Работы

Работы


Коррекция смыкания элайнерами
Лечение перекрестного смыкания в боковом сегменте
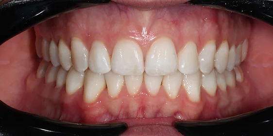
Устранение глубокого перекрытия с помощью элайнеров
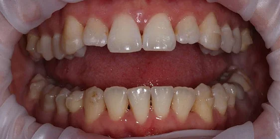
Протезирование верхней челюсти в комплексе с хирургической реабилитацией мягких тканей
Эстетическая реставрация цельнокерамическими винирами в зоне улыбки
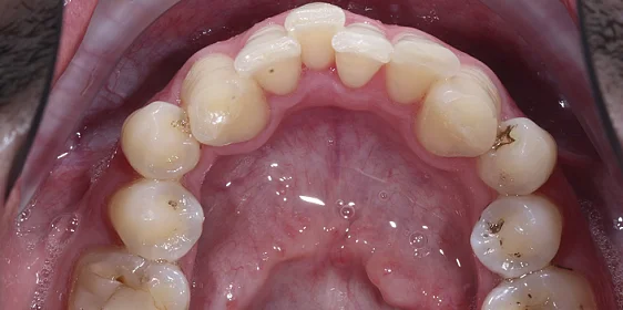
Расширение зубного ряда
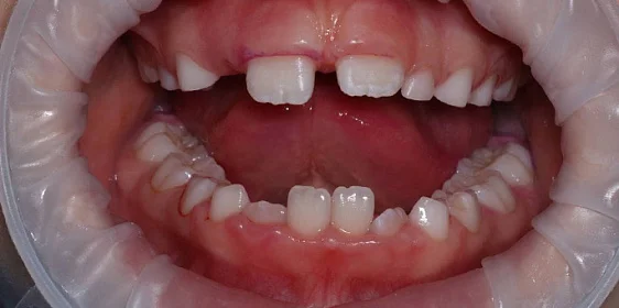
Закрытие промежутков между зубами
Исправление скученности фронтального отдела
Лечение скученности зубов элайнерами
Оставьте заявку на запись на бесплатную консультацию ортодонта
В консультацию входит 3D-диагностика, визуализация вашей новой улыбки, индивидуальный план лечения, расчёт стоимости «под ключ».
Нажимая на кнопку «Бесплатная консультация», вы соглашаетесь с политикой конфиденциальности.
Оставьте заявку на запись на бесплатную консультацию ортодонта