Комплексный подход в лечении прикуса на элайнерах 3D Smile

Комплексный подход в лечении прикуса на элайнерах 3D Smile

У меня похожий случай
Итоги по кейсу
Пол
Женский
Возраст
38 лет
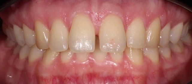
Жалоба
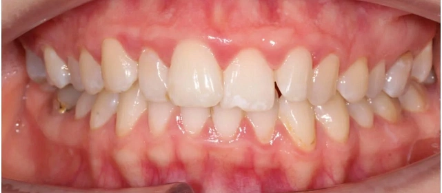
Неровные зубы, неправильное смыкание.
Диагностика
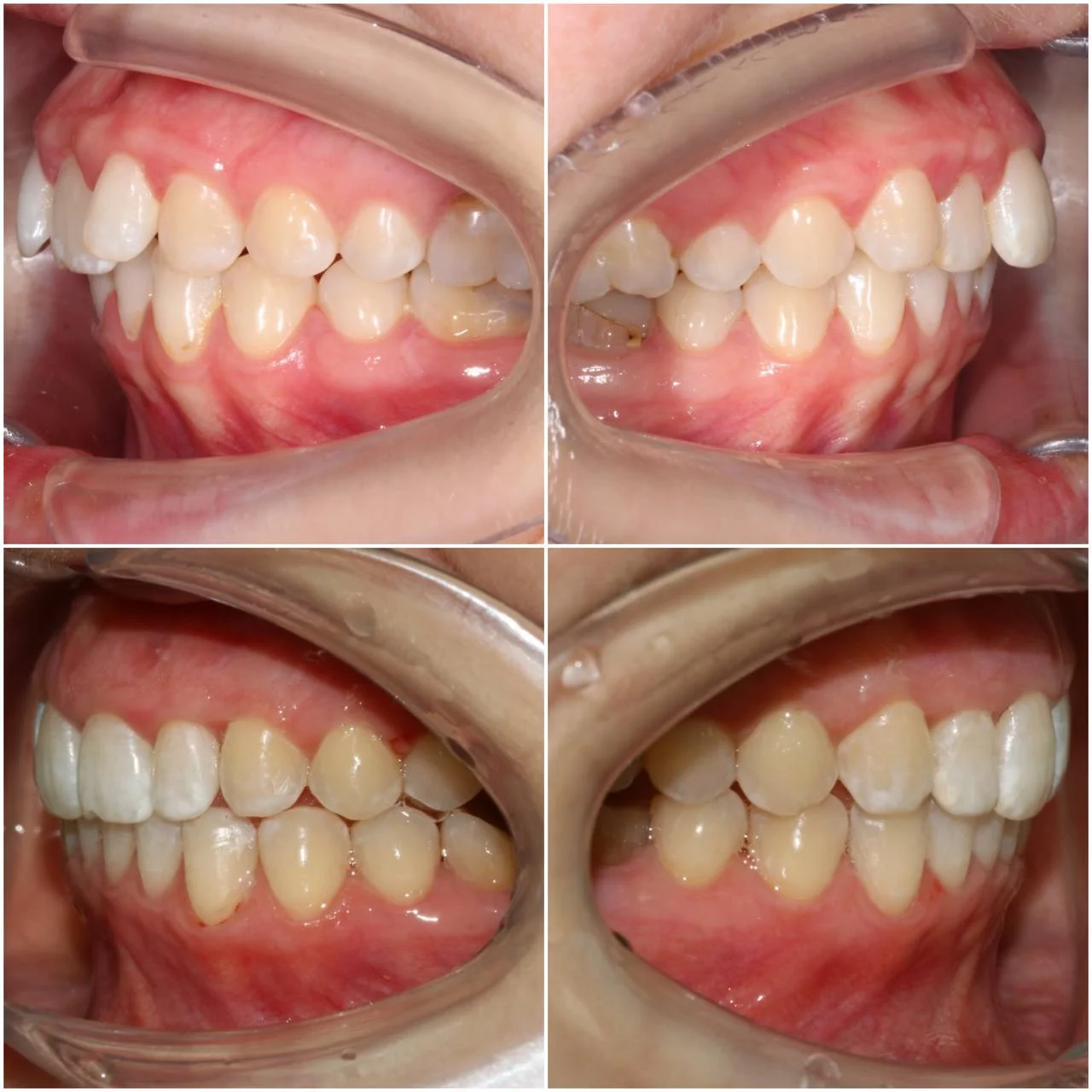
Нарушение соотношения челюстей и неправильное положение зубов — зубные ряды смыкались некорректно, зубы стояли со смещением.
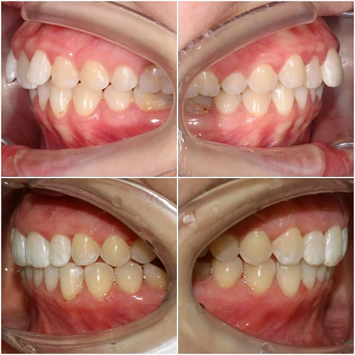
План лечения
Прозрачные элайнеры 3D Smile на обе челюсти. Выровнять зубы и нормализовать смыкание. Лечение в связке с гигиенистом и ортопедом. Срок — около 2 лет.
