Шевченко Алина Борисовна
Шевченко Алина Борисовна

Шевченко Алина Борисовна

★★★★★
5.0
Стоматолог - ортодонт
Алина внимательный и аккуратный ортодонт, который сочетает доказательный подход и современную цифровую диагностику. Помогает взрослым и детям исправить прикус на элайнерах и брекетах, делает процесс понятным, предсказуемым и комфортным.
70
Вылечено пациентов
4
Стаж врача

На приеме за 45 минут вы получите:

Диагностику и оценку вашей текущей ситуации
Консультацию с ведущим врачом
3D-сканирование полости рта
Демонстрацию вашей улыбки после лечения
Фотопротокол для определения влияния прикуса на ваше тело
Подбор вида лечения в зависимости от ваших пожеланий и клинической ситуации

Биография врача

Личная история
Мое решение быть врачом еще сформировалось в раннем детстве , я помню , как в 5 лет подошла к маме и сказала « мама я хочу быть врачом» и родители меня полностью поддержали в моей решении. Когда я поступила в медицинский университет я точно не знала, каким именно я буду врачом, но после цикла «Ортодонтии», когда преподавательница продемонстрировала свой работы до/после, я поняла, что я хочу заниматься Ортодонтией. Почему именно Ортодонтия? Мой ответ прост « Через Ортодонтию я могу подарить людям счастье, ведь они после лечения улыбаются 24/7». У каждого человека своя улыбка и у каждого она индивидуально красивая, я помогаю им обрести свою красивую и неповторимую улыбку. Мое вдохновения к работе приходит через мое окружение амбициозных и искренние любящих свое дело людей, но так же я заряжаюсь энергией от счастливых пациентов после нашего с ними лечения.
Профессиональный рост
  • В 2019 года закончила Курский Государсвтенный Медицинский Университет;
  • В 2021 закончила ординатуру по специальности «Ортодонтия»;
  • В ноябре 2021 года устроилась на работу врачом-ортодонтом в клинический центр стоматологии и челюстно-лицевой хирургии им.А.И. Евдокимова;
  • В 2022 работала врачом-ортодонтом в частной клиники.
  • В 2022 и по нынешний год прошла обучение модульного курса Анны Сергеевны Невдах «Ортогнатодонтия», обучение у Мариам Малхазовны «с элайнерами на ты», Научная Конференция по Ортодонтии
Достижения
Лечу пациентов с достаточно сложными аномалиями, которые можно вылечить без хирургии, а скомпенсировано. Активно прохожу обучения в сфере элайнеров и основная цель, лечить на элайнерах патологии не только прикуса, но и ВНЧС

Какие проблемы прикуса я лечу?

Скученность зубов
Скученность зубов
Выпирающий ряд зубов
Выпирающий ряд зубов
«Съехавший» ряд зубов
«Съехавший» ряд зубов
«Хищные» клыки
«Хищные» клыки
Глубокий прикус
Глубокий прикус
Нет смыкания
Нет смыкания

Выполненные работы

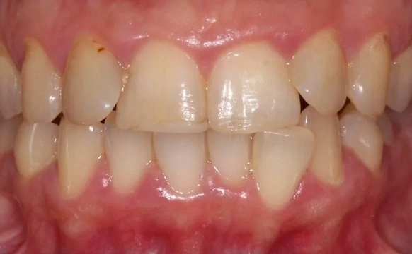
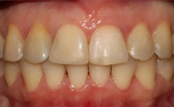
Лечение скученности и неправильного прикуса на элайнерах 3D Smile

Проблема
Врач
Шевченко Алина Борисовна

Лечение на брекет-системе

Проблема
Скученность зубов
Врач
Шевченко Алина Борисовна
Лечение прикуса с последующей ортопедией верхних зубов Лечение прикуса с последующей ортопедией верхних зубов

Лечение прикуса с последующей ортопедией верхних зубов

Проблема
Неправильный прикус
Врач
Шевченко Алина Борисовна
Исправление прикуса элайнерами Инвизилайн Исправление прикуса элайнерами Инвизилайн

Исправление прикуса элайнерами Инвизилайн

Проблема
прямое смыкание, сужение зубных дуг, скученность
Врач
Шевченко Алина Борисовна
Выравнивание зубных рядов элайнерами Invisalign Выравнивание зубных рядов элайнерами Invisalign

