Работы наших врачей

Больше 12000 пациентов за 8 лет работы. На этой странице — часть новых улыбок, вылепленных нашими руками.




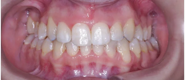
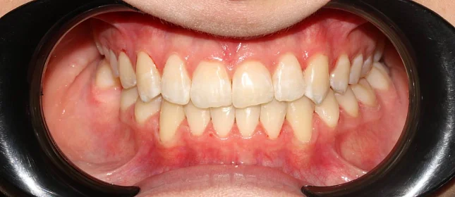
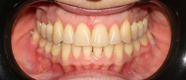
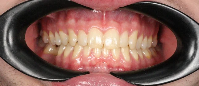
Ортодонтическое лечение на системе Click №5 Ортодонтическое лечение на системе Click №5
Лечащий врач
Ведущий стоматолог-ортодонт Стаж более 11 лет
Подробнее
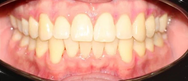
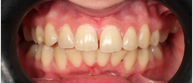
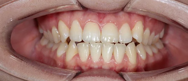
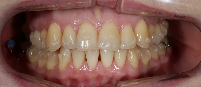
Ортодонтическое лечение на элайнерах №3 Ортодонтическое лечение на элайнерах №3
Лечащий врач
Ведущий стоматолог-ортодонт Стаж более 11 лет
Подробнее
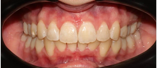
Ортодонтическое лечение на элайнерах №2 Ортодонтическое лечение на элайнерах №2
Лечащий врач
Ведущий стоматолог-ортодонт Стаж более 11 лет
Подробнее
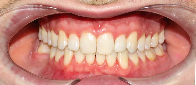
Ортодонтическое лечение на элайнерах Ортодонтическое лечение на элайнерах
Лечащий врач
Ведущий стоматолог-ортодонт Стаж более 11 лет
Подробнее
Ортодонтическое лечение на элайнерах №1 Ортодонтическое лечение на элайнерах №1
Лечащий врач
Ведущий стоматолог-ортодонт Стаж более 11 лет
Подробнее
Оставьте заявку на запись на бесплатную консультацию ортодонта
В консультацию входит 3D-диагностика, визуализация вашей новой улыбки, индивидуальный план лечения, расчёт стоимости «под ключ».
Нажимая на кнопку «Бесплатная консультация», вы соглашаетесь с политикой конфиденциальности.
Оставьте заявку на запись на бесплатную консультацию ортодонта