Завершающий этап лечения скученности и обратного перекрытия

Завершающий этап лечения скученности и обратного перекрытия

Дата публикации: 01.04.26

Фотографии опубликованы с согласия пациента

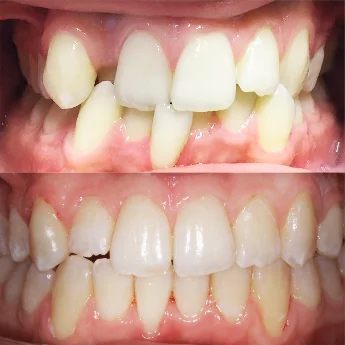
Проблема: Скученность зубов, сужение зубных дуг обеих челюстей, обратное перекрытие некоторых зубов во фронтальном отделе (в норме все зубы верхней челюсти перекрывают зубы нижней челюсти); небное положение зуба 2.5
Диагноз: скученность; сужение зубных дуг обеих челюстей; обратное перекрытие во фронтальном отделе; нёбное положение зуба 2.5
Арутюнова Екатерина Ашотовна
Зав. отделением ортодонтии на Арбате
Стаж более 8 лет
★★★★★ 5.0
Хочу консультацию
Комментарий врача
Пациент находится на этапе, осталось довести смыкание до полноценных фиссурно-бугорковых контактов
Арутюнова Екатерина Ашотовна
Зав. отделением ортодонтии на Арбате
Оставьте заявку на запись на бесплатную консультацию ортодонта
В консультацию входит 3D-диагностика, визуализация вашей новой улыбки, индивидуальный план лечения, расчёт стоимости «под ключ».
Нажимая на кнопку «Бесплатная консультация», вы соглашаетесь с политикой конфиденциальности.
Оставьте заявку на запись на бесплатную консультацию ортодонта