Магомедова Милана Рамазановна
Магомедова Милана Рамазановна

Магомедова Милана Рамазановна

★★★★★
4.9
Терапевт
У Магомедовой Миланы Рамазановны, как опытного врача с большим набором знаний, вы можете получить консультацию относительно диагноза и вариантов его лечения.

Милана Рамазановна успешно применяет свои знания в лечении кист зубов, некариозных поражений зубов, пародонтита, перикоронарита, периодонтита, пульпита. Основной специализацией в деятельности Миланы Рамазановны является эндодонтическое лечение. Как врач-стоматолог она занимается отбеливанием зубной эмали, профессиональной гигиеной полости рта, терапевтическим лечением, реставрацией зубов, эстетической реставрацией зубов, установкой скайсов на зубах.
3212
Вылечено пациентов
11
Стаж врача

Видео-приглашение врача

На приеме за 45 минут вы получите:

Диагностику и оценку вашей текущей ситуации
Консультацию с ведущим врачом
3D-сканирование полости рта
Демонстрацию вашей улыбки после лечения
Фотопротокол для определения влияния прикуса на ваше тело
Подбор вида лечения в зависимости от ваших пожеланий и клинической ситуации

Биография врача

Профессиональный рост
Окончила ФГАОУ ВО Первый МГМУ имени И.М. Сеченова - 2009 год. Интернатура - МГМСУ им. А.И. Евдокимова Минздрава России - 2010 год
МГМСУ — Курс «Актуальные вопросы терапевтической стоматологии» - 2018 г.; Курс повышения квалификации по эндодонтическому лечению - 128 часов - 2019 г

Какие проблемы прикуса я лечу?

Скученность зубов
Скученность зубов
Выпирающий ряд зубов
Выпирающий ряд зубов
«Съехавший» ряд зубов
«Съехавший» ряд зубов
«Хищные» клыки
«Хищные» клыки
Глубокий прикус
Глубокий прикус
Нет смыкания
Нет смыкания

Выполненные работы

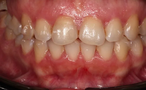
Реставрация зуба

Проблема
Эстетическая стоматология
Врач
Магомедова Милана Рамазановна

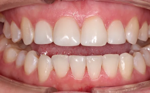
Эстетическая реставрация передних зубов

Проблема
Эстетическая стоматология
Врач
Магомедова Милана Рамазановна

Эстетическая реставрация зубов

Проблема
Врач
Магомедова Милана Рамазановна

Эстетическая реставрация цельнокерамическими винирами в зоне улыбки

Проблема
Дефекты коронковых частей
Врач
Магомедова Милана Рамазановна

Отзывы

Ильнара
Ильнара
Здравствуйте, меня зовут Ильнара, я прохожу в ортодонтическое лечение в стоматологии Проприкус. Мой лечащий врач Алина Руслановна, также я наблюдаюсь у терапевта Миланы Рамазановны. Очень довольна работой врачей, отношением и всем этим. Очень рекомендую.
Галина
Галина
Я нашла свою любимую клинику! Замечательные врачи. Всегда хожу к Милане Рамазановне, уже точно не променяю ее ни на кого)
Ортодонт Ихсан ведет меня уже второй год и я любуюсь своей улыбкой
Артем Акмулин
Артем Акмулин
Я прохожу ортодонтическое лечение в клиники «ПРОПРИКУС». Сегодня у меня была проф. гигиена. Проф. гигиену мне проводила доктор Милана Рамазановна. Это было можно сказать даже очень приятно, т.к. у меня есть негативный опыт проф. гигиены. А здесь это совершенно другой опыт, практически никаких болевых ощущений. Все очень тщательно довольно-таки  быстро. Мне очень понравилось. Я прохожу ее уже во второй раз и с радостью буду проходить ее и дальше.

Видео отзывы пациентов

Подход к лечению

Доказательная база

Для эффективного лечения зубов необходима качественная диагностика. Врач применяет только научно-обоснованные решения.

Комплексность

При необходимости подключает логопеда, миотерапевта и других смежных специалистов — чтобы результат был не только красивым, 
но и функционально стабильным.

Простые объяснения

Сложные рекомендации переводит на понятный язык, показывает наглядные кейсы «до/после».

Сложные случаи

Врач справляется даже с самыми сложными случаями. 
Вы можете вылечить прикус с помощью прозрачных кап или классических брекетов, а также установить виниры и коронки, пройти профессиональную гигиену для взрослых
и детей, вылечить кариес, а также удалить зубы мудрости.
Блок картинки

Сертификаты

Магомедова Милана Рамазановна
Магомедова Милана Рамазановна
Магомедова Милана Рамазановна
Магомедова Милана Рамазановна
Магомедова Милана Рамазановна
Магомедова Милана Рамазановна
Магомедова Милана Рамазановна
Магомедова Милана Рамазановна
Магомедова Милана Рамазановна
Магомедова Милана Рамазановна
Магомедова Милана Рамазановна
Магомедова Милана Рамазановна
Магомедова Милана Рамазановна
Магомедова Милана Рамазановна
Магомедова Милана Рамазановна
Магомедова Милана Рамазановна
Магомедова Милана Рамазановна
Магомедова Милана Рамазановна
Магомедова Милана Рамазановна
Магомедова Милана Рамазановна
Магомедова Милана Рамазановна
Магомедова Милана Рамазановна

