Арбат
Сокольники
Поиск
Пн-Вс с 9:00 до 21:00
+7 (499) 681-95-69
Обратный звонок
Онлайн запись
Услуги
Врачи
Цены
Работы
Акции
Блог
О нас
Новости
Пресса о нас
Отзывы
Контакты
Я пациент
Главная
Работы
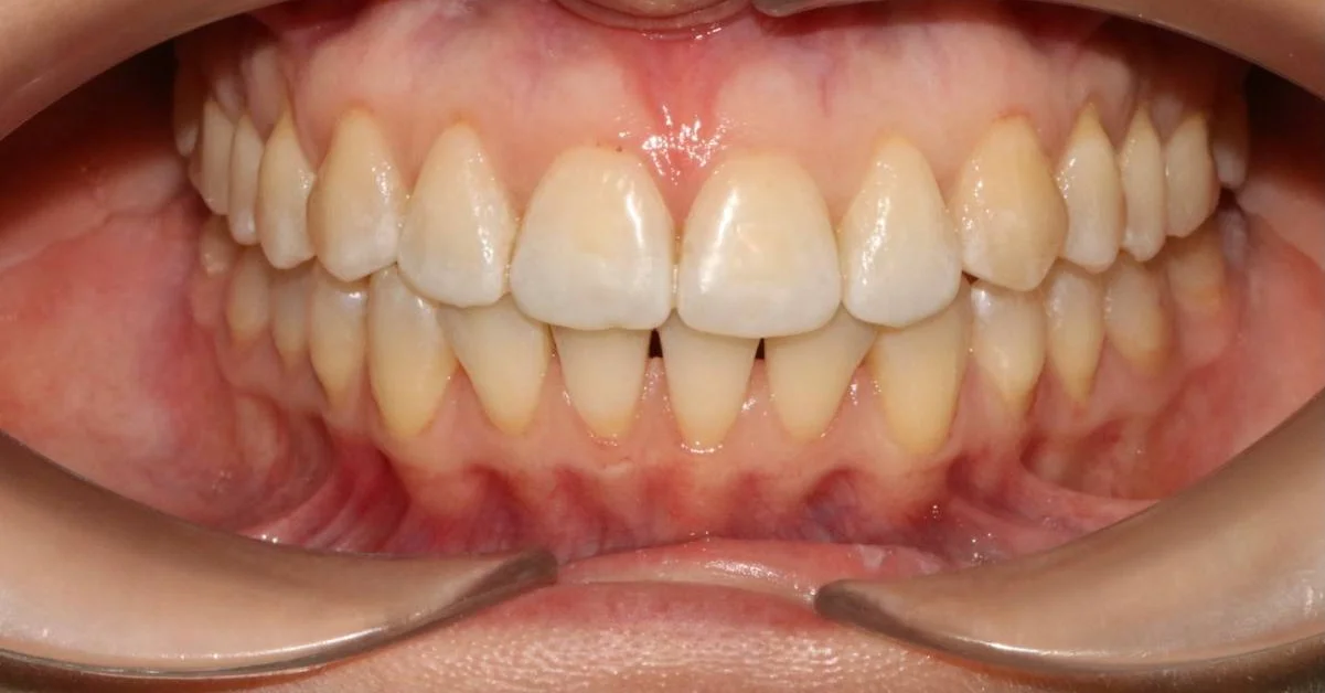
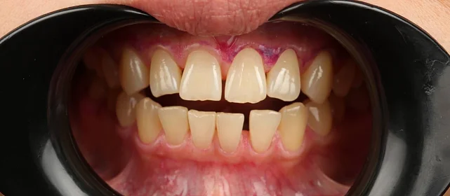
Лечение скученности зубов элайнерами
Лечение скученности зубов элайнерами
У меня похожий случай
Дата публикации: 01.04.26
Фотографии опубликованы с согласия пациента
Дьячкова Инна Владимировна
Стоматолог - ортодонт
Стаж более 11 лет
★★★★★
5.0
Хочу консультацию
Другие работы
Детская профилактическая гигиена полости рта
Врач:
Кламм Алиса Вячеславовна
Подробнее
Ортодонтическое лечение на элайнерах №10
Врач:
Арутюнова Екатерина Ашотовна
Подробнее
Эстетическая реставрация
Врач:
Кламм Алиса Вячеславовна
Подробнее
Исправления скученности верхних и нижних резцов
Врач:
Арутюнова Екатерина Ашотовна
Подробнее
Расширение верхней челюсти брекетами
Врач:
Арутюнова Екатерина Ашотовна
Подробнее
Оставьте заявку на запись на бесплатную консультацию ортодонта
В консультацию входит 3D-диагностика, визуализация вашей новой улыбки, индивидуальный план лечения, расчёт стоимости «под ключ».
Нажимая на кнопку «Бесплатная консультация», вы соглашаетесь с
политикой конфиденциальности
.
Услуги
Врачи
Цены
Работы
Акции
Блог
О нас
Новости
Пресса о нас
Отзывы
Контакты
Я пациент
Чат-бот для пациентов
Telegram
8 (499) 681-95-69