Устранение эстетического дефекта винирами

Устранение эстетического дефекта винирами

Дата публикации: 01.04.26

Фотографии опубликованы с согласия пациента

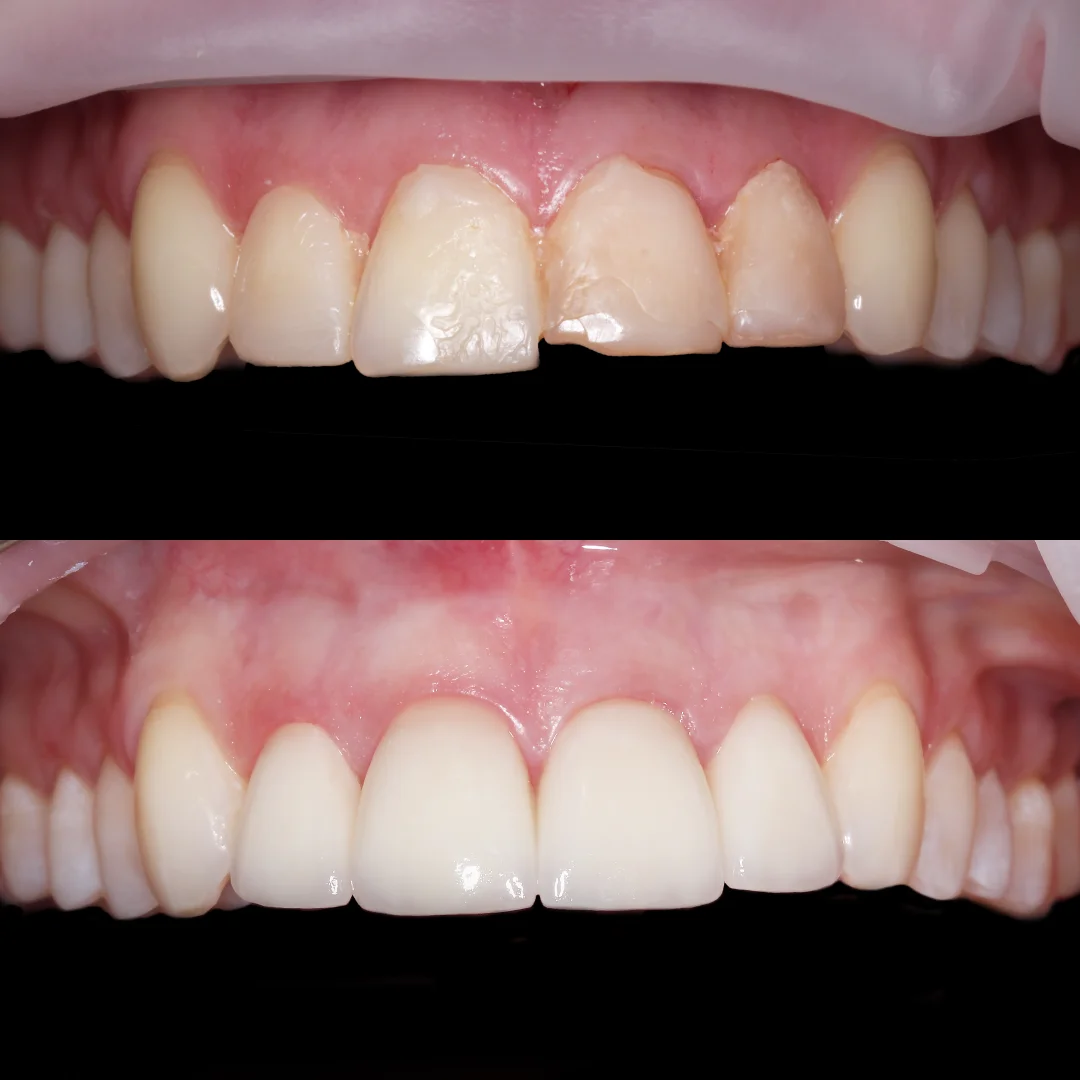
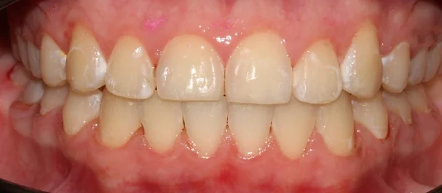
Проблема: Зубы 1.1, 2.1, 2.2 - массивные композитные реставрации, по границе прилегания определяются вторичные кариозные образования, имеются сколы реставраций на контактных поверхностях и режущих краях. зуб 1.2 - кариозная полость на контактной поверхности
Диагноз: зубы 1.2, 1.1, 2.1, 2.2 - дефекты коронковых частей
Мирзоев Фарзон Мирославович
Ортопед - гнатолог
Стаж более 8 лет
★★★★★ 5.0
Хочу консультацию
Оставьте заявку на запись на бесплатную консультацию ортодонта
В консультацию входит 3D-диагностика, визуализация вашей новой улыбки, индивидуальный план лечения, расчёт стоимости «под ключ».
Нажимая на кнопку «Бесплатная консультация», вы соглашаетесь с политикой конфиденциальности.
Оставьте заявку на запись на бесплатную консультацию ортодонта