Исправление скученности зубов на верхней и нижней челюсти

Исправление скученности зубов на верхней и нижней челюсти

Дата публикации: 01.04.26

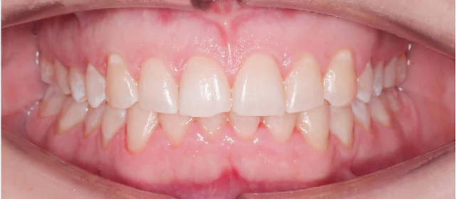
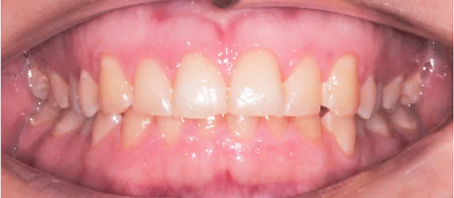
Фотографии опубликованы с согласия пациента

Проблема: Пациент обратился с жалобой на скученность зубов на верхней и нижней челюсти
Диагноз: скученность, глубокий прикус
Данилова Виктория Юрьевна
Ведущий ортодонт
Стаж более 10 лет
★★★★★ 5.0
Хочу консультацию
Комментарий врача
Рекомендации: рациональное протезирование.
Данилова Виктория Юрьевна
Ведущий ортодонт
Оставьте заявку на запись на бесплатную консультацию ортодонта
В консультацию входит 3D-диагностика, визуализация вашей новой улыбки, индивидуальный план лечения, расчёт стоимости «под ключ».
Нажимая на кнопку «Бесплатная консультация», вы соглашаетесь с политикой конфиденциальности.
Оставьте заявку на запись на бесплатную консультацию ортодонта