Куканова Алена Витальевна
Куканова Алена Витальевна

Куканова Алена Витальевна

★★★★★
4.9
Ортодонт
Я всегда интересовалась медициной и здоровьем, но особенное увлечение у меня появилось к стоматологии. После окончания школы я поступила в стоматологический университет, где постепенно углубила свои знания о стоматологии. На 3 курсе я поняла, что хочу специализироваться на ортодонтии, потому что это дает возможность сочетать медицинские знания и искусство создания улыбок. Теперь, работая ортодонтом, я могу помогать людям не только улучшать их улыбки, но и чувствовать себя более уверенно. Увидеть, как пациенты радуются своим изменениям, — это самое большое удовлетворение в моей работе.
211
Вылечено пациентов
5
Стаж врача

На приеме за 45 минут вы получите:

Диагностику и оценку вашей текущей ситуации
Консультацию с ведущим врачом
3D-сканирование полости рта
Демонстрацию вашей улыбки после лечения
Фотопротокол для определения влияния прикуса на ваше тело
Подбор вида лечения в зависимости от ваших пожеланий и клинической ситуации

Биография врача

Профессиональный рост

В 2020 году закончила Московский государственный медико-стоматологический университет им. А.И.Евдокимова - стоматология В 2022 году закончила ординатуру в Московском государственном медико-стоматологическом университете им. А.И.Евдокимова - специализация «Ортодонтия» Активно прохожу обучения для совершенствования профессиональных навыков


2024 "С элайнерами на Ты" 2022 Сертификация «Флексы как прогрессивный метод лечения в современной ортодонтии» Flexiligner 2022 Современное ортодонтическое лечение самых маленьких пациентов. Аппарат Motion 3D-эффективность, предсказуемость и уникальность Aestelior 2021 XXI съезд ортодонтов России Профессиональное общество ортодонтов 2021 Современные методы диагностики и лечения зубочелюстных аномалий Профессиональное общество ортодонтов 2021 Секреты успеха при работе на элайнерах Еврокаппа 2021 Вебинар Waddah Sabouni «Детские эйлайнеры» Еврокаппа 2021 Вебинар Federico Brugnami “Кортикотомия. Осуществи неосуществимое быстро» Еврокаппа 2021 Вебинар Dr. Martin Pedernera “Открытый прикус - скрытые проблемы» Еврокаппа 2021 Вебинар Marcia Almeida “Биомеханические аспекты лечения аномалий окклюзии 3 класса на элайнерах» Еврокаппа 2021 Секреты успеха при работе на элайнерах Еврокаппа 2021 Вебинар Waddah Sabouni «Детские эйлайнеры» Еврокаппа

Достижения
  • Веду взрослый ортодонтический прием на любых видах ортодонтической аппаратуры: брекет-системы и элайнеры(российского и американского производства)
  • Активно использую минивинты в процессе лечения
  • Подготавливаю ортодонтических пациентов к челюстно-лицевым операциям
  • Веду детский ортодонтический прием на съёмной и несъёмной аппаратуре.


Я не только лечу, но и поддерживаю. В моей практике важно не просто исправить прикус, но и внутреннее состояние человека. Выравнивая зубы — раскрываю улыбку, в которой просыпается уверенность. Я всегда на связи, чтобы вы могли задавать вопросы, чувствовать себя комфортно и уверенно в том, что мы движемся в правильном направлении. Мой подход — это команда, в которой вы — главный игрок. Я всегда готов выслушать, объяснить все, что вас беспокоит, и вместе мы найдем решение, которое будет работать именно для вас.

Какие проблемы прикуса я лечу?

