Работы
Whatsapp недоступен в РФ. Продолжим общение в телеграмме? Связаться

Работы


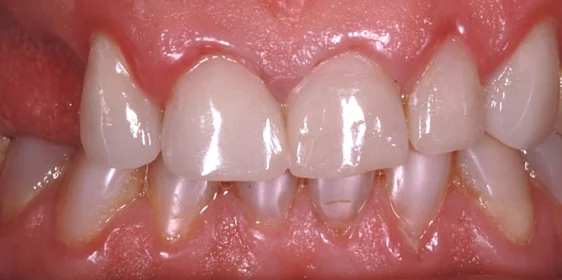
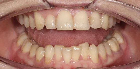
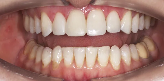
Протезирование верхнего и нижнего ряда, установка виниров
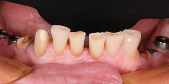
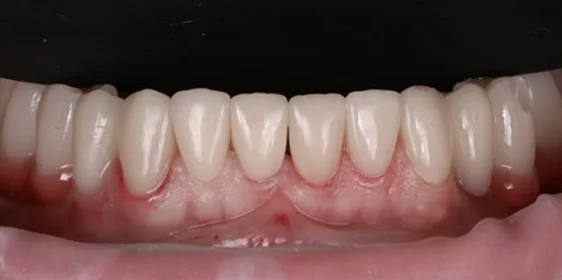
Полное протезирование нижнего ряда, установка виниров
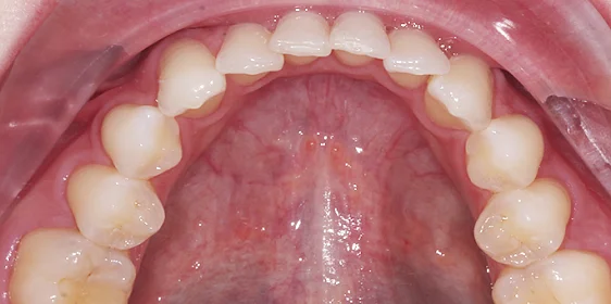
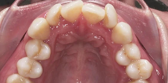
Расширение зубных рядов
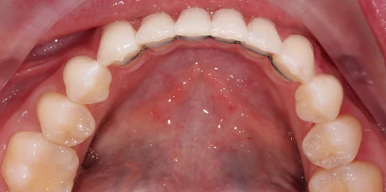
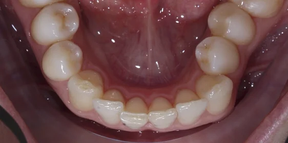
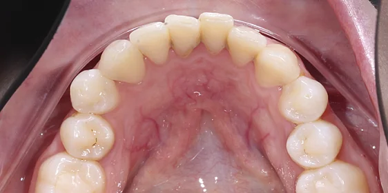
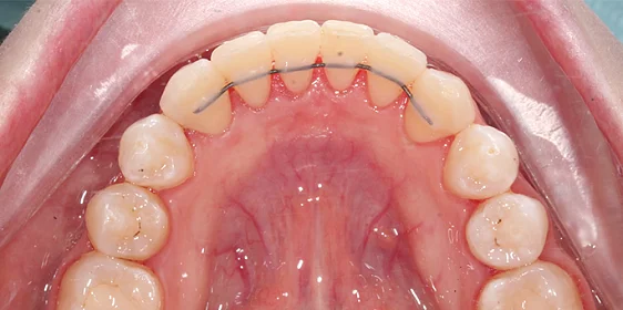
Нивелировка зубных рядов
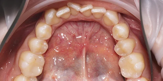
Коррекция смыкания элайнерами
Лечение перекрестного смыкания в боковом сегменте
Устранение глубокого перекрытия с помощью элайнеров
Оставьте заявку на запись на бесплатную консультацию ортодонта
В консультацию входит 3D-диагностика, визуализация вашей новой улыбки, индивидуальный план лечения, расчёт стоимости «под ключ».
Нажимая на кнопку «Бесплатная консультация», вы соглашаетесь с политикой конфиденциальности.
Оставьте заявку на запись на бесплатную консультацию ортодонта