Лечим прикус на металлических брекетах H4 при сужении обеих челюстей за 25 месяцев

Лечим прикус на металлических брекетах H4 при сужении обеих челюстей за 25 месяцев

У меня похожий случай
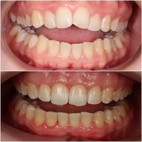
Итоги по кейсу
Пол
Женский
Возраст
30 лет
Жалоба
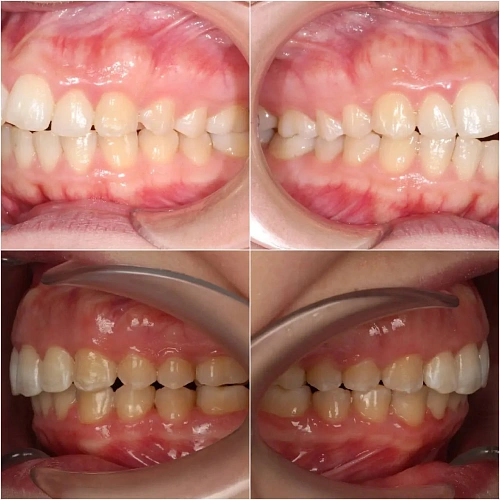
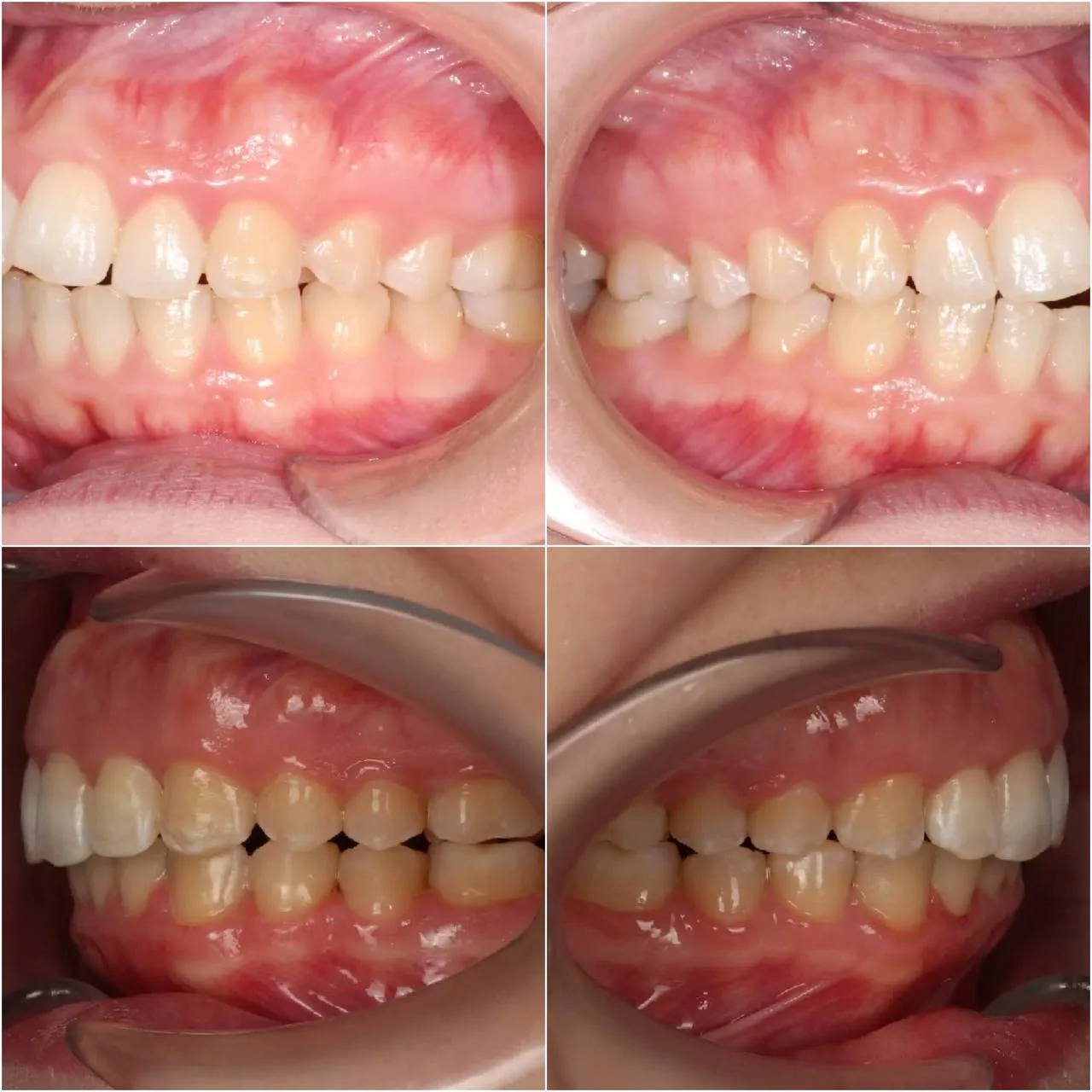
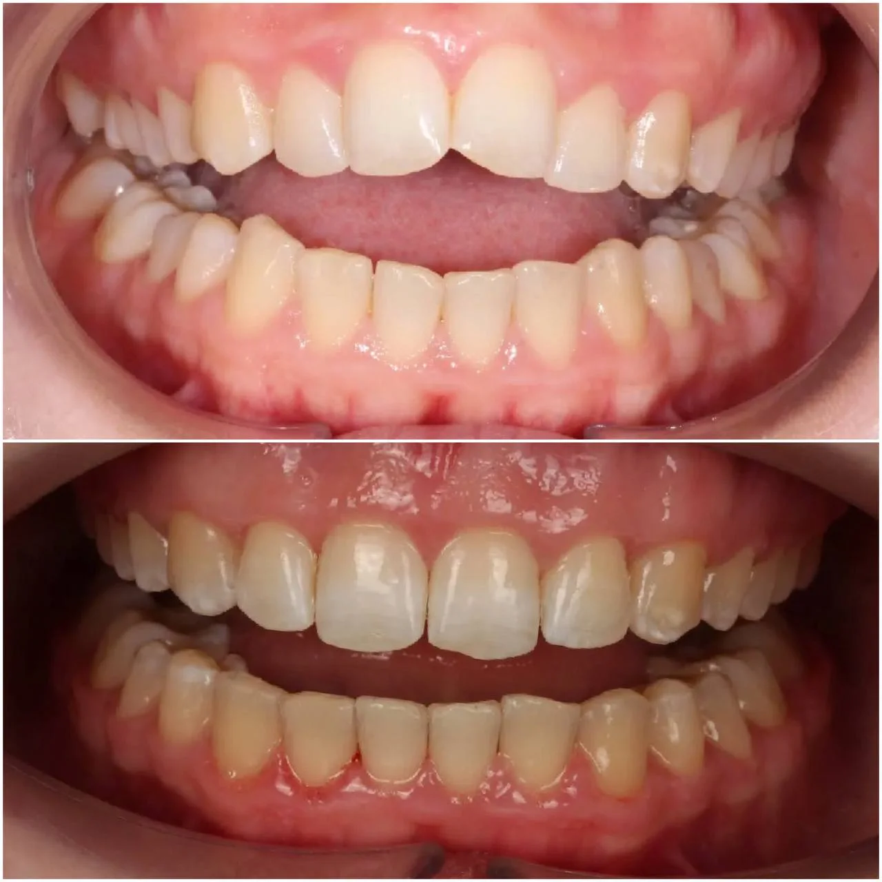
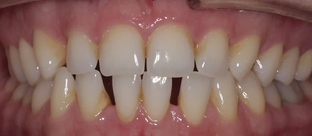
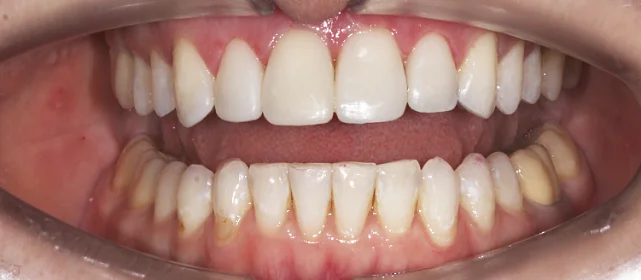
Неровные зубы на верхней челюсти, неправильный прикус. Периодически беспокоил сустав челюсти.
Диагностика
Обе челюсти сужены — зубам не хватало места, из-за чего они стояли неровно. Верхняя челюсть выступала вперёд относительно нижней с обеих сторон (II класс по Энглю).
