70 кап без единого дозаказа — сложный случай на элайнерах Spark за 3,5 года

70 кап без единого дозаказа — сложный случай на элайнерах Spark за 3,5 года

У меня похожий случай
Итоги по кейсу
Пол
Женский
Возраст
28 лет
Жалоба
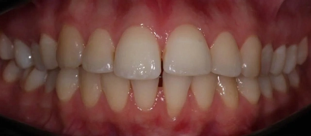
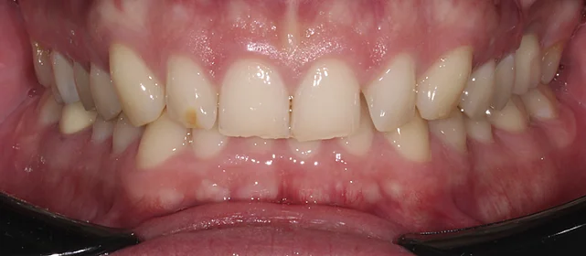
Неправильное положение зубов, неправильное смыкание.
Диагностика
Нарушение соотношения челюстей и неправильное положение зубов — зубные ряды смыкались некорректно, зубы стояли со смещением.
План лечения
Прозрачные элайнеры Spark на обе челюсти. Выровнять зубы и нормализовать смыкание. Основной набор — 70 кап. Срок — около 2 лет.
Ход лечения
Лечение заняло 3,5 года (апрель 2022 — сентябрь 2025). При основном наборе в 70 кап дозаказов не потребовалось — но сам срок ношения оказался длительным.
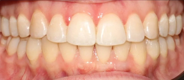
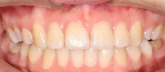
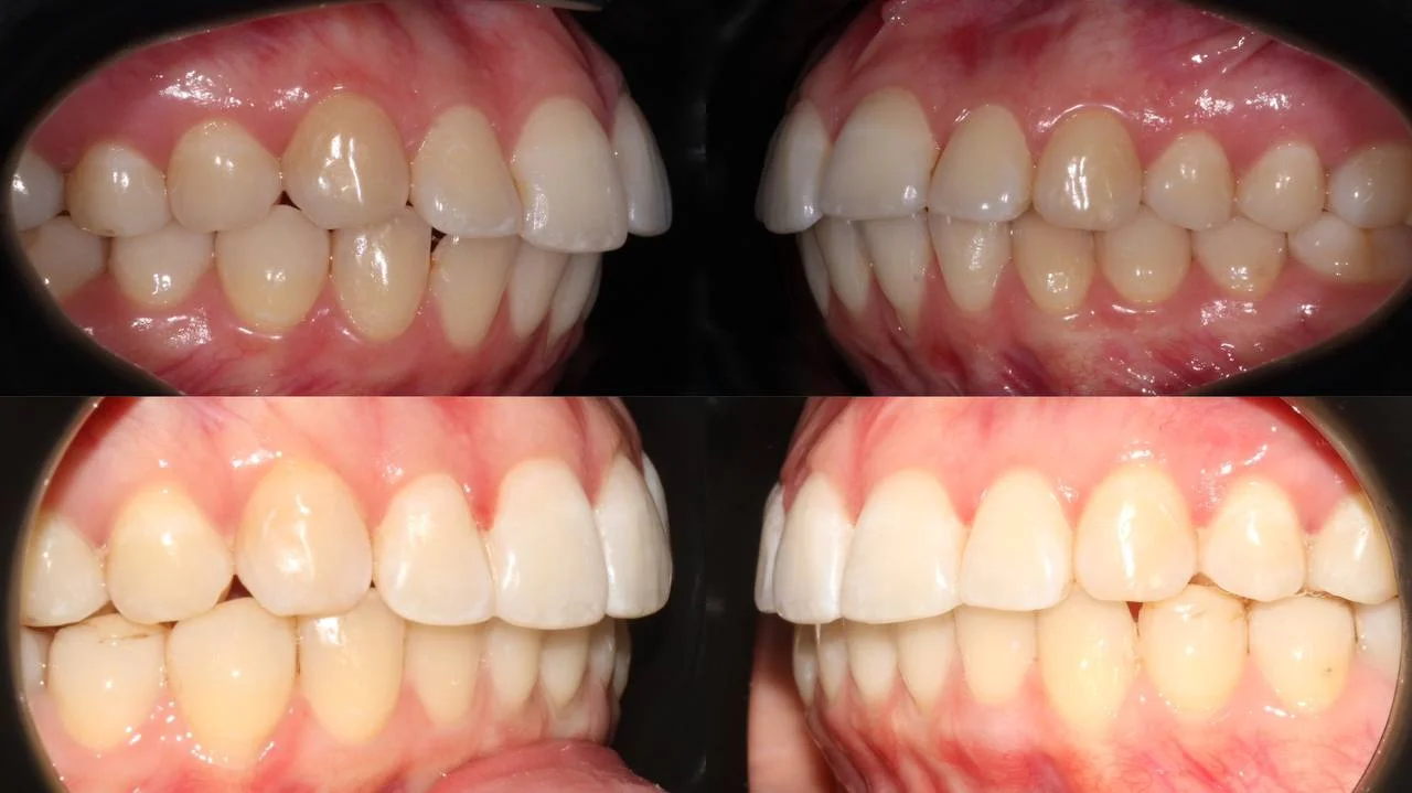
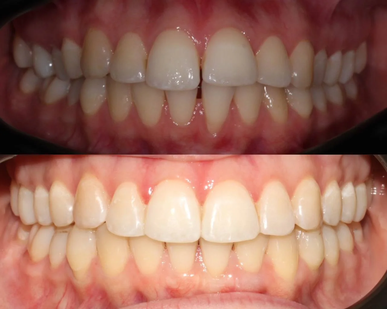
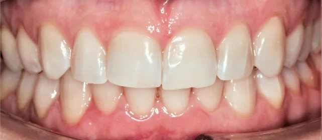
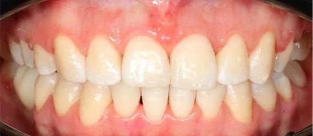
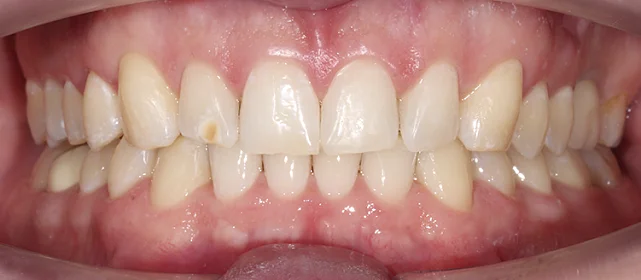
Результат
Зубы выровнены, смыкание нормализовано. Установлены несъёмные ретейнеры на обе челюсти. Ретенционные капы будут изготовлены после ортопедического этапа.