Выравнивание зубных рядов элайнерами Invisalign

Проблема
узкая зубная дуга, скученность, микродентия боковых верхних резцов
Врач
Шевченко Алина Борисовна

Отзывы

Андрей
Обратился к Алине Борисовне с глубоким прикусом, до этого консультировался в трёх клиниках, везде предлагали разное. В ПРОПРИКУС сделали полную диагностику, Алина Борисовна подробно разобрала мой случай и предложила лечение на элайнерах. Нравится что она подключает других специалистов когда нужно, у меня ещё были вопросы по суставу. Лечусь полгода, динамика отличная.
Ирина
Дочке 12 лет, ставили брекеты у Алины Борисовны. Ребёнок боялся идти к ортодонту, начитался страшилок в интернете. Но Шевченко нашла подход, всё объяснила на понятном языке, показала фотографии других детей до и после. Теперь дочь сама следит за гигиеной и ждёт каждый приём. Для меня как мамы это очень важно. Спасибо Алине Борисовне за терпение и профессионализм!
Диана
Лечусь у Шевченко А.Б. на брекетах, изначально ходила в другую клинику но там мне не понравился подход. Здесь совсем другое дело. Алина Борисовна объясняет каждое действие, показывает фото прогресса, сравниваем с планом. Видно что человек любит свою работу. Мне 32 года, переживала что поздно исправлять прикус, но врач убедила что возраст вообще не проблема. Уже вижу результат и это мотивирует.
Екатерина
Пришла к Алине Борисовне со скученностью на верхней челюсти, долго не решалась начать лечение. На консультации она всё показала на 3D снимке, объяснила как будут двигаться зубы и сколько это займёт времени. Выбрали элайнеры, ношу уже пятый месяц. Алина Борисовна всегда на связи, отвечает даже в выходные если что то беспокоит. Очень комфортно лечиться когда врач так вовлечён в процесс.
Лера
Лера
Хочу выразить огромную благодарность Шевченко Алине! Она настоящий профессионал своего дела, очень внимательная и деликатная. Всегда подробно объясняла каждый этап лечения и отвечала на все мои вопросы. Результат превзошел все мои ожидания – моя улыбка теперь просто идеальная! Благодаря Алине я чувствую себя гораздо увереннее. Всем рекомендую этого замечательного ортодонта!
Мирослава Гордеева
Выбирала между несколькими ортодонтами, в итоге остановилась на Шевченко Алине Борисовне и не пожалела. Молодой врач но чувствуется что постоянно учится и следит за новыми методиками. На каждом приёме рассказывает что происходит и что будет дальше. Ношу элайнеры Invisalign, очень довольна что можно снимать на еду. Зубы уже заметно ровнее, коллеги на работе спрашивают что я сделала с улыбкой)

Подход к лечению

Доказательная база

Для эффективного лечения зубов необходима качественная диагностика. Врач применяет только научно-обоснованные решения.

Комплексность

При необходимости подключает логопеда, миотерапевта и других смежных специалистов — чтобы результат был не только красивым, 
но и функционально стабильным.

Простые объяснения

Сложные рекомендации переводит на понятный язык, показывает наглядные кейсы «до/после».

Сложные случаи

Врач справляется даже с самыми сложными случаями. 
Вы можете вылечить прикус с помощью прозрачных кап или классических брекетов, а также установить виниры и коронки, пройти профессиональную гигиену для взрослых
и детей, вылечить кариес, а также удалить зубы мудрости.
Блок картинки

