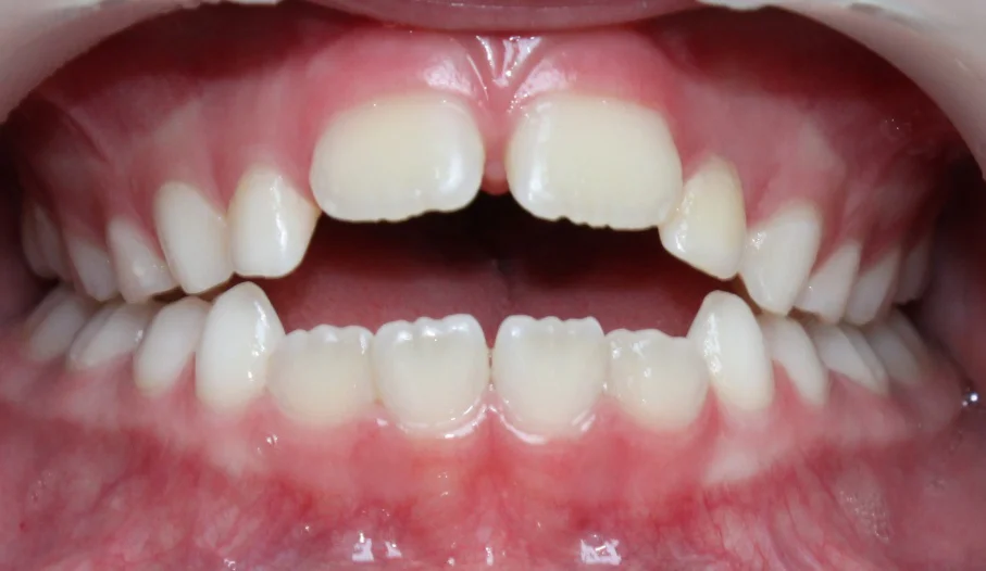
Одной из распространенных ортодонтических проблем является открытый прикус. При этой разновидности неправильной окклюзии верхний и нижний зубной ряд не смыкаются друг с другом. При смыкании между челюстями образуется щель, которая мешает нормально сомкнуть губы и даже пережевывать пищу. Чаще всего диагностируют открытый прикус у детей в возрасте до 12 месяцев. Независимо от причины развития патологии ее необходимо исправлять. Открытый прикус доставляет человеку гораздо больше проблем, чем другие патологии, связанные с окклюзией.
Стоматологическая клиника ПРОПРИКУС оказывает услуги по коррекции открытого прикуса. Процедуру выполняет врач-ортодонт. В нашей клинике используют инновационные методики коррекции. Мы помогаем избавиться от проблем с прикусом, даже в самых сложных ситуациях. При составлении лечебного плана учитывается возраст пациента, степень патологии, состояние зубов.
Причины возникновения дизокклюзии
Причины делятся на врожденные и приобретенные. Сложности во время беременности и генетические особенности - распространенная причина дизокклюзии. Это провоцирует нарушение положения зачатков зубов. После рождения ребенка можно выделить такие факторы, способствующие дизокклюзии:
- нехватка витаминов, минералов и других питательных веществ, что привело к рахиту и нарушениям организма;
- длительная заложенность носа из-за воспаленных аденоидов, полипов, ринита, искривления носовой перегородки;
- вредные привычки ребенка - сосание пальца, губ, игрушек, высовывание языка между зубами, кусание ногтей.
Причиной являются и разнообразные стоматологические проблемы, например, позднее прорезывание зубов или их ранняя утрата. Немаловажную роль в формировании неправильной окклюзии играют и врожденные аномалии. Лечение открытого прикуса у детей эффективнее всего до 5 лет, когда костная ткань активно формируется. В 6-7 лет можно использовать съемные системы для коррекции, подросткам лечение проводят после появления всех коренных зубов.

