Whatsapp недоступен в РФ. Продолжим общение в телеграмме? Связаться
Работы
Эстетическая реставрация передних зубов
Лечение от кариеса
Лечение кариеса
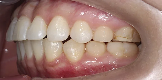
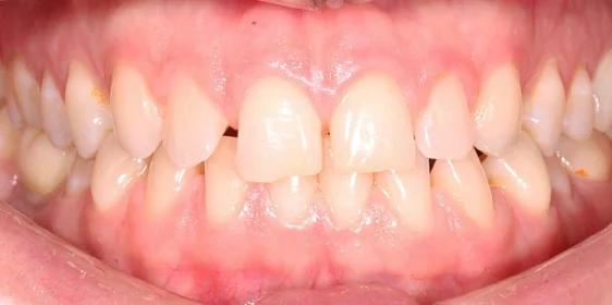
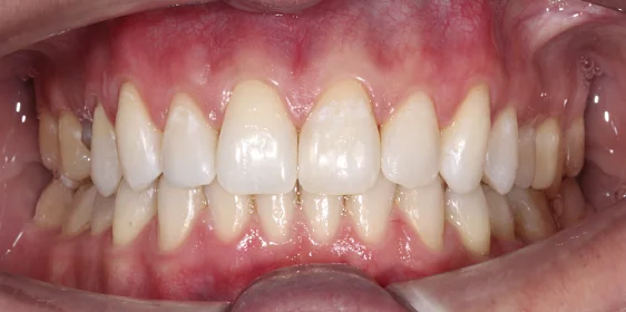
Ортодонтическое лечение с последующей ортопедией
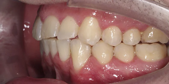
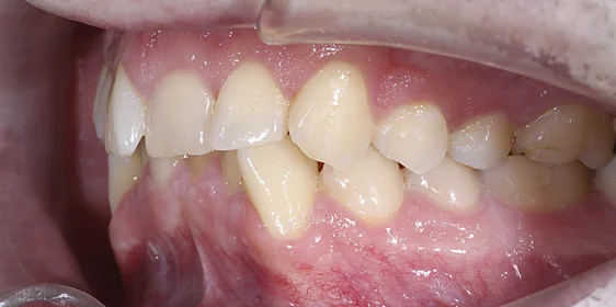
Односторонний второй класс смыкания: лечение
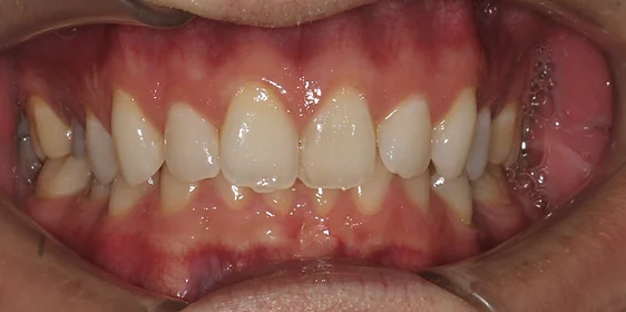
Исправление глубокого прикуса
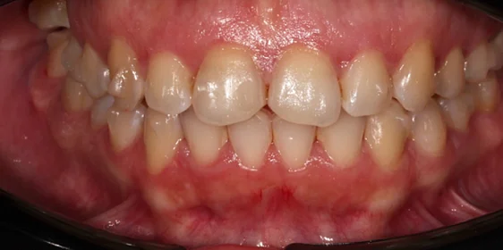
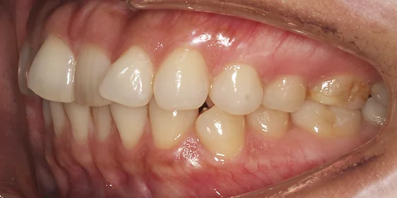
Исправление скученности, второго класса смыкания
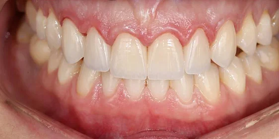
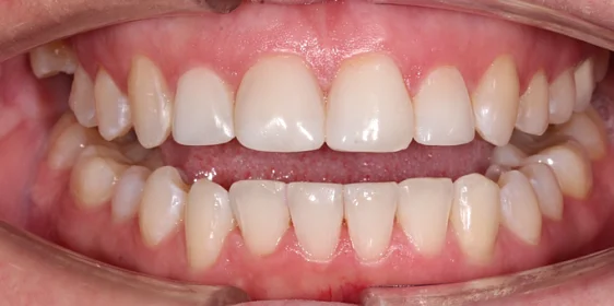
Исправление скученности зубов на верхней и нижней челюсти
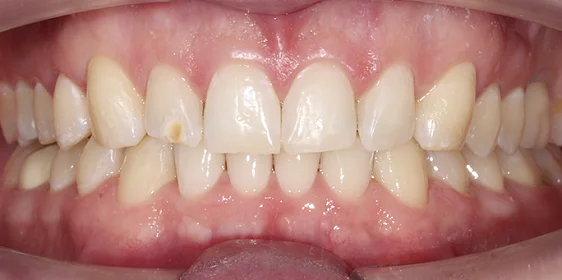
Эстетическая реставрация зубов
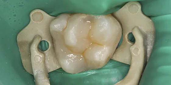
Лечение кариеса зубов
Эстетическая реставрация передних зубов
Лечение от кариеса
Лечение кариеса
Ортодонтическое лечение с последующей ортопедией
Односторонний второй класс смыкания: лечение
Исправление глубокого прикуса
Исправление скученности, второго класса смыкания
Исправление скученности зубов на верхней и нижней челюсти
Эстетическая реставрация зубов
Лечение кариеса зубов