Лечение на элайнерах 3D Smile — выровняли зубы и исправили смыкание

Лечение на элайнерах 3D Smile — выровняли зубы и исправили смыкание

У меня похожий случай
Итоги по кейсу
Пол
Женский
Возраст
29 лет
Жалоба
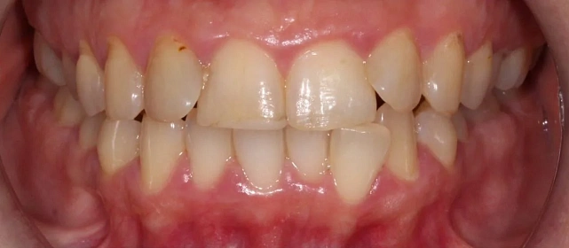
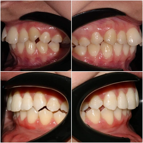
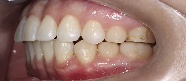
Неровные зубы, неправильное смыкание.
Диагностика
Нарушение соотношения челюстей и неправильное положение зубов — зубные ряды смыкались некорректно, зубы стояли со смещением.
План лечения
Прозрачные элайнеры 3D Smile на обе челюсти. Выровнять зубы и нормализовать смыкание. Срок — около 2 лет.
Ход лечения
Лечение заняло 4 года (март 2022 — март 2026). Капы менялись каждые 1–2 недели, визиты к ортодонту для контроля прогресса и выдачи новых наборов.
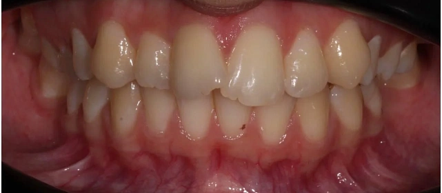
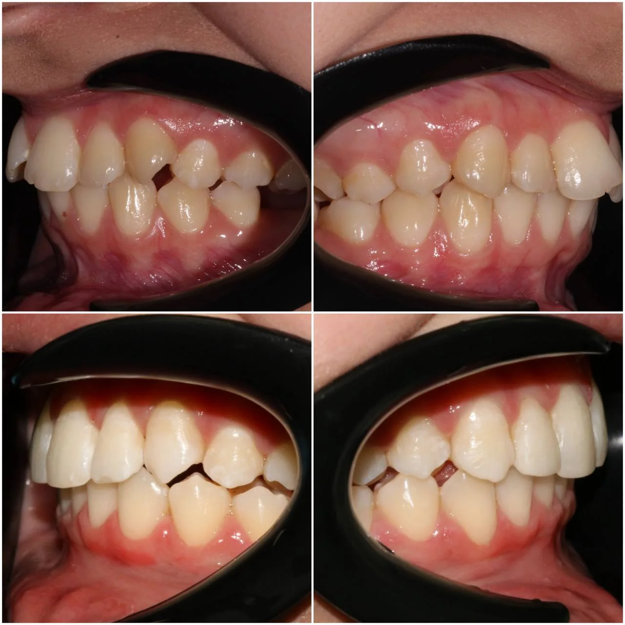
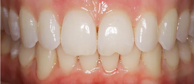
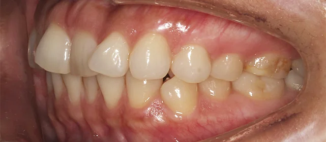
Результат
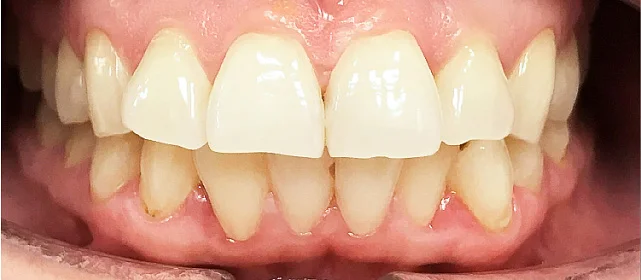
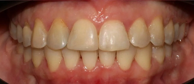
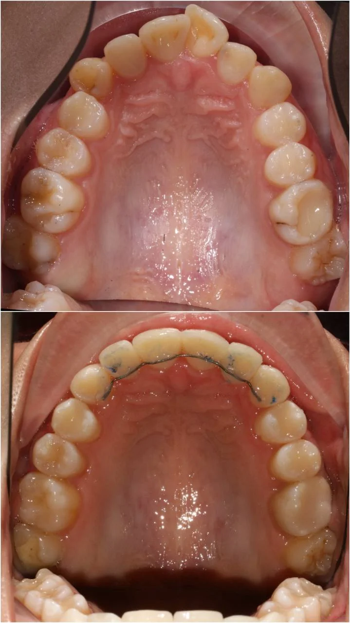
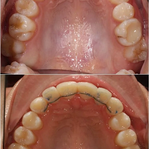
Зубы выровнены, смыкание нормализовано. Установлены несъёмные ретейнеры на обе челюсти, изготовлены ретенционные капы. Пациентка предварительно проконсультирована ортопедом онлайн.

