Арбат
Сокольники
Поиск
Пн-Вс с 9:00 до 21:00
+7 (499) 681-95-69
Обратный звонок
Онлайн запись
Услуги
Врачи
Цены
Работы
Акции
Блог
О нас
Новости
Пресса о нас
Отзывы
Контакты
Я пациент
Главная
Работы
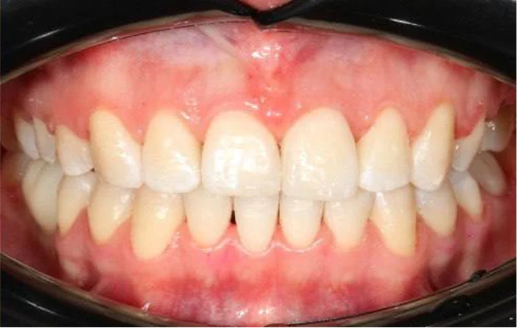
Ортодонтическое лечение на брекет-системе №1
Ортодонтическое лечение на брекет-системе №1
У меня похожий случай
Дата публикации: 01.04.26
Фотографии опубликованы с согласия пациента
Джурабаева Ситорахон Акбаровна
Стоматолог - ортодонт
Стаж более 5 лет
★★★★★
4.9
Хочу консультацию
Другие работы
Ортодонтическое лечение №4
Врач:
Дмитриева Елена Сергеевна
Подробнее
Лечим прикус на металлических брекетах H4 при сужении обеих челюстей за 25 месяцев
Врач:
Данилова Виктория Юрьевна
Подробнее
Скученность и сужение челюстей вылечили на брекетах всего за 15 месяцев
Врач:
Данилова Виктория Юрьевна
Подробнее
Установка виниров
Врач:
Мирзоев Фарзон Мирославович
Подробнее
Протезирование верхнего и нижнего ряда, установка виниров
Врач:
Мирзоев Фарзон Мирославович
Подробнее
Оставьте заявку на запись на бесплатную консультацию ортодонта
В консультацию входит 3D-диагностика, визуализация вашей новой улыбки, индивидуальный план лечения, расчёт стоимости «под ключ».
Нажимая на кнопку «Бесплатная консультация», вы даёте согласие на
обработку персональных данных
.
Услуги
Врачи
Цены
Работы
Акции
Блог
О нас
Новости
Пресса о нас
Отзывы
Контакты
Я пациент
Чат-бот для пациентов
Telegram
8 (499) 681-95-69