Скученность зубов
Скученность зубов
Выпирающий ряд зубов
Выпирающий ряд зубов
«Съехавший» ряд зубов
«Съехавший» ряд зубов
«Хищные» клыки
«Хищные» клыки
Глубокий прикус
Глубокий прикус
Нет смыкания
Нет смыкания

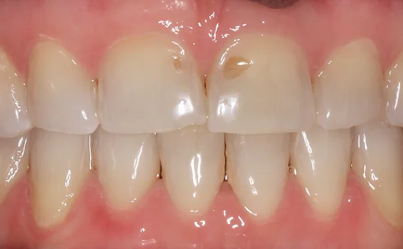
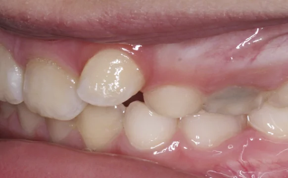
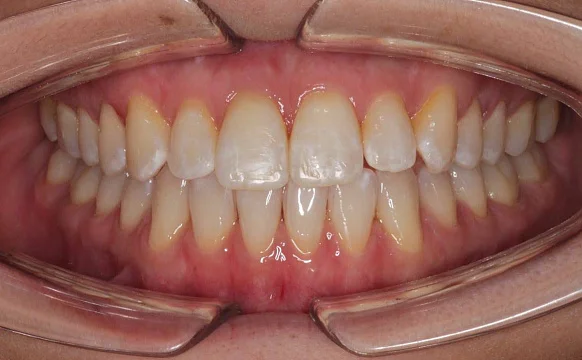
Выполненные работы

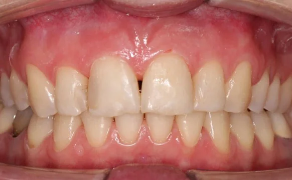
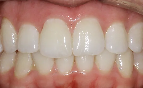
Лечение неправильного положения зубов на брекет-системе за 14 месяцев

Проблема
Врач
Куканова Алена Витальевна

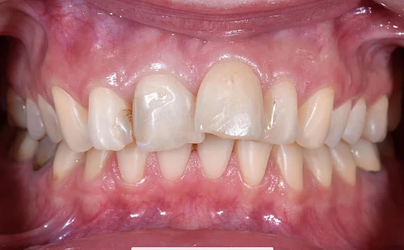
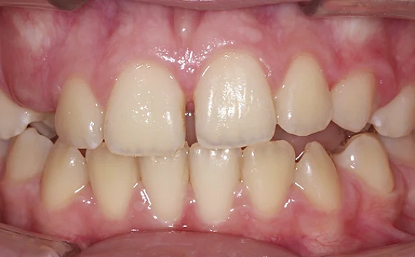
Скученность, сужение челюстей и открытый прикус — лечение на элайнерах Click за 9 месяцев

Проблема
Врач
Куканова Алена Витальевна

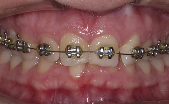
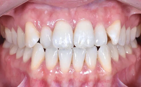
Выровняли и подготовили к реставрации зубы на керамических брекетах Damon за 14 месяцев

Проблема
Врач
Куканова Алена Витальевна

Комплексный подход в лечении прикуса на элайнерах 3D Smile

Проблема
Врач
Куканова Алена Витальевна

Скученность зубов — выравнивание зубов на элайнерах Click Aligners

Проблема
Врач
Куканова Алена Витальевна

Лечение прикуса на элайнерах Invisalign — от неправильного прикуса к ровной улыбке

Проблема
Врач
Куканова Алена Витальевна

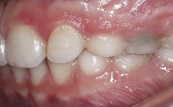
Сужение верхней челюсти, скученное положение зубов. Срок лечения 16 месяцев

Проблема
Скученность зубов
Врач
Куканова Алена Витальевна

Соотношение зубных рядов до 3 классу Энгля, скученное положение зубов. Срок лечения 2 года

Проблема
узкая зубная дуга, скученность, микродентия боковых верхних резцов
Врач
Куканова Алена Витальевна

Исправление вертикальной-резцовой дизокклюзии у подростка

Проблема
Пациент обратился с жалобой на неровные зубы, несимметричное расположение зубов с правой и левой стороны, диастему.
Врач
Куканова Алена Витальевна

Исправление сменного прикуса подростку

Проблема
Дистапированный клык, нарушение развития прикуса, сменный прикус.
Врач
Куканова Алена Витальевна

Исправление дистопии зубов

Проблема
Mужчина, 13
Количество кап: 50
Врач
Куканова Алена Витальевна

Исправление скученности лигатурными брекетами

Проблема
Женщина, 26
Количество кап: 28
Врач
Куканова Алена Витальевна
Нормализация смыкания и устранение скученности Нормализация смыкания и устранение скученности