Дата публикации: 03.04.26

Фотографии опубликованы с согласия пациента

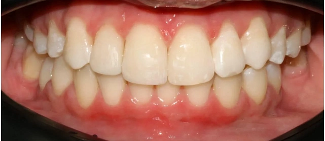
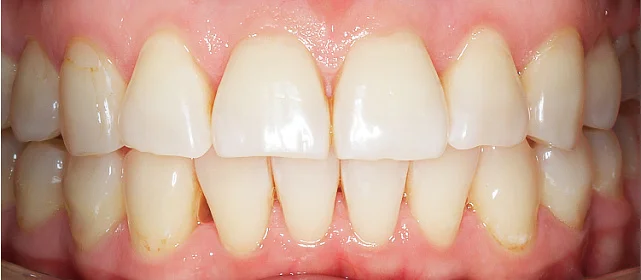
Проблема: В клинику обратилась пациентка — беспокоили неровные зубы и неправильное смыкание. Зубные ряды сходились некорректно, зубы стояли со смещением, что влияло и на внешний вид, и на распределение нагрузки при жевании.
Решение: Поставили элайнеры 3D Smile на обе челюсти. Лечение заняло 4 года и потребовало нескольких последовательных этапов коррекции. Капы менялись каждые 1–2 недели, на контрольных визитах отслеживали прогресс и выдавали новые наборы. Зубы встали в правильное положение, смыкание нормализовалось. Зафиксировали ретейнеры на обе челюсти, изготовили ретенционные капы. Пациентка прошла онлайн-консультацию с ортопедом для оценки дальнейших шагов.
Дмитриева Елена Сергеевна
Ведущий ортодонт
Стаж более 17 лет
★★★★★ 4.9
Хочу консультацию
Отзыв пациента
Я очень долго собиралась с мыслями, прежде чем начать лечение, а потом ещё четыре года его проходила — так что терпения мне точно не занимать. Екатерина Сергеевна вела меня всё это время, на каждом приёме объясняла, что происходит и что будет дальше. Для меня это было важно, потому что когда понимаешь процесс — проще ждать. Зубы сейчас ровные, ещё проконсультировалась с ортопедом онлайн, посмотрим что скажет. В целом клиникой довольна, всем спасибо.
Комментарий врача
Лечение потребовало нескольких последовательных этапов — каждый дозаказ кап уточнял положение зубов, которые не полностью отреагировали на предыдущий курс. Элайнеры 3D Smile позволяют работать поэтапно, корректируя план по ходу. Результат получен, ретейнеры зафиксированы. Рекомендовала пациентке консультацию ортопеда для оценки состояния зубов после лечения
Дмитриева Елена Сергеевна
Ведущий ортодонт
Оставьте заявку на запись на бесплатную консультацию ортодонта
В консультацию входит 3D-диагностика, визуализация вашей новой улыбки, индивидуальный план лечения, расчёт стоимости «под ключ».
Нажимая на кнопку «Бесплатная консультация», вы даёте согласие на обработку персональных данных.
Оставьте заявку на запись на бесплатную консультацию ортодонта