План лечения
Металлические самолигирующие брекеты H4 на обе челюсти. Расширить зубные дуги, выровнять зубы, исправить прикус. Срок — около 2 лет.
Ход лечения
Лечение заняло 25 месяцев. Визиты к ортодонту раз в 4–6 недель для замены дуг и контроля прогресса. За счёт исправления прикуса нагрузка на сустав нормализовалась.
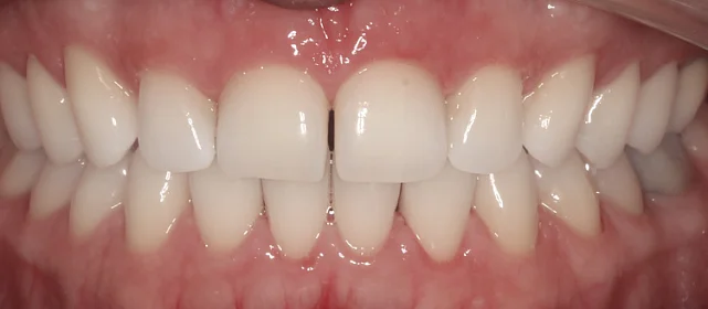
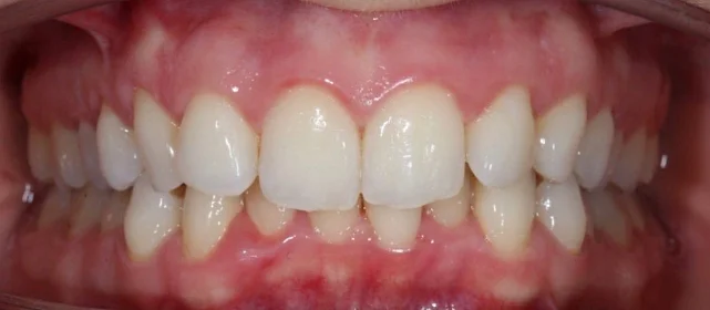
Результат
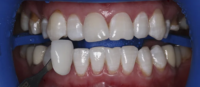
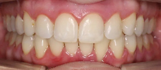
Зубы выровнены, прикус исправлен, жалобы на сустав прошли. Для закрепления результата установлены несъёмные ретейнеры на обе челюсти и изготовлены ночные капы. Пациентка направлена к ортопеду для финальных реставраций.

