Исправление прикуса на брекетах за 28 месяцев перед протезированием

Исправление прикуса на брекетах за 28 месяцев перед протезированием

У меня похожий случай
Итоги по кейсу
Пол
Женский
Возраст
42 года
Жалоба
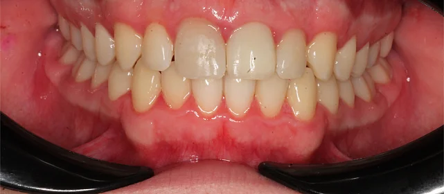
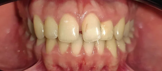
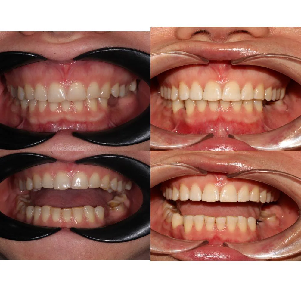
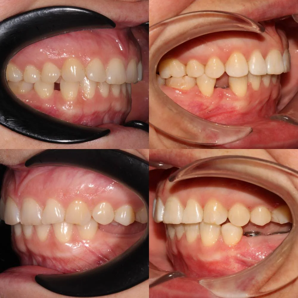
Неровные зубы, неправильный прикус.
Диагностика
Нарушение соотношения челюстей и неправильное положение зубов — ряды смыкались некорректно, зубы стояли со смещением.
План лечения
Металлические самолигирующие брекеты H4 на обе челюсти. Выровнять зубы, исправить прикус, подготовить к установке коронок. Срок — около 2,5 лет.
Ход лечения
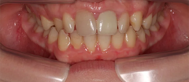
Лечение заняло 28 месяцев (ноябрь 2023 — март 2026). После снятия брекетов пациентка направлена к ортопеду для установки коронок.
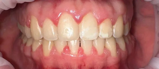
Результат
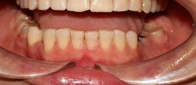
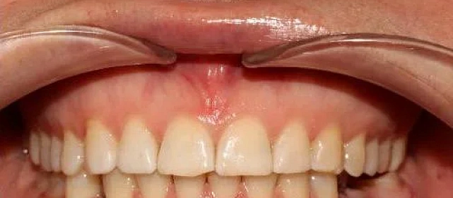
Прикус исправлен, зубы выровнены. Установлены несъёмные ретейнеры на обе челюсти, после установки коронок будут изготовлены ретенционные капы.

Дата публикации: 03.04.26

Фотографии опубликованы с согласия пациента

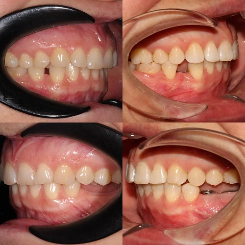
Проблема: Пациентка обратилась с жалобами на неровные зубы и неправильный прикус. Челюсти смыкались некорректно, зубы стояли со смещением. Часть зубов нуждалась в восстановлении коронками, но ставить их на кривой ряд с неправильным прикусом значит заведомо сократить им срок службы. Нагрузка будет распределяться неравномерно, и конструкции быстро выйдут из строя. Поэтому первый этап — ортодонтия, второй — протезирование.
Решение: Установили металлические самолигирующие брекеты H4 на обе челюсти. За 28 месяцев выровняли зубы и привели прикус в норму. После снятия брекетов зафиксировали ретейнеры на обе челюсти. Пациентка направлена к ортопеду — в течение недели устанавливает коронки, после чего будет проведено сканирование и изготовлены ретенционные капы уже по окончательному контуру зубов.
Поленок Мария Сергеевна
Стоматолог - ортодонт
Стаж более 5 лет
★★★★★ 4.9
Хочу консультацию
Отзыв пациента
Мне было важно понимать план целиком, что да как, прежде, чем стартовать лечение. Мария Сергеевна на первой же консультации объяснила: сначала выравниваем, потом коронки и почему именно в таком порядке. 28 месяцев в брекетах — не скажу, что это было легко, особенно первые пару недель. Но потом привыкаешь и перестаёшь обращать внимание. Сейчас зубы ровные, далее будем ставить коронки!
Комментарий врача
Двухэтапный случай: сначала ортодонтия, потом протезирование. Ставить коронки при неправильном прикусе нельзя — нагрузка ляжет неравномерно, конструкции не прослужат долго. Брекеты H4 отработали за 28 месяцев, ряд подготовлен. Ретенционные капы сознательно делаем после коронок — контур зубов изменится, и капы должны соответствовать финальному результату.
Поленок Мария Сергеевна
Стоматолог - ортодонт
Оставьте заявку на запись на бесплатную консультацию ортодонта
В консультацию входит 3D-диагностика, визуализация вашей новой улыбки, индивидуальный план лечения, расчёт стоимости «под ключ».
Нажимая на кнопку «Бесплатная консультация», вы даёте согласие на обработку персональных данных.
Оставьте заявку на запись на бесплатную консультацию ортодонта