Исправление прикуса. 27 кап, 14 месяцев лечения

Исправление прикуса. 27 кап, 14 месяцев лечения

Дата публикации: 01.04.26

Фотографии опубликованы с согласия пациента

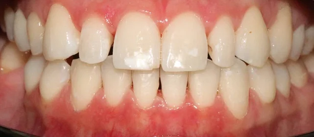
Проблема: Скученность, стеснение при улыбке.
Диагноз: дистальный прикус, глубокое перекрытие, сужение зубных рядов, скученность
Данилова Виктория Юрьевна
Ведущий ортодонт
Стаж более 10 лет
★★★★★ 5.0
Хочу консультацию
Комментарий врача
Результат на 5+. В скором времени планируется имплантация зуба 1.6 (верхний правый моляр). На нижней челюсти на фронтальной группе зубов видим ретейнер (элемент ретенционного удерживающего периода).
Данилова Виктория Юрьевна
Ведущий ортодонт
Оставьте заявку на запись на бесплатную консультацию ортодонта
В консультацию входит 3D-диагностика, визуализация вашей новой улыбки, индивидуальный план лечения, расчёт стоимости «под ключ».
Нажимая на кнопку «Бесплатная консультация», вы соглашаетесь с политикой конфиденциальности.
Оставьте заявку на запись на бесплатную консультацию ортодонта