Дата публикации: 09.04.26

Фотографии опубликованы с согласия пациента

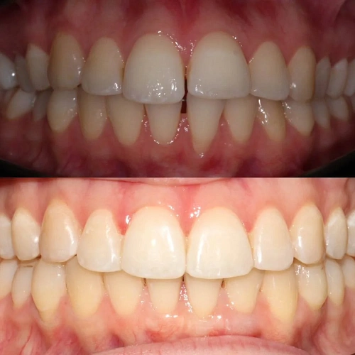
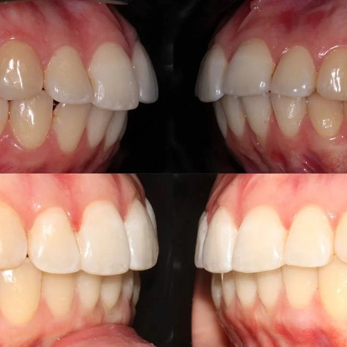
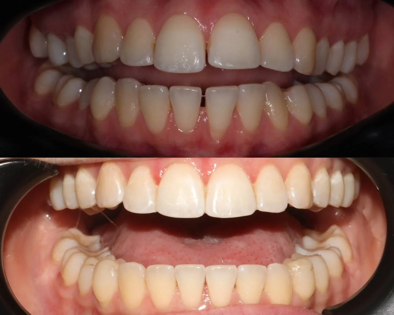
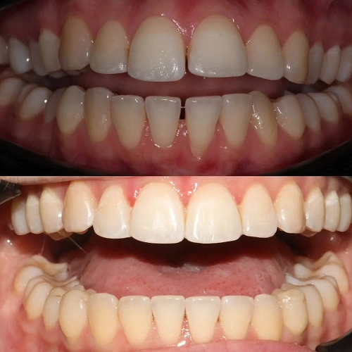
Проблема: Пациентку не устраивало положение зубов и смыкание челюстей. Зубные ряды сходились неправильно, зубы стояли со смещением. Случай оказался объёмным — для коррекции потребовалось серьёзное перемещение зубов.
Решение: Поставили прозрачные элайнеры Spark на обе челюсти. Основной набор — 70 кап, и этого хватило полностью: ни одного дозаказа. 70 кап при смене каждые две недели — это само по себе около 2,5 лет чистого ношения, а с учётом перерывов и корректировок лечение заняло 3,5 года. Долго, но объём работы того требовал. Зато результат получен с первого набора — зубы на месте, смыкание в норме. Ретейнеры зафиксированы на обе челюсти.
Арутюнова Екатерина Ашотовна
Зав. отделением ортодонтии на Арбате
Стаж более 8 лет
★★★★★ 5.0
Хочу консультацию
Отзыв пациента
Когда мне сказали «70 кап» — я честно испугалась. Это много. Но врач объяснила, что случай сложный и укоротить путь не получится, зато дозаказов скорее всего не будет. Так и вышло — ни одного. Три с половиной года — долго, не буду врать. Но капы прозрачные, к ним привыкаешь, и жизнь продолжается. Результат того стоит.
Комментарий врача
Большой набор — 70 кап — говорит о значительном объёме перемещений. Но планирование оказалось точным: дозаказов не потребовалось, весь путь от начала до финиша прошли на одном наборе. Срок лечения 3,5 года объясняется именно количеством кап, а не проблемами по ходу. Для таких случаев это нормальная продолжительность.
Арутюнова Екатерина Ашотовна
Зав. отделением ортодонтии на Арбате
Оставьте заявку на запись на бесплатную консультацию ортодонта
В консультацию входит 3D-диагностика, визуализация вашей новой улыбки, индивидуальный план лечения, расчёт стоимости «под ключ».
Нажимая на кнопку «Бесплатная консультация», вы даёте согласие на обработку персональных данных.
Оставьте заявку на запись на бесплатную консультацию ортодонта