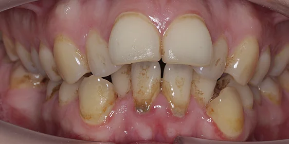
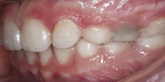
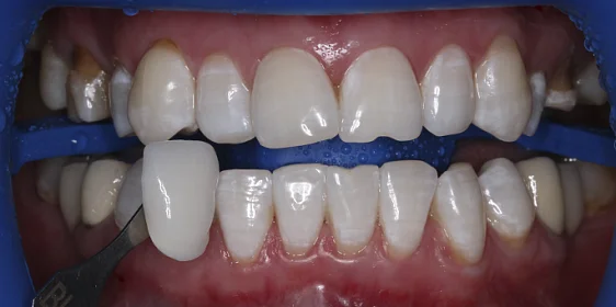
Работы
Whatsapp недоступен в РФ. Продолжим общение в телеграмме? Связаться

Работы


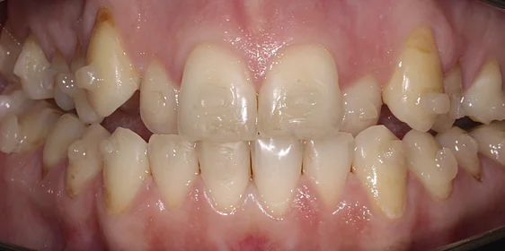
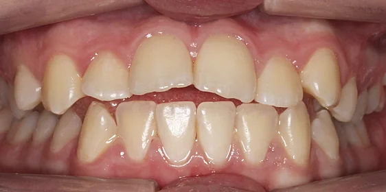
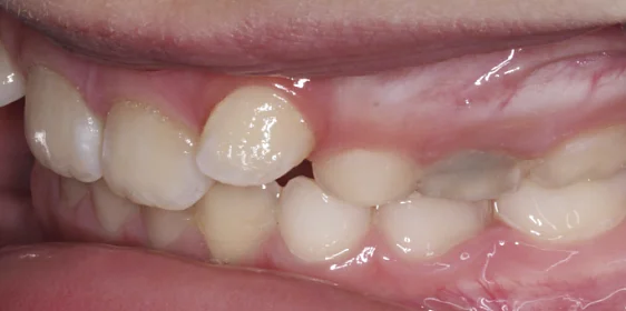
Исправление мезиального прикуса
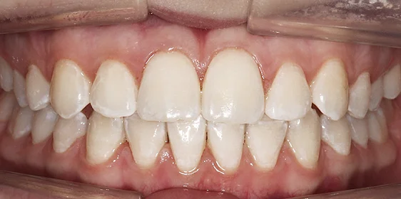
Исправление скученности элайнерами
Исправление сужения верхней челюсти элайнерами
Исправление открытого прикуса у подростка
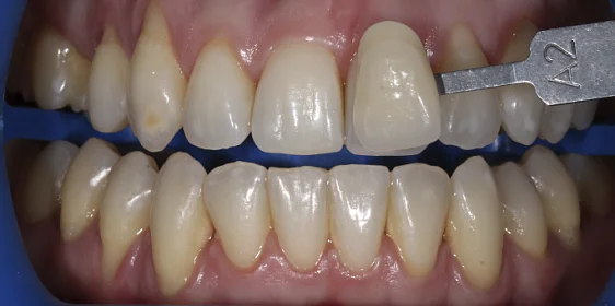
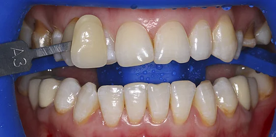
Отбеливание системой AmazingWhite
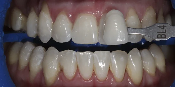
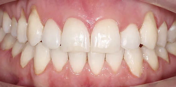
Отбеливание линии улыбки системой ZOOM 4
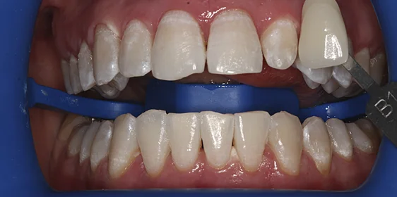
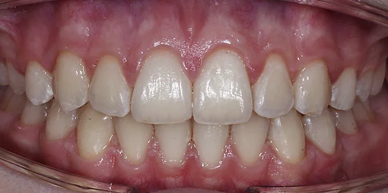
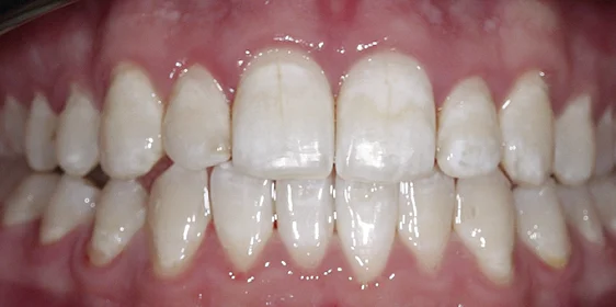
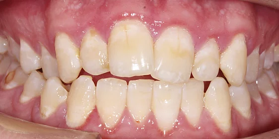
Отбеливание зубов системой Zoom 4
Исправление вертикальной-резцовой дизокклюзии у подростка
Исправление сменного прикуса подростку
Оставьте заявку на запись на бесплатную консультацию ортодонта
В консультацию входит 3D-диагностика, визуализация вашей новой улыбки, индивидуальный план лечения, расчёт стоимости «под ключ».
Нажимая на кнопку «Бесплатная консультация», вы соглашаетесь с политикой конфиденциальности.
Оставьте заявку на запись на бесплатную консультацию ортодонта