Нормализация смыкания и устранение скученности

Проблема
23, 347000
Врач
Куканова Алена Витальевна
Устранение протрузии верхних резцов Устранение протрузии верхних резцов

Устранение протрузии верхних резцов

Проблема
32
Врач
Куканова Алена Витальевна
Исправление глубокого дистального прикуса Исправление глубокого дистального прикуса

Исправление глубокого дистального прикуса

Проблема
54, 325000
Врач
Куканова Алена Витальевна

Отзывы

Вероника Карташова
Привела дочку 8 лет с открытым прикусом. Алена Витальевна назначила съёмный аппарат и упражнения для языка, объяснила что проблема связана с привычкой. Ребёнку всё понравилось, врач общается с детьми на их уровне. Уже через 4 месяца вижу улучшения. Спасибо Кукановой за внимательность!
Полина Борисова
Лечилась у Кукановой на брекетах, сейчас уже на этапе ретенции. Хочу отметить что Алена Витальевна всегда укладывается во время приёма, никогда не приходится ждать. Всё делает аккуратно, после активации брекетов дискомфорт минимальный. Результатом довольна полностью.
Елизавета Николаева
Обратилась к Алене Витальевне с проблемой протрузии верхних резцов. Раньше думала что это только эстетический дефект, но врач объяснила что это влияет и на функцию. Выбрали элайнеры, ношу 7 месяцев. Куканова присылает фото сравнения, вижу как передние зубы постепенно встают на место.
Лидия Малышева
Сыну 13 лет, лечимся у Алены Витальевны на элайнерах. Выбрали именно капы потому что подросток стеснялся брекетов. Куканова очень терпеливая, каждый раз проверяет что сын правильно носит элайнеры, объясняет важность соблюдения режима. Нравится что врач молодая и современная, с ней легко общаться.
Василиса Маркова
Пришла к Алене Витальевне с сильной скученностью на обеих челюстях. Врач предложила лечение на брекетах с минивинтами для ускорения процесса. Честно говоря сначала боялась винтов, но Куканова всё объяснила и успокоила. Ношу брекеты уже год, результат виден невооружённым глазом.

Подход к лечению

Доказательная база

Для эффективного лечения зубов необходима качественная диагностика. Врач применяет только научно-обоснованные решения.

Комплексность

При необходимости подключает логопеда, миотерапевта и других смежных специалистов — чтобы результат был не только красивым, 
но и функционально стабильным.

Простые объяснения

Сложные рекомендации переводит на понятный язык, показывает наглядные кейсы «до/после».

Сложные случаи

Врач справляется даже с самыми сложными случаями. 
Вы можете вылечить прикус с помощью прозрачных кап или классических брекетов, а также установить виниры и коронки, пройти профессиональную гигиену для взрослых
и детей, вылечить кариес, а также удалить зубы мудрости.
Блок картинки

Сертификаты

Сертификат №1 Куканова Алена Витальевна
Сертификат №2 Куканова Алена Витальевна
Сертификат №3 Куканова Алена Витальевна
Сертификат №4 Куканова Алена Витальевна
Сертификат №4 Куканова Алена Витальевна