Ход лечения
Лечение заняло 4 года (март 2022 — март 2026). Капы менялись каждые 1–2 недели, визиты к ортодонту каждые 6–8 недель для контроля и выдачи новых наборов. Параллельно проводилась профессиональная гигиена, пациентка наблюдалась у ортопеда.
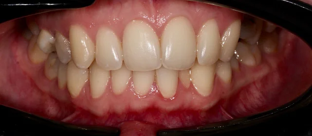
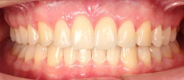
Результат
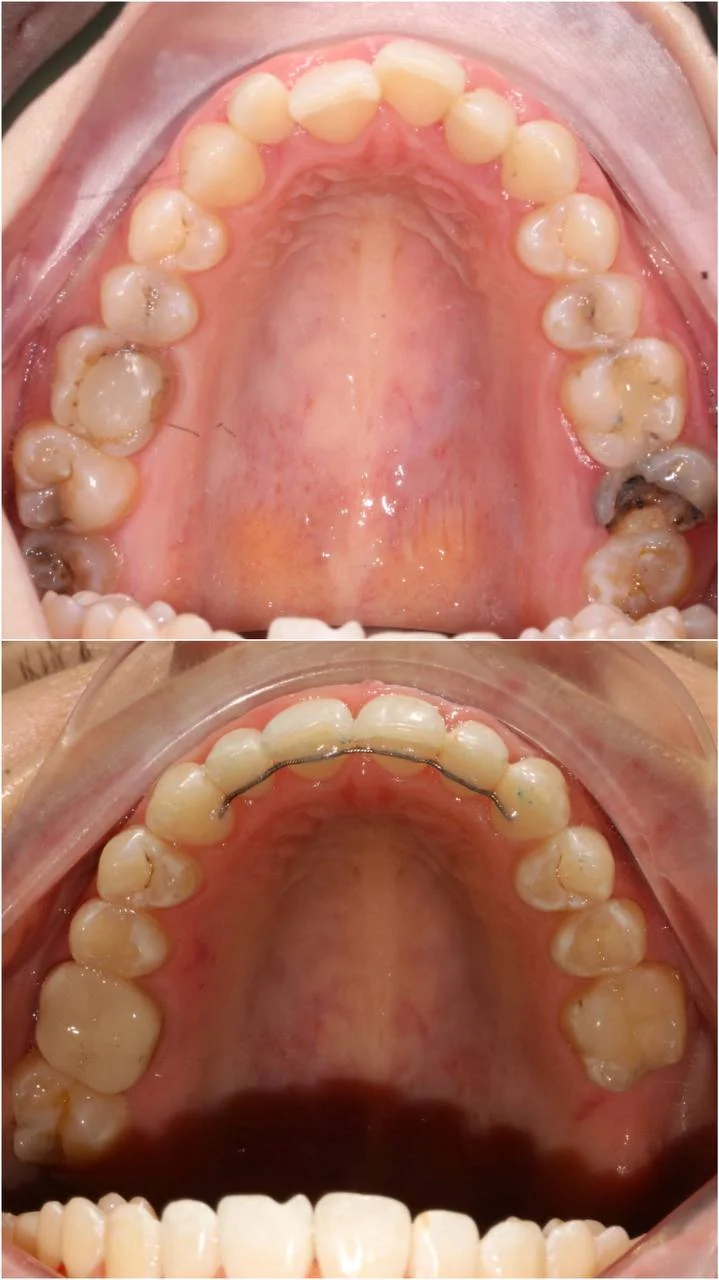
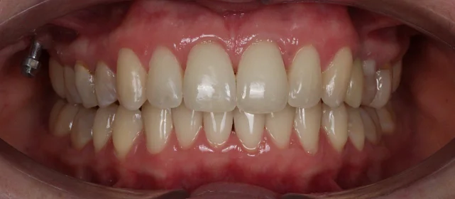
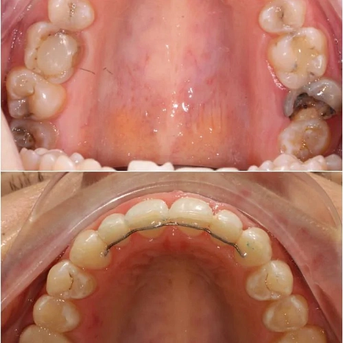
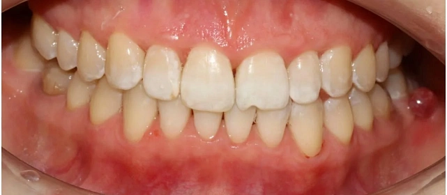
Зубы выровнены, смыкание нормализовано. Установлены несъёмные ретейнеры на обе челюсти, сняты слепки для изготовления ретенционных кап. Ортопедический этап пройден у Мирзоева Ф.М.

