Работы
Whatsapp недоступен в РФ. Продолжим общение в телеграмме? Связаться

Работы


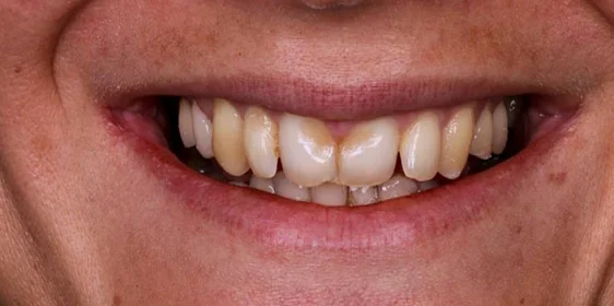
Протезирование верхней челюсти в комплексе с хирургической реабилитацией мягких тканей
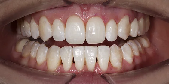
Эстетическая реставрация цельнокерамическими винирами в зоне улыбки
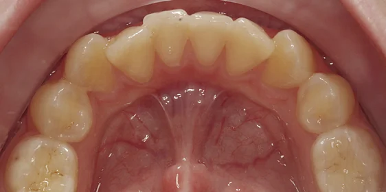
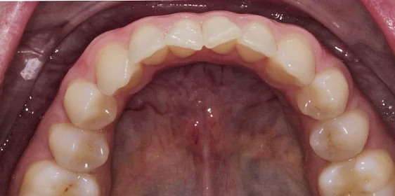
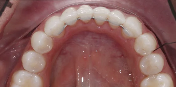
Расширение зубного ряда
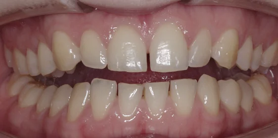
Закрытие промежутков между зубами
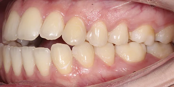
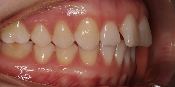
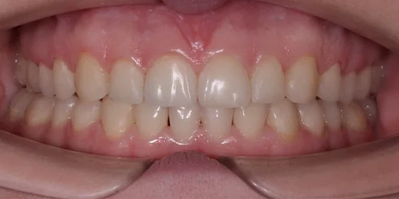
Исправление скученности фронтального отдела
Лечение скученности зубов элайнерами
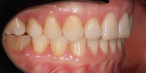
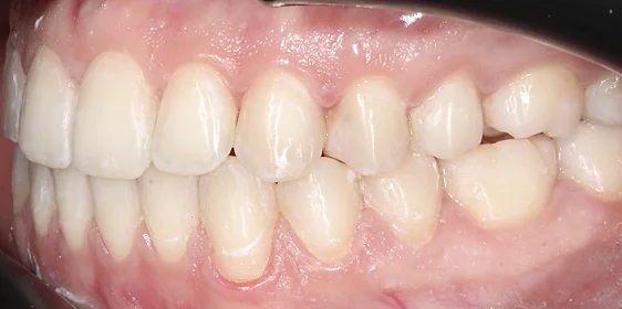
Лечение дистального прикуса
Исправление дистального прикуса элайнерами
Закрытие промежутков между зубами с последующем установлением виниров
Расширение верхней челюсти элайнерами
Оставьте заявку на запись на бесплатную консультацию ортодонта
В консультацию входит 3D-диагностика, визуализация вашей новой улыбки, индивидуальный план лечения, расчёт стоимости «под ключ».
Нажимая на кнопку «Бесплатная консультация», вы соглашаетесь с политикой конфиденциальности.
Оставьте заявку на запись на бесплатную консультацию ортодонта