Оказываемые услуги

Элайнеры Click Aligners
Элайнеры Click Aligners нового поколения от российского производителя, разработанные ведущими ортодонтами. Протоколы лечения на элайнерах Click помогают точно спланировать перемещение зубов.
Узнать подробнее
Установка элайнеров
Элайнеры – это прозрачные капы из тонкого медицинского пластика мягко и точно перемещают зубы в нужное положение.
Узнать подробнее
Установка брекетов
Брекеты позволяют избавиться от скученности, устранить межзубные промежутки и получить ровные зубы. Длительность и стоимость терапии зависят от клинической картины.
Узнать подробнее
Установка ретейнеров
Ретейнер — это ортодонтическая конструкция, которую устанавливают сразу после снятия брекетов.
Узнать подробнее
Брекеты на верхнюю челюсть
Верхние зубы далеки от идеала – в голове почти сразу возникает мысль о брекетах.
Узнать подробнее
Брекеты на нижнюю челюсть
Ортодонтическое лечение брекет-системами дает хорошие результаты в исправлении прикуса, улучшая эстетику улыбки и жевательную функцию.
Узнать подробнее
Консультация ортодонта
Каждый пациент заинтересован, чтобы его лечил лучший ортодонт. Во время осмотра понаблюдайте, комфортно ли вам находиться рядом с врачом.
Узнать подробнее
Металлические брекеты
Металлические брекеты, несмотря на то, что выделяются, полностью компенсируют данный ньюанс высокой эффективностью и точностью перемещения зубов.
Узнать подробнее
Керамические брекеты
Керамические брекеты — современное решение в ортодонтии, сочетающее эффективность коррекции прикуса с высокой эстетикой.
Узнать подробнее
Сапфировые брекеты
Сапфировые брекеты — ортодонтическая система с замками из монокристаллического оксида алюминия. Подходят взрослым и подросткам, которым важен эстетичный вид во время лечения.
Узнать подробнее
Безлигатурные (самолигирующие) брекеты
Безлигатурные (самолигирующие) брекеты — это системы, в которых дуга фиксируется в замке без помощи специальных лигатур. Они имеют ряд плюсов по сравнению с другими системами.
Узнать подробнее
Брекеты Damon
Брекеты Даймон – безлигатурные системы нового поколения, с помощью которых можно качественно выровнять зубной ряд и откорректировать прикус.
Узнать подробнее
Брекеты Damon Q
Брекет-система Damon Q — эстетичные саморегулирующие металлические брекеты, популярные, эстетичные и самые современные самолигирующие металлические брекеты от американского бренда ORMCO.
Узнать подробнее
Брекеты Damon Clear
Ортодонтические конструкции Damon разработаны специалистами американской компании Ormco, имеющей все необходимые лицензии для обеспечения качества и безопасности лечения.
Узнать подробнее

Публикации врача

Гной после удаления зуба: когда это норма, а когда срочно к врачу
Белое пятно в лунке после удаления зуба пугает многих пациентов — но не всегда это гной. В статье разбираем, как отличить нормальный сгусток от начинающегося воспаления, почему развивается альвеолит, какие симптомы требуют срочного визита к хирургу и что категорически нельзя делать при нагноении лунки дома.
Узнать подробнее
Кривые зубы у взрослых людей
Неровный зубной ряд часто кажется мелочью, которую можно игнорировать. Однако кривые зубы у взрослого пациента — это не только вопрос эстетики, а еще и комфорта при жевании, дикции и здоровья десен.
Узнать подробнее
Коронки на молочные зубы
Во время лечения малыша у стоматолога родители часто задаются вопросом — нужны ли коронки на молочные зубы? Многим это кажется лишней тратой денег, ведь они все равно выпадут. Тем не менее здоровье всего организма, взрослого прикуса зависит именно от сменных зубных единиц.
Узнать подробнее
Выравнивание зубов без брекетов
Клиника ПРОПРИКУС в Москве занимается выпрямлением зубов без брекет-систем, превращая лечение в комфортный для человека процесс.
Узнать подробнее
Слетела коронка с зуба — что делать
Установка коронки помогает восстановить эстетическую и жевательную функцию зуба, продлить срок его службы и убрать дефекты.
Узнать подробнее
Гнатолог
Гнатолог — узкопрофильный специалист, занимающийся коррекцией патологий височно-нижнечелюстного сустава, устранением аномалий зубов и челюстей, их профилактикой.
Узнать подробнее
Чувствительность зубов
Гиперестезией называют повышенную чувствительность или восприимчивость зубной эмали к различным раздражителям. Речь идет о кратковременных болевых ощущениях, интенсивность которых варьируется от слабовыраженных до нетерпимой боли. Разберем в этой статье, что такое гиперестезия, почему она возникает и как проводится лечение.
Узнать подробнее
Оставьте заявку на запись на бесплатную консультацию ортодонта
В консультацию входит 3D-диагностика, визуализация вашей новой улыбки, индивидуальный план лечения, расчёт стоимости «под ключ».
Нажимая на кнопку «Бесплатная консультация», вы соглашаетесь с политикой конфиденциальности.
Оставьте заявку на запись на бесплатную консультацию ортодонта