Оказываемые услуги

Лечение кариеса
Кариес – поражение твердых тканей зубной единицы. Возникает при воздействии бактерий в полости рта. Сначала начинается деминерализация эмали.
Узнать подробнее
Наращивание зуба
Наращивание зуба - сложная методика. Предполагает восстановление поврежденных зубных единиц. Способ соприкасается с терапией, ортопедией и реставрацией.
Узнать подробнее
Лечение пришеечного кариеса
Пришеечный кариес развивается на границе десны и эмали. В этом месте зуб наиболее подвержен воздействию болезнетворных бактерий из-за скопления налета.
Узнать подробнее
Реставрация зубов
В современной стоматологии реставрация зубов сочетает эстетику, профилактику и лечение. Выполненная в клинике художественная реставрация вернет гармонию зубного ряда и функционал поврежденных зубов.
Узнать подробнее
Пульпит
Острая зубная боль может быть признаком опасного заболевания — пульпита. Не терпите боль, приходите в клинику ПРОПРИКУС.
Узнать подробнее
Художественная реставрация зубов
Художественное восстановление зубов исправляет все видимые дефекты современными стоматологическими методиками.
Узнать подробнее
Композитная реставрация зубов
Реставрация зубов композитом позволяет восстановить эстетику улыбки. Поверхность не стирается. Материалы выдерживают высокие нагрузки.
Узнать подробнее
Лечение зубов под микроскопом
Лечение под микроскопом – современная методика в стоматологии, при которой можно в деталях рассмотреть поверхность зуба во время художественной реставрации или его внутреннюю структуру во время эндодонтической терапии.
Узнать подробнее
Реставрация передних зубов
Процедура реставрации зубов направлена на восстановление их эстетики и функциональных возможностей после травм или стоматологических заболеваний.
Узнать подробнее
Лечение каналов зуба
Канал зуба - тонкие полости, которые проходят по длине корней. В корневой системе располагается пульпа, состоящая из сосудов и нерва.
Узнать подробнее
Чистка каналов зуба
Корень состоит из нерва и сосудов, которые расположены в пульпе. При кариозных повреждениях и других заболеваниях ткани могут воспаляться.
Узнать подробнее
Керамическая вкладка
Керамическая вкладка создается в стоматологической лаборатории из CAM/CAD материалов
Узнать подробнее
Лечение пародонтита
Пародонтит – это воспалительное заболевание зубодесневого комплекса, сопровождающееся патологической подвижностью зубных единиц.
Узнать подробнее
Формирователь десны
Современная стоматология предлагает много методов протезирования. В месте утраченного зуба обычно делается имплантация с помощью вживления в челюстную кость титанового корня.
Узнать подробнее
Лечение периодонтита
Периодонтит - сильное воспаление окружающих тканей зубной единицы. В голове человека расположено множество нервных волокон и кровеносных сосудов.
Узнать подробнее
Лечение гранулемы зуба
Гранулемой зуба называется образование из грануляционной ткани, покрытое фиброзной оболочкой. Она локализуется в зоне верхушки зубной единиц.
Узнать подробнее
Чрескожная электронейростимуляция аппаратом МИСТ Tens с электромиографией
Электромиография и черезкожная электронейростимуляция входят в комплекс процедур по исправлению прикуса и проводятся на начальном этапе лечения.
Узнать подробнее
Диагностика зубов и полости рта
Качественная стоматологическая диагностика нужна для раннего выявления зубных заболеваний.
Узнать подробнее

Публикации врача

Страхи или реальность?
Кто же в детстве не боялся бормашины! Шумно, больно, непонятно… И несмотря на то, что современная стоматологическая аппаратура выглядит не такой пугающей, страх лечить зубы до сих пор существует. Причем одолевает он не только детей, но и многих взрослых. Как с ним справляться? Да и надо ли?
Узнать подробнее
Контрактура челюсти
Бывают состояния, когда привычные и естественные движения, такие как свободное открывание и закрывание рта, становятся трудными. Одним из таких нарушений является контрактура челюсти. Она проявляется в ограничении подвижности суставов и мышц, из-за которого человек не может полностью открыть рот или выполнять привычные движения при жевании или разговоре.
Узнать подробнее
Наращивание кости перед имплантацией
Хирургическая операция по наращиванию или восстановлению ткани челюсти именуется костной пластикой. Чаще всего пластика предшествует процедуре установки дентальных имплантов. Когда нужна костная пластика, кому она противопоказана, какие материалы для наращивания кости применяются – на эти вопросы мы ответим в нашей статье.
Узнать подробнее
Рекомендации после операции дентальной имплантации
Убрать марлевый тампон из полости рта через 10-15 мин. После операции отёк проходит постепенно в течение 3-4 дней. Приложите к щеке холод на 20 мин. 2 раза с перерывом 30 мин.
Узнать подробнее
Оставьте заявку на запись на бесплатную консультацию ортодонта
В консультацию входит 3D-диагностика, визуализация вашей новой улыбки, индивидуальный план лечения, расчёт стоимости «под ключ».
Нажимая на кнопку «Бесплатная консультация», вы соглашаетесь с политикой конфиденциальности.
Оставьте заявку на запись на бесплатную консультацию ортодонта