Дата публикации: 02.04.26

Фотографии опубликованы с согласия пациента

Проблема: Пациентку беспокоили неровные зубы на верхней челюсти и неправильный прикус. Периодически давал о себе знать сустав, она испытывала дискомфорт при открывании рта. При осмотре выяснилось, что обе челюсти сужены, зубам не хватает места, а верхняя челюсть выступает вперёд относительно нижней с обеих сторон. Проблема с суставом была связана с прикусом — неправильное смыкание создавало неравномерную нагрузку на ВНЧС.
Решение: Установили металлические самолигирующие брекеты H4 на обе челюсти. За 25 месяцев расширили зубные дуги, выровняли зубы, исправили соотношение челюстей. Прикус перешёл из II класса в норму, нагрузка на сустав распределилась равномерно — жалобы прошли. Зафиксировали ретейнеры на обе челюсти, сняли слепки для ретенционных кап. Пациентка записана к ортопеду и терапевту для завершающих этапов.
Данилова Виктория Юрьевна
Ведущий ортодонт
Стаж более 10 лет
★★★★★ 5.0
Хочу консультацию
Отзыв пациента
У меня помимо кривых зубов ещё периодически щёлкал и побаливал сустав. Я думала это отдельная проблема, а на консультации Виктория Юрьевна объяснила, что одно связано с другим — прикус неправильный, нагрузка идёт не туда, отсюда и сустав. Поставили брекеты, и где-то к середине лечения я вдруг поняла, что сустав перестал беспокоить. Даже не заметила, в какой момент это произошло. Сейчас зубы ровные, прикус правильный, сустав не беспокоит. Осталось дойти до ортопеда.
Комментарий врача
Сужение обеих челюстей, II класс по Энглю с двух сторон, плюс жалобы на ВНЧС. Проблемы с суставом в таких случаях — следствие неправильного прикуса: челюсть вынуждена компенсировать неправильное смыкание, и сустав берёт на себя лишнюю нагрузку. Брекеты H4 позволили расширить дуги и вывести прикус в I класс за 25 месяцев. Жалобы на сустав ушли по мере коррекции. Направила к ортопеду и терапевту для завершения.
Данилова Виктория Юрьевна
Ведущий ортодонт
Оставьте заявку на запись на бесплатную консультацию ортодонта
В консультацию входит 3D-диагностика, визуализация вашей новой улыбки, индивидуальный план лечения, расчёт стоимости «под ключ».
Нажимая на кнопку «Бесплатная консультация», вы даёте согласие на обработку персональных данных.
Оставьте заявку на запись на бесплатную консультацию ортодонта