Дата публикации: 02.04.26

Фотографии опубликованы с согласия пациента

Проблема: Пациентка обратилась с жалобами на неровные зубы и неправильное смыкание. Ряды сходились некорректно, зубы стояли со смещением. Помимо ортодонтии, требовалось наблюдение у ортопеда и регулярная профессиональная гигиена на протяжении всего лечения.
Решение: Поставили элайнеры 3D Smile на обе челюсти. Лечение шло в связке трёх специалистов: ортодонт вела основной курс, гигиенист следила за состоянием дёсен и зубов в процессе, ортопед контролировал общую картину. Весь путь занял 4 года — несколько последовательных этапов коррекции, капы менялись каждые 1–2 недели. Зубы встали на место, смыкание пришло в норму. Зафиксировали ретейнеры на обе челюсти, сняли слепки для ретенционных кап. Ортопедический этап завершён.
Куканова Алена Витальевна
Стоматолог - ортодонт
Стаж более 5 лет
★★★★★ 4.9
Хочу консультацию
Отзыв пациента
Четыре года — это, конечно, серьёзно. Когда начинала, думала управлюсь за два. Но Алёна Витальевна ещё на старте сказала, что может быть дольше, и оказалась права. Что мне понравилось — это то, что всё в одном месте: и ортодонт, и гигиенист, и ортопед. Не нужно бегать по разным клиникам, все друг с другом на связи. Милана Рамазановна делала гигиену, у Фарруха Маратовича прошла ортопедию. Зубы ровные, всё что нужно — сделано. Жаль только что не начала раньше, лет в двадцать.
Комментарий врача
Вели пациентку командой: ортодонтия, гигиена и ортопедия параллельно. Это важно при длительном лечении — без регулярной профгигиены элайнеры могут спровоцировать проблемы с дёснами, а ортопед отслеживает общее состояние зубов и планирует восстановление. Лечение потребовало нескольких этапов коррекции. Результат стабильный, ретейнеры зафиксированы.
Куканова Алена Витальевна
Стоматолог - ортодонт
Оставьте заявку на запись на бесплатную консультацию ортодонта
В консультацию входит 3D-диагностика, визуализация вашей новой улыбки, индивидуальный план лечения, расчёт стоимости «под ключ».
Нажимая на кнопку «Бесплатная консультация», вы даёте согласие на обработку персональных данных.
Оставьте заявку на запись на бесплатную консультацию ортодонта