Работы
Whatsapp недоступен в РФ. Продолжим общение в телеграмме? Связаться

Работы


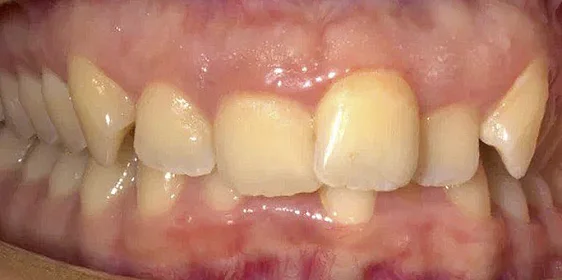
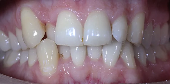
Исправление дистопии зубов
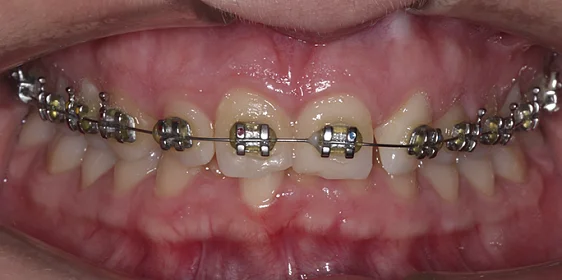
Исправление скученности лигатурными брекетами
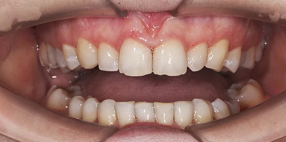
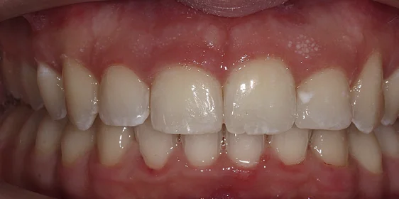
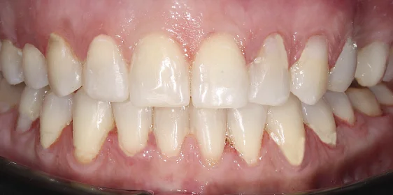
Исправления скученности верхних и нижних резцов
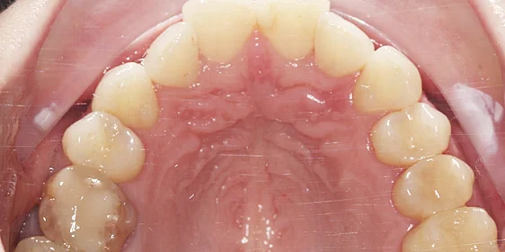
Расширение верхней челюсти брекетами
Лечение дистального прикуса на брекетах
Исправление мезиального прикуса на брекетах
Исправление скученности на элайнерах
Коррекция уровня режущих краев 8
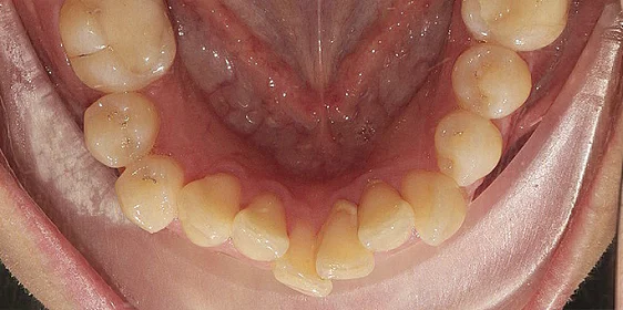
Коррекция скученности на элайнерах
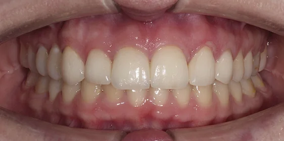
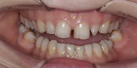
Исправление прикуса и закрытие промежутков
Оставьте заявку на запись на бесплатную консультацию ортодонта
В консультацию входит 3D-диагностика, визуализация вашей новой улыбки, индивидуальный план лечения, расчёт стоимости «под ключ».
Нажимая на кнопку «Бесплатная консультация», вы соглашаетесь с политикой конфиденциальности.
Оставьте заявку на запись на бесплатную консультацию ортодонта