Оказываемые услуги

Элайнеры Click Aligners
Элайнеры Click Aligners нового поколения от российского производителя, разработанные ведущими ортодонтами. Протоколы лечения на элайнерах Click помогают точно спланировать перемещение зубов.
Узнать подробнее
Установка элайнеров
Элайнеры – это прозрачные капы из тонкого медицинского пластика мягко и точно перемещают зубы в нужное положение.
Узнать подробнее
Установка брекетов
Брекеты позволяют избавиться от скученности, устранить межзубные промежутки и получить ровные зубы. Длительность и стоимость терапии зависят от клинической картины.
Узнать подробнее
Установка ретейнеров
Ретейнер — это ортодонтическая конструкция, которую устанавливают сразу после снятия брекетов.
Узнать подробнее
Брекеты на верхнюю челюсть
Верхние зубы далеки от идеала – в голове почти сразу возникает мысль о брекетах.
Узнать подробнее
Брекеты на нижнюю челюсть
Ортодонтическое лечение брекет-системами дает хорошие результаты в исправлении прикуса, улучшая эстетику улыбки и жевательную функцию.
Узнать подробнее
Консультация ортодонта
Каждый пациент заинтересован, чтобы его лечил лучший ортодонт. Во время осмотра понаблюдайте, комфортно ли вам находиться рядом с врачом.
Узнать подробнее
Металлические брекеты
Металлические брекеты, несмотря на то, что выделяются, полностью компенсируют данный ньюанс высокой эффективностью и точностью перемещения зубов.
Узнать подробнее
Керамические брекеты
Керамические брекеты — современное решение в ортодонтии, сочетающее эффективность коррекции прикуса с высокой эстетикой.
Узнать подробнее
Брекеты Damon
Брекеты Даймон – безлигатурные системы нового поколения, с помощью которых можно качественно выровнять зубной ряд и откорректировать прикус.
Узнать подробнее
Брекеты Damon Q
Брекет-система Damon Q — эстетичные саморегулирующие металлические брекеты, популярные, эстетичные и самые современные самолигирующие металлические брекеты от американского бренда ORMCO.
Узнать подробнее
Брекеты Damon Clear
Ортодонтические конструкции Damon разработаны специалистами американской компании Ormco, имеющей все необходимые лицензии для обеспечения качества и безопасности лечения.
Узнать подробнее

Публикации врача

Стерильность в клинике ПРОПРИКУС
Безопасность пациента – наш приоритет. Поэтому соблюдению стерильности в нашей клинике уделяется максимум внимания.
Узнать подробнее
Операция по исправлению прикуса
Не каждая ортодонтическая методика способна устранить тяжелые аномалии зубного ряда. Современные аппаратные способы стоматологии успешно справляются практически с любыми патологиями.
Узнать подробнее
Микрогнатия
Микрогнатия – аномалия челюстно-лицевого скелета, которая характеризуется недоразвитыми челюстями. Они могут быть значительно меньше или больше нормы, поэтому «страдает» эстетика лица.
Узнать подробнее
Что нельзя есть при брекетах
Ортодонтическое лечение брекетами – сложный для пациента период, предполагающий дискомфорт, соблюдение тщательной гигиены и строгой диеты. Последняя особенность огорчает тех, кто привык вкусно питаться, сочетая в рационе орехи, сладости, фрукты, овощи и разные блюда.
Узнать подробнее
Аномалии зубов
Аномалии зубов – врожденные или приобретенные дефекты зубочелюстной системы, связанные с изменением формы, структуры твердых тканей одной или нескольких зубных единиц.
Узнать подробнее
Неправильный прикус у ребенка
Первые признаки патологии прикуса появляются уже в период молочных зубов — примерно в 3 года, когда исправить аномалию проще всего. Родители нередко пропускают этот момент, ориентируясь только на внешний вид зубов. В статье рассказываем, какие привычки и факторы формируют неправильный прикус у детей, как его распознать до визита к врачу, в каком возрасте начинать лечение и какие конструкции применяются на разных этапах развития.
Узнать подробнее
Что такое брекеты и зачем они нужны?
Брекет-система состоит из замков, дуги и лигатур. Установка занимает 60–90 минут. Брекеты перемещают зубы с усилием 50–100 граммов — именно такое давление запускает перестройку костной ткани.
Узнать подробнее
Как выбрать брекеты
Брекеты — самый надежный и эффективный способ исправления прикуса. Носить конструкцию придется не один месяц. Важно, чтобы она не доставляла физический и психологический дискомфорт.
Узнать подробнее
Фтор в зубной пасте
Зубные пасты с фтором пользуются безусловным спросом среди покупателей. О пользе фтора многие из нас узнали из рекламы или рекомендаций врача-стоматолога.
Узнать подробнее
Белый налет на языке
Белый налет на языке – явление, которое может встречаться даже у здорового человека. Появляется у взрослых и детей. Обложенный язык может стать и проявлением заболевания.
Узнать подробнее
Оставьте заявку на запись на бесплатную консультацию ортодонта
В консультацию входит 3D-диагностика, визуализация вашей новой улыбки, индивидуальный план лечения, расчёт стоимости «под ключ».
Нажимая на кнопку «Бесплатная консультация», вы даёте согласие на обработку персональных данных.
Оставьте заявку на запись на бесплатную консультацию ортодонта