагает устранение поврежденного участка. Часть корня удаляется. Зубная единица сохраняется. Новообразование извлекают. Освободившееся место заполняют особым материалом. При сложных случаях возможно удаление зуба.

Какие могут быть осложнения, если не лечить

Сначала киста защищает организм. Но потом заполненное гноем новообразование может нанести пагубный ущерб. Возможны возникновения осложнений. Могут развиться опасные заболевания. Не хотите рисковать здоровьем? Тщательно следите за состоянием зубов.

киста зубов у ребенка фото

Периодонтит

При запущенном состоянии развивается периодонтит. Воспаление распространяется на кость. Могут возникать сильные боли. Терпеть такую болезненность сложно. При острых патологиях дискомфорт слишком выраженный. Требуется оперативно устранять проблему. Иначе осложнение усугубится.

Выпадение

Если лечение образования отложить, можно потерять зубную единицу. После могут затрагиваться соседние зубы. Важно следовать рекомендациям стоматолога. Не откладывать лечение. Так вы предотвратите выпадение.

Флюс

Гнойное воспаление тканей – серьезное осложнение. Сопровождается резкими болевыми ощущениями. Флюс необходимо срочно лечить.

При отсутствии лечения может наступить гнойный абсцесс. Могут воспаляться лимфоузлы. Развивается остеомиелит. Возможен сепсис. Лечение следует проводить сразу. Обнаружена челюстная киста? Приемлемые цены позволяют избавиться от патологии сразу. Доброкачественное образование важно наблюдать. В Москве вылечить кисту вы можете в клинике ПРОПРИКУС.

Заявка на бесплатную консультацию
В консультацию входит 3D-сканирование, визуализация вашей новой улыбки, индивидуальный план лечения, расчёт стоимости «под ключ»
Нажимая на кнопку «Бесплатная консультация», вы даёте согласие на обработку персональных данных.
Заявка на бесплатную консультацию

Запишитесь на бесплатное 3D моделирование будущей улыбки!

+ рассрочка 0% на лечение
Запишитесь на бесплатное 3D моделирование будущей улыбки!

Почему выбирают ПРОПРИКУС

11000+ пациентов

Исправляют у нас прикус и лечат зубы в целом

835 пациентов

Пришли из других клиник, потому что там не решили их проблему

более 45% новых пациентов

Приходят к нам по рекомендации тех, кто уже лечится

100% гарантия

На все виды лечения и рассрочка на все услуги

Подходящие услуги

Установка элайнеров
Установка элайнеров
Элайнеры – это прозрачные капы из тонкого медицинского пластика мягко и точно перемещают зубы в нужное положение.
Узнать подробнее
Консультация ортодонта
Консультация ортодонта
Каждый пациент заинтересован, чтобы его лечил лучший ортодонт. Во время осмотра понаблюдайте, комфортно ли вам находиться рядом с врачом.
Узнать подробнее
Установка брекетов
Установка брекетов
Брекеты позволяют избавиться от скученности, устранить межзубные промежутки и получить ровные зубы. Длительность и стоимость терапии зависят от клинической картины.
Узнать подробнее
Лечение кариеса
Лечение кариеса
Кариес – поражение твердых тканей зубной единицы. Возникает при воздействии бактерий в полости рта. Сначала начинается деминерализация эмали.
Узнать подробнее
Лечение периодонтита
Лечение периодонтита
Периодонтит - сильное воспаление окружающих тканей зубной единицы. В голове человека расположено множество нервных волокон и кровеносных сосудов.
Узнать подробнее
20
637
/blog/lechenie/kista-zuba/
50
2000
comment@vnikuda.ru
/bitrix/components/ktoto/comments

Оставить комментарий


Оставьте заявку на запись на бесплатную консультацию ортодонта
В консультацию входит 3D-диагностика, визуализация вашей новой улыбки, индивидуальный план лечения, расчёт стоимости «под ключ».
Нажимая на кнопку «Бесплатная консультация», вы даёте согласие на обработку персональных данных.
Оставьте заявку на запись на бесплатную консультацию ортодонта