Виды открытой окклюзии
В зависимости от причин аномалии различают ложную и истинную дизокклюзию. В первом случае прикус нарушается из-за вредных привычек и развивается в скрытой форме. Отличием ложной окклюзии является то, что она хорошо поддается ортодонтическому лечению. Истинная развивается по причине необратимых изменений костей челюсти.
С учетом расположения зубной щели прикус бывает:
- передний - затрагивает 4-8 фронтальных зубов;
- боковой - касается минимум 2 боковых зубов.
Боковой открытый прикус появляется независимо от стороны челюсти. Это может быть одна сторона или сразу две. Высота вертикальной щели определяет степень выраженности аномалии. Выделяют 3 степени патологии, отличающиеся размерами щели и количеством зубов, между которыми отсутствует контакт.
Диагностика и меры профилактики открытого прикуса
В центре ПРОПРИКУС диагностикой ортодонтических аномалий занимается стоматолог-ортодонт. Диагноз устанавливают только после клинического и инструментального обследования. На консультативном приеме специалист проводит визуальную оценку ротовой полости, анализирует наличие лицевых и ротовых признаков дизокклюзии, определяет расстояние между резцами. При наличии у пациента нарушений носового дыхания необходима консультация отоларинголога.

Чтобы избежать формирования неправильной окклюзии у детей нужно наблюдать за развитием зубов, а также:
- исключить вредные привычки - сосание пальца и других предметов;
- не допускать развития хронических заболеваний, мешающих носовому дыханию;
- следить за качеством питания;
- регулярно посещать стоматолога для профилактики;
- включайте твердую пищу в рацион ребенка;
- проводить санацию ротовой полости по рекомендации стоматолога.
Будущим мамам рекомендуется принимать витамины и минеральные комплексы для профилактики развития патологий беременности. Также исключить анемию, рахит и полноценно питаться. В послеродовом периоде рекомендуется следить за появлением и ростом зубов у малыша. Преждевременная потеря молочных зубов - прямое показание к протезированию.
Возможно ли исправить открытый прикус у взрослых?
Клиника ПРОПРИКУС проводит коррекцию дизокклюзии как детям, так и взрослым. Мы не используем травмирующие методы - удаление зубов, установление съемных протезов, удлинение зубов и т.д. Современные методики исправления прикуса предусматривают более щадящее лечение. Мы знаем, как исправить открытый прикус у взрослого безболезненно и эффективно.
Методы лечения:
- установка пластины - не эффективны для исправления серьезных дефектов;
- трейнеры - устанавливаются на срок 12 месяцев, при носке нельзя разговаривать и жевать;
- брекеты - помогают в лечении даже сложных патологий, но конструкция вызывает сильный дискомфорт и требует тщательного ухода;
- элайнеры - наиболее передовой метод, не вызывающий дискомфортных ощущений.

Если терапевтическое лечение не принесло результата, то пациенту показаны хирургические методы коррекции. К ним прибегают в случае сложной аномалии челюсти, сильной асимметрии лица, если пациент получил травму челюсти. Наши специалисты подберут методику лечения, подходящую именно для вашего случая. План коррекции составляется только после детальной диагностики. Невылеченная патология приводит к нарушению речи, негативно влияет на вентиляцию легких.
Узнайте стоимость лечения элайнерами за 30 секунд!
Как исправить открытый прикус
Для предотвращения деформации зубного ряда, их разрушения из-за механического давления друг на друга, появления кариеса и нарушений дикции рекомендуется исправлять прикус уже с раннего детства. Многие пациенты испытывают страх из-за дискомфорта при ношении брекет-систем. Эти конструкции неудобны и нуждаются в регулярной коррекции. Не многие знают о безболезненной альтернативе брекетов - элайнерах.
По сути, это лечебная капа, использующаяся для коррекционно-фиксирующего эффекта. Изготавливают их из мягких полимеров, которые безопасны для человека. Элайнеры способствуют смещению зубов в нужном направлении. Пациенту рекомендуется носить конструкцию до 20 часов в день, снимая только для проведения гигиенических процедур и во время еды. Изделие легко надевается и снимается. Еще одно преимущество элайнеров перед брекетами - они полностью прозрачны и незаметны для окружающих. Средний срок коррекции 3-6 месяцев, для исправления сложных нарушений понадобится до года. При длительном лечении каждые 2-3 месяца элайнеры заменяют новым комплектом.
Лечение открытого прикуса в Москве
Специалисты нашего центра уже много лет успешно лечат открытый передний прикус, а также другие формы дизокклюзии. Для этого мы используем высококачественные элайнеры. Изготовленные точно по форме челюсти пациента капы не вызывают дискомфорт как с косметической стороны, так и с практической. Конструкция оказывает небольшое давление, обеспечивая плавное перемещение зубного ряда. Процесс исправления контролирует врач-ортодонт.