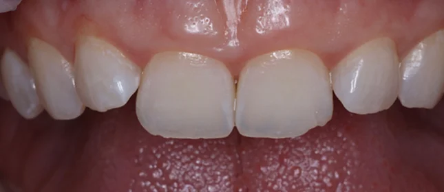
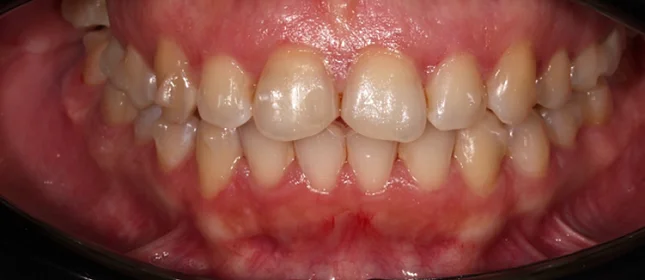
Работы наших врачей

Больше 12000 пациентов за 8 лет работы. На этой странице — часть новых улыбок, вылепленных нашими руками.




Лечащий врач
Терапевт Стаж более 8 лет
Подробнее
Лечащий врач
Хирург-имплантолог Стаж более 8 лет
Подробнее
Лечащий врач
Терапевт Стаж более 11 лет
Подробнее
Лечащий врач
Терапевт Стаж более 8 лет
Подробнее
Лечащий врач
Терапевт Стаж более 8 лет
Подробнее
Оставьте заявку на запись на бесплатную консультацию ортодонта
В консультацию входит 3D-диагностика, визуализация вашей новой улыбки, индивидуальный план лечения, расчёт стоимости «под ключ».
Нажимая на кнопку «Бесплатная консультация», вы соглашаетесь с политикой конфиденциальности.
Оставьте заявку на запись на бесплатную консультацию ортодонта